부산덧니교정 키다리아저씨치과의 청소년 돌출입 덧니교정 치료사례
- 키다리아저씨치과

- 2025년 11월 13일
- 2분 분량
안녕하세요.
오늘 부산덧니교정 소개해 드릴 환자분은 13세 청소년 환자분으로 덧니와 돌출입을 개선하고 싶어하셨던 분입니다.
나이 : 13세
총 치료기간 : 1년 11개월(총 23개월)
사용한 장치 : 자가결찰 메탈(엠파워 메탈, Empower metal) + 미니스크류
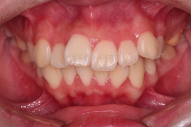
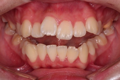
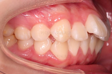
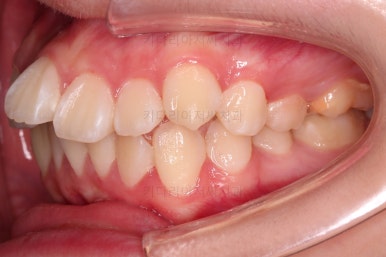
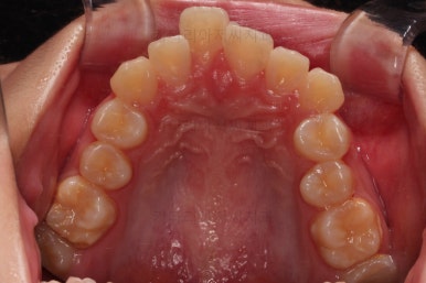
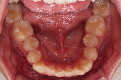
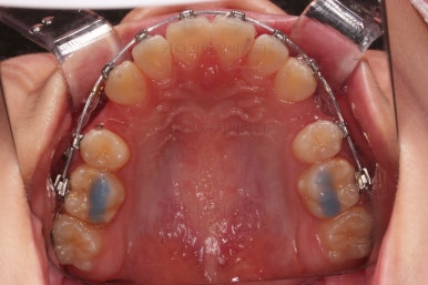
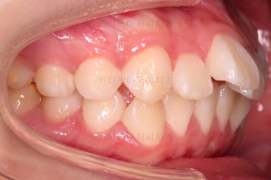
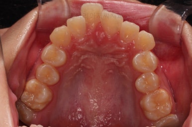
초진 시, 입 안의 모습입니다.
치아가 많이 삐뚤어요.
공간이 부족해서 앞니가 앞으로 많이 뻐드러졌고, 삐뚤한 양상 때문에 덧니가 되었네요.
어금니 맞물림도 좋지 못한 앵글씨 2급 부정교합 상태였어요.
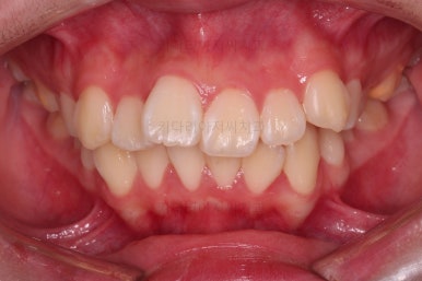
마찬가지로 초진 시 얼굴 모습입니다.
튀어나온 치아 때문에 입이 잘 다물어지지 않아요. 억지로 다물게 되면 돌출감이 느껴지고, 입술 주위와 턱끝에 힘이 들어가 매우 부자연스러운 입매가 되네요.
웃을 때의 치열은 매우 삐뚤고 튀어나와 심미적이지 못하고요.
왜 그럴까요?
치열이 변형된 이유가 있어요. 단순히 공간과 치아갯수(혹은 크기) 부조화 때문이기도 하지만 그 양상은 가지각색이거든요.
튀어나오는 분, 삐뚤어지는 분, 악궁(말발굽 형태의 치아배열)이 뒤틀어지는 분 등 다양한 형태로 나타나요.
이 분은 치아배열, 악궁형태, 입술형태 및 양상, 치아표면과 씹는 면의 형태, 기타 등등으로 봤을 때 호흡기 문제가 있을 가능성이 매우 높았어요.
장기적으로 교정 후에도 치료 결과를 안정적으로 유지하기 위해서는 원인 파악이 매우 중요하며, 정확한 진단을 통해 예상된 원인을 다시 한 번 검증하게 됩니다.
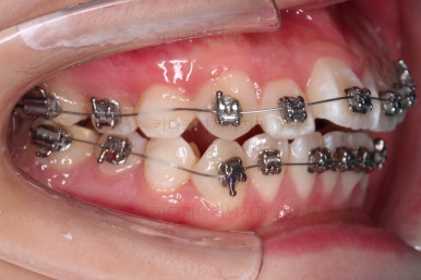
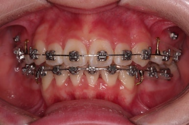
이번 환자분이 선택하신 장치는 엠파워 메탈이라고 하는 자가결찰 메탈장치에요.
자가(스스로) 결찰(철사를 잡아주는 캡이 달려있는) 메탈(금속성분의) 장치라는 뜻인데요.
