부산설측교정 키다리아저씨치과의 옥니, 과개교합의 콤비(설측)교정 치료사례
- 키다리아저씨치과

- 2025년 12월 19일
- 3분 분량

"미니스크류를 이용한 투명교정장치에 관한 논문"으로 2023년도 Angle orthodontist(미국의 교정학회지) SCI 저널에 제 1저자로 게재되었습니다.
항상 공부하고 노력하는 키다리아저씨치과가 되겠습니다.
안녕하세요.
오늘 부산설측교정 키다리아저씨치과에서 소개해 드릴 환자분은 앞니가 옥니처럼 안으로 쏠려있고 과개교합이셔서 설측교정(콤비교정)으로 개선하고자 하셨던 분입니다.
나이 : 23세
총 치료기간 : 2년 1개월(총 25개월)
사용한 장치 : 설측 콤비교정 + 미니스크류
부산설측교정 초진 시 얼굴모습 입니다.
입을 다물었을 때는 "교정치료 왜 하실려고 하지?" 라고 생각될 정도로 편안한 느낌, 옆라인 등 나무랄데가 없었어요.
다만 굳이 지적을 하자면(과개교합이신 분들의 특징인데요.) 아랫입술 하방이 약간 움푹 들어간 느낌, 다르게 표현하면 아랫입술이 약간 뒤집어진 양상인데요.
이마저도 거의 없는 편으로 얼굴모습은 매우 좋다고 할 수 있습니다.
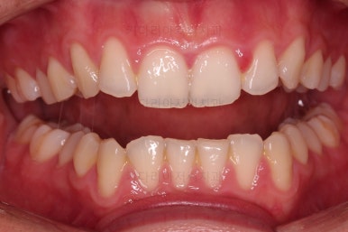
다만, 웃거나 말할 때 보이는 치열이 문제였는데요.
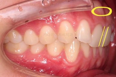
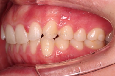
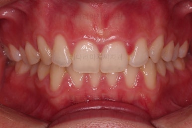
앞니가 들쑥날쑥하고 중간 앞니 두 개가 안으로 굽어들어온 옥니 양상이었어요.
환자분도 앞니의 느낌을 개선하고자 하신거고요.
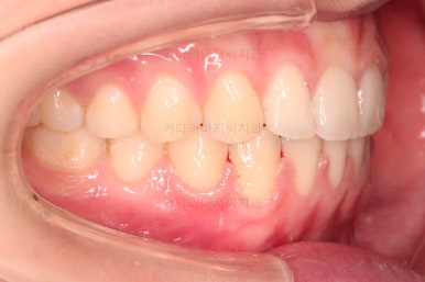
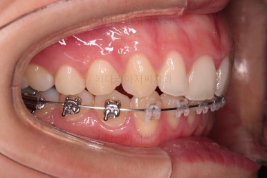
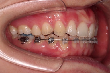
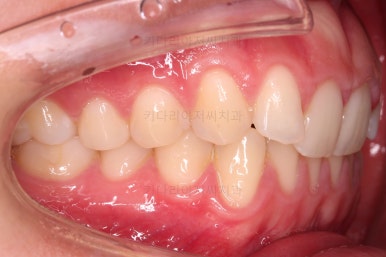
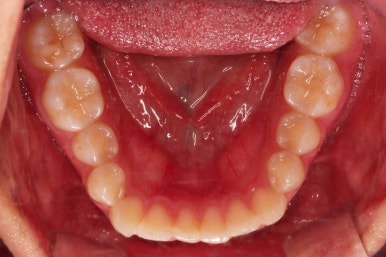
입 안의 모습을 보면 문제점이 확연히 보이는데요.
앞니가 안으로 굽어들어와 있죠.
흔히 하는 표현으로 "옥니"라고 하는데요.
옥니가 왜 안좋나요?
양옆의 치아가 튀어나가 덧니처럼 보입니다.
웃을 때 해당 치아가 어두워 그림자 져 보입니다.
과개교합도 함께 나타나 과개교합이 가지는 문제점도 보입니다.(치아 마모, 입술 모양 등)
뿌리의 위치를 상상해 보면 잇몸뼈에서 앞쪽으로 튀어나가려고 하죠? 뿌리가 굉장히 짧아진다거나 약해질 우려가 있습니다.
옥니는 그럼 왜 생길까요?
우선 2급 부정교합 환자분에게서 잘 나타나는데요.
2급 부정교합이란, 위턱이 앞에 있거나 아래턱이 뒤에 있거나 복합이거나, 즉 윗니는 상대적으로 앞에, 아랫니는 상대적으로 뒤에 있는 상태인데요.
