부산사랑니교정 키다리아저씨치과에서 시행한 결손치아 교정 치료사례(feat. 사랑니 교정)
- 키다리아저씨치과

- 3월 18일
- 3분 분량
"미니스크류를 이용한 투명교정장치에 관한 논문"으로 2023년도 Angle orthodontist(미국의 교정학회지) SCI 저널에 제 1저자로 게재되었습니다.
"2023년 대한치과 교정학회에서 표창장을 수여하였습니다."
"2023년 세계 구순구개열 학회에서 포스터 발표를 하였습니다."
항상 공부하고 노력하는 키다리아저씨치과가 되겠습니다.
안녕하세요.
오늘 부산사랑니교정 키다리아저씨치과에서 소개해 드릴 환자분은 어금니가 여러 개 없어서 교정으로 개선하고자 하셨던 분입니다.
나이 : 25세
총 치료기간 : 30개월(총 2년 6개월)
사용한 장치 : 자가결찰 세라믹(데이몬 클리어, Damon clear) + 미니스크류
1. 초진
초진 때의 얼굴 모습입니다.
약간 돌출된 양상이지만 많이 심한 편은 아니고요.
웃을 때 치열도 그리 나쁜 편은 아니죠.
눈에 띄는 점은 비대칭인데요.
아래턱이 우측으로 쏠려 있는 비대칭이라 입술과 치열도 모두 우측으로 쏠리고 기울어져 있는 상황입니다.
교정으로 개선되는 비대칭은 아니고, 이번 글의 주제도 아니여서 넘어가겠습니다.
기본적으로 안면비대칭은 교정으로만 해결되는 경우는 드뭅니다.
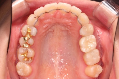
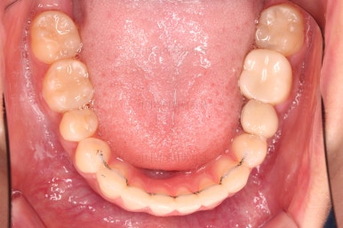
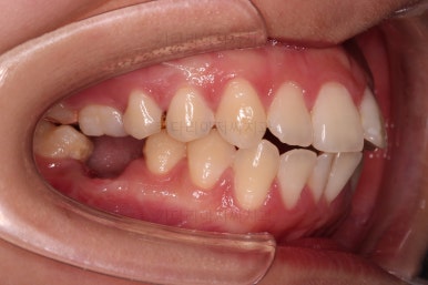
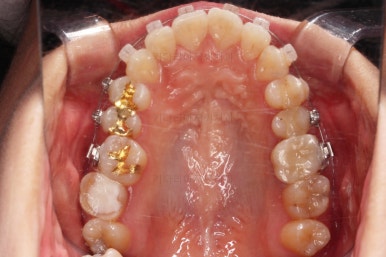
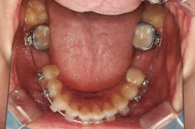
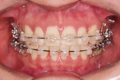
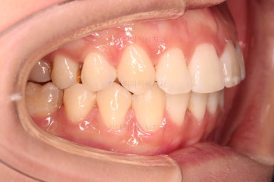
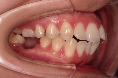
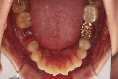
마찬가지로 초진 시 입안의 모습입니다.
입안 사진을 보니 문제점이 보이죠.
바로 어금니가 없는 상태였습니다.
물론 치열도 그리 많이 삐뚠 편은 아니고, 치아가 없으니 심플하게 임플란트를 해 넣으면 되지 않겠나 라고 생각할 수 있지만요.
나이도 많이 어리시고, 임플란트를 한다는 심리적 저항감도 있었고요.
한 번 임플란트를 해 넣으면 교정치료가 매우 힘들어진다는 점과 겸사겸사 돌출감도 개선하고자 하는 의지가 있으셔서 임플란트 없이 사랑니를 살려서 어금니 대신 쓰는 부산사랑니교정 치료를 해보기로 했습니다.
2. 치료계획

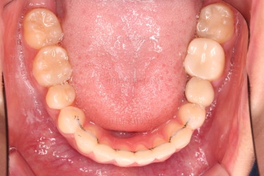
초진 시 파노라마 X-ray 사진인데요.
