부산부분교정 키다리아저씨치과에서 시행한 벌어진 앞니, 나비치아 교정
- 키다리아저씨치과

- 2025년 4월 3일
- 2분 분량
안녕하세요.
오늘 부산부분교정 키다리아저씨치과에서 소개해 드릴 환자분은 나비형태로 틀어지고 벌어진 앞니를 부분교정으로 치료하신 분입니다.
나이 : 25세
총 치료기간 : 8개월
사용한 장치 : 자가결찰 금속(엠파워 메탈)
부산부분교정 키다리아저씨치과에 처음 내원하셨을 당시의 얼굴 모습입니다.
옆 모습에서 느껴지는 약간의 돌출입 느낌이 있긴 하지만 심하지 않고 스스로는 개선의사가 없으셨습니다.
다만 웃거나 말할 때 틀어진 앞니, 벌어진 앞니 때문에 심미적이지 못하여 교정치료를 원하셨습니다.
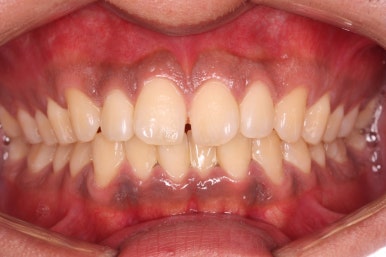
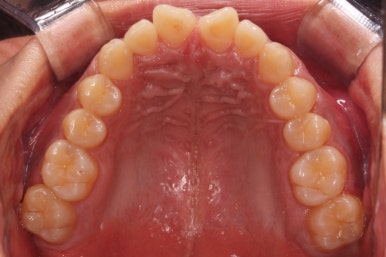
이번에는 입 안의 모습입니다.
어금니 부분은 대체로 가지런하며 씹는 기능에도 전혀 이상이 없었습니다. 앞니 두개가 나비 날개처럼 비틀어져 있었고 틈까지 벌어져 있었습니다.
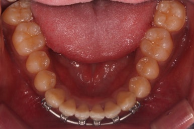
아래쪽 앞니도 약간 삐뚤어져 있는 상태였습니다.
이런 경우 교정치료를 하고자 하는 범위가 앞니이므로 부산부분교정을 하기로 했습니다.
선택하신 장치는 가장 부피가 작고 튼튼한 메탈 장치를 선택하셨습니다.
매번 말씀드리지만 세라믹이든 투명교정이든 설측교정이든 기호에 맞게 원하시는 장치를 선택하시면 되겠습니다.
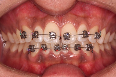
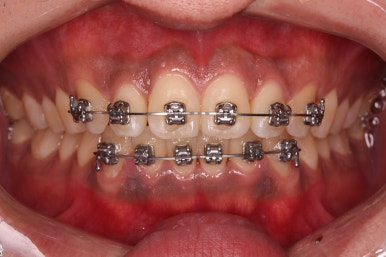
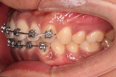
장치 부착한 직후의 모습입니다.
아무래도 메탈 장치이다보니 각종 심미적인 장치(세라믹, 설측, 투명교정)에 비해 눈에 잘 띄기는 합니다.
장치를 부착한 직후의 얼굴모습에서 얼마나 표시가 많이 나는지 보시겠습니다.
눈에 보이는 정도는 가장 심하긴 하지만, 부피는 상대적으로 작기 때문에 장치 부착 후 입술이 튀어나오는 정도는 적습니다.
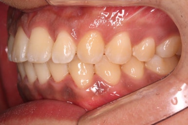
교정치료 후 3개월이 지난 시점의 사진입니다.
점점 가지런해지고 있는 모습입니다.
일반적으로 부분교정은 6개월 전후의 치료기간이 소요됩니다.
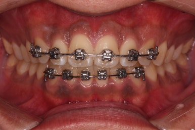
부산부분교정 키다리아저씨치과에서 교정치료를 시작한지 6개월이 지난 시점의 사진입니다.
