부산돌출입교정 키다리아저씨치과에서 시행한 돌출입 발치교정 치료사례
- 키다리아저씨치과

- 2025년 12월 1일
- 2분 분량
안녕하세요.
오늘 부산돌출입교정 키다리아저씨치과에서 소개해 드릴 환자분은 치아가 삐뚤고 뻐드렁니에 돌출입이셨던 분입니다.
나이 : 22세
총 치료기간 : 1년 10개월(총 22개월)
사용한 장치 : 자가결찰 세라믹(엠파워 클리어, Empower clear) + 미니스크류
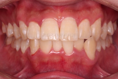
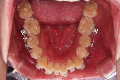
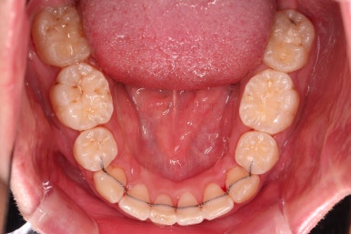
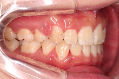
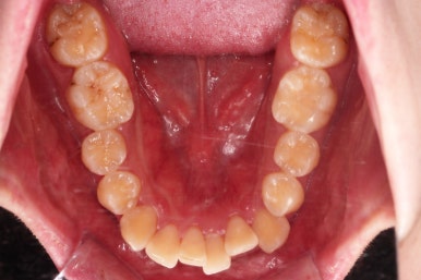
초진 시 입안의 모습입니다.
전반적으로 약간씩 삐뚤고요. 왼쪽 아래 송곳니는 덧니처럼 볼록 튀어나왔네요.
앞니의 경사가 앞으포 뻗친 뻐드렁니이고요.
특징적인건 치아가 전반적으로 희끗희끗한 반전처럼 변색이 되어 있는데요.
이를 "백색반점" 혹은 "화이트스팟(white spot)" 이라고 합니다.
여러 가지 이유가 있고 치료방법도 다양한데요.
기회가 되면 따로 포스팅 해보겠습니다.
주로 입을 잘 다물고 있지 못하는 분들에게 생기는 문제점입니다.
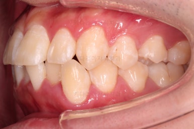
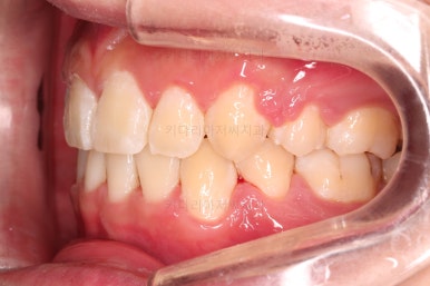
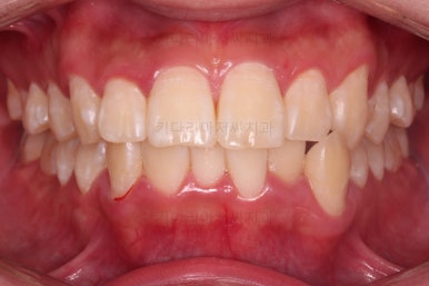
마찬가지로 부산돌출입교정 초진 시 얼굴모습인데요.
입을 다물었을 때의 돌출감도 있지만 입을 벌렸을 때 가득차고 튀어나와 보이는 치아가 두드러져 보여요.
치아를 뒤로 많이 넣어줘야 하는 치료계획이 필요한데요.
발치교정
이 분은 의심의 여지 없이 발치교정을 선택했습니다.
"앞니를 뒤로 밀어 넣어야 되는 양 + 삐뚤한 정도 = 확보해야 하는 공간의 양" 인데요.
사랑니를 빼건, 치간삭제를 하건, 악궁확장을 하건, 위 덧셈식의 우변 "확보해야 하는 공간"은 비발치로 아무리 해봐도 좌변의 "필요한 양"이 되지 않는거죠.
이러면 발치교정을 해야 합니다.
발치교정이 나쁜 것도 아니고, 발치했다고 추후에 추가로 임플란트를 해야 하는 것도 아니고, 특별히 더 잇몸에 안좋은 것도 아닙니다.
대부분은 "이가 없으면 임플란트를 하는데 굳이 생니를 뽑아야 하나요?" "이 뽑으면 잇몸에 안좋다던데요."라는 염려들을 갖고 오시는데요.
이가 없으면 임플란트를 해야 하는 건 맞지만 발치공간을 비워놓는게 아닌데 발치했다고 굳이 추후에 더 추가로 임플란트를 해야하는 건 아니죠.
