부산부분교정 키다리아저씨치과에서 시행한 어금니가 없을 때의 케이스
- 키다리아저씨치과

- 2025년 2월 7일
- 2분 분량
안녕하세요.
오늘 키다리아저씨치과에서는 어금니가 한 개 없어 임플란트가 필요로 한 상태였지만 임플란트 식립을 할 자리가 애매해 부산부분교정을 통해 공간을 먼저 확보한 교정치료 케이스입니다.
나이 : 20세
총 교정기간 : 부분교정 4개월 + 임플란트 5개월
사용한 장치 : 미니스크류
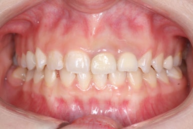
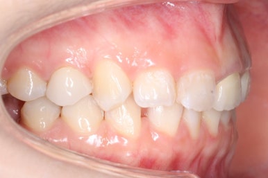
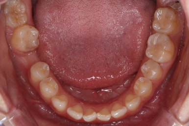
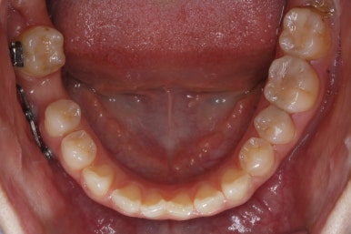
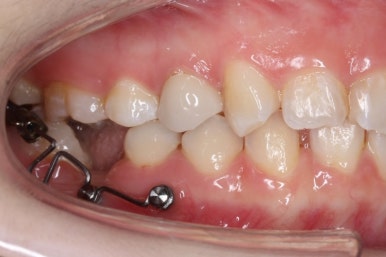
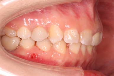
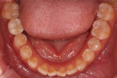
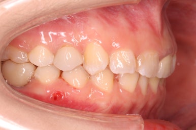
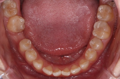
초진 때의 입안 모습입니다.
앞니는 고른 편이였으나 군데군데 틈새가 있었습니다. 약간 삐뚠 모습도 보이지만 환자분께서 개선을 하고자 했던 부분은 아래쪽 어금니 1개가 없는 자리였습니다.
부분교정이란?
앞니나 어금니 등 본인이 원하는 치아만 이동을 시키는 것을 말합니다. 흔히 앞니를 부산부분교정으로 많이 하는데 눈에 띄는 부분이기 때문이죠.
그러나 이번 경우는 오히려 앞니가 아닌 어금니만 개선을 하고 싶어하셨기 때문에 어금니 부분교정이 맞겠습니다.

초진 시 X-ray 사진입니다.
화살표를 한 부분이 치아가 없는 자리인데요. 치아가 없으니 임플란트를 하면 되지 않을까? 하실 수 있지만 문제는 다른 곳에 있었습니다.
치아가 없는 상태로 오랜 시간이 지나게 되면 X-ray에서 볼 수 있듯이 인접해 있는 치아들이 옆으로 쓰러지게 됩니다. 이번 환자분도 뒤에 있던 치아가 쓰러져 임플란트를 식립할 공간이 잠식하였고 이대로 두게 되면 악순환으로 다른 치아까지도 쓰러지게 되죠.
더 좋지 않은 상황은 이가 없어지면서 교합이 안좋아진 윗니도 아래로 내려올 수 있게 된다는 것입니다.
이번 호나자분은 다행히 윗니는 괜찮았고 쓰러진 아랫니만 바로 하는 것을 목표로 하였습니다.
물론 어금니를 앞으로 당겨와 임플란트를 하지 않아도 되는 치료도 있지만 총 기간, 범위, 비용 등을 고려해 합리적으로 선택을 하면 됩니다.
부산부분교정 키다리아저씨치과에 처음 내원하셨을 때의 얼굴 모습입니다.
치아가 약간 삐뚤어져 있는 모습을 보이긴 하지만 환자분 스스로 개선을 할 필요성을 느끼지 못하셨고 적극적으로 개선을 해야 할 만큼의 얼굴 모습이 아니기에 어금니만 하기로 한 것이죠.
교정을 하고 나서도 얼굴모습, 정면에서 바라본 치아의 모습이 변화가 전혀 없이 현재 상태를 유지하게 됩니다.
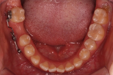
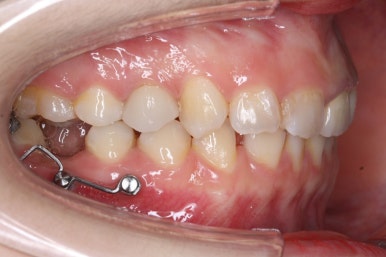
장치를 붙인 모습입니다.
개선을 하고자 하는 어금니에만 장치를 붙였고 다른 치아는 움직이지 않아야 하기 때문에 강한 지지대가 되어야 할 부분에 미니스크류를 식립했습니다.
매우 작은 장치이며 생체 친화적입니다.
교정 치료가 끝나면 제거를 할 것이므로 해가 될 부분이 없죠. 또한 부피도 작아 이물감도 오히려 교정 브라켓 보다 적습니다.