어금니 하나는 이미 뺀 상태이고요.
추가로 2개 더 어금니 상태가 좋지 못한 상황이었습니다. 물론 윗니 화살표 치아는 신경치료 해서 살려 쓸 수도 있지만 발치를 하기로 결정했습니다.
아래쪽도 어금니를 발치해야 된다는 점.(큰 어금니를 뽑으면 기간이 일반 교정보다 오래 걸리는데 어차피 아래도 큰 어금니 발치가 기간상의 손해는 없다는 점)
윗니도 작은 어금니든 뭐든 발치가 필요했던 상황에서 작은 어금니보다도 장기적인 예후가 불량하다고 판단된 점.
마침 해당 부위 사랑니도 있어서 마치 큰 어금니가 2개가 남는 것처럼 구성할 수 있는 점.
등등의 사실로 인해 발치를 부담없이 결정했고요.
발치교정 및 큰어금니 발치 자리는 뒤쪽 사랑니도 앞으로 끌고 오면서 공간을 없애주기로 했습니다.
겸사겸사 돌출입도 개선하고요.
다만, 큰 어금니 자리는 너무나 크기 때문에 자칫하면 입이 만힝 들어갈 수 있어서 얼굴모습에 대한 평가와 설정이 매우 중요했습니다.
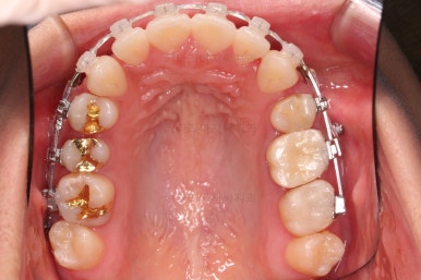
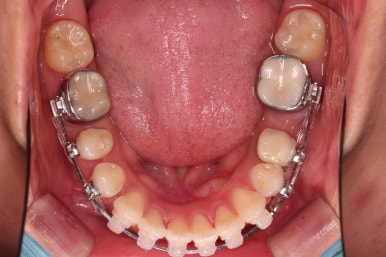
3. 치료경과
장치를 부착해서 가지런하게 하고요.
발치가 필요한 치아를 하나씩 뽑아나갑니다.
어금니 발치 공간이 어마어마하게 넓죠?
저 공간만큼 앞니가 들어가도록 하면 큰일납니다. 입이 너무 많이 들어가게 됩니다.
따라서 매우 신중한 테크닉으로 입매 조절을 잘 해야 합니다.
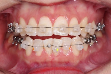
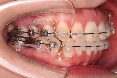
이번 부산사랑니교정 환자분이 선택하신 장치는 데이몬 클리어라고 하는 자가결찰 세라믹 장치인데요.
현존하는 세라믹 장치 중에 가장 심미적인 장치입니다.
철사를 잡아주는 뚜껑은 금속으로 되어있는 클리피씨나 엠파워 클리어에 비해 뚜껑까지도 세라믹으로 되어있기 때문이죠.
대신 금속 성분이 많은 장치보다는 부피가 확실히 커지게 되는데요.
돌출입의 경우 초반에는 입이 더 나와보일 수 있고요.
입이 더 나오는 정도는 사람마다 매우 차이가 큽니다.
참고만 해주세요.
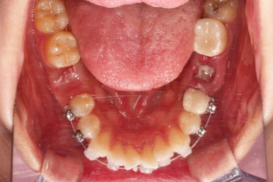
윗니도 발치를 했고요.
발치공간을 서서히 줄여 나갑니다.
입매 변화도 신중하게 체크합니다.
윗니는 어느 정도 틈이 많이 줄었는데요. 아랫니는 기약이 없죠.
이때가 교정을 시작한지 8개월이 지난 시점인데요.
환자분은 걱정이 많이 되기 시작합니다.
환자분 : "교정 얼마나 더 걸릴까요?"
키다리 : "어금니를 당겨와야 되서 아주 많이 걸립니다. 토탈 3년 이상 봐야하는 치료입니다."
