부산설측교정 키다리아저씨치과에서 부분교정을 MTA 콤비교정으로 치료한 사례
- 키다리아저씨치과

- 2025년 3월 27일
- 2분 분량
안녕하세요.
오늘 부산설측교정 키다리아저씨치과에서 소개해 드릴 분은 앞니가 삐뚤해서 부분교정으로 개선하고 싶어하셨던 분으로 윗니는 설측교정, 아랫니는 일반교정 즉 콤비교정으로 부분교정을 하신 분입니다.
나이 : 39세
총 치료기간 : 9개월
사용한 장치 : MTA 콤비교정
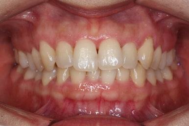
부산설측교정 키다리아저씨치과에서 처음 내원하셨을 당시의 얼굴 모습입니다.
입술도 편안하게 물리고 옆 모습 라인도 좋습니다.
다만, 웃을 때 앞니 치열이 삐뚤어서 보기에 좀 좋지 않은 상황이었습니다.
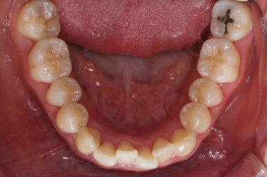
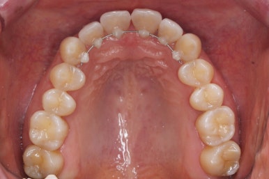
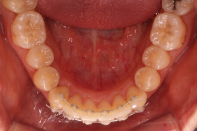
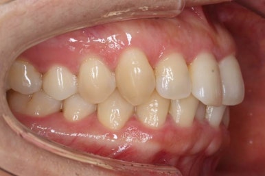
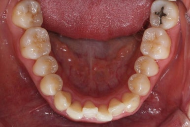
마찬가지로 부산설측교정 키다리아저씨치과에서 처음 내원하셨을 당시의 입안 모습입니다.
어금니쪽은 특별히 이상이 없었고, 위아래 앞니만 삐뚤한 상태였습니다.
모든 사람은 성장기 이 후 부터 지속적으로 "아래앞니"는 삐뚤어질려는 특징이 있습니다.
보통 "어렸을 때는 안그랬는데 점점 앞니가 삐뚤어져요." 라고 말씀하시는데, 모든 사람의 공통적인 특징입ㄴ디ㅏ. 특히 아래 앞니는 윗니에 가려져 있기 때문에 더 잘 삐뚤어지고, 윗니도 함께 삐뚤어지는 경우도 상당히 많습니다.
치열은 평생 고정된 위치에 있는 것이 아니라 조금씩 움직인다고 이해하시면 좋겠습니다.
이번 환자분은 앞니쪽의 삐뚤한 것만 개선되면 되었기 때문에 부분교정으로 하기로 하였습니다.
부분교정 때 중요한 것은 어금니에는 장치를 부착하지 않고 움직이지 않기 때문에 부분교정으로 개선할 수 없는 경우도 있을 수 있습니다.
이런 경우를 대비하여 저희 부산설측교정 키다리아저씨치과에서는 가상으로 시뮬레이션을 해보고 부분교정 가능/불가능 여부를 판단하고 있습니다.
경우에 따라서는 윗니만 혹은 아랫니만 부분교정 하고 싶어하시는 분이 계신데, 치아는 서로 맞물림이 되어야 하므로 한 쪽만 해서는 안되는 경우도 있습니다. 그런 경우 시뮬레이션을 해보는 것이 매우 중요합니다.
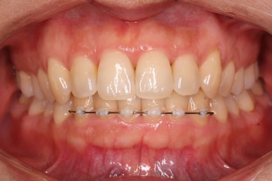
부산설측교정 키다리아저씨치과에서 장치를 부착한 이후의 모습입니다.
환자분은 교정장치가 보이는 것을 좋아하지 않으셔서 윗니는 부산설측교정 하는 콤비교정으로 진행했습니다.
콤비교정이란 윗니는 설측교정(안쪽으로 하는 교정), 아랫니는 바깥으로 하는 일반 교정을 조합해서(콤비)하는 교정치료를 뜻합니다.
사용한 장치는 부분교정에 특화 되어있는 부피가 작고 눈에 잘 띄지 않는 MTA라는 장치를 이용하였습니다.
점점 가지런해지고 있습니다.
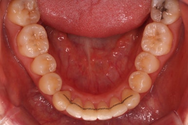
아랫니는 원래 바깥으로만 교정하기로 했는데, 더 정교한 마무리를 위해서 설측으로도 장치를 부착했습니다.
조금만 더 정리를 하고 마무리를 하기로 하였습니다.
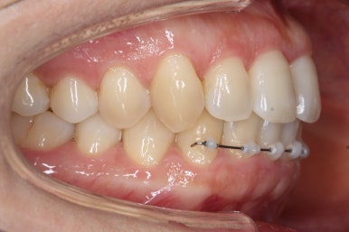
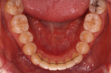
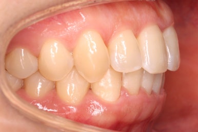
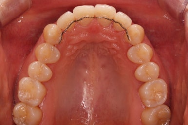
부산설측교정 키다리아저씨치과에서 부분교정을 마무리 하였습니다.
장치를 모두 제거하고 유지철사를 안쪽으로 부착하고 치료를 종료하였습니다.
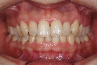
전후사진을 비교해 보겠습니다.
삐뚤었던 부위들은 가지런하게 정리가 되었습니다.
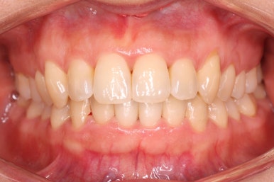
얼굴모습 비교해 보겠습니다.
부분교정이기 때문에 입술을 다물고 계실 때의 입매나 느낌은 거의 변화가 없고, 웃거나 말할 때 드러나는 치아의 느낌은 매우 좋아졌습니다.
이상 부산설측교정 키다리아저씨치과에서 MTA 장치를 이용한 콤비부분교정 치료사례였습니다.
키다리아저씨치과에 오시는 길은 연산역 17번출구 바로 앞 건물 5, 6층입니다.
치과교정과 전문의(부산대 외래교수)와 치과보철과/통합치의학과 전문의(부산대 외래교수) 2명이 상주하며 교정치료와 일반치과치료를 협진하여 진료합니다.
<위 사진은 환자분의 동의를 구한 후 공개하는 사진자료입니다. 사진은 과장이나 조작이 없는 원본사진입니다. 교정치료로 인한 부작용으로는 치근흡수, 충치, 치아변색, 실활 등이 있을 수 있으며, 치료 전후 사진은 의료법 제 23조, 제 56조에 의거하여 게재합니다. 개인의 상태에 따라 치료결과는 달라질 수 있으므로, 교정전문의와 상의를 요합니다.>













































































댓글