부산덧니교정 키다리아저씨치과의 덧니 치료사례
- 키다리아저씨치과

- 2025년 12월 11일
- 3분 분량

"미니스크류를 이용한 투명교정장치에 관한 논문"으로 2023년도 Angle orthodontist(미국의 교정학회지) SCI 저널에 제 1저자로 게재되었습니다.
항상 공부하고 노력하는 키다리아저씨치과가 되겠습니다.
안녕하세요.
오늘 부산덧니교정 키다리아저씨치과에서 소개해 드릴 환자분은 덧니를 가지런하게 하고 싶어하셨던 분입니다.
나이 : 18세
총 치료기간 : 1년 8개월(총 20개월)
사용한 장치 : 자가결찰 세라믹(엠파워 클리어, Empower clear) + 악궁확장장치
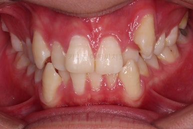
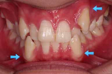
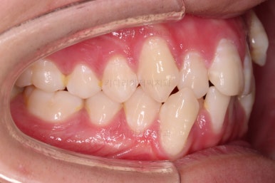
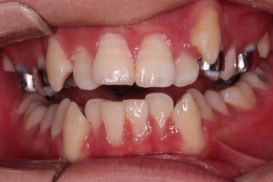
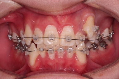
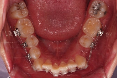
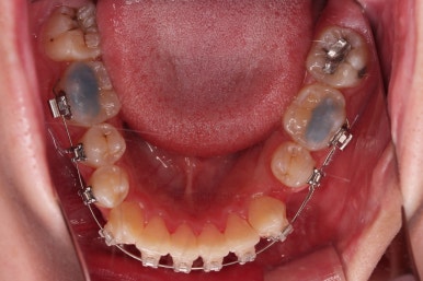
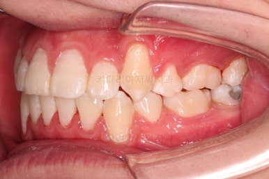
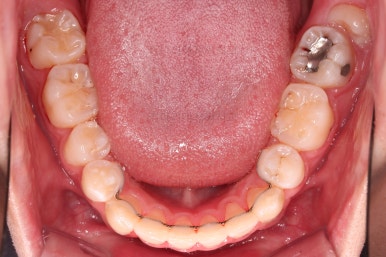
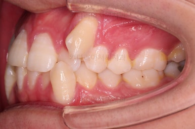
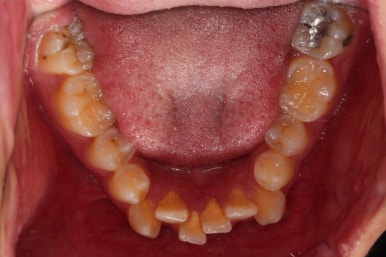
부산덧니교정 초진 시 입안의 모습입니다.
그냥 딱 봐도 덧니가 두드러져 보이고요.
앞니가 위아래 다 많이 삐뚤어져 있는 상태네요.
이 분은 덧니가 특징적인 형태가 있는데요.
좌/우 차이가 매우 크다는 점입니다.
치아가 삐뚤하다는 것은 자리가 부족하다는 뜻인데 이렇게 한 쪽 편으로만 삐뚤다는 것은 국소적인 문제가 있었다는 뜻인데요.
보통은 특정 유치가 적절한 시기에 빠지지 않고, 매우 일찍 빠졌을 때 이런 일이 잘 생기게 됩니다.
이렇게 덧니가 되면 여러 가지 문제가 있는데요.
튀어나온 덧니가 시각적으로 좋지 못하다.
입술을 긁어 상처가 잘 난다.
덧니 부분이 잇몸이 퇴축이 빨리 와서 치아가 매우 길어보인다.(교정 후에도 이 부분의 느낌은 일정 부분 남는다.)
덧니는 위아래 치아가 서로 닿지 않아 자연스러운 마모가 되지 않기에 매우 뾰족한 모습이다.
구강위생에 불리하고 입술 다물기가 부자연스럽다.
기타 등등의 문제가 있지만 이번 환자분이 가졌던 문제는 대략 이정도네요.
당연히 개선이 필요합니다.
