부산비발치교정 키다리아저씨치과에서 시행한 비발치 돌출입, 덧니 교정치료(feat. 악궁확장장치, 미니스크류)
- 키다리아저씨치과

- 2025년 9월 18일
- 3분 분량
키다리아저씨치과는 치과교정과 전문의(부산대 외래교수)와 통합치의학과 전문의 원장님이 상주하며 협진하는 치과입니다. 부분교정에서부터 난이도 높은 교정진료는 교정과 원장님이 진료를 하며, 임플란트, 사랑니발치, 충치치료, 틀니 등 일반진료는 통합치의학과 전문의 원장님이 진료합니다.
교정과 일반진료의 협진으로 자기치아를 최대한 아끼고 오래 쓰는 방법을 고심하며 수준 높은 진료를 제공합니다.
안녕하세요.
오늘 부산비발치교정 키다리아저씨치과에서 소개해 드릴 환자분은 치아가 삐뚤삐뚤하고 입이 튀어나온 돌출입 환자분입니다.
나이 : 23세
총 치료기간 : 2년 4개월(총 28개월)
사용한 장치 : 자가결찰 세라믹(엠파워 클리어, Empower clear) + 악궁확장장치 + 미니스크류
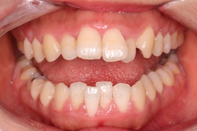
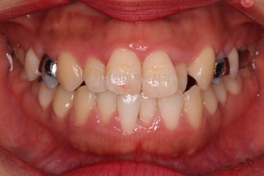
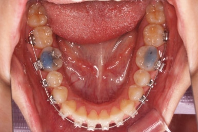
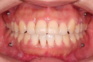
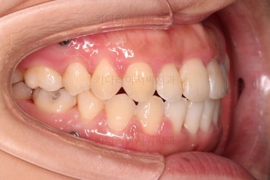
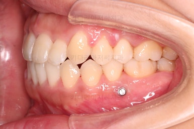
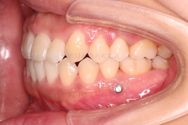
초진 시 입안의 모습입니다.
치열만 보면 앞니 위주로 삐뚤삐뚤함이 보이네요. 위쪽은 송곳니가 덧니처럼 보이고요.
특히 왼쪽 작은 앞니 하나가 거꾸로 들어가 있고 특히 아래 앞니 하나가 윗니보다 앞으로 튀어나와 있는데요.
이 경우 앞에 튀어나오는 앞니일수록 잇몸이 내려가요.
따라서 보이는 것, 양치의 용이함 뿐만 아니라 잇몸 건강을 위해서라도 가지런한 치아를 만들어주는 건 도움이 돼요.
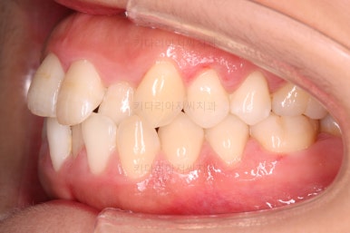
마찬가지로 초진 시 얼굴 모습인데요.
웃을 때 삐뚤한 앞니로 인해 부자연스러운 모습이고, 옆모습을 보면 돌출감이 느껴져요.
이런 돌출감은 앞모습에서도 느껴지는데요.
턱끝에 호두주름이라고 하는 주름이 들어가요. 턱끝에 힘을 줘야 입이 다물어진다는거죠.
이러한 주름 양상은 입을 더 돌출되어보이게 만들고, 무턱의 느낌도 주게돼요.
발치교정? 비발치교정?
치아가 많이 삐뚤다고 무조건 발치교정일까요?
아니면 돌출입이라고 무조건 발치교정일까요?
이번 환자분은 치아도 삐뚤고 돌출입이라서 발치교정이었을까요?
저는 발치교정은 무조건 싫어요. 그런데 입도 들어갔으면 좋겠어요.
가장 어렵죠.
만약 발치해도 상관없다 하셨으면 발치교정으로 치료계획을 세웠을거에요. 누가봐도 돌출입이었고 누가봐도 확실한 전후변화를 보려면 발치가 답이었을거에요.
그런데 문제는 본인이 발치를 하기 싫어하셨어요.
보통 여러 가지 이유가 있는데요. 막연히 싫으신 분, 치아를 뽑기 아까운 분, 발치가 무서우신 분....
그럼에도 발치를 안하면 오히려 결과가 나빠질 것 같은 경우는 "무조건 하셔야 됩니다." 라고 권유드리지만요.
이번 환자분은 목표를 "가지런하게 하되, 처음 입매보다 튀어나오지만 않으면 됩니다." 약간만이라도 들어가면 괜찮습니다. 발치만 안한다면요." 라고 정했기 때문에 비발치교정으로 해보자고 했죠.
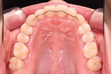
악궁확장을 했어요.
악궁확장은 단순히 많이 삐뚤다고 하는게 아님을 지난 글에서 설명드렸지요.
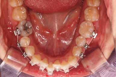
악궁확장 이후 적절한 기간동안 부착하고 있어야 되기 때문에 아래 치열 먼저 장치를 부착하고 가지런하게 해줘요.
이번에 사용한 장치는 엠파워 클리어라고 하는 자가결찰 세라믹 장치인데요.
철사를 잡아주는 뚜껑이(결찰) 몸체에 달려있는 (자가) 세라믹 제질의 장치라는 뜻이고요. 대표적인 장치가 클리피씨인데요. 똑같은 원리와 재료인데 제조사가 일본이냐(클리피) 미국이냐(엠파워)의 차이에요.