메탈이라고 옛날 장치가 아니라 자가결찰인지 아닌지가 훨신 중요하답니다.
부산덧니교정 치료방법은 발치교저이며 윗니를 훨씬 많이 당겨줘야하기 때문에 미느스크류를 보조적으로 사용했어요.
장치 부착 직후의 모습인데요.
웃을 때의 느낌, 장치 때문에 입이 튀어나오는 정도 등 참고해주세요.
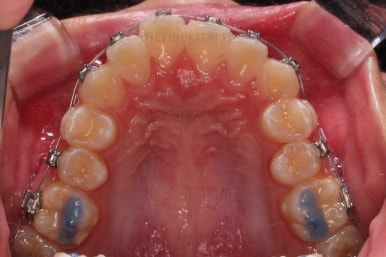
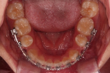
적절한 시기에 발치를 하고요.
치열이 우선 가지런해졌다면 미니스크류를 이용해서 앞니를 뒤로 당겨주게 됩니다.
청소년 교정이 왜 좋을까?
청소년기에 하면 성인 때보다 몇 가지 장점이 있어요. 치료 방법적으로는 큰 차이가 없더라도요.
치아가 빨리 움직인다.(치료기간이 짧아진다.)
부작용이 덜하다.
재발 확률이 낮다.
변화된 치아에 맞춰 얼굴 피부도 예쁘게 마무리 된다.(성인은 팔자주름, 탄력성 떨어짐 등)
습관조절을 병행하면, 성인 때 습관을 개선하는 것보다 더 효율적으로 개선할 수 있다.
턱뼈 성장에도 일정부분 영향을 미칠 수 있다.(긍정적으로)
그래서 치료의 최적기는 영구치 모두 맹출 후 가능한 빨리 입니다.
조심스럽게 앞니를 뒤로 뒤로 당겨줍니다.
옥니? 합죽이?
발치교정을 할 때 환자분들이 가장 염려하시는 부분이 바로 옥니, 합죽이 일텐데요.
옥니는 특히 이번 환자분과 같이 앞니를 뒤로 매우 많이 넣어야 하는 경우, 각도가 오히려 뒤로 굽어버리는 현상인데 매우 주의깊은 테크닉으로 교정한다면 막을 수 있답니다.
합죽이는 앞니를 적절한 위치까지 당겨넣어야 하는데, 지나치게 욕심을 부린다면 생길 수 있는 부분이에요. 이것 역시 주의깊은 테크닉과 분석으로 막을 수 있답니다.
이번 환자분은 특히나 옥니가 되지 않도록 매우 주의해야 하는 경우였고, 아래 턱끝 힘이 센 분이기 때문에 아래 앞니가 옥니가 될 가능성이 매우 큰 분이었어요.
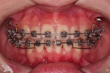
윗니는 당겨넣을 양이 아직 많고, 아랫니는 앞니 각도 조절(옥니가 되지 않게)을 매우 다양한 테크닉으로 해 나갑니다.
얼굴모습도 중간중간 확인하고, 환자분과 만족도를 상의해 나갑니다.
자연스럽게 마무리 하기로 했어요.
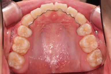
부산덧니교정 마무리를 한 모습인데요.
가지런한 모습 좋고, 교합이나 중앙선 등 매우 잘 맞네요.
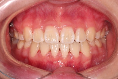
전후를 비교해 볼게요.
치열, 교합, 악궁의 형태 매우 좋아졌어요.
다만 아직 어려서 카메라 사진을 찍을 때 어색해서 그런지 활짝 웃는 입술이 자연스럽진 않네요.
연습하면 충분히 좋아지고요.
입이 매우 나와있을 때 턱끝에 힘이 들어가는 습관이 아직 개선되지 못했는데 힘 빼고 다무는 연습을 좀만 더 해준다면 옆라인도 훨씬 좋아질 것 같았어요.
전반적으로 만족스러운 치료였습니다.
이상 미니스크류를 이용한 발치교정을 돌출입, 덧니를 치료한 부산덧니교정 치료사례였습니다.
키다리아저씨치과에 오시는 길은 연제구 연산동 연산역 17번출구 바로 앞 건물 5, 6층입니다.
치과교정과 전문의(부산대 외래교수)가 상주하며 교정치료 합니다.
<위 사진은 환자분의 동의를 구한 후 공개하는 사진자료입니다. 사진은 과장이나 조작이 없는 원본사진입니다. 교정치료로 인한 부작용으로는 치근흡수, 충치, 치아변색, 실활 등이 있을 수 있으며, 치료 전후 사진은 의료법 제 23조, 제 56조에 의거하여







































































































































댓글