부산부정교합 키다리아저씨치과의 비발치 덧니 교정치료
- 키다리아저씨치과

- 2025년 2월 26일
- 2분 분량
안녕하세요.
부산부정교합 키다리아저씨치과에서 소개해 드릴 분은 덧니를 개선하고 싶어하셨던 환자분입니다.
나이 : 20세
총 교정기간 : 1년 2개월(총 14개월)
교정장치 : 자가결찰 세라믹(데이몬 클리어)
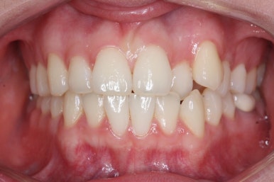
부산부정교합 키다리아저씨치과에 처음 내원하셨을 때의 얼굴 모습입니다.
옆모습에서 돌출감이 심하다거나 하지 않고 전체적인 비율은 굉장히 양호합니다.
다만, 왼쪽 위 덧니 때문에 웃거나 말할 때 두드러져 보입니다. 상대적으로 안쪽으로 들어와 있는 작은 앞니는 어두워 보이며 치열의 중앙도 덧니쪽으로 쏠려있습니다.
또한 입을 다물었을 때 덧니로 인해 볼록하게 잘 다물어지지 않는 양상도 보였습니다.
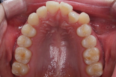
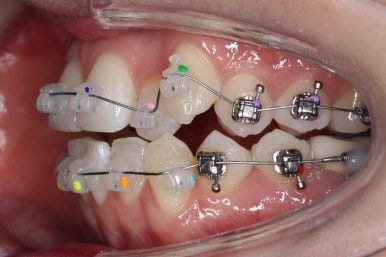
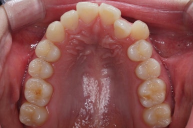
부산부정교합 키다리아저씨치과에 처음 내원하셨을 때의 입안 모습입니다.
위아래 앞니가 삐뚤고 특히 왼쪽 위 송곳니는 밖으로 두드러져 덧니 양상입니다. 윗니는 덧니쪽으로 쏠려 있어서 치열의 중앙이 맞지 않습니다.
전반적인 삐뚤어진 양, 돌출의 느낌, 골격의 비율 등을 고려했을 때 발치 없이 치료를 하기로 했습니다.
이번 환자분께서 사용하게 될 장치는 데이몬 클리어라는 세라믹 자가결찰 장치입니다.
세라믹 장치 중 대표적인 장치가 데이몬 클리어, 엠파워 클리어, 클리피씨 등이 있는데 부산부정교합 키다리아저씨치과에서는 데이몬 클리어와 엠파워 클리어를 주로 사용합니다. 약간의 부피감이 차이가 있고 세라믹 함량의 비율이 조금 차이가 납니다.
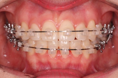
부산부정교합 키다리아저씨치과에서 장치를 처음 부착한 모습입니다.
많이 삐뚤어진 부위는 철사가 굽이굽이 지나가는 것을 볼 수 있습니다. 이 철사가 점점 직선으로 가지런해지면서 치아가 바르게 가지런해집니다.
부산부정교합 키다리아저씨치과에서 처음 장치를 부착한 모습입니다.
데이몬 클리어를 부착하면 얼굴 모습이 어떤 느낌으로 변화하는지 대략의 느낌을 보시면 되겠습니다. 데이몬 클리어는 세라믹의 함량이 많기 때문에 그만큼 부피가 큰 단점이 있으나 대신 심미적으로는 가장 뛰어난 장치가 되겠습니다.
장치 부착 전과 후의 옆모습 비교입니다.
장치를 부착함으로 인해 약간은 돌출감이 생겼습니다. 돌출되는 정도는 사람마다 매우 다르기 때문에 모든 분들이 이정도 튀어나온다고는 할 수 없기에 참고만 해주시면 되겠습니다.
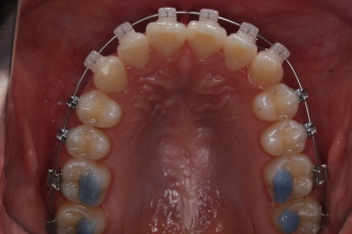
지그재그 방향으로 치열이 변해가는 중입니다.
이렇게 덧니가 가지런해지는데 1년도 채 안걸렸습니다.
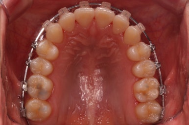
마찬가지로 지그재그 방향으로 치열이 변해가는 모습입니다.
윗니들만 보면 이런 모습으로 변해가고 있습니다.
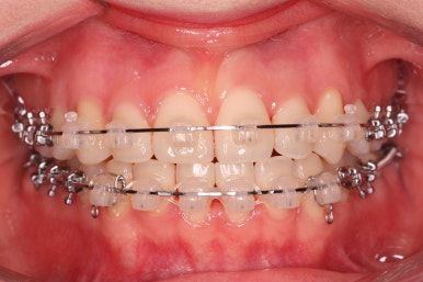
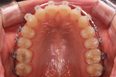
좀 더 디테일한 과정을 거치고 ㅂㄹ써 마무리가 되었습니다.
위아랫니가 매우 가지런해졌고 고민하셨던 덧니도 말끔히 개선되었습니다.
부산부정교합 키다리아저씨치과에서 이번 덧니 환자분을 치료하는데 걸린 총 기간은 14개월이였습니다.
부산부정교합 키다리아저씨치과에서 이번 덧니 환자분을 비발치로 치료한 이 후의 얼굴모습입니다.
덧니가 가지런해지면서 웃는 모습이 훨씬 자연스러워졌습니다.
또한 비발치, 즉 발치를 안하고 덧니를 가지런하게 했음에도 입이 더 돌출되거나 뻐드러지지 않고 치료를 할 수 있었습니다.
전후 사진을 비교해 보겠습니다.
14개월만에 치아는 가지런해졌고, 위아래 치열의 중앙도 맞아졌으며 발치를 하지 않았음에도 치열이 뻐드러지거나 돌출되지 않았습니다.
전반적으로 매우 좋아졌습니다.
또한 오히려 부각되었던 대문니의 뻐드러짐이 치료 후 개선이 되었고 웃는 모습도 굉장히 예뻐졌습니다.
이상 부산부정교합 키다리아저씨치과에서 비발치로 덧니를 교정치료한 환자분의 사례였습니다.
키다리아저씨치과에 오시는 길은 연산역 17번출구 바로 앞 건물 5, 6층입니다.
치과교정과 전문의(부산대 외래교수)와 치과보철과/통합치의학과 전문의(부산대 외래교수) 2명이 상주하며 교정치료와 일반치과치료를 협진하여 진료합니다.
<위 사진은 환자분의 동의를 구한 후 공개하는 사진자료입니다. 사진은 과장이나 조작이 없는 원본사진입니다. 교정치료로 인한 부작용으로는 치근흡수, 충치, 치아변색, 실활 등이 있을 수 있으며, 치료 전후 사진은 의료법 제 23조, 제 56조에 의거하여 게재합니다. 개인의 상태에 따라 치료결과는 달라질 수 있으므로, 교정전문의와 상의를 요합니다.>









































































































































댓글