부산부분교정 키다리아저씨치과에서 시행한 중년 돌출과 틈새가 있는 앞니 교정치료(feat. 틀니)
- 키다리아저씨치과

- 2025년 10월 10일
- 2분 분량
키다리아저씨치과는 치과교정과 전문의(부산대 외래교수)와 통합치의학과 전문의 원장님이 상주하며 협진하는 치과입니다. 부분교정에서부터 난이도 높은 교정진료는 교정과 원장님이 진료를 하며, 임플란트, 사랑니발치, 충치치료, 틀니 등 일반진료는 통합치의학과 전문의 원장님이 진료합니다.
교정과 일반진료의 협진으로 자기치아를 최대한 아끼고 오래 쓰는 방법을 고심하며 수준 높은 진료를 제공합니다.
안녕하세요.
오늘 부산부분교정 키다리아저씨치과에서 소개해 드릴 환자분은 부분틀니를 사용하고 계셨던 중년의 환자분으로 해가 갈수록 앞니가 튀어나오고 벌어져 틈새를 떼우는 치료를 지속적으로 받아오셨는데 이후에도 점점 더 벌어져서 교정치료로 개선하고 싶다고 내원하신 환자분입니다.
나이 : 57세
총 치료기간 : 9개월
사용한 장치 : 자가결찰 세라믹(엠파워 클리어, Empower clear) + 미니스크류
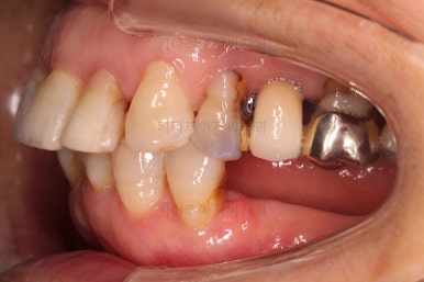
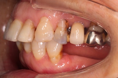
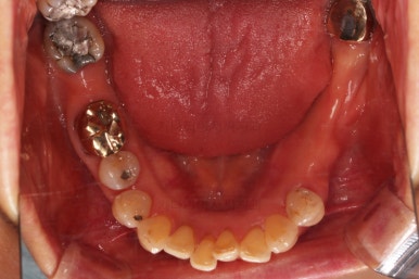
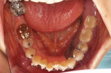
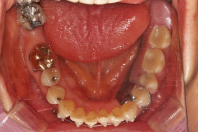
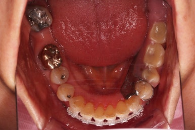
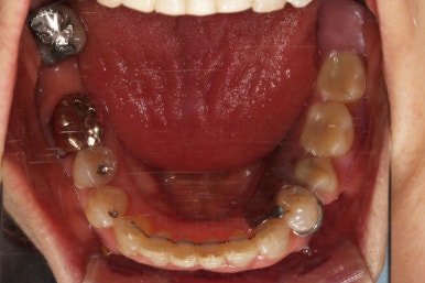
초진 시 입안의 모습입니다.
일반적인 교정을 하기에는 적합한 모습은 아니었어요.
치아는 군데군데 없고 임플란트도 있고 브릿지로 연결된 치아도 있으며 전반적인 잇몸 상태도 좋지 못했어요.
앞니가 벌어져 있고 뻗쳐 있으며 잇몸에서 쏙 빠져나와 있는 듯한 느낌이었어요.
원래는 앞니 사이 틈이 생길 때마다 사이사이를 떼우는 치료를 받으셨데요.
그런데 시간이 지나면 또 벌어지고 또 벌어지고 반복해서 떼우는 정도로는 해결이 힘들겠다 여기셔서 키다리아저씨치과를 찾아주셨어요.
마찬가지로 초진 시의 얼굴 모습입니다.
앞니가 뻐드러져 있고 틈새가 있다보니 콤플렉스셨나봐요.
그리고 옆 라인에서 돌출감도 보이고요.
키다리 : "교정치료를 왜 하실려고요?"
환자분 : "떼워둔 부분 다시 다듬어내고 틈도 모으고 싶고, 입도 넣고 싶어요."
키다리 : "잇몸도 좋으신 편이 아닌데다, 치아도 많이 없으셔서 솔직히 교정치료가 추천되는 상황은 아니세요. 이러이러한 .... .... 위험성이 있고 결과가 원하시는 만큼 안나올 수도 있고...."
환자분 : "위험성이나 그런 부분들은 감안할테니, 최대한 한 번 해봐주세요." "앞니 부분교정으로요."
키다리 : "네? 부분교정이라고요? 😮
환자분께서 아주 어려운 과제를 주셨어요.
부분교정으로만 하고싶어 하셨고 입도 최대한 넣고 싶어하셨어요.
I-Tero를 통해 가상으로 시뮬레이션을 돌려봤어요.
특히나 부분교정에서는 가능/불가능을 확인해 보는 매우 좋은 도구지요.
이번 환자분께서도 이런 모습을 보여드리고 부작용, 위험성, 좋지 않은 치아들이 발치될 가능성 등등 귀에 못이 박히게 안좋은 얘기들 말씀을 많이 드리고 교정을 시작해 보기로 했습니다.
