부산비발치교정 키다리아저씨치과의 삐뚤한 치아 사례(feat. 악궁확장장치 RPE)
- 키다리아저씨치과

- 2025년 2월 12일
- 3분 분량
안녕하세요.
오늘 키다리아저씨치과에서 소개해 드릴 환자분은 치아가 삐뚤해서 가지런하게 하고 싶어 하셨던 환자분의 부산비발치교정 사례입니다.
나이 : 11세
총 교정기간 : 1년 4개월(총 16개월)
교정장치 : 자가결찰 금속(엠파워 메탈) + 악궁확장장치(RPE)
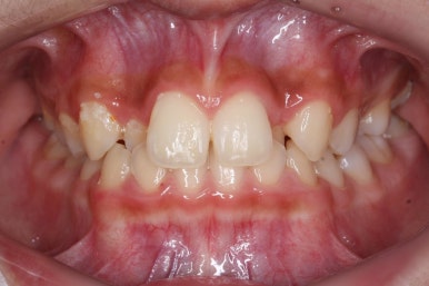
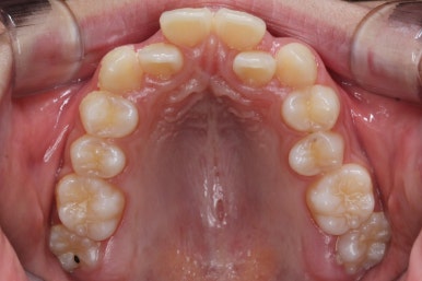
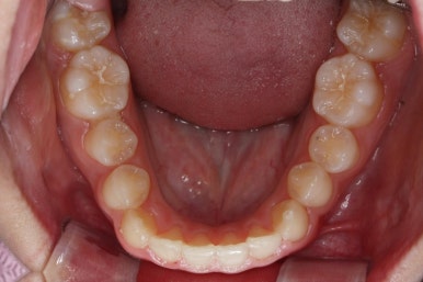
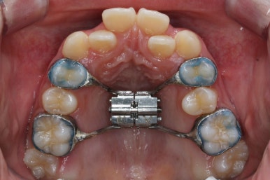
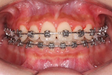
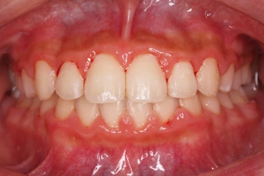
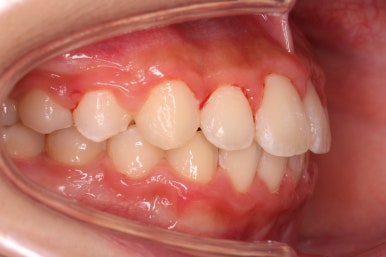
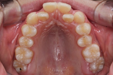
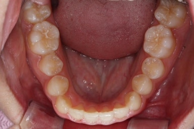
처음 내원 때의 입안 모습입니다.
영구치는 모두 맹출이 되어있었고 아랫니는 윗니에 비해 매우 가지런한 편이였습니다.
윗니 중에서도 앞니가 매우 삐뚤하고 특히 작은 앞니 양쪽 모두가 아래 앞니보다 안쪽에 들어가 있는 모습입니다.
보통 위쪽 송곳니가 덧니로 나는 경우가 많은데요.
위쪽 송곳니가 가장 늦게 나오는 치아 중 하나입니다.
늦게 나오다 보니 자리가 부족하게 되면
- 덧니처럼 볼록하게 맹출됩니다.
- 옆에 있는 치아들을 밀어내면서 제자리에 나오게 됩니다.
이번 환자분은 송곳니가 거의 자기위치에 나오게 되면서 약한 작은 앞니를 밀어낸 경우입니다.
송곳니는 거의 제자리에 나오긴 했지만 작은 앞니가 안쪽으로 쏙 들어가 있기 대문에 상대적으로 덧니처럼 보이게 되는 것입니다.
키다리아저씨치과에서의 덧니 치료사례가 궁금하시다면 다음 링크를 확인해주세요.
키다리아저씨치과에 처음 내원 했을 때의 얼굴 모습입니다.
치열이 삐뚤하여 웃을 때 심미적으로 좋지 못합니다. 그러나 옆모습에서의 돌출감이나 뻐드러짐은 보이지 않는 상황이였습니다.
치열이 삐뚤한 정도 + 얼굴모습 + 뻐드러진 양상 등등을 종합하여 이번 환자분은 부산비발치교정을 하기로 했습니다.
치료 첫 단계는 좁은 취턱뼈를 넓혀주는 악궁확장장치(RPE)를 사용했습니다.
단순히 윗니가 삐뚤하여 자리를 확보하는 목적으로 사용하는 건 안됩니다. 아래에 비해 위쪽 치아들이 좁게 배열이 되어 있다면 시행하게 됩니다.
윗니가 배열된 폭은 근원적으로 코로 숨을 쉬는 호흡에 문제가 있을 경우 발생하기도 합니다. 키다리아저씨치과에서는 아래와 같은 호흡기 분석을 시행하고 어금니 위치에서 정확한 가로폭을 측정하여 악궁확장장치 사용 여부를 결정합니다.

악궁확장장치에 의해 위턱이 가로로 넓어지게 되는데 이 때는 왼쪽 치아는 좌측으로 오른쪽 치아는 우측으로 각각 움직이게 되므로 앞니 사이에 틈이 생길 수 있으며 뼈가 쪼개어 지는게 X-ray로도 관찰이 됩니다.

