부산비대칭교정 키다리아저씨치과의 비수술 안면비대칭 및 돌출입 교정 치료사례
- 키다리아저씨치과

- 2월 24일
- 4분 분량
"미니스크류를 이용한 투명교정장치에 관한 논문"으로 2023년도 Angle orthodontist(미국의 교정학회지) SCI 저널에 제 1저자로 게재되었습니다.
"2023년 대한치과 교정학회에서 표창장을 수여하였습니다."
"2023년 세계 구순구개열 학회에서 포스터 발표를 하였습니다."
항상 공부하고 노력하는 키다리아저씨치과가 되겠습니다.
안녕하세요.
오늘 부산비대칭교정 키다리아저씨치과에서 소개해 드릴 환자분은 안면비대칭과 돌출입으로 교정치료를 원하셨던 환자분 입니다.
나이 : 25세
총 치료기간 : 3년 2개월(총 38개월)
사용한 장치 : 자가결찰 세라믹(엠파워 클리어, Empower clear) + 미니스크류
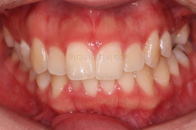
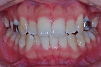
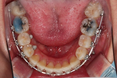
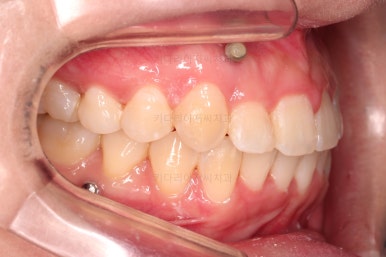
1. 초진
초진 시 입안의 모습입니다.
전반적으로 치열이 삐뚤고요.
위아래 중앙선이 약간 틀어져 있는데 많이 심한 편은 아니고요. 윗니가 배열된 U자 형태를 보면 아랫니보다 좁은 형태로 "악궁이 좁은" 상황이었습니다.
마찬가지로 초진 시 얼굴 모습입니다.
입 안의 모습에서는 보이지 않던 문제점이 바로 파악이 되실겁니다.
정면 모습에서 안면비대칭이 느껴집니다.
아래턱이 좌측으로 틀어져 있고요. 보통 턱이 틀어지는 방향으로 입술도 같이 끌려가기 때문에 입술이 기울어 있는 상태입니다.
단순히 입술만 기울어 있는 것은 아니고 치열도 같이 기울어 있는데요.

무슨 말씀이냐면, 머리 뼈라는 기준에 대해서 왼쪽 치열이 위로, 오른쪽 치열이 아래로 내려가 있어 전반적인 기울어짐을 보입니다.
따라서 이번 환자분은 턱끝 틀어짐-입술 기울어짐-치열 기울어짐이 모두 나타나는 상황이었습니다.
Q. 비대칭이 치아교정으로 개선이 될까요?
개선이 되는 비대칭이 있고 개선이 안되는 비대칭이 있습니다.
개선이 되는 비대칭은 "뼈의 좌우 길이와 모양은 양호한데, 위치가 잘못된 상황" 이며 개선이 안되는 비대칭은 "뼈 자체의 좌우 길이, 모양 등이 다른 경우" 입니다.
사실상 개선이 되는 비대칭은 극히 드물다고 볼 수 있는데요.
대부분의 경우는 뼈 자체의 길이, 방향, 모양이 달라서 생긴 상황이기 때문입니다.
따라서 이런 경우 비대칭을 개선하기 위해서는 양악수술만이 답인 경우가 많습니다. 이런 상황에서 아무리 마사지든, 침을 맞든 영구적인 효과는 없다고 봐야 합니다.
하지만 많은 환자분들이 부산비대칭교정 치료로 어느 정도 개선이 되겠지 하는 기대감으로 내원하시는데요.
사실상 뼈의 비대칭이 개선된다기 보다는 치열이 움직이고 입모양이 자연스러워지는 묘한 착시효과로 비대칭까지 개선되어 보이는 효과인거지 실제로 비대칭이 개선되는 것은 아닙니다.
그러면 교정치료로 개서뇌는 비대칭은 어떤 경우일까요?