이런 경우 윗니-아랫니가 서로 만나려는 특성으로 윗니가 안으로 굽어 들어오는거죠.
이 때 중요한 역할을 하는 것이 입술 힘이나 턱 근육들인데요.
그래서 옥니이신 분이 턱관절 질환도 함께 나타나는 경우가 굉장히 많습니다.
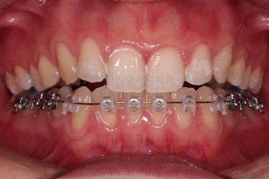
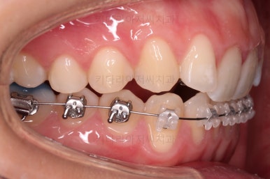
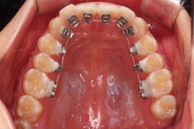
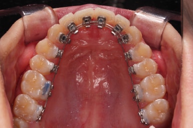
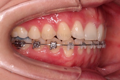
장치를 부착했습니다.
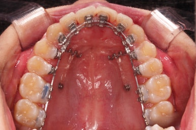
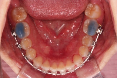
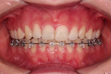
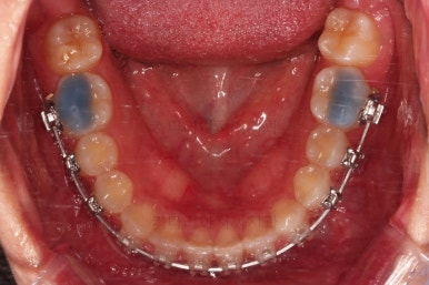
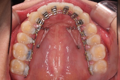
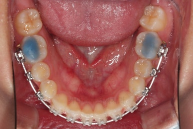
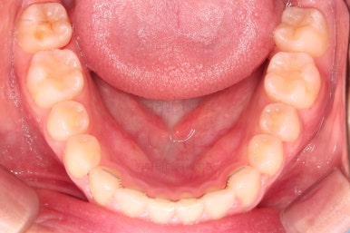
이번 환자분이 선택하신 장치는 윗니는 보이지 않고 싶어 설측교정 장치, 아랫니는 상대적으로 덜 눈에 띄나 바깥으로 하는 자가결찰 세라믹 장치를 선택하셨어요.
설측교정의 장점?
당연히 보이지 않고요.
장치 때문에 교정 과정동안 입술이 볼록 튀어나오는 것이 없겠죠.
(어떻게 보면 주로 심미적인 측면이 많네요.)
설측교정의 단점?
그렇다면 단점은 뭘까요?
솔직히 말씀 드리면 장점을 제외한 모든 점입니다.
기간도 좀 더 봐야하고요.
정교한 디테일링도 좀 부족합니다.(물론 시간을 더 많이 들이면 비슷한 수준으로 가능하겠죠.)
혀도 불편하고 양치도 좀 더 불편합니다.
그럼에도 불구하고 보이지 않는다는 압도적인 장점으로 이번 환자분은 부산설측교정 장치를 선택하셨는데요.
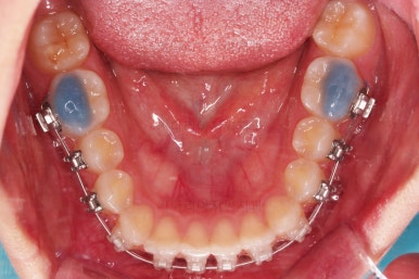
옥니에 미니스크류도 사용해야 하는 케이스여서 쉽지만은 않았습니다.
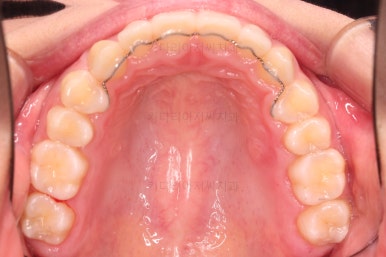
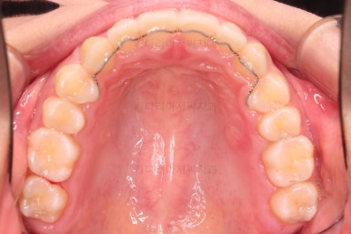
부산설측교정 장치 부착 직후의 모습인데요.
아랫니쪽 장치 말고는 당연히 눈에 띄지 않고요.
(심지어 투명교정 장치도 약간의 자연치아와는 다른 이질감은 느껴지죠.)
옆 라인도 입이 많이 튀어나오지는 않는답니다.