X-ray를 보시면 대문니 사이가 벌어져 있고 해당 부위의 뼈도 시커멓게 벌어져 있는 것을 볼 수 있습니다. 악궁확장이 성공적으로 되었다는 뜻입니다.
악궁확장은 이 후에 3~6개월을 유지해줘야 벌어진 뼈가 다시 오므라들지 않고 뼈 사이에 새로운 뼈가 들어차게 됩니다.
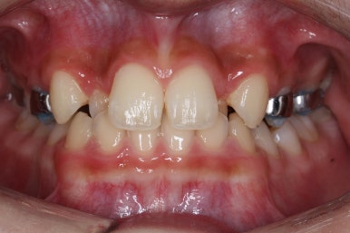
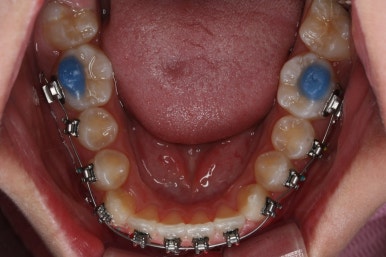
이 후에 장치를 부착하여 치아를 가지런하게 해주기 시작합니다.
키달이저씨치과에서 사용한 장치는 메탈 자가결찰 장치인 엠파워 메탈 장치를 사용했습니다. 메탈장치는 굉장히 장점이 많은 장치입니다.
부피가 작다.
세라믹에 비해 강하다.
저렴하다.
등등 장점이 많으나 세라믹에 비해 많이 눈에 띈다는 단점이 있어서 사실상 많이 외면을 받고 있긴 하지만 매우 좋은 장치임은 틀림없습니다.
장치 부착 직후의 얼굴 모습입니다.
부피가 그리 크지 않은 장치이기 때문에, 교정장치를 부착하였다고 해서 입이 많이 튀어나오거나 하지는 않습니다. 대신 웃을 때 눈에 확 드러나 보이기는 합니다.
장치 부착 후에는 급속도로 치아가 가지런해지기 시작합니다.
점점 가지런해지고 있는 모습이 보이실 것입니다.
악궁 확장 이후 확보된 공간은 가지러낳게 하는데 수월함을 줍니다.
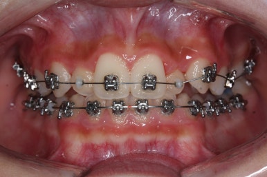
다른 앵글에서의 모습입니다.
안으로 쏙 들어가 있던 앞니가 앞으로 나오게 되면서 심미적으로 좋아지는 것을 볼 수 잇습니다.
윗니들만 보게 되면 더 드라마틱한 것을 볼 수 있습니다.
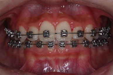
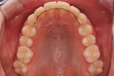
악궁확장장치는 유지기간 이 후 다 제거가 되었고, 치아들이 매우 가지런해지는 것을 볼 수 있습니다.
이제 조금만 더 정리가 되면 장치 제거가 가능하겠네요.
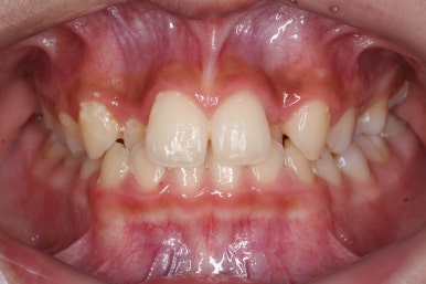
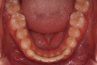
키다리아저씨치과에서 부산비발치교정 전후 사진 비교입니다.
치료 종료 시점에는 위아래 앞니 모두 안쪽에 유지장치를 붙이고 있는 것을 볼 수 있습니다.
교정 중에 양치가 잘 되지 않아 치료 후 모습에서 잇몸이 부어있는 모습도 보이는데 양치질을 잘 해주면 금방 좋아질 수 있습니다.
앞니가 매우 가지런해졌고 예뻐졌네요.
악궁확장장치 기간까지 포함하여 총 1년 4개월이 걸렸습니다.
삐뚤했었던 특히 안으로 쏙 들어가 있었던 작은 앞니가 개선되면서 웃는 모습이 많이 좋아졌습니다. 상대적으로 덧니처럼 보이던 송곳니의 느낌도 좋아졌네요.
부산비발치교정으로 했음에도 입이 더 튀어나오거나 하지 않았습니다.
옆모습을 보면 치료 후 입술이 조금 튀어나왔나? 싶으시겠지만 치료 전에 억지로 힘을 주며 다물어야 했던 입술이 편하게 다물리면서 그렇게 보이는 것 같고, 실제로 옆에서 웃는 모습을 보면 앞니가 튀어나오거나 하지는 않았습니다.
부산비발치교정으로도 만족스러운 결과를 얻었다고 볼 수 있습니다.
이상 키다리아저씨치과에서 부산비발치교정으로 악궁확장장치를 이용한 사례였습니다.
부산비발치교정 키다리아저씨치과에 오시는 길은 연산역 17번출구 바로 앞 건물 5, 6층입니다.
치과교정과 전문의(부산대 외래교수)와 치과보철과/통합치의학과 전문의(부산대 외래교수) 2명이 상주하며 교정치료와 일반치과치료를 협진하여 진료합니다.
<위 사진은 환자분의 동의를 구한 후 공개하는 사진자료입니다. 사진은 과장이나 조작이 없는 원본사진입니다. 교정치료로 인한 부작용으로는 치근흡수, 충치, 치아변색, 실활 등이 있을 수 있으며, 치료 전후 사진은 의료법 제 23조, 제 56조에 의거하여 게재합니다. 개인의 상태에 따라 치료결과는 달라질 수 있으므로, 교정전문의와 상의를 요합니다.>









































































































댓글