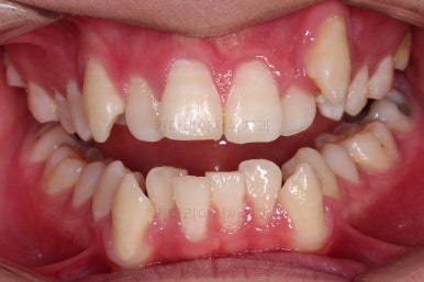
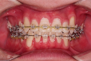
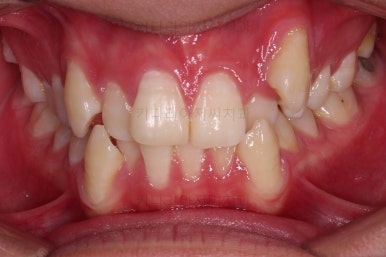
마찬가지로 초진 시 얼굴모습인데요.
입을 다물었을 때 송곳ㄴ ㅣ부분이 묘하게 볼록한 느낌을 제외한다면 입이 나오거나 나쁜 입매는 아니었습니다.
대신 치열이 삐뚤어서 웃거나 말할 때 보이는 모습이 좋지 못하네요.
발치? 비발치? -> 조금만 발치!
이번 환자분은 공간 부족량이 많아 발치가 필요했는데요.
입매는 양호했기 때문에 가지런하게 한 뒤에 공간이 너무 남는다면 입이 들어가게 되어 별로 좋지 못한 치료가 못되는거죠.
비발치로 통째로 치열을 뒤로 미는 방법도 있었지만 뒤로 밀어야 될 양이 매우 커서 치료기간이 오히려 발치에 비해 많이 걸리고 뒤로 미는 맨 뒷 치아가 불편해질 정도로 공간이 많이 부족한 상황이라 무작정 비발치가 답은 아닌 상황이었습니다.
대신 편측으로만 비대칭적으로 삐뚤어진 양상이라 최대한 발치 갯수를 줄이는 편측 발치가 가능한 상황이었습니다.
즉, 왼쪽만 위아래 1개씩 총 2개의 작은 어금니를 발치하는 교정을 시행했습니다.
비용, 가격, 분납?
부산덧니교정 가격은 아무래도 고가이다 보니 비용 부담을 느끼신느 분들이 많은데요.
그리고 온라인으로 혹은 전화상으로 비용을 물어보시는 분들도 많으세요.
근데 답변은 항상 모호하게 드릴 수 밖에 없답니다.
치료 범위가 작은 부분교정, 특히 윗니 앞니만 할 경우는 200만원 미만에서부터 전체교정 게다가 가장 비싼 설측/투명교정의 경우는 700만원을 넘어가기도 하며, 환자분들 마다 난이도 차이 및 선택하시는 장치, 부가적인 장치까지 매우 다른 상황이라 대략적인 실제 상담이 이루어진 뒤에야 비교적 정확한 가격을 알 수 있게 됩니다.
집 수리, 인테리어와 비슷한듯 한데요.
기본적인 재료로 도배, 장판만 하는 경우도 있지만 가구나 구조도 다 뜯어내고 바꾸는 경우가 있죠.
따라서 단순히 집이 몇 평인데 인테리어 얼마인가요? 라고 묻는다변 답변하기 참 모호하고 두리뭉실 하게 된답니다.
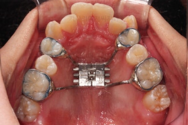
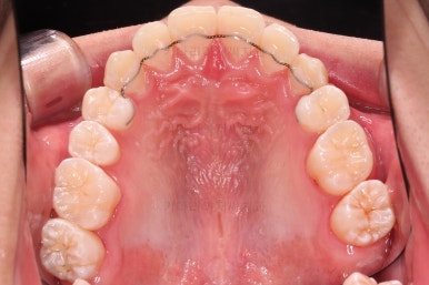
악궁확장
치료 첫 단계에서는 악궁확장을 시행했어요.
간혹 환자분들은 악궁확장을 발치교정의 대안으로 생각하시는 분들이 많은데요. 즉, 악궁확장을 하면 공간이 생기니깐 발치 안해도 되는 것 아닌가? 하시는거죠.
그런 경우도 있지만 발치교정과 악궁확장은 목적이 다릅니다.
악궁확장은 공간이 필요해서 하는 것도 아니고 악궁(치아가 담겨있는 U자 형태)의 형태가 좁은 형태라서 하는 것도 아니고요.
"아랫니의 틀에 비해 윗니의 틀이 가로폭이 좁을 때, 즉 위아래의 가로폭의 부조화가 있을 때" 시행하는 것이 원칙입니다.
당연히 확장을 하게 되면 일정부분 공간확보의 여지가 있으므로 발치 확률이 줄어들 수는 있는데요.
목적 자체가 다르며, 악궁확장을 하더라도 발치가 필요한 경우는 해야하며 비발치=악궁확장이라거나 발치=악궁 안확장 이런건 아니라는거죠.
악궁확장장치를 적절한 유지기간 후에 제거하고요.
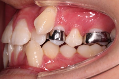
좌측 치아를 위아래 하나씩 적절한 시기에 발치를 합니다.
