부산긴얼굴긴턱교정 키다리아저씨치과의 양악수술을 통한 주걱턱 개선 치료사례
- 키다리아저씨치과

- 1월 21일
- 3분 분량

"미니스크류를 이용한 투명교정장치에 관한 논문"으로 2023년도 Angle orthodontist(미국의 교정학회지) SCI 저널에 제 1저자로 게재되었습니다.
항상 공부하고 노력하는 키다리아저씨치과가 되겠습니다.
안녕하세요.
오늘 부산긴얼굴긴턱교정 키다리아저씨치과에서 소개해 드릴 환자분은 주걱턱, 긴얼굴, 긴턱을 개선하고 싶어하셨던 환자분으로 확실한 얼굴모습까지의 개선을 원하셔서 양악수술로 치료하게 되었습니다.
나이 : 23세
총 치료기간 : 1년 3개월(총 15개월)
사용한 장치 : 자가결찰 세라믹(엠파워 클리어, Empower clear) + 미니스크류 + RPE(악궁확장장치)
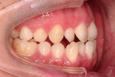
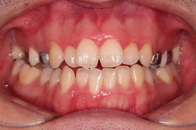
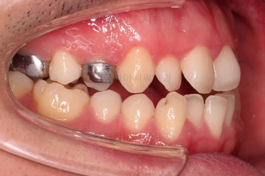
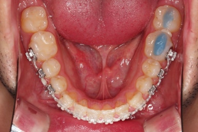
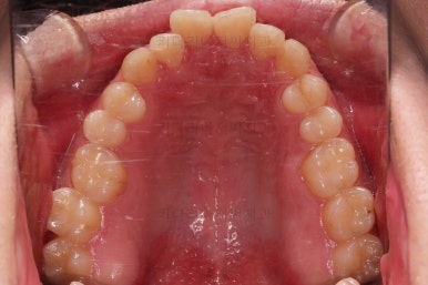
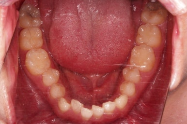
초진 시 입안의 모습입니다.
교합이 많이 안좋습니다.
위아랫니가 서로 엇갈려 가며 지그재그로 껴 들어가야 어금니 맞물림이 생기는데요.
이번 환자분은 아랫니, 아래턱이 전반적으로 앞으로 나와 있어서 교합이 전혀 안되고 있는 상태였습니다.
부정교합을 개선 안하면 어떻게 되나요?
심미적인 요구가 없으신 환자분들은 이처럼 부정교합이 있을 때, 만약 개선을 안하면 어떤 문제가 생기는지 궁금해 하시는데요.
교정치료라는게 생명에 지장을 줄 정도로 심각하고 위급한 치료는 아니죠.
그래서 무조건 하셔야 됩니다의 개념은 없는데요.
대신 이번 환자분과 같은 부정교합에서는 부정교합인 채로 지낸다면
저작의 효율성
치아의 마모
잇몸 손상
잇몸 퇴축
장기적인 치아 숨여의 감소
등등의 문제가 생길 수 있어서 교합을 개선해주면 훨씬 좋긴 합니다.
마찬가지로 초진 시 얼굴모습인데요.
얼굴이 길고, 하관과 턱이 긴 타입의 주걱턱이었습니다.
치아도 아래로 턱도 아래로, 아래로 아래로 내려와 있는데요.
그래서 웃을 때 잇몸도 많이 보이고요.
이런 유형의 환자분에서 당연히 예상되는 호흡기 문제도 체크해 주고요.
두 가지 방향의 치료계획을 제시해 드립니다.
수술(양악) vs 비수술
두 가지 치료의 목표는 엄연히 다릅니다.
비수술로 가능하다는 건, 비수술로 수술과 같은 결과를 만들어낸다는 건 아닙니다.
수술과 같은 드라마틱한 부산긴얼굴긴턱교정 얼굴모습의 개선은 없겠지만 기능적으로 교합을 할 수 있게끔 하면서 부가적인 얼굴모습의 변화도 만들어내는건데요.
(경우에 따라서는 얼굴 모습이 많이 변하는 케이스도 있긴 합니다.)
하지만 이번 환자분은 얼굴모습 개선이 거의 되지 않는 케이스입니다.

