부산부분교정 키다리아저씨치과의 앞니 부분교정 치료사례(feat. 과개교합의 부분교정)
- 키다리아저씨치과

- 2025년 12월 4일
- 2분 분량

"미니스크류를 이용한 투명교정장치에 관한 논문"으로 2023년도 Angle orthodontist(미국의 교정학회지) SCI 저널에 제 1저자로 게재되었습니다.
항상 공부하고 노력하는 키다리아저씨치과가 되겠습니다.
안녕하세요.
오늘 부산부분교정 키다리아저씨치과에서 소개해 드릴 환자분은 전반적으로 삐뚤어진 치열이지만 앞니만 부분교정으로 개선하고자 하셨던 환자분입니다.
나이 : 25세
총 치료기간 : 8개월
사용한 장치 : 자가결찰 세라믹(엠파워 클리어, Empower clear) + 미니스크류
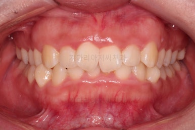
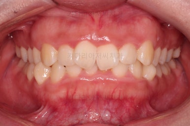
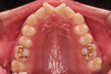
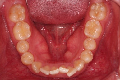
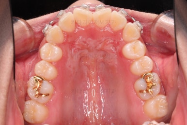
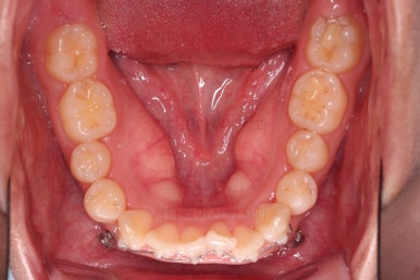
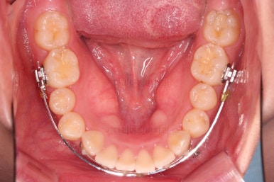
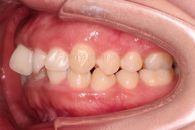
초진 시, 입안의 모습입니다.
위아래 앞니가 삐뚤고, 나비 날개처럼 껶여있네요. 일명 "나비치아".
어금니쪽 교합도 썩 좋은 편은 아니었고, 어금니쪽도 삐뚤한 양상이었어요.
그리고 아래 앞니가 윗니 안쪽을 깊숙하게 치고 올라가 있는 양상인데, 이를 과개교합이라고 합니다.
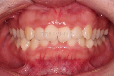
부산부분교정 초진 시, 얼굴모습인데요.
아주 약간의 돌출감이 있으나 자연스러운 정도가 굳이 개선이 필요하지 않고요.
대신, 웃거나 말할 때 보이는 치열이 삐뚤어서 심미적으로 좋지 못하네요.
부분교정
간혹 부분교정을 "기간도 짧고, 장치도 적게 붙이고, 비용도 저렴한 만능의 치료" 정도로 기대하시는 분들이 있는데요.
그렇지는 않아요.
내가 포커스를 맞추는 부분 말고는 놔둔다는 개념의 교정이므로 당연히 기간도 짧고 장치도 적게 붙이는데요.
대신 애매한 점이 많은 치료입니다.
보통은 이러이러해서 애매해지는데 괜찮으시겠어요? 라고 말씀 드려도 처음에는 막연하게 괜찮겠지 하시다가 결과물을 보고는 어? 왜이래요? 하는 경우도 참 많답니다.
그래서 처음부터 시각적인 시뮬레이션을 통해서 의사소통을 하고, 가능한 부분과 불가능한 부분, 오히려 마이너스 되는 부분 등을 잘 협의를 보고 들어가야 한답니다.
이번 환자분의 경우, 당연히 부분교정으로는 개선되지 않는 점, 수용해야 할 점들을 설명을 드렸는데요.
특히 처음에는 부분교정 보다는 전체교정을 설명드렸어요.
부정교합 양상도 꽤나 있었고, 어금니 맞물림도 좋은 편이 아니었거든요.
특히나 과개교합의 경우 부분교정으로 개선하기 굉장히 힘든 케이스인데요.

