부산매복치아교정 키다리아저씨치과의 송곳니 매복치를 부분교정한 사례
- 키다리아저씨치과

- 2025년 2월 19일
- 3분 분량
안녕하세요.
오늘 부산매복치아교정 키다리아저씨치과에서 소개해 드릴 분은 송곳니 하나가 뼈 속에 묻혀 있어 교정치료를 통해 개선한 환자분입니다.
나이 : 15세
총 교정기간 : 1년 8개월(총 20개월)
교정장치 : 클리피씨(자가결찰 세라믹) + 미니스크류
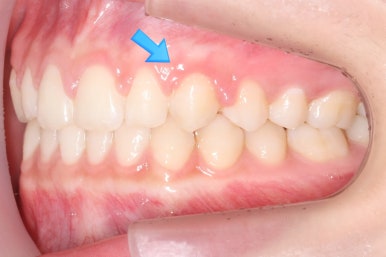
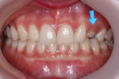
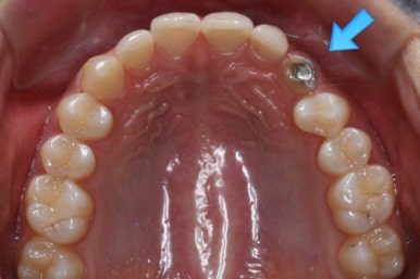
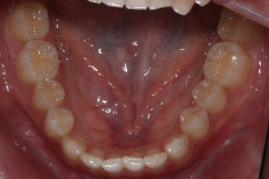
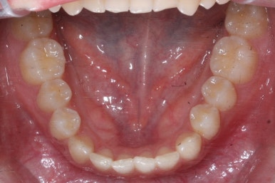
부산매복치아교정 키다리아저씨치과에 처음 오셨을 때의 얼굴 모습입니다.
전반적인 비율이나 돌출감 등등 모두 양호합니다. 대신 왼쪽은 송곳니 대신 썩은 유치가 자리잡고 있어서 입을 벌린 상태에서는 해당 부위가 어두워보이고 마치 치아가 없는 것처럼 느껴지기도 합니다.
위 사진들은 부산매복치아교정 키다리아저씨치과에 처음 내원하셨을 때의 모습입니다.
화살표 표시한 부분이 바로 영구치 송곳니가 있어야 할 자리인데, 매복이 되어있고 대신 유치가 여전히 남아있는 모습입니다.
환자분의 나이가 만으로 15세였는데, 치과에 처음 올 때 해당 치아가 영구치가 그냥 썩은 줄 알고 오시는 경우가 많습니다.
X-ray를 찍어보고 하면 그 때서야 해당 치아는 유치이며 영구치 송곳니는 뼈 속에 묻혀 있는 것을 알게 되지요.
보통 송곳니는 초등학교 5학년 전후로 나오게 되는데, 이 환자분은 유치가 남아있는 것을 마치 영구치가 나온 것으로 착각하셨던 경우입니다.
부산매복치아교정 키다리아저씨치과에 처음 내원하셨을 때의 X-ray 사진입니다.
좌측 사진은 파노라마라고 하는 전체가 다 나오는 사진이고, 우측 사진은 해당 부위만 확대해서 찍은 사진입니다.
화살표 표시가 바로 송곳니가 매복이 되어있는 모습입니다. 수직하게 내려오지 못하고 무시무시하게 가로로 누워있는 모습입니다. 입 안에서도 전혀 관찰되지 않고 오로지 뼈속에 있는 상태입니다.
이럴 경우 평면적인 2D X-ray로 정확한 판단이 되지 않습니다.
3차원 CT를 통해 더 정확한 위치를 파악할 필요가 있습니다.
부산매복치아교정 키다리아저씨치과에서 촬영한 3D CT에서는 이처럼 입체를 연속적인 단면으로 재구성하여 정확한 위치를 파악할 수 있게 해줍니다.
매복치의 위치는 가로로 누워있고, 머리는 앞쪽, 뿌리는 뒤쪽을 향하며 다른 치아들보다 입천장쪽에 있습니다.
부산매복치아교정 키다리아저씨치과에서 촬영한 3D CT를 입체사진으로 재구성해보면 훨씬 직관적으로 눈에 띄게 위치를 판단할 수 있게 해줍니다.
위치를 정확하게 파악하는 것이 중요한데 결국은 잇몸을 째고 정확한 치아 머리를 향하여 들어가서 장치를 부착해야 되기 때문이죠.
이렇게 위치 파악이 정확히 되면 다음 과정은 잇몸을 열고 치아에 장치를 붙여주는 소수술 과정이 되겠습니다.
부산매복치아교정 키다리아저씨치과에서 소수술을 마친 모습입니다.
