부산비발치교정 키다리아저씨치과에서 시행한 비발치 덧니교정 치료사례
- 키다리아저씨치과

- 2월 12일
- 2분 분량

"미니스크류를 이용한 투명교정장치에 관한 논문"으로 2023년도 Angle orthodontist(미국의 교정학회지) SCI 저널에 제 1저자로 게재되었습니다.
항상 공부하고 노력하는 키다리아저씨치과가 되겠습니다.
안녕하세요.
오늘 부산비발치교정 키다리아저씨치과에서 소개해 드릴 환자분은 덧니로 교정치료를 하고 싶어하셨던 분입니다.
나이 : 24세
총 치료기간 : 1년 7개월(총 19개월)
사용한 장치 : 자가결찰 세라믹(엠파워 클리어, Empower clear) + 미니스크류
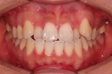
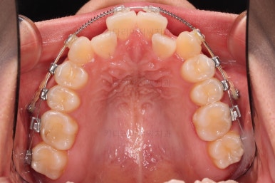
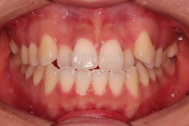
1. 초진
부산비발치교정 초진 시 얼굴 모습입니다.
우선은 덧니가 눈에 띄고요.
위아래 앞니가 삐뚤고, 어금니 교합이 톱니바퀴처럼 물려야 되는데 약간의 부정교합이 있는 편이었습니다.
마찬가지로 초진 시 얼굴 모습인데요.
옆에서 봤을 때의 입매는 양호한 편이고, 다물었을 때의 편안한 느낌도 양호합니다.
대신 웃을 때 보이는 치열이 덧니 때문에 좋지 못한 상황이었습니다.
2. 치료계획
발치 vs 비발치
삐뚤어진 정도, 돌출, 뻗침, 부정교합의 양에 따라서 발치 여부가 결정되는데요.
이번 환자분은 치열이 삐뚤긴 했으나 입이 많이 나온 편은 아니었고, 부정교합 부분도 충분히 비발치로 개선할 수 있는 정도였습니다.
또한 무엇보다도 본인 스스로의 미적 관점이 입을 적극적으로 넣고 싶다는 의사가 없으셨던 분이라 고민의 여지 없이 비발치 치료를 하기로 했습니다.
대신 부산비발치교정으로 삐뚤한 치열을 가지런하게 하면 입이 튀어나올 수 있기 때문에 공간확보 목적으로 전 치열을 미니스크류를 이용해 후방이동하기로 계획하였습니다.
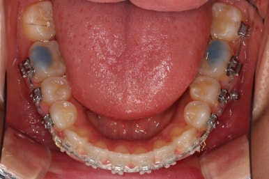
3. 치료
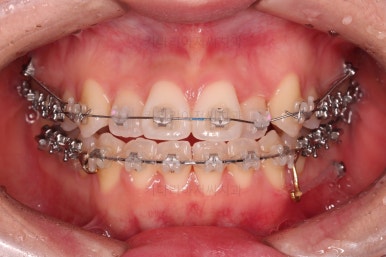
장치를 우선 부착했습니다.
이번 환자분이 선택한 장치는 엠파워 클리어라고 하는 자가결찰 세라믹 장치입니다.
흔히 알고 계신 클리피씨 장치와 같은 분류의 장치인데요.
제조회사가 일본회사(클리피)냐 미국회사(엠파워)냐의 차이라고 보시면 됩니다.
장치 부착 시의 모습 확인해 주시고요.
이번 환자분은 장치 부착 후에 입매가 약간 튀어나오는 타입이셨는데요.
편안하게 다물어지지 않고 턱끝에 힘이 들어가게 되죠.
장치 부착에 따라 입이 얼마나 나오는지는 사람마다 매우 차이가 커서 막상 부착해봐야 알게 되는 경우가 많습니다.
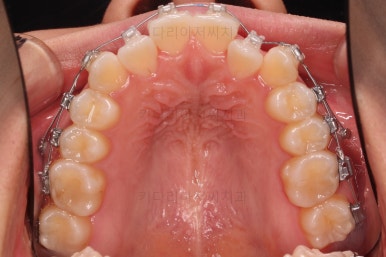
상대적으로 안으로 들어가 있던 작은 앞니는 공간을 충분히 확보해 준 뒤 가지런히 배열해 주는데요.