환자분 : "서른살 전에는 끝날 수 있을까요?" (이 시점이 우리나이로 27세 시점)
키다리 : "그 정도면 충분할듯도 한데, 기간은 솔직히 장담하지 못하겠네요. 근데 왜 서른살인가요?"
환자분 : "그냥요 ㅎㅎ"
아무튼 빨리 끝나면 좋겠지만 천천히 진행해야 오히려 빨리 끝나는 경우가 많아 조바심 내면 안됩니다.
천천히 해야 오히려 빨리 끝난다고요?
네, 너무 서두르면 부작용이 오히려 커지고 부작용을 바로 잡으려면 오히려 되돌아가야 해서 그렇습니다.
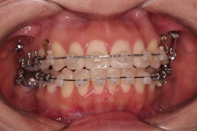
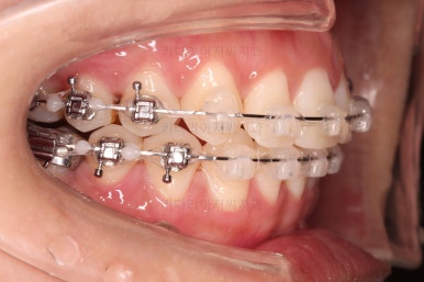
이제 미니스크류가 등장합니다.
상하좌우 발치 공간의 크기와 위치가 제각각이라서 당겨지는 양과 속도가 차이납니다.
그래서 미니스크류를 반드시 써줘야 합니다.
또 다시 얼굴모습 체크.
비대칭은 잡히지 않는다는 점을 알고는 있으나 당연히 아쉽긴 합니다.
입매는 서서히 좋아지고 있고요.
약간은 더 들어가도 되지만 너무 많이 들어가면 안되는 상황입니다.
어느새 틈도 다 닫히고요.
마무리 과정만 남았습니다.
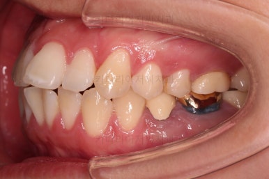
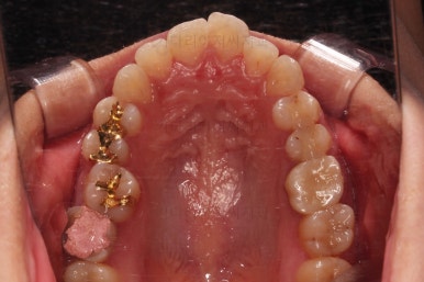
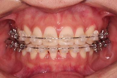
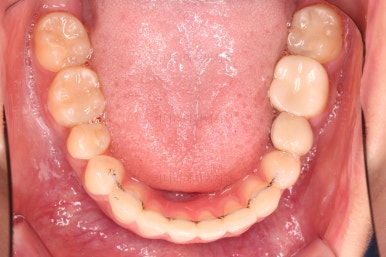
4. 마무리
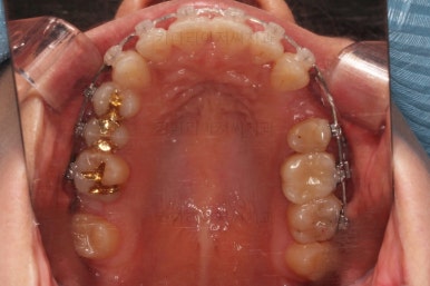
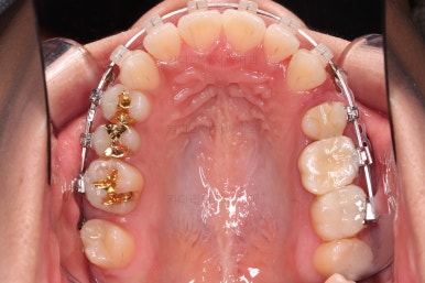
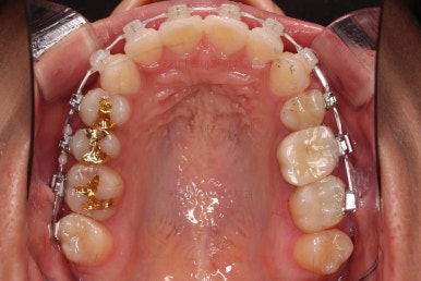
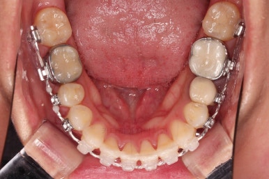
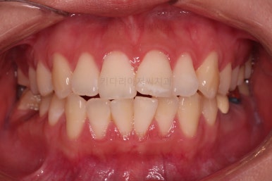
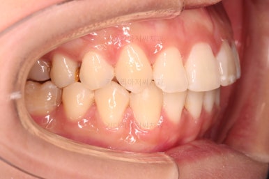
틈이 다 없어졌고, 교합도 양호합니다.
