부산구순구개열 치아교정 키다리아저씨치과 <비용 및 치료방법>
- 키다리아저씨치과

- 2025년 3월 10일
- 3분 분량
안녕하세요.
부산구순구개열 키다리아저씨치과에서 소개해 드릴 분은 구순열과 구개열을 가지고 계셨던 환줍느이 교정치료 사례입니다.
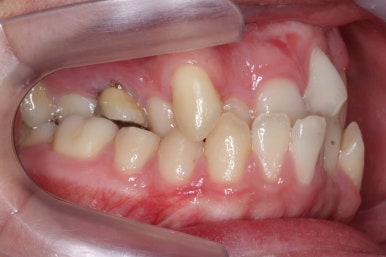
부산구순구개열 키다리아저씨치과에 처음 오셨을 때 당시의 얼굴모습입니다.
윗입술왼쪽부터 코 아랫부분가지 상처가 봉합된 흔적이 보입니다. 위턱의 발육이 부족하여 옆모습에서 상대적으로 아래턱이 튀어나와 보입니다.
구순구개열은 말 그대로 구순(입술)과 구개(입천장)에 열(갈라짐)이 있는 상태를 뜻합니다.
입술만 갈라졌다면 구순열, 입천장만 갈라졌다면 구개열, 둘 다 증상이 있다면 구순구개열이라고 표현합니다.
태어날 때 부터 갖고 있는 경우가 많기 때문에 젖먹는데서부터 문제가 발생할 수 있습니다. 따라서 태어날 때 부터 성인이 될 때까지 지속적으로 치료해 줘야 하는데요.
1. 태어난 직후 : 입천장 및 입술 봉합
2. 이후 어린이 때 까지 : 영구치 맹출 유도 및 입천장 확대, 필요시 잇몸뼈 이식 및 발음연습
3. 청소년부터 성인 때 까지 : 치열교정 및 필요하다면 악교정수술
간략하게만 적언호았지만 사실상 태어난 이후 부터 성장이 끝날 때까지 여러 과의 협진을 통한 지속적인 관리를 받아야 됩니다. 실미적으로나 경제적으로나 당사자 뿐만 아니라 보호자분에게도 매우 힘든 여정이 됩니다.
다행히 2019년부터는 구순구개열 환자분의 치아교정에 대해서도 국가에서 건강보험이 적용되어 비용 부담이 많이 줄었습니다. 원래는 비보험이였기 대문에 적게는 3~400만원에서 많게는 5~600만원까지 하는 교정치료 비용을 자가부담 했어야 했는데, 국가 건강보험이 많이 보장되어 그 부담이 많이 낮아졌습니다.
1. 치열교정 + 악궁확장 : 약 260만원(자가분담금)
2. 치열교정만 시행할 경우 : 약 220만원(자가분담금)
3. 악궁확장만 시행할 경우 : 약 50만원(자가분담금)
4. 의료보호 대상자일 경우 : 자가분담금이 거의 들지 않습니다.
여전히 적지 않은 비용이 치아교정에 소요되지만, 예전에 비하면 그리고 일반적인 교정치료에 비하면 그 부담이 많이 줄어든 것도 사실입니다.
다시 이번 환자분의 치료를 보여드릴게요.
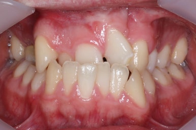
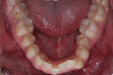
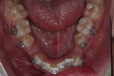
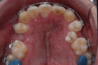
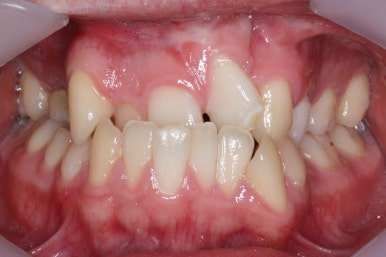
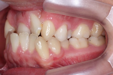
부산구순구개열 키다리아저씨치과에 처음 오셨을 때의 입 안의 모습입니다.
입천장이 갈라져서 어릴 때 봉합 수술을 했기 때문에 그 상처가 굵게 남아있는 것을 볼 수 있습니다. 일반적으로 피부상처도 다른 부위보다 단단하듯이 입천장의 봉합 상처도 매우 단단하게 아물기 때문에 성장에 방해를 주게 됩니다.
가로폭이 매우 좁고 찌그러져 있습니다.
또한 위턱이 앞으로 자라나는 것도 방해해 대부분 앞니가 거꾸로 물리게 됩니다.