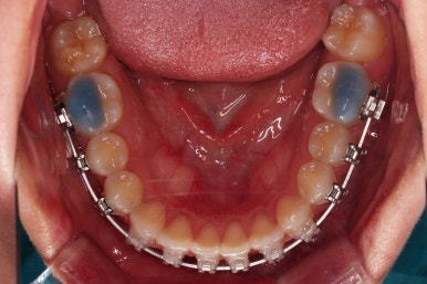
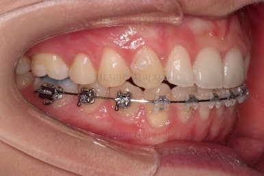
서서히 철사 종류를 바꿔가며 치아를 가지런하게 합니다.
옥니이신 분의 특징은 치아가 가지런해지면 해질수록 앞니가 점점 앞으로 튀어나오는데요.
안으로 들어와있던 앞니가 제위치를 찾아가기 때문에 그렇습니다.
당연히 입이 원래보다 튀어나오는 걸 좋아하시는 분은 없고, 2급 부정교합도 개선해야 하기 때문에 윗니는 뒤로 당겨줘야 합니다.
적절한 시기가 되면 가지런하게 하는 작업과 미니스크류를 이용해 뒤로 당기는 작업을 동시에 해주게 됩니다.
왼쪽 사진이 교정 초기의 모습, 오른쪽이 옥니가 어느 정도 개선된 시점의 옆모습입니다.
옥니만 개선되어도 입이 약간 나오는 걸 알 수 있죠.
이 모습도 나쁘진 않지만 교합을 위해서라도 윗니는 뒤로 당겨줘야 합니다.
당기기와 배열을 같이 계속 해주며, 당기는 과정에서 기울기 등을 맞추기 위해서 다양한 방향으로 힘을 셋팅합니다.
갖은 수를 써서 모자란 부분의 디테일링을 해주고요.
서서히 마무리 합니다.
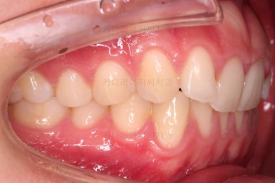
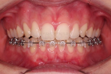
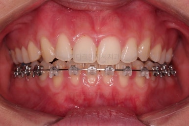
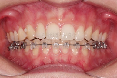
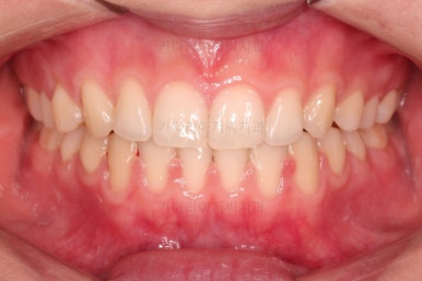
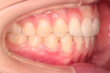
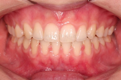
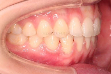
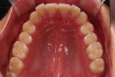
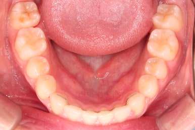
치료 후의 모습인데요.
약간의 치아 사이즈의 문제(모든 사람은 좌우 치아 크기가 100% 대칭인 사람은 없답니다.) 및 약간의 비대칭 문제 등으로 정중선은 100% 일치는 아니지만 전혀 문제없는 정상범주로 잘 맞추었고요.
교합이라던지, 앞니 각도도 잘 맞추고 끝냈습니다.
부산설측교정 전후 비교해 볼게요.
옥니치료는 약간 옆에서 봤을 때 확연하게 치료 결과가 드러나는데요.
각도, 교합 등 매우 좋아졌고, 원래도 좋았던 옆라인도 약간 아랫입술이 완만하게 퍼지는 효과가 생기면서 약간이나마 더 좋아졌네요.
이상 부산설측교정 키다리아저씨치과에서 시행한 설측교정, 콤비교정 치료사례였습니다.
부산 연산동 교정치과 키다리아저씨치과에 오시는 길은 연제구 연산동 연산역 17번출구 바로 앞 건물 6층입니다.
치과교정과 전문의(부산대 외래교수)가 상주하며 교정치료 합니다.
<위 사진은 환자분의 동의를 구한 후 공개하는 사진자료입니다. 사진은 과장이나 조작이 없는 원본사진입니다. 교정치료로 인한 부작용으로는 치근흡수, 충치, 치아변색, 실활 등이 있을 수 있으며, 치료 전후 사진은 의료법 제 23조, 제 56조에 의거하여 게재합니다. 개인의 상태에 따라 치료결과는 달라질 수 있으므로, 교정전문의와 상의를 요합니다.>


































































































































댓글