top of page

부산비발치교정 키다리아저씨치과에서 시행한 비발치 덧니교정 치료사례




"미니스크류를 이용한 투명교정장치에 관한 논문"으로 2023년도 Angle orthodontist(미국의 교정학회지) SCI 저널에 제 1저자로 게재되었습니다.


"2023년 대한치과 교정학회에서 표창장을 수여하였습니다."


"2023년 세계 구순구개열 학회에서 포스터 발표를 하였습니다."


항상 공부하고 노력하는 키다리아저씨치과가 되겠습니다.





안녕하세요.

오늘 부산비발치교정 키다리아저씨치과에서 소개해 드릴 환자분은 덧니를 교정하고 싶어하셨던 분입니다.


나이 : 17세

총 치료기간 : 1년 2개월(총 14개월)

사용한 장치 : 자가결찰 세라믹(엠파워 클리어, Empower clear)



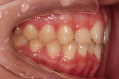
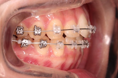
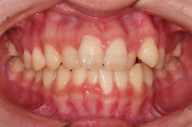
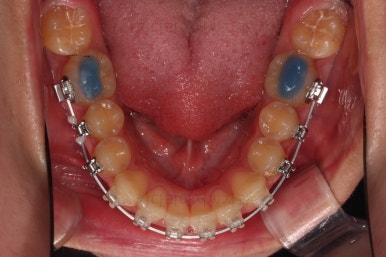
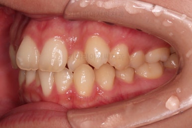
1. 초진


초진 시 입안의 모습입니다.


눈에 띄는 점은 윗니 송곳니가 덧니처럼 툭 튀어나와 있는 모습이었고요.


아랫니도 앞니쪽이 전반적으로 삐뚤어 보이네요.





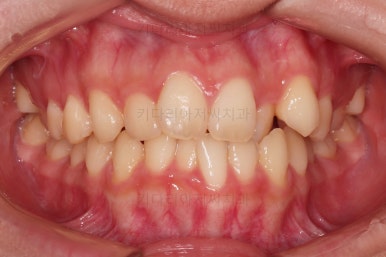
마찬가지로 초진 시 얼굴 모습인데요.


우선 입을 다물었을 때의 모습은 나쁘지 않습니다.

돌출감도 거의 없고, 다물었을 때의 자연스러운 느낌도 양호합니다.


다만, 입을 벌리거나 웃을 때 덧니가 눈에 띄어 미적으로 좋지 못했는데요.



2. 치료 계획

✅ 비발치 교정


공간이 얼마나 부족한지, 입이 얼마나 나왔는지, 어금니가 얼마나 불편감 없이 맹출했는지 등 여러 가지를 판단하여 발치 여부를 결정하는데요.


이번 환자분은 정상적인 입매와 심하지 않은 양의 삐뚤함으로 부산비발치교정으로 결정하였습니다.


다만, 특별한 조치 없이 가지런하게만 하면 삐뚤한 앞니가 펼쳐지면서 입이 튀어나오는 경우가 있는데요.


이 경우를 대비해서 필요시에 전치열을 후방이동 시키는 방식으로 보완하기로 했습니다.


Q. 삐뚤한 치열은 꼭 교정해줘야 하나요?


물론, 교정치료라는게 생명에 필수적인 치료는 아니긴 합니다.


다만, 삐뚤한 치열을 교정하지 않았을 경우 생기는 문제점에 대해 알아보면요.


  • 양치가 힘들어진다 -> 잇몸이 빨리 내려갈 수 있고, 충치도 빨리 생길 수 있습니다.

  • 미적으로 좋지 못하다.

  • 삐뚤어진 패턴대로 특히 앞니가 마모되어 나갑니다. 마모도는 특히나 삐뚤어진 채로 한 살 한 살 많아짐에 따라 더 심해질 수 밖에 없습니다.



