부산구순구개열 키다리아저씨치과의 결손, 왜소치를 가진 구순구개열 환자분의 치료사례
- 키다리아저씨치과

- 2025년 11월 6일
- 2분 분량
안녕하세요.
오늘 부산구순구개열 키다리아저씨치과에서 소개해 드릴 환자분은 우측 구순열과 구개열이 있었고 해당 부위의 결손치아 및 왜소치아 등으로 교정치료를 진행했던 환자분이었습니다.
나이 : 26세
총 치료기간 : 2년 5개월(총 29개월, 앞니 보철치료 완료시까지)
사용한 장치 : 자가결찰 메탈 + 미니스크류
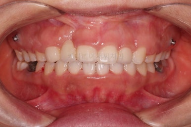
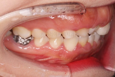
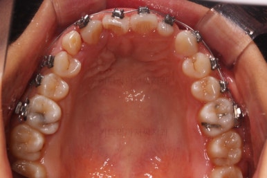
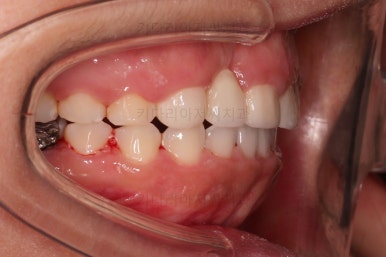
초진 시 입안의 모습입니다.
화살표 부위가 바로 균열 부위인데요. 해당 부위의 입술부터 치조골~입천장까지 뼈가 결손이 되어있고, 해당 부위에 있어야 할 작은 앞니도 선천결손인 상태였어요.
잇몸은 덮고 있어서 마치 아무 문제가 없는 듯 보이지만 뼈속을 보면 상황이 다른데요.