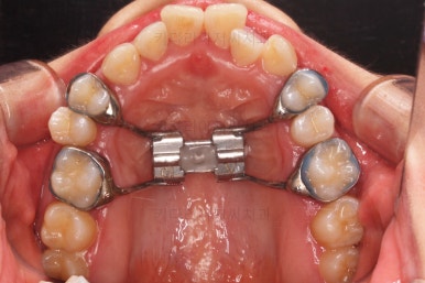
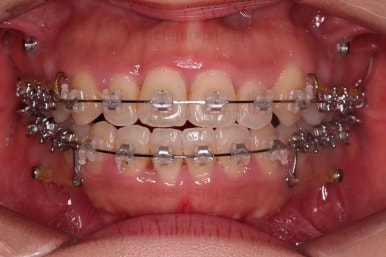
적절한 악궁확장 유지기간 이후에 윗니도 브라켓을 부착해줘요.
장치 부착 직후의 얼굴 사진이에요.
웃을 때의 사진을 보시면 장치가 얼마나 눈에 띄나 알 수 있을 거에요.
왼쪽은 초진 시, 오른쪽은 장치 부착 직후의 옆모습이에요.
장치 부착하니 확실히 입이 더 불편해지고 튀어나오는 모습인데요.
그 정도는 사람마다 매우 달라서 직접 부착해 보지 않으면 확실히 알기 힘들답니다.
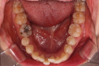
교정 시작 8개월째의 모습입니다.
치열은 가지런해졌고, 맞물림도 나쁘지 않아요.
입 안의 모습만 보면, 지금 상황에서 치료 종료를 해도 큰 문제는 없으나 앞으로의 관심사는 따로 있죠.
"최대한 돌출입을 개선한다."
입 안에 미니스크류라고 하는 작은 임플란트를 잇몸뼈에 식립을 하고요.
사랑니도 발치하고, 해당 공간을 이용해서 모든 치열을 후방으로 밀어주게 돼요.
계속 당깁니다.
입안만 보면 변화가 거의 없어보여요.
중간중간 얼굴모습도 체크해 주고요.
확실히 입매도 들어가고 있네요.
비발치라서 분명 한계는 있어요. 발치교정만큼 확실한 전후 차이가 나는건 아니거든요.
따라서 중간중간 의견 교환도 많이 해줘야 돼요.
사랑니를 뽑은 자리는 여전히 이용 가능한지
입매는 만족하시는지
최대한 더 당겨보려고 하면, 치료기간이 그만큼 늘어나는데 괜찮으신지
등등 치료 가능성과 환자분의 목표를 적절히 버무려가며 치료방향을 결정해 줘야 돼요.
보통 발치교정이 더 오래 걸리고 비발치교정이 더 빨리 끝난다고 알고 계시는 분들이 많은데요.
맞는 말일 수도 있고 틀린 말일 수도 있어요.
비발치교정이라는건 그만큼 입을 적게 넣겠따는거고요. 목표하는 치아 움직임이 적다는거에요. 그래서 치료기간도 짧은 경우가 많은데요.
대신 이번 환자분의 사례처럼 비발치면서 발치에 최대한 근접하게 해볼 수 있는데까지는 해보자! 이런 목표라면 오히려 발치치료보다 더 오래 걸려요.
적절한 수준에서 타협점을 찾아 치료를 마무리 하기로 했어요.
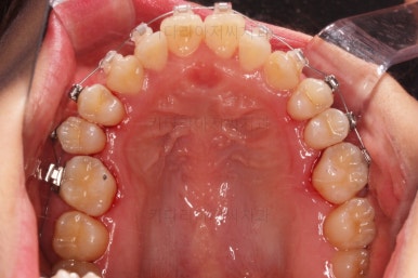
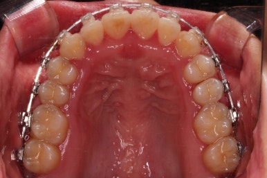
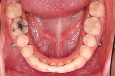
서서히 디테일한 마무리를 해주고요.
치열이 굉장히 가지런해졌고요.
교합도 양호해요.
입 다무는 느낌이 훨씬 좋아졌어요.
입매도 확실히 표시는 많이 안나지만 비발치로 할 수 있는 최선의 결과물은 얻은 것 같아요.
웃는 모습도 예삐졌고요.
전후 비교를 해볼게요.
환자분께서는 매우 만족하신 치료였어요.
원하시는 비발치교정이었는데 심지어는 입매도 만족하는 수준까지 개선이 되었어요.
이상 악궁확장장치와 미니스크류를 이용해 돌출입, 덧니를 비발치로 치료한 부산비발치교정 치료사례였습니다.
키다리아저씨치과에 오시는 길은 연제구 연산동 연산역 17번출구 바로 앞 건물 5, 6층입니다.
치과교정과 전문의(부산대 외래교수)와 통합치의학과 전문의(서울대학교 졸업) 2명이 상주하며 교정치료와 일반치과치료를 협진하여 진료합니다.
<위 사진은 환자분의 동의를 구한 후 공개하는 사진자료입니다. 사진은 과장이나 조작이 없는 원본사진입니다. 교정치료로 인한 부작용으로는 치근흡수, 충치, 치아변색, 실활 등이 있을 수 있으며, 치료 전후 사진은 의료법 제 23조, 제 56조에 의거하여 게재합니다. 개인의 상태에 따라 치료결과는 달라질 수 있으므로, 교정전문의와 상의를 요합니다.>







































































































































































댓글