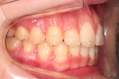
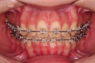
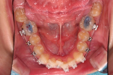
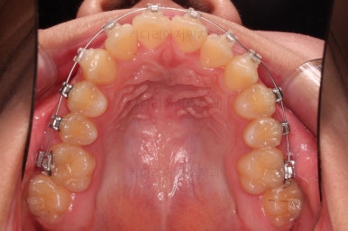
3. 치료경과


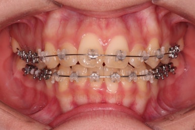
장치를 전반적으로 부착합니다.


이번 부산비발치교정 환자분이 선택한 장치는 자가결찰 세라믹 장치의 한 종류인 엠파워 클리어 장치인데요.


일반적으로 클리피씨라는 장치가 유명한데, 그 장치와 동일한 컨셉의 장치이며 제조국가만 미국(엠파워)이냐 일본(클리피)이냐의 차이가 있습니다.





장치를 부착한 직후의 얼굴 모습인데요.


장치가 보이는 느낌과 장치를 부착했을 때 입이 약간 어색해지는 느낌도 참고 바랍니다.


입술이 얼마나 장치 때문에 튀어나오는지는 사람마다 매우 차이가 커서 직접 부착해 봐야 알 수 있는 부분이 큽니다.





점점 가지런해지는 모습이 보이고요.


철사를 얇은 굵기에서 굵은 크기로 바꿔가면서 각도나 회전 등 3차원적인 정밀도를 올려갑니다.





이번 환자분은 부산비발치교정 이었기 때문에 앞니가 가지런해지면서 입이 튀어나오는지를 파악해줘야 되고, 환자분과 대화를 통해서 전 치열을 후방이동할 것인지, 이대로 마무리를 할 것인지 등을 조율해 나갑니다.





전치열 후방이동에 대한 의사는 없었으며, 현재 옆라인을 마족하시어 디테일을 조절하고 서서히 마무리를 해 나갑니다.



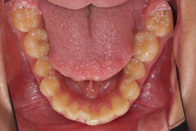
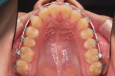
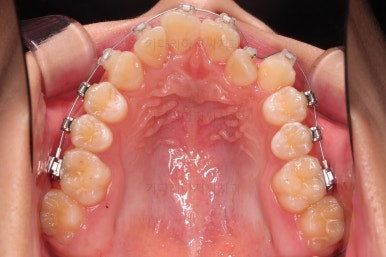
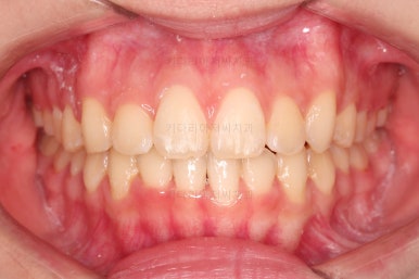
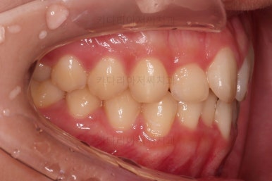
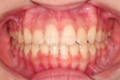
4. 마무리


덧니 및 앞니가 깔끔하게 배열이 되었고요.


교합이나 중앙선, 전반적인 아치의 형태도 다 좋아졌습니다.


부산비발치교정 전후 비교를 해볼게요.





교합, 배열, 중앙선 등 모두 좋아졌으며 입매는 거의 유지한 채로 비발치로 14개월만에 마무리가 잘 되었습니다.





이상 비발치로 덧니를 교정치료한 치료사례였습니다.


부산 연산동 교정치과 키다리아저씨치과에 오시는 길은 연제구 연산동 연산역 17번출구 바로 앞 건물 6층입니다.

치과교정과 전문의(부산대 외래교수)가 상주하며 교정치료 합니다.

 

<위 사진은 환자분의 동의를 구한 후 공개하는 사진자료입니다. 사진은 과장이나 조작이 없는 원본사진입니다. 교정치료로 인한 부작용으로는 치근흡수, 충치, 치아변색, 실활 등이 있을 수 있으며, 치료 전후 사진은 의료법 제 23조, 제 56조에 의거하여 게재합니다. 개인의 상태에 따라 치료결과는 달라질 수 있으므로, 교정전문의와 상의를 요합니다.>

댓글


bottom of page