부정교합 부분도 동시에 개선하기 위해서 윗니는 미니스크류를 활용해서 부정교합도 잡아주고 공간확보도 해줍니다.
가지런한 느낌은 처음보다 많이 좋아졌고요.
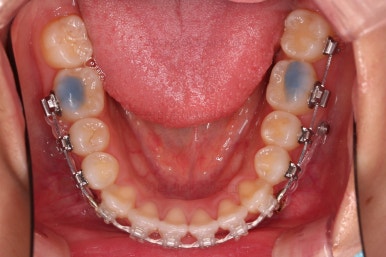
아랫니도 가지런히 배열 후에 위아랫니 통째로 뒤로 당겨주게 됩니다.
사랑니 발치와 미니스크류는 거의 필수사항이고요.
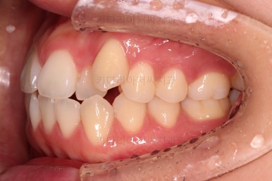
부산비발치교정 얼굴 모습 중간평가 해봅니다.
치열은 가지런해졌지만 비발치이다 보니 앞니가 튀어나갈 수 있는데요.
이번 환자분도 아직 입이 튀어나와 있는 모습입니다.
입을 다물었을 때 입술 주위, 턱끝에 힘이 들어가 보입니다.
지금부터는 입을 넣는데 포커스를 맞춰 치료를 이어가게 됩니다.
계속 뒤로 당겨줍니다.
또 다시 중간평가.
점점 입이 들어가는 부분이 느껴지실거고요.
얼마나 입을 더 넣어 볼 건지에 대한 계획을 상의해서 결정하게 됩니다.
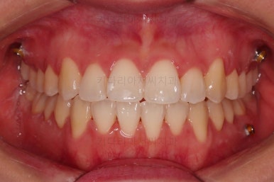
4. 마무리
약간 더 입을 넣고 디테일한 부분을 손보고 치료 종료하기로 했습니다.
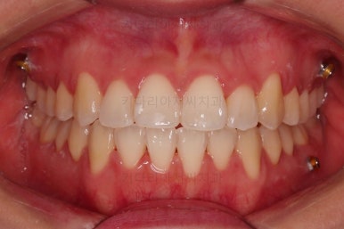
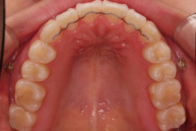
치열이 매우 가지런해졌고요.
교합, 중앙선 등 매우 다 좋아졌네요.
전후 비교해 보겠습니다.
치열이 매우 가지런해진 점 눈에 띄실거고요.
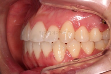
얼굴모습에서도 처음의 양호했던 입매가 유지되었는데 다만, 아랫니가 적극적으로 더 들어가면서 아랫입술 ~ 턱끝까지의 라인이 S라인이 잡히면서 훨씬 미적으로 좋아진 양상이네요.
이렇게 입술의 위치가 비슷하더라도 미세한 차이가 얼굴모습을 더 좋아지게 할 수 있습니다.
웃을 때 느낌도 많이 좋아졌고요.
이상 미니스크류를 이용해서 입이 더 튀어나오지 않고 발치 없이 덧니와 부정교합을 개선한 치료사례였습니다.
부산 연산동 교정치과 키다리아저씨치과에 오시는 길은 연제구 연산동 연산역 17번출구 바로 앞 건물 6층입니다.
치과교정과 전문의(부산대 외래교수)가 상주하며 교정치료 합니다.
<위 사진은 환자분의 동의를 구한 후 공개하는 사진자료입니다. 사진은 과장이나 조작이 없는 원본사진입니다. 교정치료로 인한 부작용으로는 치근흡수, 충치, 치아변색, 실활 등이 있을 수 있으며, 치료 전후 사진은 의료법 제 23조, 제 56조에 의거하여 게재합니다. 개인의 상태에 따라 치료결과는 달라질 수 있으므로, 교정전문의와 상의를 요합니다.>



































































































































댓글