거의 가지런해졌으며 이 시점부터는 환자분과 의견을 교환해 더 고치고 싶은 부분 등 심미적인 선호도를 반영하여 마무리과정에 들어가게 됩니다.
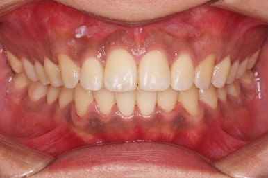
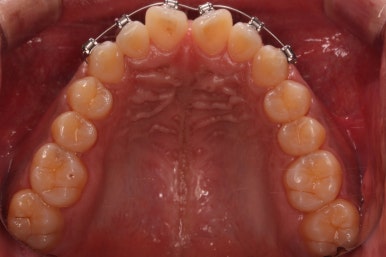
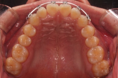
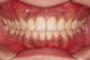
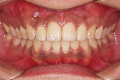
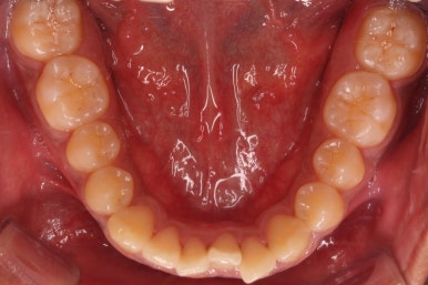
마무리 시점의 모습입니다.
앞니는 가지런해졌고 틈새도 없어졌습니다.
비대칭적인 형태를 갖던 좌우 앞니의 형태도 약간의 수정을 통해 좀 더 예뻐 보이도록 조절했습니다.
교정 치료 후의 얼굴 모습입니다.
부분교정이므로 얼굴모습에서의 큰 차이는 없고 웃거나 말할 때의 드러나는 치아의 모습이 매우 가지런해졌습니다.
사진 찍을 때 활짝 못 웃으시고 어색하게 웃으셔서 아쉬웠네요.
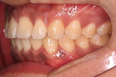
치료 전후 사진을 좌/우로 각각 나란히 놓아봤습니다.
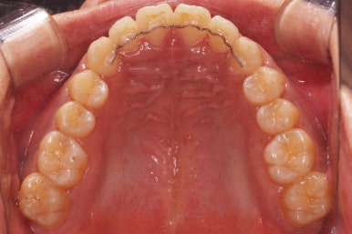
매우 가지런해진 것을 볼 수 있고, 치료 후에는 다시 틀어지거나 틈이 벌어지지 않도록 유지철사를 안쪽에다 붙여줍니다.
특히 나비치아는 교정치료 후에 가장 재발이 잘되는 유형의 치아입니다.
얼굴모습의 전후사진 비교입니다.
다물었을 때의 모습은 거의 차이가 없고(부분교정이므로) 웃거나 말할 때의 드러나는 치아의 모습은 굉장히 좋아졌습니다.
이상 부산부분교정 벌어진 앞니와 나비치아를 가진 환자분의 치료사례였습니다.
키다리아저씨치과에 오시는 길은 연산역 17번출구 바로 앞 건물 5, 6층입니다.
치과교정과 전문의(부산대 외래교수)와 치과보철과/통합치의학과 전문의(부산대 외래교수) 2명이 상주하며 교정치료와 일반치과치료를 협진하여 진료합니다.
<위 사진은 환자분의 동의를 구한 후 공개하는 사진자료입니다. 사진은 과장이나 조작이 없는 원본사진입니다. 교정치료로 인한 부작용으로는 치근흡수, 충치, 치아변색, 실활 등이 있을 수 있으며, 치료 전후 사진은 의료법 제 23조, 제 56조에 의거하여 게재합니다. 개인의 상태에 따라 치료결과는 달라질 수 있으므로, 교정전문의와 상의를 요합니다.>























































































































댓글