현재의 모습이 왼쪽, 가상의 시뮬레이션 모습이 오른쪽인데요.
치열을 안쪽(혀쪽)에서 바라본 모습입니다.
과개교합으로 인해 아래 앞니가 윗니 안쪽까지 솟구쳐 있는 양상이라 이대로 부분교정을 마무리하 게 되면 유지장치도 부착하지 못할 뿐더러 앞니의 개선도 한계가 있어요.
"그래도 부분교정으로 해보고 싶어요."
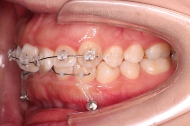
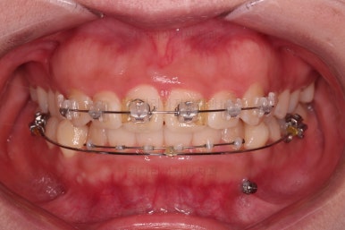
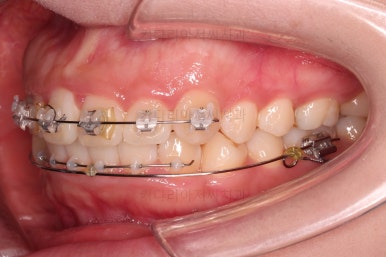
부분교정 중에도 난이도 상의 부분교정을 진행하게 되었습니다.
장치를 부착했고요.
솟구쳐 있는 아래 앞니의 높낮이를 조절하기 위해 미니스크류를 사용했어요.
일반적으로 미니스크류까지 사용해야 될 정도의 케이스면 전체교정이 적합한데요.
부분교정을 원하시는 환자분의 요구를 들어드리기 위해 부분교정으로 진행하되, 과개교합을 개선할 수 잇는 다양한 방법을 적용해보기로 했답니다.
미니스크류도 사용하고, 2x6이라고 해서 어금니에도 일정 부분 힘을 걸어주면서 과개교합을 거의 개선했어요.
물론 어금니 부분의 아쉬운 점이 남았지만, 이는 충분히 환자분과 얘기된 부분이라 조금만 더 마무리를 하고 종료하기로 했습니다.
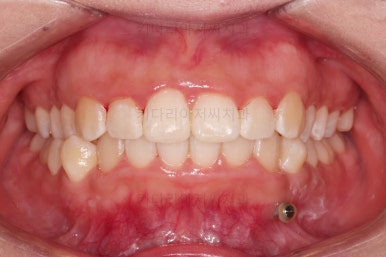
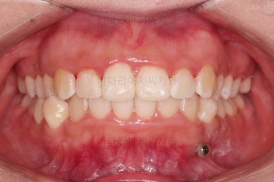
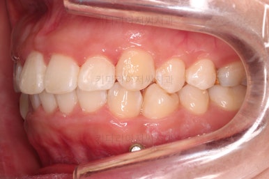
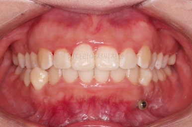
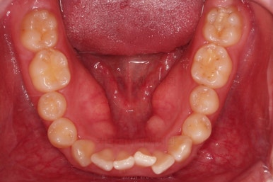
부산부분교정 8개월만에 종료했는데요.
가지런한 느낌 좋고, 나비치아 형태도 개선되었어요.
과개교합도 개선되어 매우 깔끔하게 치료가 마무리 되었습니다.
전후 비교해 볼게요.
환자분의 니즈 안에서는 거의 모든 것을 개선했던 부산부분교정 치료사례였습니다.
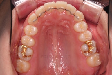
과개교합이 재발하지 않도록 특수 제작한 유지장치(사진에서 보이는 것 외)를 사용했고, 주기적인 체크를 향후에 시행하기로 했습니다.
이상 과개교합과 삐뚤한 나비치아를 가진 환자분을 미니스크류를 이용해서 앞니 부분교정치료한 사례였습니다.
키다리아저씨치과에 오시는 길은 연제구 연산동 연산역 17번출구 바로 앞 건물 6층입니다.
치과교정과 전문의(부산대 외래교수)가 상주하며 교정치료 합니다.
<위 사진은 환자분의 동의를 구한 후 공개하는 사진자료입니다. 사진은 과장이나 조작이 없는 원본사진입니다. 교정치료로 인한 부작용으로는 치근흡수, 충치, 치아변색, 실활 등이 있을 수 있으며, 치료 전후 사진은 의료법 제 23조, 제 56조에 의거하여 게재합니다. 개인의 상태에 따라 치료결과는 달라질 수 있으므로, 교정전문의와 상의를 요합니다.>































































































댓글