X-ray에서 보면 이런 모습이죠.
미니스크류가 치아 사이에 위치한 것을 볼 수 있는데요. 바로 세워야 하는 치아 뒤에 방해가 되는 사랑니는 발치를 하였습니다.
치료 과정을 순차적으로 보겠습니다.
임플란트를 식립하기 위한 공간이 서서히 확보가 되어 가는 것이 보입니다. 어금니만한 사이즈로 공간이 확보가 되면 식립이 이뤄지죠.
불과 4개월만에 장리가 충분히 확보된 모습입니다.
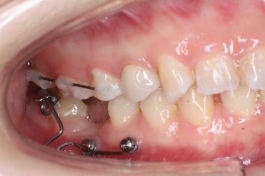
측면에서 본 모습입니다.
자리가 점점 넓어지는 것이 보입니다.
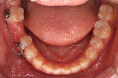
키다리아저씨치과에서는 부산부분교정을 통해 어금니가 충분히 뒤로 이동을 하면서 공간이 확보 되었다고 생각되면 임플란트 식립이 완료가 될 때까지 유지를 해줍니다. 유지가 원활히 되지 않으면 임플란트가 최종 완성되는 몇 개월간 다시 쓰러질 수 있거나 위치가 변할 수 있기 때문이죠.
화살표를 보시면 교정치료를 하지 않은 윗니들을 변화가 생길 것을 미리 염려해 철사를 붙여두었습니다. 임플란트 식립이 필요로 한 옆 치아에도 붙이고 미니스크류를 연결을 시켜 놓는 등 적극적으로 힘을 주는 과정이 아닌 현재를 유지하기 위한 장치입니다.
뼈의 상태 등에 따라 다를 수 잇지만 이번 경우는 5개월 뒤 임플란트가 완성이 되었습니다.
빈공간이 굉장히 자연스럽게 메워진 것을 볼 수 있죠.
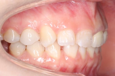
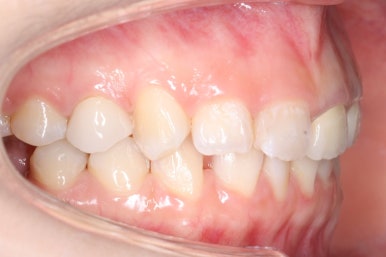
부산부분교정을 하기 전과 후의 모습입니다.
부분교정으로 하였기 때문에 다른 치아의 변화는 전혀 없습니다. 또한 비교적 짧은 기간으로 원하는 목표를 달성했죠.
부분교정으로 매우 만족스러운 결과를 이끌어 냈습니다.
이상 부산부분교정 통한 키다리아저씨치과에서의 어금니가 없을 때 미니스크류를 사용한 부분교정 케이스였습니다.
부산부분교정 키다리아저씨치과에 오시는 길은 연산역 17번출구 바로 앞 건물 5, 6층입니다.
치과교정과 전문의(부산대 외래교수)와 치과보철과/통합치의학과 전문의(부산대 외래교수) 2명이 상주하며 교정치료와 일반치과치료를 협진하여 진료합니다.
<위 사진은 환자분의 동의를 구한 후 공개하는 사진자료입니다. 사진은 과장이나 조작이 없는 원본사진입니다. 교정치료로 인한 부작용으로는 치근흡수, 충치, 치아변색, 실활 등이 있을 수 있으며, 치료 전후 사진은 의료법 제 23조, 제 56조에 의거하여 게재합니다. 개인의 상태에 따라 치료결과는 달라질 수 있으므로, 교정전문의와 상의를 요합니다.>














































































댓글