부산나비앞니교정 키다리아저씨치과에서 부분교정을 통해 나비치아를 치료한 사례
- 키다리아저씨치과

- 2025년 5월 9일
- 2분 분량
안녕하세요.
오늘 소개해 드릴 환자분은 앞니가 나비 날개처럼 꺾인 양상으로 틀어져 있었던 분으로 부분교정을 통해 개선을 하고자 하셨던 분입니다.
나이 : 26세
총 치료기간 : 5개월
사용한 장치 : 자가결찰 세라믹(Empower clear, 엠파워 클리어)
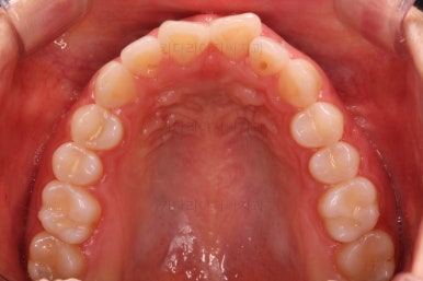
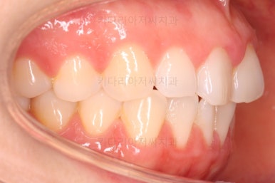
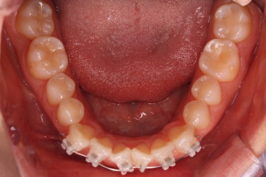
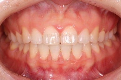
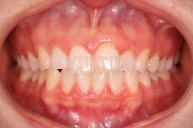
부산나비앞니교정 키다리아저씨치과에 처음 내원하셨을 당시의 입 안 모습입ㄴ디ㅏ.
보시다시피 위아래 정중앙에 있는 치아가 V자 형태로 꺾여있었어요.
흔히 "나비치아", "나비앞니"라고 표현을 하는데 나비 날개짓을 하듯이 꺾여 있다고 그렇게 부릅니다.
미관상 약간 보기 싫은 것도 있지만 앞니쪽이 삐뚤하게 되면 치석이 더 잘생기고 잇몸에 염증이 오기도 쉬워요.
당연히 가지런하게 해주는게 훨씬 도움이 된답니다.
어금니쪽의 맞물림은 굉장히 양호한 편이였기 때문에 부분교정에 딱 알맞는 경우였어요.
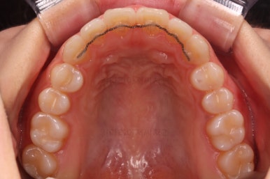
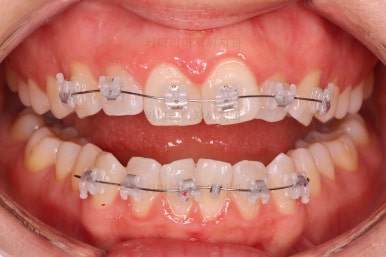
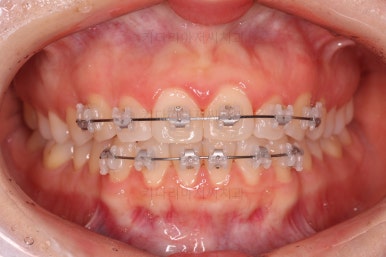
장치 부착 시점의 사진입니다.
장치를 붙이고 철사가 구불구불 들어가게 되면 그제서야 "이렇게 많이 틀어져 있었구나"를 더 잘 느 끼시게 됩니다.
이번에 사용한 장치는 엠파워 클리어라고 하는 자가결찰 세라믹 장치인데 같은 계열로는 엠파워 클리어를 비롯해 클리피씨 등이 있어요.
치아에 붙는 장치가 치아색과 비슷한 세라믹으로 만들어져 있고 철사를 붙잡아 주는 클립이 달려 있어 스스로 철사를 묶을 수 있다고 해서 "자가결차" 이라고 표현해요.
클리피씨 장치가 가장 유명하긴 하지만 매우 다양한 제품이 있고 거의 비슷한 장치이기 때문에 의사와 상의 하에 선택을 하시면 됩니다.
엠파워 장치는 미국, 클리피씨는 일본장치이며 기능적으로는 둘 다 우수한 장치입니다.
