부산무턱교정 키다리아저씨치과의 편악발치 교정을 통한 돌출입 + 무턱 개선사례
- 키다리아저씨치과

- 2025년 3월 25일
- 3분 분량
안녕하세요.
오늘 소개해 드릴 분은 아래턱이 작아 무턱처럼 보이며 입이 튀어 나와보이는 돌출입을 가진 환자분입니다. 발치와 미니스크류를 이용하여 돌출입과 무턱을 개선하였습니다.
나이 : 23세
총 치료기간 : 2년 1개월(총 25개월)
사용한 장치 : 자가결찰 세라믹(엠파워 클리어) + 미니스크류
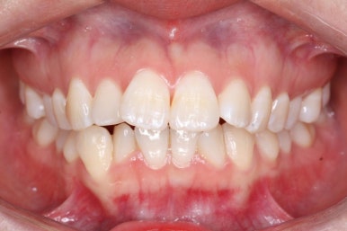
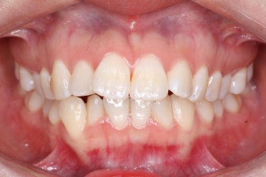
부산무턱교정 키다리아저씨치과에 처음 내원하셨을 당시의 얼굴 모습입니다.
아래턱이 작아 무턱처럼 보이고, 상대적으로 입이 튀어나와 돌출입입니다. 웃거나 말할 때 윗니가 많이 뻐드러져 보이고, 웃을 때 어금니쪽의 잇몸이 많이 보이는 상태였습니다.
돌출입, 무턱의 자가진단 방법
여러 가지 평가들을 통해 돌출입, 무턱 등을 평가해 볼 수 있는데요.
코 ~ 턱끝까지 이은 선(심미선)에 대해서 입술이 뒤로 들어가 있어야 합니다. 선보다 앞에 있느면 튀어나와 보이지요. 거꾸로 입이 튀어나와있으면 턱끝이나 코가 뒤에 들어가 보여, 코가 낮아보이고 무턱처럼 보입니다.
코 ~ 윗입술까지 이어지는 각도가 약 100도가 정상입니다. 각도가 작으면 작을수록 입이 튀어나와 보이지요.
아랫입술 ~ 턱끝까지 이어지는 S라인의 크기와 깊이가 적당해야 합니다. 골이 깊다거나 얕으면 튀어나와 보입니다.
앞에서 봤을 때 입 주위에 힘이 들어가고 턱끝에 힘이 들어가 복숭아씨처럼 보입니다.
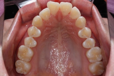
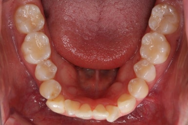
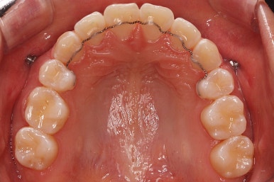
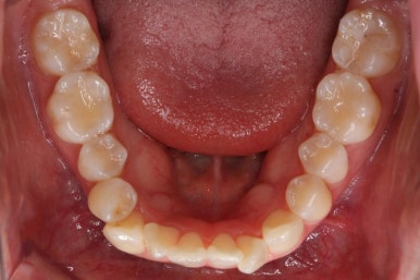
다시 이번 환자분으로 돌아가, 입 안모습을 보시겠습니다.
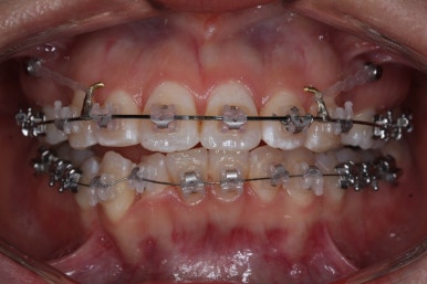
부산무턱교정 키다리아저씨치과에서 처음 내원하셨을 당시의 입 안의 모습입니다.
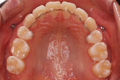
아래턱이 작아서 상대적으로 윗니들이 많이 돌출되었고, 뻐드러져 있습니다. 윗니들이 배열되어 있는 형태도 V자에 가깝게 입천장이 좁은 양상입니다.
얼굴모습과 입 안의 모습을 모두 고려하여 발치교정을 하기로 하였습니다.
결국 앞니를 뒤로 집어 넣어야 여러 가지가 해결이 되는데, 앞니를 뒤로 넣으려면 자리가 필요하고, 발치를 선택할 수 밖에 없는 상황이었습니다.