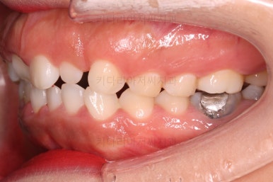
공간은 없어보이지만, 사실 뼈속 X-ray를 관찰해 보면 뒤쪽의 송곳니가 앞쪽으로 기울어 쓰러져 마치 치아가 연속적으로 붙어있는 것처럼 보였던 거에요.
송곳니 뒤쪽으로는 상태가 좋지 못한 유치도 남아있었고요.
반대편 작은 앞니는 크기와 모양이 작은 왜소치 형태였어요.
특히나 구순구개열 환자분의 경우 골 결손부위와 크기를 잘 파악해야 합니다.
왜냐하면 뼈가 없는 곳에는 치아를 위치시키면 안되기 때문이며, 결손 부위를 덮고 있는 잇몸과 최대한 조화롭게 다른 치아를 위치시켜야 되기 때문이죠.
수많은 항목을 CT로 분석하고 결손 부위의 위치와 크기도 정확히 파악해줍니다.
구순구개열에서 함께 나타날 수 있는 문제인 호흡기 문제와 연하(음식물 삼킴), 발음 등의 문제를 체크하고 턱관절도 분석합니다.
치열교정 -> 결손 공간 자리분배 -> 앞니 보철치료(브릿지)
치료의 순서는 치아교정을 통해 적절한 위치에 적절한 치아를 위치시키고요.
이 후에는 예쁘게 보철치료를 통해 미적/기능적 회복을 해줍니다.
구순구개열 환자분의 경우 대부분 최종 보철의 형태는 "임플란트"가 아니라 "브릿지"가 되는데요.
왜냐하면 치조골이 결손이 되어 있어서 임플란트 식립이 힘들기 때문입니다.
브릿지는 양옆의 치아를 깎아 어깨동무 하듯이 가짜치아를 매달아두는 형태인데요.
이 때 특히 주의해야 할 점은 균열부위 좌/우의 뼈가 따로 요동칠 경우 브릿지의 안정성이 매우 떨어질 수 있다는 점인데요.
부산구순구개열 키다리아저씨치과는 골 결손부위를 잘 파악해서 안정적인 최종 보철을 시행하게 됩니다.
특히나 건강보험으로 치료비를 지원 받을 수 있는 치과는 상급 의료기간과
협진이 가능한 등록된 교정치과여야 하는데요.
저희 키다리아저씨치과를 비롯 전국에 많지 않기 때문에
구순구개열 및 기타 악안면기형 치료가 가능한 치과인지
사전에 알아보고 가셔야 한답니다.
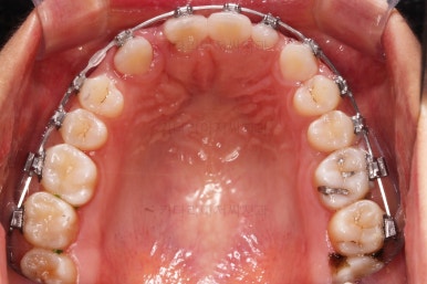
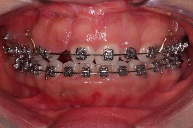
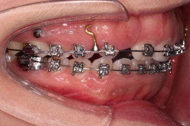
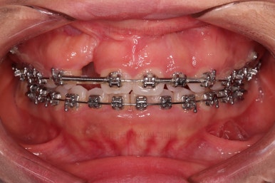
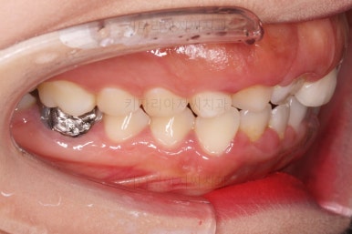
장치를 부착하고요.
빼야 할 유치를 발치하며, 결손부위로 쓰러진 주위 치아들을 원위치 시키는 작업을 합니다.
이번 치료에서 오래 걸렸던 점은, 앞으로 쓰러진 송곳니를 원위치 시켜주는 작업, 그리고 윗니들이 아랫니들에 비해 조금씩 앞으로 나와있어서 통째로 뒤로 당겨주는 작업이었습니다.
이 때 보조적으로 사용한 장치가 미니스크류 입니다.
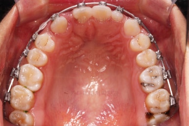
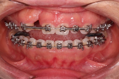
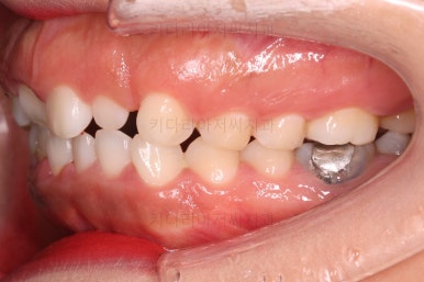
서서히 결손 부위의 공간이 확보되며 다른 치아들이 자리를 잡아가는 것이 보이네요.
이제 필요한 공간이 충분히 만들어졌고요.
반대편의 왜소치아도 크기를 키워 예쁘게 하고자 하셨기 때문에, 해당 부위의 적절한 공간을 만들어줬어요.
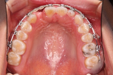
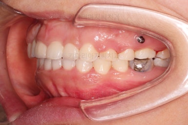
이제 보철치료 후 마무리를 하기로 했습니다.
하방에 뼈가 없는 상태에서 보철이 들어가야해서, 치아모양/크기/잇몸 부위의 디자인/안정성/색깔/범위 등 매우 디테일한 논의가 필요합니다.
그리고 진행되는 과정도 교정장치를 제거했다 붙였다, 임시치아에 붙였다 제거했다 하는 과정이 수도 없이 반복되기 때문입니다.
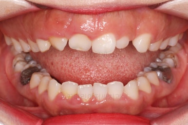
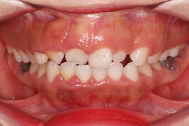
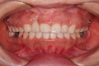
바로 부산구순구개열 전후 사진을 비교해 볼게요.
앞니가 상당히 많이 예뻐졌네요.
결손부위가 잘 커버가 되었고요.
일반적으로 구순구개열 환자분은 웃을 때도 치아와 잇몸이 많이 보이는 편이 아니기 때문에 사실상 잇몸 부위는 디자인이 크게 중요하지는 않은데요.
대신 구강위생관리에 그래도 장점이 있게끔 디자인했답니다.
앞니에 보철이 4개나 들어갔는데도 굉장히 자연스러워 무엇이 진짜인지 가짜인지 구분이 잘 안갈 정도네요.
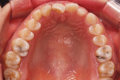
교합이라던지 아랫니 등도 전반적으로 좋아졌어요.
구순구개열의 경우 치료계획과 과정의 신경을 많이 쓰면 매우 스무스 하고 심플하게 진행되어 보이는데 실은 굉장히 까다롭고 어려운 치료랍니다.
세심한 분석과 적절한 치료를 한다면 매우 훌륭한 부산구순구개열 결과를 얻으실 수 있을거에요.
키다리아저씨치과에 오시는 길은 연제구 연산동 연산역 17번출구 바로 앞 건물 5, 6층입니다.
치과교정과 전문의(부산대 외래교수)가 상주하며 교정치료 합니다.
<위 사진은 환자분의 동의를 구한 후 공개하는 사진자료입니다. 사진은 과장이나 조작이 없는 원본사진입니다. 교정치료로 인한 부작용으로는 치근흡수, 충치, 치아변색, 실활 등이 있을 수 있으며, 치료 전후 사진은 의료법 제 23조, 제 56조에 의거하여 게재합니다. 개인의 상태에 따라 치료결과는 달라질 수 있으므로, 교정전문의와 상의를 요합니다.>






























































































댓글