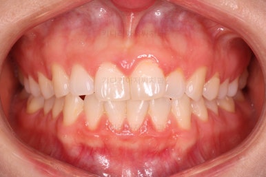
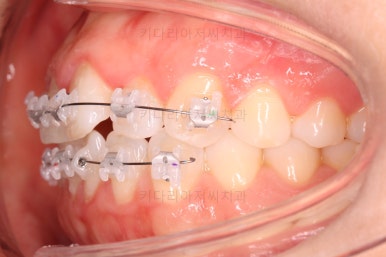
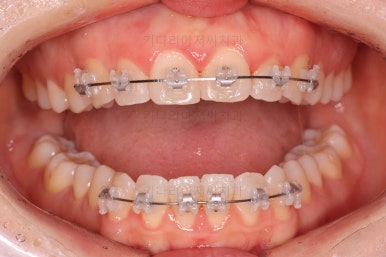
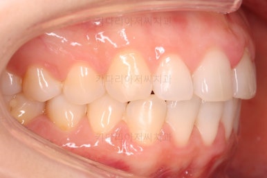
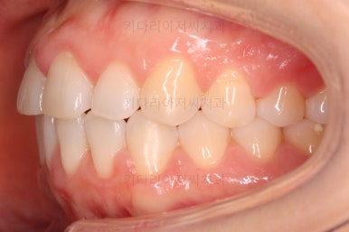
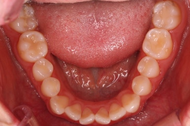
부산나비앞니교정 키다리아저씨치과에서 치료를 한 지 3개월째의 모습입니다.
굉장히 많이 가지런해 진 것을 볼 수 있어요.
그래도 여전히 나비앞니의 느낌이 남아있어서 미세한 조절을 더 하고 마무리를 하기로 했습니다.
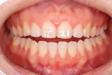
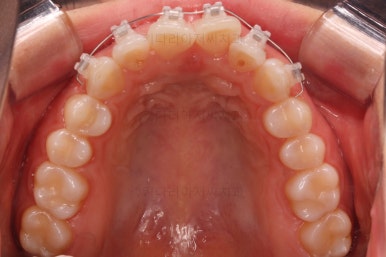
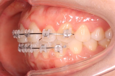
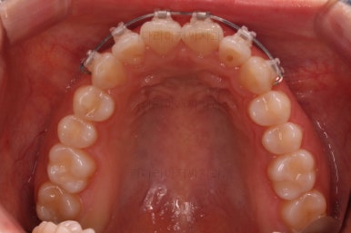
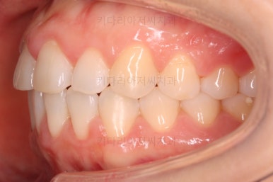
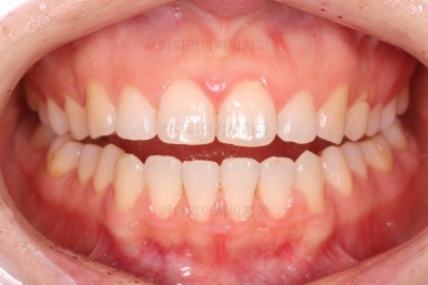
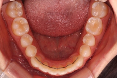
벌써 치료 종료시의 모습입니다.
치료는 총 5개월이 걸렸네요.
일반적으로 부분교정은 6개월 전후로 치료기간이 걸리긴 하고 이번 환자분의 경우는 삐뚤어진 정도가 심한 편이 아니라서 짧게 걸린 편이었어요.
치료결과는 매우 만족하셨습니다.
삐뚤었던, V자로 꺾여있던 나비앞니치아가 가지런해졌어요.
양치질도 훨씬 편해져서 장기적으로 구강건강에도 도웅미 되실 거에요.
다시 틀어지지 말라고 앞니 안쪽에 유지장치를 부착해 주고 마무리를 했습니다.
왼쪽 사진들이 부산나비앞니교정 치료 전 모습, 오른쪽 사진들이 치료 후의 모습입니다.
가지런해진 느낌이 전후 비교해보니 훨씬 느껴지실 거에요.
이상 부산나비앞니교정 키다리아저씨치과에서 시행한 나비치아를 가진 환자분의 앞니 부분교정을 치료한 사례였습니다.
키다리아저씨치과에 오시는 길은 연제구 연산동 연산역 17번출구 바로 앞 건물 5, 6층입니다.
치과교정과 전문의(부산대 외래교수)와 치과보철과/통합치의학과 전문의(부산대 외래교수) 2명이 상주하며 교정치료와 일반치과치료를 협진하여 진료합니다.
<위 사진은 환자분의 동의를 구한 후 공개하는 사진자료입니다. 사진은 과장이나 조작이 없는 원본사진입니다. 교정치료로 인한 부작용으로는 치근흡수, 충치, 치아변색, 실활 등이 있을 수 있으며, 치료 전후 사진은 의료법 제 23조, 제 56조에 의거하여 게재합니다. 개인의 상태에 따라 치료결과는 달라질 수 있으므로, 교정전문의와 상의를 요합니다.>















































































댓글