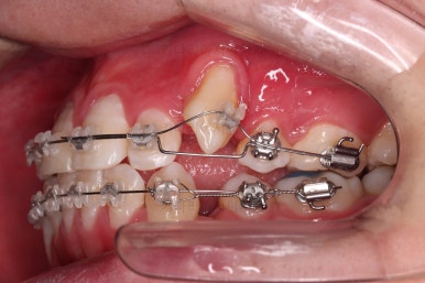
다양한 테크니긍로 심하게 튀어나가 있던 덧니를 가지런하게 해줍니다.
매우 주의해야 하는 옆 라인이라던지 한 쪽만 치아를 뽑았기 때문에 자칫 한 쪽으로 치우칠 수 있는 치아의 중앙선 등 얼굴 모습도 고려하고요.
워낙 바깥쪽에 있었던 송곳니라 뿌리 부분이 튀어나오 보이는데요.
이 부분도 적절하게 더 개선하고요.
물론 애초에 위치가 좋지 않아 퇴축이 있었던 잇몸은 다시 100% 살아나기 힘들지만요.
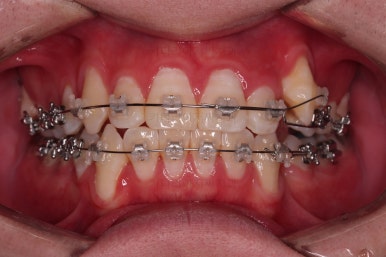
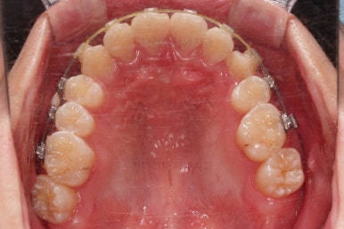
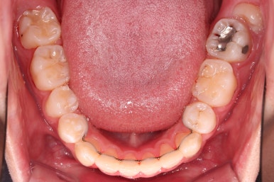
적절한 마무리 후에 치료를 종료하게 됩니다.
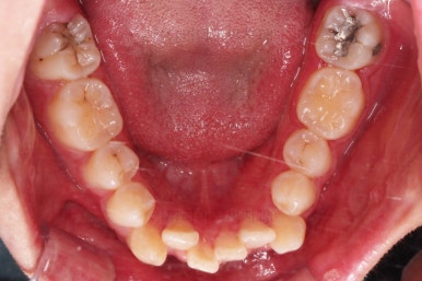
좌측 위아래만 치아의 갯수가 적다 하더라도 교합이라던지 기능에는 전혀 문제가 없습니다.
정중선이나 교합 등 잘 마무리 했습니다.
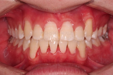
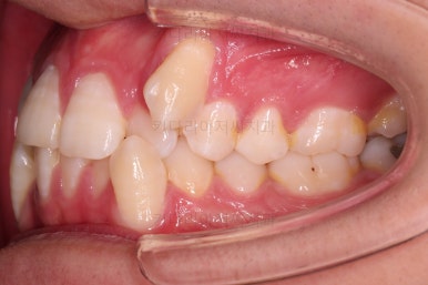
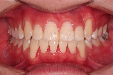
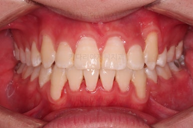
부산덧니교정 전후 비교해 볼게요.
20개월이라는 비교적 짧은 기간 안에 악궁확장을 비롯해 발치교정을 통한 덧니치료까지 만족스럽게 시행되었습니다.
이상 악궁확장, 편측 발치교정을 통한 덧니치료 사례였습니다.
부산 연산동 교정치과 키다리아저씨치과에 오시는 길은 연제구 연산동 연산역 17번출구 바로 앞 건물 6층입니다.
치과교정과 전문의(부산대 외래교수)가 상주하며 교정치료 합니다.
<위 사진은 환자분의 동의를 구한 후 공개하는 사진자료입니다. 사진은 과장이나 조작이 없는 원본사진입니다. 교정치료로 인한 부작용으로는 치근흡수, 충치, 치아변색, 실활 등이 있을 수 있으며, 치료 전후 사진은 의료법 제 23조, 제 56조에 의거하여 게재합니다. 개인의 상태에 따라 치료결과는 달라질 수 있으므로, 교정전문의와 상의를 요합니다.>



























































































































댓글