무엇보다 임플란트 없이 결손부위가 깔끔하게 채워졌고요.
매우 다행으로 사랑니도 다 있었기 때문에 마치 큰 어금니가 다 있는 것과 같은 상황이 되었습니다.
역설적이게도 손상된 큰 어금니가 없었던 부위는 작은 어금니를 발치함으로 인해 오히려 치아 갯수가 모자라 보이는 상황까지 왔네요.(어금니가 결손된 부분이 더 자연스럽게 보이는 상황)
총 치료기간도 2년 반, 30개월이 걸렸습니다.
3년 이상 봐야 되는 부산사랑니교정 치료라고 말씀 드리고 시작했음에도 예상보다 훨씬 빨리 종료 되어 매우 만족스러운 치료였습니다.
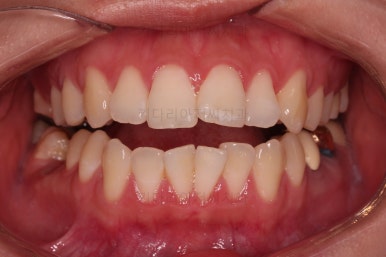
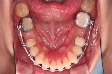
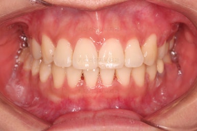
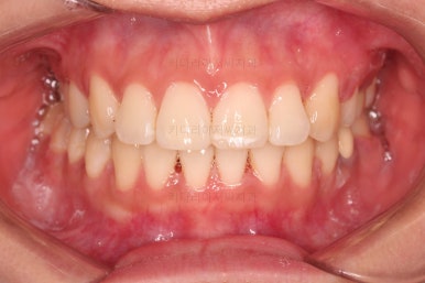
전후 비교 해볼게요.
입안의 모습은 더할나위 없이 잘 개선되었고요.
상하좌우 이 뽑은 위치와 크기가 달라 이정도 중앙선은 매우 잘 맞는 상황인거고요.
얼굴모습도 옆라인이 매우 좋아졌죠.
입이 들어가고 턱선이 살아나게끔 해드렸어요.
임플란트도 안해도 되면서 사랑니까지 잘 사용하고 2년 반 밖에 치료기간도 안걸린 매우 좋은 치료였다고 생각되어집니다.
이상 어금니가 결손되어 있고, 돌출입이었던 환자분을 미니스크류를 이용해 사랑니까지 당겨와서 임플란트 없이 치료를 한 부산사랑니교정 치료사례였습니다.
부산 연산동 교정치과 키다리아저씨치과에 오시는 길은 연제구 연산동 연산역 17번출구 바로 앞 건물 6층입니다.
치과교정과 전문의(부산대 외래교수)가 상주하며 교정치료 합니다.
<위 사진은 환자분의 동의를 구한 후 공개하는 사진자료입니다. 사진은 과장이나 조작이 없는 원본사진입니다. 교정치료로 인한 부작용으로는 치근흡수, 충치, 치아변색, 실활 등이 있을 수 있으며, 치료 전후 사진은 의료법 제 23조, 제 56조에 의거하여 게재합니다. 개인의 상태에 따라 치료결과는 달라질 수 있으므로, 교정전문의와 상의를 요합니다.>

























































































































































댓글