잇몸에 안좋은 건 치아를 얼마나 무리하게 많은 양을 무리한 속도로 움직이느냐에 따라 달린거지, 단순히 발치 유무랑은 상관이 없어요. 그리고 교정한다고 잇몸이 모두 상하는 것도 아니고요.
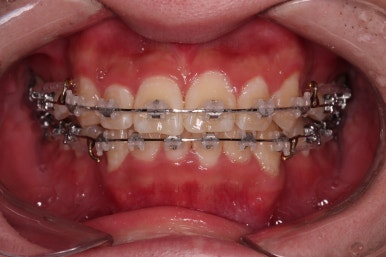
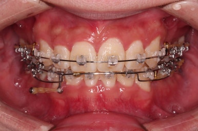
발치 이전에 장치부터 부착합니다.
이번에 선택하신 장치는 엠파워 클리어라고 하는 자가결찰 세라믹 장치이고요.
많이들 아시는 클리피씨와 같은 계열의 장치입니다.
제조사마 일본(클리피씨)이냐 미국(엠파워) 이냐의 차이일 뿐입니다.
장치 부착 후 느낌 변화 참고해 주시고요.
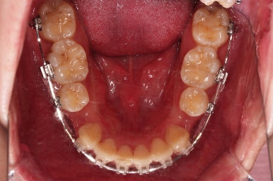
발치도 적절한 시기에 시행하고, 단계별로 얇은 철사 -> 굵은 철사로 교체를 하면서 치아를 가지런하게 해줍니다.
그 과정에서 자연스럽게 발치공간도 줄여주고요.
가장 굵고 단단한 철사가 들어가면 본격적으로 발치공간을 줄여나갑니다.
이 과정에서 앞니가 뒤로 쭉쭉 들어가는거죠.
얼굴모습을 중간중간 반드시 확인하여 입매 관련한 의견교환을 하게 됩니다.
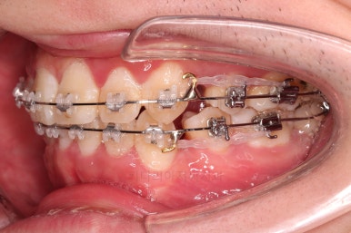
뒤로 당기는 양, 기울기, 중앙선 등을 맞추기 위해 적절한 위치에 미니스크류를 활용해 주고요.
뒤로 당기는 과정은 보기에는 심플해 보이지만 세심하게 주의를 기울여야 하는 단계에요.
당기는 속도나 각도를 조절하지 못하면 옥니가 되거나 중앙선이 틀어진다거나 기울기가 맞지 않다거나 하는 여러 문제가 생길 수 있기 때문이죠.
다양한 방법으로 좀 더 디테일을 맞춰줍니다.
발치 공간만 닫혔다고 끝은 아니고 원하시는 부위에 대한 요구사항을 반영하고, 눈에 잘 띄지 않지만 중요한 부분들도 좀 더 개선해 줍니다.
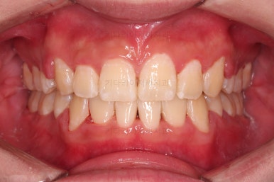
유지철사를 부착하고 부산돌출입교정 마무리를 합니다.
1년 10개월만에 치열도 가지런해졌고, 뻐드렁니도 개선되었고, 돌출입도 개선되었고, 웃는 모습도 상당히 좋아졌네요.
환자분도 매우 만족한 치료였습니다.
이상 돌출입, 뻐드렁니, 덧니 환자분의 부산돌출입교정 발치교정 치료사례였습니다.
키다리아저씨치과에 오시는 길은 연제구 연산동 연산역 17번출구 바로 앞 건물 5, 6층입니다.
치과교정과 전문의(부산대 외래교수)가 상주하며 교정치료 합니다.
<위 사진은 환자분의 동의를 구한 후 공개하는 사진자료입니다. 사진은 과장이나 조작이 없는 원본사진입니다. 교정치료로 인한 부작용으로는 치근흡수, 충치, 치아변색, 실활 등이 있을 수 있으며, 치료 전후 사진은 의료법 제 23조, 제 56조에 의거하여 게재합니다. 개인의 상태에 따라 치료결과는 달라질 수 있으므로, 교정전문의와 상의를 요합니다.>



























































































































댓글