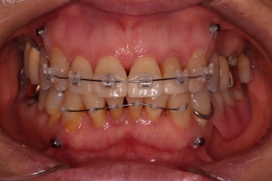
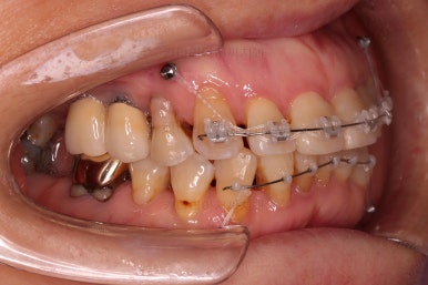
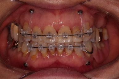
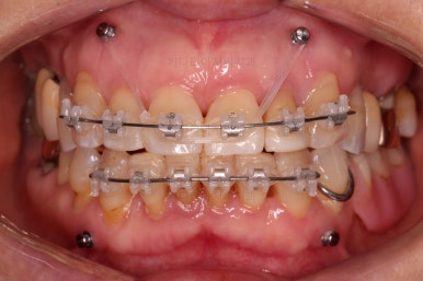
우선 장치를 부착하고요.
가지런하게 하면서 치간삭제 및 기존 떼워진 수복물을 제거한 뒤에 틈을 만들거나 모아줘요.
잇몸에서 주욱 빠져나와서 길어보이던 치아를 다시 잇몸 속으로 원위치 시키는 작업을 같이 해줘요.
점점 부산부분교정을 통해 가지런해지면서 틈새가 모이는 걸 볼 수 있어요.
치아가 없는 부분은 틀니도 병행해서 사용하셨고요.
잇몸이 워낙 약하시다보니 힘을 가하는 방향대로 움직이기도 했지만 과반응이 나타나기도 하고 원치 않는 부분에 새로 틈새가 생기기도 했어요.
치료 난이도로 보면 극상의 케이스였어요.
앞니가 약하다보니 앞니들이 통째로 앞으로 튀어나가는 바람에 또 다른 여러 가지 장치를 활용해 주기로 했습니다.
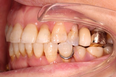
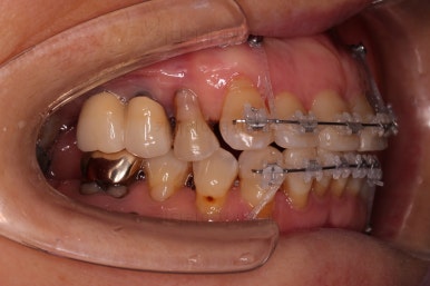
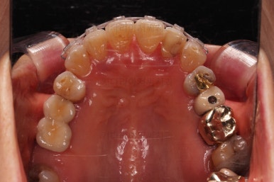
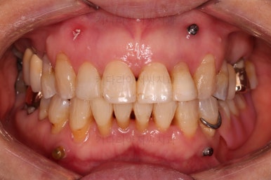
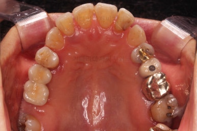
마무리 때의 사진입니다.
교정치료 자체는 9개월만에 끝냈지만 잇몸이 약해서 재발이 우려됐고 예후가 불량해서 뽑아야 되는 치아도 있어 해당 부분을 임플란트를 할 지 최대한 계속 써볼지 등에서 고민하느라 최종 종료는 한참 더 걸리긴 했어요.
부착형 유지장치 뿐만 아니라 보조적으로 재발을 막아줄 목적의 독특한 형태의 뺐다꼈다 유지장치도 드렸어요.(여기서는 공개 안할겁니다. 비밀입니다. ㅎㅎ)
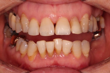
부산부분교정 전후사진을 비교해 볼게요.
치열이 매우 가지런해졌고 보이던 틈새도 다 없어졌으며 뻐드러진 느낌도 완벽히 좋아졌어요.
잇몸에서 쑤욱 빠져나와 보이던 치아도 원위치를 찾았고요.
앞니도 약간이나마 뒤로 들어가서 입매도 많이 좋아졌어요.
예휴가 안좋아 뽑아야 될 수 있는 치아는 최대한 아껴아껴 오래 쓰면서 현재 결과가 잘 유지됐으면 좋겠네요.
이상 부산부분교정 키다리아저씨치과에서 시행한 미니스크류를 이용해 앞니 부분교정으로 돌출, 틈새, 뻐드러진 치아를 교정한 중년 교정 사례였습니다.
키다리아저씨치과에 오시는 길은 연제구 연산동 연산역 17번출구 바로 앞 건물 5, 6층입니다.
치과교정과 전문의(부산대 외래교수)와 통합치의학과 전문의(서울대학교 졸업) 2명이 상주하며 교정치료와 일반치과치료를 협진하여 진료합니다.
<위 사진은 환자분의 동의를 구한 후 공개하는 사진자료입니다. 사진은 과장이나 조작이 없는 원본사진입니다. 교정치료로 인한 부작용으로는 치근흡수, 충치, 치아변색, 실활 등이 있을 수 있으며, 치료 전후 사진은 의료법 제 23조, 제 56조에 의거하여 게재합니다. 개인의 상태에 따라 치료결과는 달라질 수 있으므로, 교정전문의와 상의를 요합니다.>















































































































댓글