교정만으로 했을 경우 얼굴 모습 변화 예상 시뮬려이션인데요.
이번 환자분의 고민은 이 때 부터 시작되었습니다.
고민에 고민을 거듭하셨고, 결국 수술을 하기로 결정하셨습니다.
우선은 악궁확장장치를 합니다.
악궁확장은 언제 해야 되는가? 성인은 모두 미니스크류를 이용해야 하는가?(MARPE?)
악궁확장은 단순히 윗니가 삐뚤다고 하는 것도 아니고, 주걱턱이라고 하는 것도 아닙니다.
아래턱에 비해서 위턱이 좁을 때 하는 것이고요.
성인이라고 모두 미니스크류를 이용한 악궁확장장치(MARPE)를 하는 건 아니며, 여러 가지 분석법으로 성인에서도 일반 악궁확장장치(RPE) 성공 가능성이 높은 환자분은 일반 확장장치를 사용하고 있습니다.
(이 부분은 부산긴얼굴긴턱교정 키다리아저씨치과 석사 논문 써서 SCI저널에 게재 되었던 내용이기도 합니다. ^^)
아무튼 이번 환자분은 위턱 자체가 폭이 좁아서 확장을 먼저 진행했고요.
확장 이 후 유지 기간동안 다른 치열을 가지런하게 해줍니다.
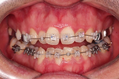
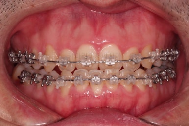
수술 전 교정과정이 거의 마무리 되어 갑니다.
오히려 앞니가 거꾸로 물리는 정도는 더 심해지고요.
수술 직전이 얼굴모습도 가장 주걱턱이 심한 양상으로 됩니다.
농담 삼아 못생겨지면 못생겨질수록 수술이 더 잘될겁니다 라고 말씀 드립니다.
수술 전 교정 7개월 -> 수술 및 회복 1개월 -> 수술 후 교정 7개월
이 정도 스케쥴로 부산긴얼굴긴턱교정 이번 환자분은 진행되었는데요.
적절한 시기에 양악수술을 하는 병원을 선정해 적절히 의사소통을 하며 수술이 잘될 수 있도록 치료계획을 의논하게 됩니다.
협진이 매우 중요한 과정입니다.
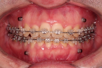
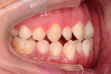
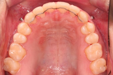
부산긴얼굴긴턱교정 수술 직후의 모습입니다.
아직은 붓기가 있고 입 벌리기도 힘들지만 매우 성공적이어 보입니다.
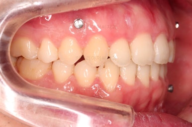
술전 교정 + 양악수술계획/협진 + 양악수술 이 삼박자가 잘 맞으면 술후교정은 일사천리로 진행됩니다.
큰 문제 없이 진행되고 좀 더 디테일을 맞추고 종료하게 됩니다.
아직 턱끝이나 입술 주위의 자연스러운 느낌은 연습이 더 되야할 것 같지만 환자분도 매우 만족하시고 전반적으로 모든 점에서 다 좋아졌습니다.
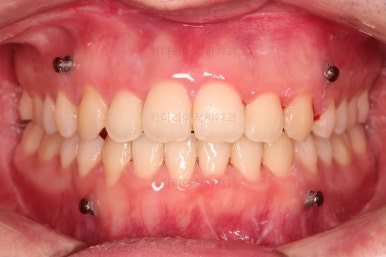
부산긴얼굴긴턱교정 전후 비교해 볼게요.
이렇게 비교해 놓으니 더 드라마틱하죠.
당연히 교합/위아래 폭 등 치열이 좋아졌고요.
얼굴 모습에서도 주걱턱이 개선되었고, 긴얼굴, 긴턱 등 길이 부분도 굉장히 좋아졌습니다.
적절한 협진을 통해서 과하지 않게 특유의 양악수술 느낌의 어색함 없이 개선이 잘 되었습니다.
얼굴 길이가 짧아지면 이렇게 훨씬 어려보이는 효과도 주게 됩니다.
전반적으로 부산긴얼굴긴턱교정 키다리아저씨치과도 환자분도 매우 만족한 치료였습니다.
이상 악궁확장, 양악수술을 통해 긴얼굴과 긴턱, 주걱턱을 개선한 부산긴얼굴긴턱교정 치료사례였습니다.
부산 연산동 교정치과 키다리아저씨치과에 오시는 길은 연제구 연산동 연산역 17번출구 바로 앞 건물 6층입니다.
치과교정과 전문의(부산대 외래교수)가 상주하며 교정치료 합니다.
<위 사진은 환자분의 동의를 구한 후 공개하는 사진자료입니다. 사진은 과장이나 조작이 없는 원본사진입니다. 교정치료로 인한 부작용으로는 치근흡수, 충치, 치아변색, 실활 등이 있을 수 있으며, 치료 전후 사진은 의료법 제 23조, 제 56조에 의거하여 게재합니다. 개인의 상태에 따라 치료결과는 달라질 수 있으므로, 교정전문의와 상의를 요합니다.>

































































































































댓글