부산돌출입교정 키다리아저씨치과의 미세돌출, 삐뚤어진 치아, 과개교합 교정(+치아미백) 치료사례
- 키다리아저씨치과

- 2월 11일
- 3분 분량

"미니스크류를 이용한 투명교정장치에 관한 논문"으로 2023년도 Angle orthodontist(미국의 교정학회지) SCI 저널에 제 1저자로 게재되었습니다.
항상 공부하고 노력하는 키다리아저씨치과가 되겠습니다.
안녕하세요.
오늘 부산돌출입교정 키다리아저씨치과에서 소개해 드릴 환자분은 치열이 삐뚤고, 윗니가 아랫니에 비해 약간 앞으로 나와있는 모습을 개선하고자 하신 분입니다.
나이 : 21세
총 치료기간 : 3년 1개월(총 37개월)
사용한 장치 : 자자결찰 세라믹(엠파워 클리어, Empower clear) + 미니스크류
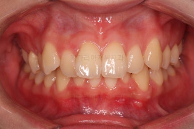
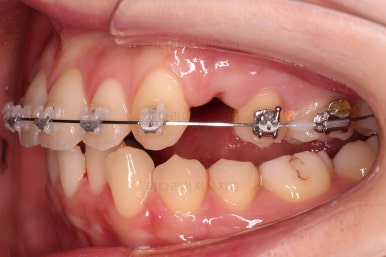
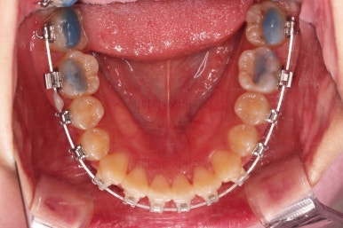
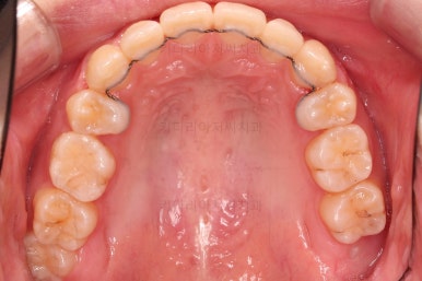
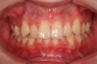
1. 초진
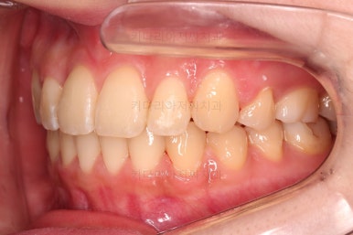
부산돌출입교정 초진 때 입안의 모습입니다.
전반적으로 치열이 삐뚤고요. 부정교합이 있습니다.
어금니 교합은 윗니와 아랫니가 번갈아가며 서로 톱니바퀴처럼 맞물려 가야 하는데 이번 환자분의 경우는 전반적으로 윗니가 앞으로 나와 있어서 톱니바퀴 날이 쏙쏙 껴 들어가는게 아니라 1:1로 부딪혀 있는 양상이죠. 이런 교합을 앵글씨 2급 부정교합이라고 합니다.
이런 앵글씨 2급 부정교합에서 아래 앞니가 솟구치는 과개교합의 패턴도 잘 나타나는데 이번 환자분도 과개교합을 보였습니다.
초진 시 얼굴 모습입니다.
많이 심하진 않지만 미세하게 입이 나와있는 모습이고요.
아랫 입술 ~ 턱끝까지 이어지는 곡선이 부드러운 S라인이 아니고 아랫입술 밑에서 한 번 푹 들어가며 턱끝은 둥글게 떨어지죠.
이러한 느낌이 무턱과 돌출의 느낌을 만들어냅ㄴ디ㅏ.
앞니가 삐뚤다 보니 웃을 때 보이는 치열의 모습이 미적으로 좋지 못하고요.
2. 경과
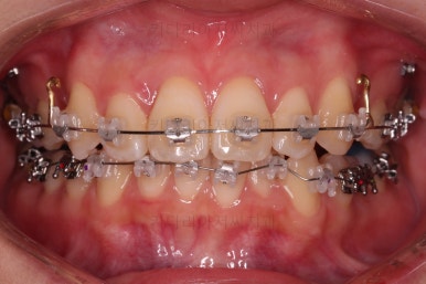
윗니부터 장치를 부착했고요.
이번 환자분이 선택하신 장치는 엠파워 클리어라고 하는 자가결찰 세라믹 장치입니다.
흔히들 아시는 클리피씨와 같은 종류의 장치이며 제조국이 일본이냐(클리피) 미국이냐(엠파워)의 차이입니다.
발치교정
이번 부산돌출입교정 환자분은 발치교정으로 치료했는데요.
많이 삐뚤지 않고 많이 입이 나오진 않았는데 왜 발치냐?
부정교합의 양이 컸기 때문입니다.
앞서 말씀 드린 위아랫니가 톱니바퀴처럼 맞물리지 않는 교합에서 교합을 더 잘 맞추려면 윗니를 상당히 뒤로 많이 밀어야 되는데요. 맨 뒷공간(사랑니)을 활용할 수 있는지, 어느 정도 후방이동 계획인지 등에 따라서 발치냐 비발치냐의 방법이 결정됩니다.
이번 환자분은 아랫니는 비발치, 윗니는 발치교정을 하기로 했습니다.
장치 부착 직후의 얼굴모습 참고해 주시고요.
웃을 때 보이는 느낌이라던지 장치의 볼륨감으로 변하는 옆라인 등을 봐주세요.
이번 환자분은 특유의 약간 도톰한 입술로 인해 장치를 부착해도 입이 그렇게 튀어나오는 사례는 아니었습니다.
사진상에서는 안보이는데요.
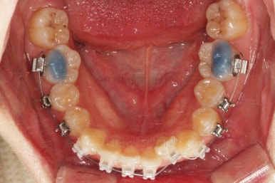
이 모습이 아랫니 장치 부착 직후의 사진인데요. 처음보다 왠지 모르게 과개교합(앞니가 깊게 물리는 모습)이 많이 개선되어 보이죠?
과개교합 개선을 위해 특별한 장치를 사용해 주었는데요.
아쉽게도 사진상에는 나오지 않네요.
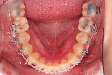