다만, 아랫니까지 뽑기에는 적절치 않아서 윗니만 발치하고 진행하기로 하였습니다.
이 후에는 미니스크류(마이크로 임플란트)를 이용하여 원하시는 만큼 입을 더 뒤로 넣기로 하였습니다.
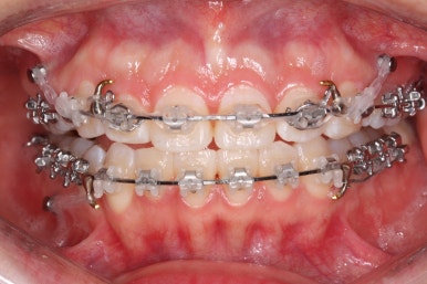
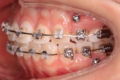
장치를 부착하였습니다.
이번에 부착한 장치는 엠파워 클리어라고 하는 자가결찰 세라믹장치 입니다.
세라믹이기 때문에 덜 보이며 자가결찰 장치이기 때문에 초기에 가지런해지는 속도가 빠르고 통증이 덜한 장점이 있습니다.
장치를 붙인 직후의 웃는 모습입니다.아무리 세라믹 장치라 하더라도 당연히 교정치료하는 것이 표시납니다. 덜 날 뿐이지요.
교정하는 것도 거의 모르게 하고 싶으시다면 인비절라인(투명교정)이나 설측교정이 적당하겠지요.
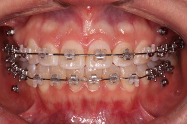
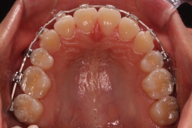
점점 가지런해지고 있습니다.
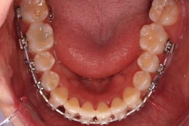
아래 앞니는 자리가 많이 부족했기 때문에 장치를 제대로 못 붙인 치아가 있고, 자리부터 확보해주고 있습니다.
윗니는 발치교정이라 하더라도 치아를 바로 뽑지는 않습니다.
최대한 쓸만큼 쓰고, 조금 움직여놓고 해야 수월하게 아프지 않고 뽑을 수 있습니다.
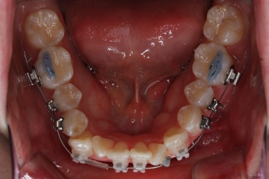
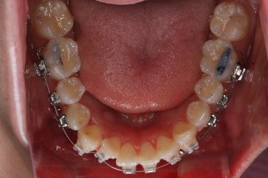
윗니는 발치를 했고, 잇몸뼈에 미니스크류를 식립하여 앞니를 뒤로 당겨넣고 있습니다.
아랫니는 아직 덜 가지런해졌네요.
이 뽑은 자리가 점점 줄어드는 것이 보입니다.
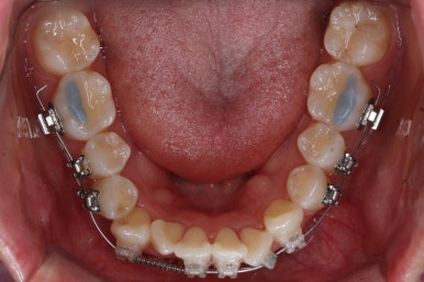
아랫니도 많이 가지런해졌네요.
이 뽑은 자리가 반 이상 줄어든 것 같네요. 아랫니는 마무리를 해도 될 정도로 많이 좋아졌습니다.
이 쯤되면 중간평가를 하게 됩니다.
입 모양을 보고 얼마나 더 넣을지, 앞으로는 어떤 방향으로 치료하게 될 지 다시 한 번 점검하는 것이지요.
처음 보다는 입이 많이 들어갔습니다.
다만 아직 턱끝에 힘이 들어가는 것을 봐서 입을 더 넣어야 될 필요가 있어 보입니다.
입을 만힝 더 넣을 것 같으면 아랫니쪽에도 미니스크류를 식립해서 아래는 발치 없이 통째로 뒤로 밀어넣을 수 있겠습니다.
이 뽑은 틈은 거의 없어져가고 있고, 중간평가 이 후 더 필요한 위치에 미니스크류를 추가하여 당기고 밀고 밀어넣고 다양한 작업을 해주게 됩니다.