뼈의 위치가 한 쪽으로 있는 경우(가짜 위치), 교합을 안정화 시키면서 제위치로 보내주는 치료를 하면 비대칭이 좋아지는데요, 악궁확장이 도움이 되기도 하고 턱관절 안전장치가 도움이 되기도 하고요. 기타 등등의 방법이 도움이 되기도 합니다.
2. 치료계획
Q. 양악수술도 생각하고 계신가요?
비대칭 개선을 원하시는 분들께는 꼭 질문을 하게 됩니다.
교정으로 고쳐지지 않는 비대칭의 경우를 파악한 뒤에 교정으로 고쳐지 않는다는 점을 수용할지, 수용하지 못하겠다면 양악수술까지 할 의사가 있으신지 반드시 물어보게 됩니다.
처음부터 가능한 부분, 불가능한 부분을 확실하게 선을 긋고 시작해야지 애매하게 기대가 될 것처럼 말씀드렸다가는 교정치료 종료 후에 매우 실망하게 되는 경우가 생기기 때문이죠.
이번 환자분은 양악수술은 생각 안하고 계셨으므로 비대칭이 잔존한다는 것을 충분히 인지하고 들어가셨고요.
옆모습에서의 돌출감은 좀 더 개선하기로 했습니다.
발치 vs 비발치
윗니 작은 어금니 하나가 좋지 못한 치아가 있어서 발치교정도 생각해 보았으나 여러 가지 방법을 통해서 입매를 약간 개선하는 정도는 비발치로도 가능하다고 판단되었습니다.
두 가지 발치, 비발치에 대한 말씀도 충분히 나눴고, 비발치로 진행해 보기로 했습니다.
3. 치료경과
악궁확장을 먼저 시행합니다.
아랫니에 비해서 윗니의 악궁의 폭이 좁기 때문에 가로폭을 먼저 개선합니다.
Q. 미니스크류를 심고 악궁확장 해야 하나요?
저희 부산비대칭교정 키다리아저씨치과에서는 CT분석으로 악궁확장의 필요량, 필요 여부, 미니스크류를 이용해야 하는지 여부를 100%는 아니지만 높은 확률로 추정하여 시행합니다.
이번 환자분은 성인이긴 했지만 미니스크류 없는 일반 타입의 악궁확장장치로 시도하기로 했습니다.
악궁확장 이후, 유지단계 동안 확장의 유지에 필요한 치아를 제외하고는 브라켓을 부착하게 됩니다.
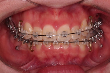
이번 환자분이 선택한 장치는 엠파워 클리어라고 하는 자가결찰 세라믹 장치인데요.
장치 부착 직후 입이 불편해지며 입매가 약간 나오는 양상과 웃을 때 드러나는 브라켓의 느낌 참고해 주세요.
치열만 보면 매우 가지런해진 것 같죠?
이때가 대략 8개월 정도 지났을 때의 모습인데요.
어차피 비대칭은 수용해야 되고, 중앙서노 100% 안맞으니 이정도만 해도 매우 양호한 것 같죠?
하지만 해볼만한 치료는 상당히 많습니다.
이때쯤의 얼굴모습인데요.
여전히 돌출감이 있기 때문에 전 치열을 후방이동해서 입매를 개선해 주고요.
앞에서 봤을 때 치열은 가지런해졌지만 기울어진 느낌을 조금이라도 잡아보고자 미니스크류를 이용해서 입매 개선 및 기울기 개선을 시도했습니다.
미니스크류가 구성되었고요.
기울기와 돌출입을 개선하고자 이러저리 밀고당고 하는 모습입니다.
오히려 이전 사진보다 치열이 더 틀어지고 잘 안맞는 모습이죠?
환자분도 이때부터는 매우 힘들어하시긴 합니다.
괜히 잘 맞아보이는 걸 손대서 이상해지는 느낌일거거든요.
잘 설명 드려가면서 좀 더 좀 더 진행해 봅니다.
입매가 참 많이 좋아졌네요.
여전히 기울기는 아쉽습니다.