어느 정도 앞니가 깊게 물리는 것이 개선된 뒤, 아랫니도 장치를 부착하여 가지런하게 해줍니다.
어쨌든 윗니만 발치이기 때문에 윗니가 치료기간이 더 걸리는거죠.
아래는 많이 급할 필요는 없었습니다.
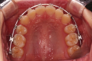
밀고 당기는 정도를 조절하기 위해서 미니스크류를 사용해 주었고요.
어느새 윗니 발치공간도 많이 줄었습니다.
치열도 전반적으로 가지런하고 앞니 각도 양호하고 모든 부분에서 무난히 잘 진행되었는데요.
변수가 생겼습니다.
장거리 내원
갑자기 사정상 서울로 이사를 가시게 되었는데요.
장거리든 아니면 다른 이유든 규칙적으로 내원하지 못하시는 분들이 있습니다.
대표적으로는 유학생, 군입대, 타지역에서의 내원, 잦은 해외출장 등인데요. 가급적이면 스케줄을 고려해서 오랫동안 내원을 못하는 경우 큰 문제가 생기지 않도록 장치를 세팅해 드리긴 하는데요.
그럼에도 예약을 취소해야 한다거나 내원을 못하는 기간이 너무 길어버리면 총 치료기간에는 좋지 못한 영향을 주는 건 사실입니다.
이번 환자분도 부산돌출입교정 치료 경과는 매우 양호했으나 정기적으로 내원을 못하는 상황이 있어서 치료기간이 예상보다는 더 오래 걸린 편입니다.
얼굴모습도 주기적으로 확인해 주고요.
입을 더 넣고 싶은지, 덜 넣고 싶은지, 앞니 각도나 중심선, 기울어짐 등 전반적인 만족도를 체크하며 진행합니다.
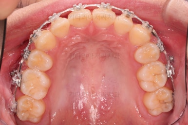
3. 마무리
공간을 더 줄이고요.
특히 윗니만 발치했을 경우, 발치공간이 남고 끝나는 경우도 간혹 있으며 교합도 신경써서 맞춰줘야 합니다.
디테일을 더 수정하고 마무리 하기로 했습니다.
가지런한 느낌, 교합, 앞니각도, 튀어나와 있던 앞니 위치 등 전반적으로 매우 잘 마무리 되었습니다.
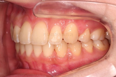
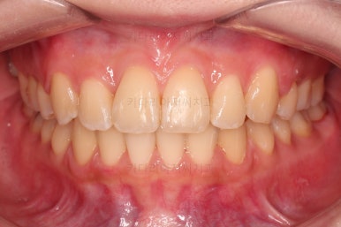
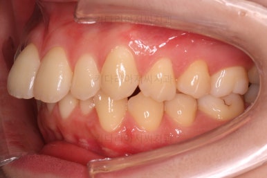
4. 전후 비교
얼굴모습도 매우 좋아졌고요.
옆 라인도 자연스럽게 정리가 되었고 웃을 때 보이는 치열의 느낌이 매우 예뻐졌네요.
발치교정이라고 옥니가 되거나 입이 너무 들어가지 않았고요.
특유의 도톰한 입술의 볼륨감까지 살아 있어 매우 튼렌디한 옆 라인이 완성되었습니다.
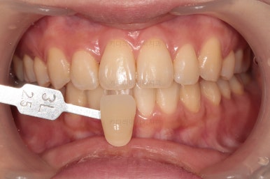
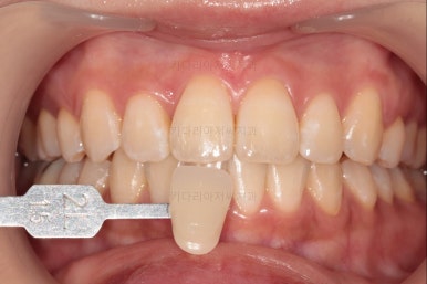
5. 치아미백
이번 환자분은 부산돌출입교정 치료 마무리 이후 약간 어두워보이는 치아색을 밝게 하고 싶어하셔서 치아미백을 진행했는데요.
일반적으로 교정을 하시는 분들은 치아미백을 교정 후로 하시기를 추천드리고요.
치아색깔 샘플로 비교해 봤을 때 확실히 많이 밝아진 모습으로 마무리를 할 수 있었습니다.
이상 윗니만 발치하고 미니스크류를 이용해서 미세돌출, 과개교합, 삐뚤한 치열과 앵글씨 2급 부정교합을 개선한 치료사례였습니다.
부산 연산동 교정치과 키다리아저씨치과에 오시는 길은 연제구 연산동 연산역 17번출구 바로 앞 건물 6층입니다.
치과교정과 전문의(부산대 외래교수)가 상주하며 교정치료 합니다.
<위 사진은 환자분의 동의를 구한 후 공개하는 사진자료입니다. 사진은 과장이나 조작이 없는 원본사진입니다. 교정치료로 인한 부작용으로는 치근흡수, 충치, 치아변색, 실활 등이 있을 수 있으며, 치료 전후 사진은 의료법 제 23조, 제 56조에 의거하여 게재합니다. 개인의 상태에 따라 치료결과는 달라질 수 있으므로, 교정전문의와 상의를 요합니다.>



































































































































댓글