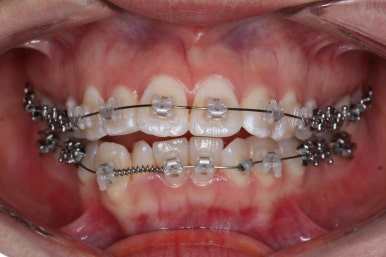
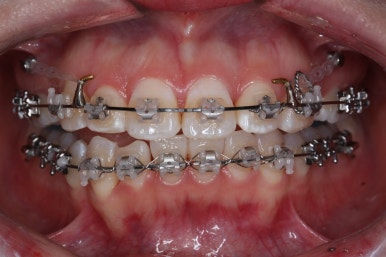
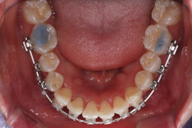
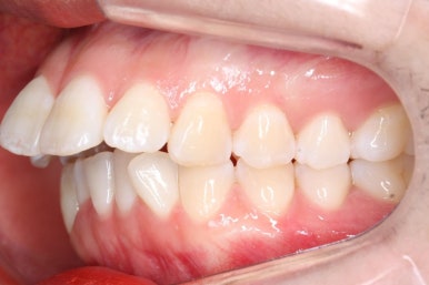
틈은 다 다물어졌고, 부가적인 정교한 마무리 과정을 더 거치게 됩니다.
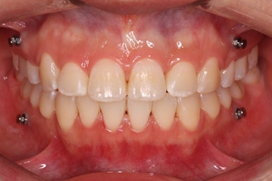
중앙선도 잘 맞고 교합도 잘 마무리되었습니다.
이 뽑은 자리가 다시 벌어지지 않게 앞니가 다시 틀어지지 않게 유지철사를 부착하고 마무리를 하였습니다.
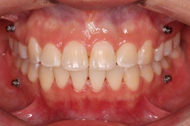
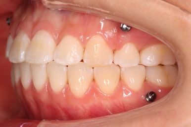
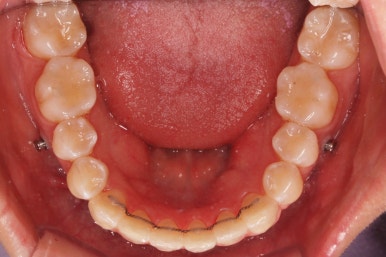
전후 비교해 보겠습니다.
중앙선, 교합, 뻐드러짐 모두 좋아졌고 이를 뽑고 교정했지만 발치 공간이 남지 않고 잘 마무리 되었습니다.
부산무턱교정 키다리아저씨치과에서 치료한 이번 환자분의 전후 얼굴모습입니다.
입이 들어가면서
돌출입이 개선되었고
입술 다물기가 자연스럽고 편해졌습니다.
뻐드러짐이 개선되었고
웃을 때 보이는 치아의 형태가 자연스러워졌습니다.
코 ~ 윗입술, 아랫입술 ~ 턱끝의 형태나 각도가 개선되었고
턱끝이 살아나 보여 무턱 경향이 없어졌습니다.
이상 부산무턱교정 키다리아저씨치과에서 편악발치와 미니스크류를 이용해 돌출입과 무턱을 개선한 치료사례였습니다.
키다리아저씨치과에 오시는 길은 연산역 17번출구 바로 앞 건물 5, 6층입니다.
치과교정과 전문의(부산대 외래교수)와 치과보철과/통합치의학과 전문의(부산대 외래교수) 2명이 상주하며 교정치료와 일반치과치료를 협진하여 진료합니다.
<위 사진은 환자분의 동의를 구한 후 공개하는 사진자료입니다. 사진은 과장이나 조작이 없는 원본사진입니다. 교정치료로 인한 부작용으로는 치근흡수, 충치, 치아변색, 실활 등이 있을 수 있으며, 치료 전후 사진은 의료법 제 23조, 제 56조에 의거하여 게재합니다. 개인의 상태에 따라 치료결과는 달라질 수 있으므로, 교정전문의와 상의를 요합니다.>


























































































































































댓글