100% 못맞춘다는 걸 알지만 그래도 좀 더 해보고 싶은 욕심이 생기는 것도 어쩔 수 없죠.
환자분도 만약에 종료를 원하셨다면 치료를 끝내도 됐었겠지만 일단 더 진행해보기로 했습니다.
기울기를 개선하다보면 중앙선이 더 틀어지는데요.
왜 그렇게 되는지 아무리 설명드려도 대부분의 분들이 잘 이해를 못하세요.
심지어는 치과 의사선생님들도 이런 부분을 100% 잘 모르는 경우가 많습니다.
어쨌든, 중앙선이 틀어지는만큼 중앙선도 더 맞춰주고요.
그만큼 시간은 점점 흐르고 환자분의 협조가 없었다면 환자분 스스로가 매우 힘들어질 법한 치료이긴 했습니다.
얼굴모습도 자주 확인해 주고요.
입매나 기울기도 매우 좋아졌죠?
이 쯤에서는 서서히 마무리를 하기로 했습니다.
4. 마무리
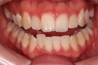
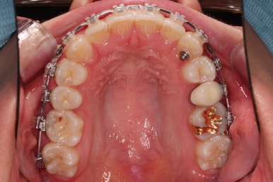
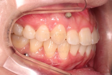
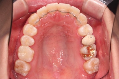
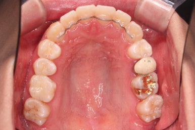
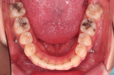
부산비대칭교정 마무리 때의 입안의 모습입니다.
가지런한 느낌은 좋지만 정중선 당연히 약간 안맞고요.
폭도 100%는 안맞아서 어금니쪽이 약간 애매한 교합이기도 했습니다.
하지만 이정도의 비대칭 상황에서 이정도의 교합은 교정만으로 할 수 있는 베스트가 아닌가 생각됩니다.
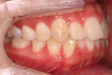
전후 비교 사진인데요.
입매가 비발치임에도 불구하고 매우 좋아졌고요.
치열과 교합도 매우 좋아졌습니다.
웃을 때 보이는 치열의 기울기도 좋아졌고요.
입을 다물었을 때 입술의 기울기도 처음보다는 좋아졌는데 앞서 말씀드린대로 뼈의 위치가 좋아졌다거나 뼈의 형태가 개선되어서 그런게 아니고요. 치열이 가지런해지고 입이 들어감으로서 입술이 다물어지는 편안한 정도가 바뀌면서 마치 입술의 비대칭까지 좋아진 듯한 착시효과가 생기는 것입니다.
비대칭은 여전히 비대칭입니다.
다만, 그 안에서 최대한 양호한 교합과 모양을 찾아가는 것이 이번 부산비대칭교정 치료의 목표였고, 그런 목표에서는 상당히 만족스럽게 치료가 끝났다고 판단됩니다.
이상 비수술, 비발치로 비대칭과 돌출입을 교정치료한 치료사례였습니다.
부산 연산동 교정치과 키다리아저씨치과에 오시는 길은 연제구 연산동 연산역 17번출구 바로 앞 건물 6층입니다.
치과교정과 전문의(부산대 외래교수)가 상주하며 교정치료 합니다.
<위 사진은 환자분의 동의를 구한 후 공개하는 사진자료입니다. 사진은 과장이나 조작이 없는 원본사진입니다. 교정치료로 인한 부작용으로는 치근흡수, 충치, 치아변색, 실활 등이 있을 수 있으며, 치료 전후 사진은 의료법 제 23조, 제 56조에 의거하여 게재합니다. 개인의 상태에 따라 치료결과는 달라질 수 있으므로, 교정전문의와 상의를 요합니다.>
























































































































































댓글