우선 남아있던 유치는 발치를 했고, 매복 송곳니에 장치를 붙인 후 잇몸 밖으로 체인 형식의 연장선만 빼놓았습니다. (두 개의 화살표 중 위쪽 화살표) 매복치아를 적절한 방향으로 요리조리 당겨줘야 하기 때문에 미니스크류를 이용했습니다. (두 개의 화살표 중 아래쪽 화살표)
수평으로 누워있었던 송곳니의 각도가 바로 잡힐 때까지는 계속 미니스크류만을 이용해서 당겨줍니다. 치아는 뼈속에서 헤엄치듯이 조금씩 방향을 잡아갑니다.
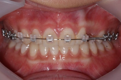
적절한 시기가 되면, 나머지 치아들을 가지런하게 할 준비를 합니다. 부산매복치아교정 키다리아저씨치과에서 이번에 사용한 장치는 클리피씨 입니다.
매번 말씀 드리지만 장치는 저마다 장단점이 있기 때문에 교정전문의와 잘 상의하여 선택하시면 됩니다.
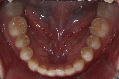
이번 환자분의 경우는 아랫니는 약간 삐뚤함이 있지만 굳이 교정치료를 원하지 않으셨기 때문에 윗니들만 부분교정으로 해결하기로 했습니다.
이상적으로라면 위-아래를 한 쌍으로 해야 교합을 맞추기에 유리하지만 이번의 경우는 윗니만 해도 충분히 교합을 맞출 수 있겠다고 판단하여 부분교정을 하였습니다.
윗니만 하고 싶다고 무조건 윗니 부분교정이 가능한 것이 아니기 때문에 반드시 교정전문의와의 상의를 추천드립니다.
점점 송곳니가 모습을 드러내기 시작합니다.
치아가 위치, 방향을 바꿀 때마다 치아를 당겨주는 방향과 힘도 적절하게 조절을 해줘야 합니다.
매우 섬세한 작업이 요구됩니다.
다시 치아가 잇몸 속으로 숨은 듯 하지만, 뼈 속에서는 점점 더 제위치에 가까워지고 있습니다.
아래치아는 여전히, 당연히 장치가 붙지 않은 채로 그대로 둡니다.
조금 더 위치가 바뀌었습니다.
송곳니 머리도 조금 보이는 것 같네요, 매우 섬세한 컨트롤이 필요하기 때문에 철사의 형태나 당기는 방향 등 조절을 잘 해줘야 합니다.
드디어 모습을 드러냈습니다.
마찬가지로 위치나 방향 등에 따라 정교하게 조절을 해줍니다.
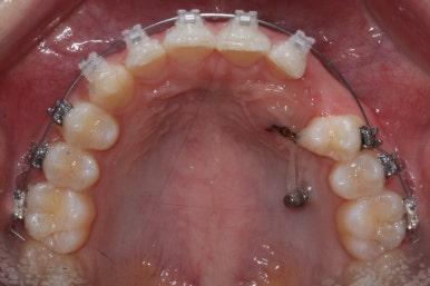
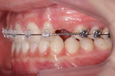
부산매복치아교정 한 지 15개월만에 거의 제위치를 찾아가고 있는 모습입니다.
이번에도 매우 섬세한 조절을 위해 송곳니에는 철사가 두 줄로 연결되어 있기도 합니다.
어금니에는 일시적으로 치아를 띄워주기 위해 바이트레진이라는 것을 올리게 됩니다.
치아를 띄워주지 않으면 안쪽에 있던 송곳니를 바깥으로 데리고 나올 때 걸려서 못나오는 상황이 생길 수도 있기 때문입니다.
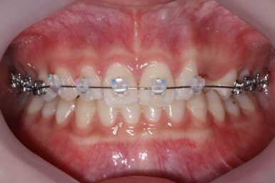
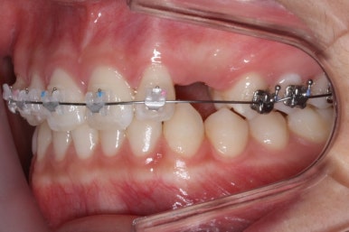
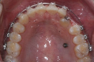
치료가 거의 종료가 되었습니다.
치아의 각도 등 미세한 조절을 좀 더 해주면 마무리를 할 수 있겠습니다.
