부산무턱교정치과 키다리아저씨치과의 돌출입 + 무턱 치료사례
- 키다리아저씨치과

- 1월 22일
- 3분 분량

"미니스크류를 이용한 투명교정장치에 관한 논문"으로 2023년도 Angle orthodontist(미국의 교정학회지) SCI 저널에 제 1저자로 게재되었습니다.
항상 공부하고 노력하는 키다리아저씨치과가 되겠습니다.
안녕하세요.
오늘 부산무턱교정치과 키다리아저씨치과에서 소개해 드릴 환자분은 돌출입, 무턱, 과개교합, 부정교합 등으로 교정치료를 하셨던 환자분입니다.
나이 : 24세
총 치료기간 : 3년 3개월(총 39개월)
사용한 장치 : 자가결찰 세라믹(엠파워 클리어, Empower clear) + 미니스크류
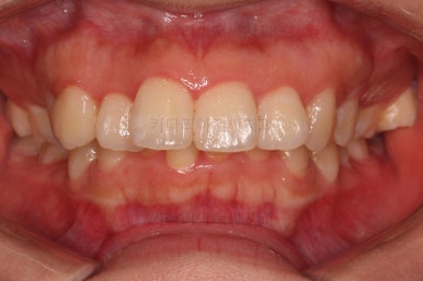
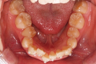
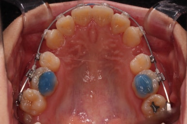
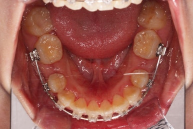
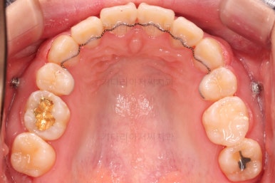
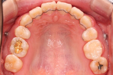
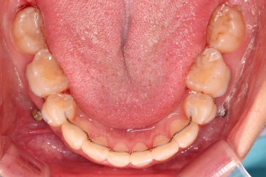
부산무턱교정치과 초진 시 입안의 모습입니다.
전반적으로 치열이 삐뚤고요. 아랫니가 윗니보다 뒤쪽으로 많이 가려져 있죠.
그래서 앞에서 봤을 때 아래 앞니가 거의 보이지 않는 상태인데요.
이런 교합을 "과개교합"이라고 표현합니다.
전반적인 교합, 치열, 과개교합, 튀어나와 보이는 앞니 등을 개선해줘야겠네요.
마찬가지로 초진 시 얼굴모습 입니다.
웃거나 말할 때 튀어나온 앞니가 강조되어 보여 입은 더 나와 보입니다.
아래턱이 작아서 옆모습에서 무턱 느낌이 들고요.
상대적으로 입은 나온 돌출입 양상입니다.
성인이시기 때문에 아래턱 자체를 키워주진 못하지만 입을 넣어줌으로써 입매를 정리하고 입을 다물었을 때 생기는 호두주름, 턱끝의 긴장감을 풀어줘 턱의 느낌을 개선합니다.
그리고 가능하다면 골격의 길이를 조절하여 아래턱을 키우지는 못하더라도 턱끝의 방향은 약간 바꿔줌으로써 턱끝의 형태를 개선시켜 줍니다.
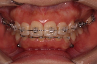
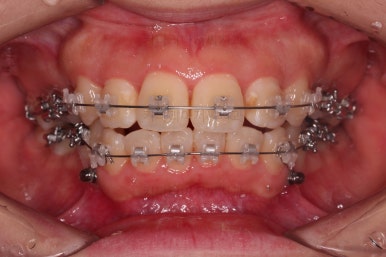
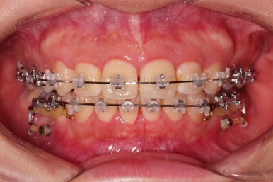
장치를 부착합니다.
이번 환자분이 선택한 장치는 엠파워 클리어라고 하는 자가결찰 세라믹 장치인데요.
철사를 묶는(결찰) cap이 장치에(자가) 달려있는 장치 중에 세라믹 성분으로 되어 심미성이 우수한 브라켓입니다.
대표적으로는 클리피씨 장치 등이 있습니다.
우선은 적응을 위해서 윗니만 장치를 부착하고요.
아랫니는 과개교합 개선을 위해 앞니 먼저 시작합니다.
장치 부착 직후 얼굴 모습인데요.
웃을 때 보이는 느낌, 장치 부착 후 약간 더 튀어나와 보이는 입의 느낌 등 참고바랍니다.
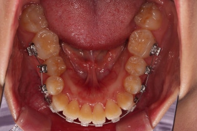
아래 앞니는 깊숙하게 솟구쳐 오른 치아를 밑으로 끌어내리기 위해 미니스크류를 식립하게 됩니다.
발치 vs 비발치
이번 부산무턱교정치과 환자분은 발치교정입니다.
치열이 많이 삐뚤기도 하고, 아래에 비해서 튀어나온 윗니를 뒤로 밀어 넣어주기 위한 공간 마련 용도인데요.
대신 조건이 있습니다.
아랫니는 일단 비발치의 여지를 두자.
아래턱이 작기도 하거니와 아랫니는 특정 치아 1~2개 제외 공간이 많이 필요하지 않았거든요.
따라서 일단 가지런하게 한 뒤, 얼굴모습을 중간평가 하여 그 시점에서 입을 더 넣고 싶으면 아랫니도 발치하자라고 계획을 세웠습니다.