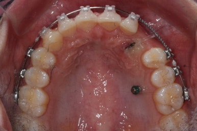
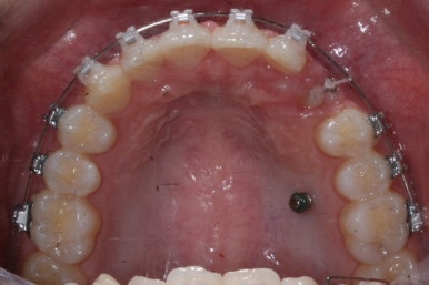
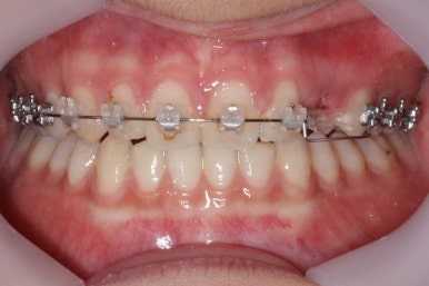
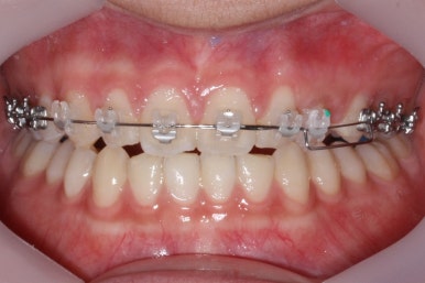
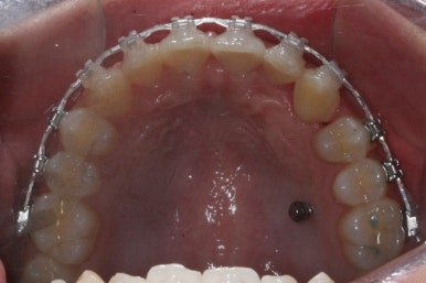
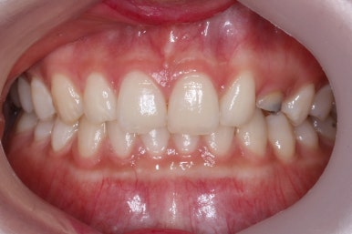
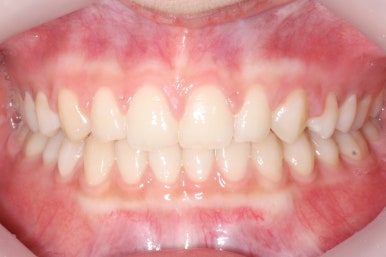
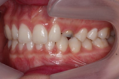
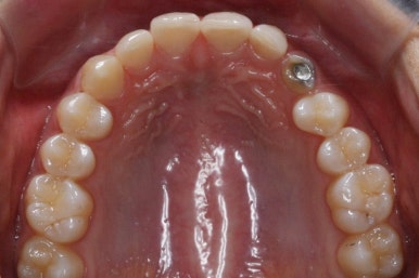
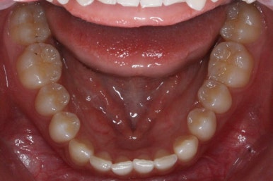
마무리 때의 사진입니다.
윗니만 부분교정하였지만 교합에도 이상 없이 매복되었던 송곳니는 매우 잘 위치를 잡았습니다.
송곳니 부위는 다시 틀어지지 않게 하기 위해 유지철사를 붙여주었습니다.
총 치료기간은 20개월 소요 되었습니다.
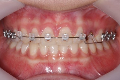
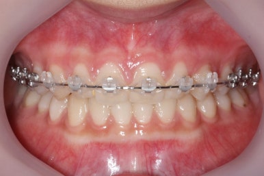
부산매복치아교정 상악 부분교정을 통해 매복치를 교정해준 이번 치료의 전후사진 비교입니다.
썩은 유치 대신 영구치 송곳니는 매우 자연스럽게 위치되었습니다. 아랫니는 교정하지 않았기 때문에 약간 삐뚠 느낌은 남아있지만 맞물림은 크게 문제가 없게 마무리 되었습니다.
얼굴 모습에서의 전후 비교입니다.
처음부터 매복치 이외에는 얼굴모습에서의 큰 문제가 없었고, 변화를 의도하지도 않았기 때문에 전후 모습의 큰 차이는 없습니다.
대신, 송곳니가 제위치되면서 웃거나 말할 때 미적으로 많이 개선된 것을 볼 수 있습니다.
이상 부산매복치아교정 키다리아저씨치과에서 시행한 윗니 부분교정을 통한 매복치아 사례였습니다.
키다리아저씨치과에 오시는 길은 연산역 17번출구 바로 앞 건물 5, 6층입니다.
치과교정과 전문의(부산대 외래교수)와 치과보철과/통합치의학과 전문의(부산대 외래교수) 2명이 상주하며 교정치료와 일반치과치료를 협진하여 진료합니다.
<위 사진은 환자분의 동의를 구한 후 공개하는 사진자료입니다. 사진은 과장이나 조작이 없는 원본사진입니다. 교정치료로 인한 부작용으로는 치근흡수, 충치, 치아변색, 실활 등이 있을 수 있으며, 치료 전후 사진은 의료법 제 23조, 제 56조에 의거하여 게재합니다. 개인의 상태에 따라 치료결과는 달라질 수 있으므로, 교정전문의와 상의를 요합니다.>






































































































































댓글