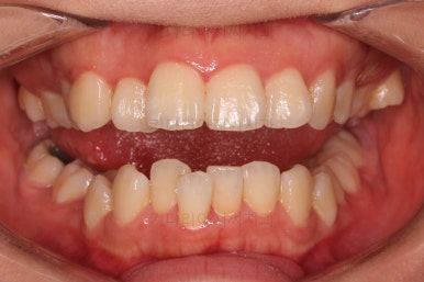
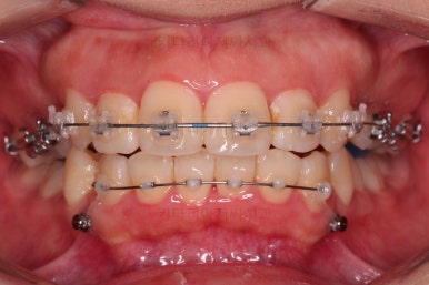
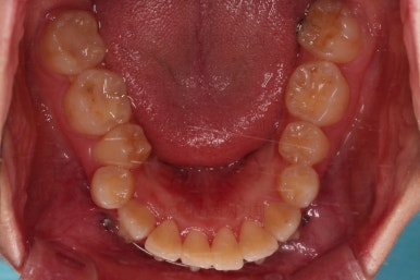
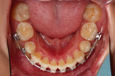
아랫니가 매우 밑으로 많이 내려온게 보이시죠?
과개교합은 비교적 초반에 개선이 되었습니다.
아래 앞니의 높이가 개선된 뒤, 아랫니도 가지런하게 해줍니다.
윗니도 어느새 치아를 뽑은 공간이 많이 줄었네요.
이 시점에서 약속한대로 중간평가를 해줍니다.
아랫니는 가지런해졌기 때문에 현재 상태에서 입이 더 튀어나오지는 않을겁니다.
다만, 지금 그대로 진행한다면 아랫니는 발치를 하지 않았고, 비발치로도 입을 뒤로 당겨넣을 여지가 없기 때문에 입술 위치 개선효과는 없을 것입니다.
현재 느낌이 만족스럽다면 추가 발치 없이 마무리를 할 것이고, 조금이라도 더 입매 개선을 원하신다면 아랫니도 발치하게 될 것입니다.
환자분은 아랫니도 발치하기로 결정하셨어요.
아랫니도 발치를 하고요.
윗니는 아랫니가 뒤로 들어가는 만큼 더 뒤로 밀어야 되기 때문에 미니스크류를 이용해서 뒤로 당기기를 해줍니다.
다만, 이 시점에서 주의할 점은 입이 너무 들어가지 않도록 해야 하는 점인데요.
공간이 적절하게 줄어들었을 시점에서 얼굴모습을 평가하여 이제는 너무 들어가지 않았는지 체크합니다.
이번 환자분은 아랫니 발치 공간이 절반 쯤 줄었을 시점부터 해당 시점의 얼굴모습을 만족하셔서 앞니를 뒤로 당기는 방향은 적절하지 않았습니다.
이 때 대신 선택하는 방법이 어금니를 앞으로 끌고와서 남은 발치 공간을 없애는 방법인데요.
마찬가지로 미니스크류가 사용됩니다.
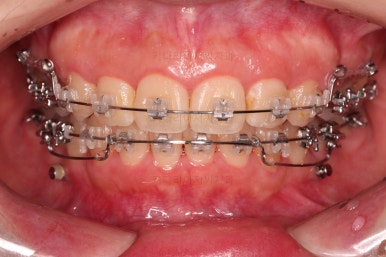
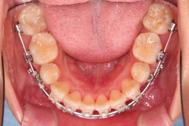
밀고 당기기와 디테일을 더 정리한 뒤 부산무턱교정치과 마무리를 하게 됩니다.
교합, 과개교합 모두 좋아졌고요.
발치 공간도 깔끔하게 닫히고 종료했습니다.
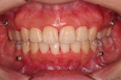
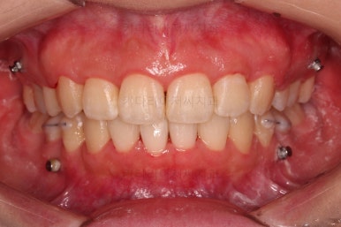
이제 부산무턱교정치과 전후 비교해 볼게요.
웃을 때 튀어나와 보이던 앞니도 많이 개선디ㅗ었고, 치열도 매우 예뻐졌습니다.
옆라인에서도 입술 다물기가 훨씬 편해졌고요.
아래턱에 비해서 나와있던 입술도 뒤로 많이 들어갔고, 턱끝의 방향이 조금 달라지면서 턱이 많이 살아나 보이네요.
전반적으로 만족스러운 치료 결과였습니다.
이상 미니스크류를 이용해 과개교합을 개선하고, 발치교정으로 돌출입과 무턱을 개선한 부산무턱교정치과 치료사례였습니다.
부산 연산동 교정치과 키다리아저씨치과에 오시는 길은 연제구 연산동 연산역 17번출구 바로 앞 건물 6층입니다.
치과교정과 전문의(부산대 외래교수)가 상주하며 교정치료 합니다.
<위 사진은 환자분의 동의를 구한 후 공개하는 사진자료입니다. 사진은 과장이나 조작이 없는 원본사진입니다. 교정치료로 인한 부작용으로는 치근흡수, 충치, 치아변색, 실활 등이 있을 수 있으며, 치료 전후 사진은 의료법 제 23조, 제 56조에 의거하여 게재합니다. 개인의 상태에 따라 치료결과는 달라질 수 있으므로, 교정전문의와 상의를 요합니다.>



























































































































































댓글