또한 가랄져 있던 선에 걸쳐 있는 영구치 일부는 선천결손이 되는 경우가 많습니다.
이번 환자분도 이런 특징을 모두 갖고 계셨습니다.
얼굴모습과 인 안의 모습을 종합했을 때, 치아교정만으로 치료를 하기로 했습니다.
만약 위턱뼈의 저성장 양상이 심했다면 악교정수술(흔히 말하는 양악수술)이 필요하게 됩니다.
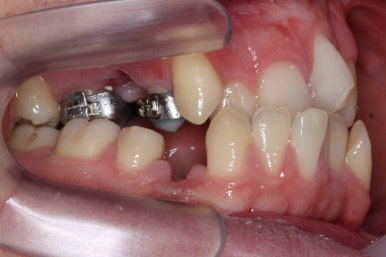
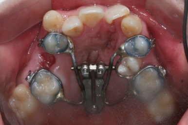
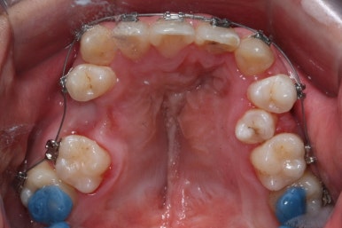
좁아져 있는 위턱뼈를 가로로 넓혀주기 위해서 악궁확장장치를 사용했습니다.
윗니는 선천결손으로 치아가 2개가 모자랐고 앞니도 거꾸로 물리는 상황이여서 아랫니도 균형있게 2개를 추가로 더 뽑았습니다.
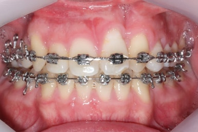
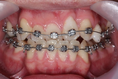
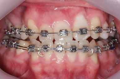
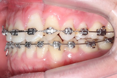
악궁확장과 동반하여 부산구순구개열 키다리아저씨치과에서는 브라켓을 부착하여 가지런하게 하는 작업을 시작하였습니다.
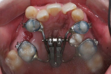
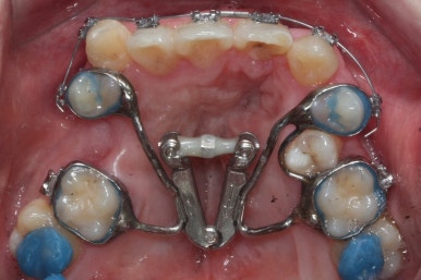
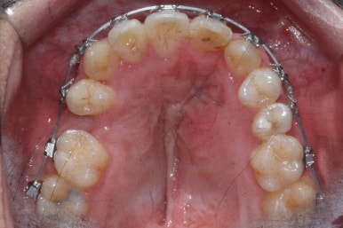
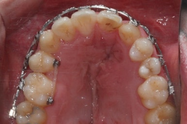
악궁확장이 시작될 시점과 악궁확장을 다 진행했을 시점의 비교입니다.
확실히 좁아져 있던 가로 넓이가 넓어진 것을 볼 수 있습니다.
악궁확장장치는 바로 제거할 경우 다시 원상태로 폭이 좁아질 수 있으므로 3~6개월은 유지해야 합니다.
만약 치아교정 없이 악궁확장장치만 사용한다면 유지장치가 매우 중요하게 됩니다.
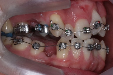
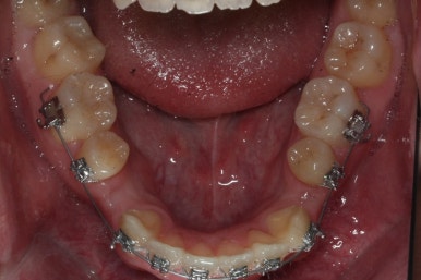
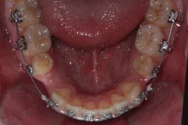
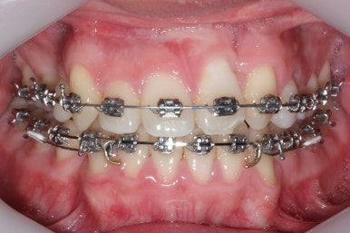
위아랫니가 각각 가지런해지고 있는 것을 볼 수 있습니다.
적절한 시기가 되면 악궁확장장치를 제거하고, 확장장치가 걸려있던 치아도 가지런하게 해줍니다.
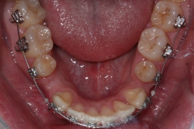
윗니는 아직 가지런하게 하는 작업 중이며, 아랫니는 가지런하게 하는 작업은 거의 다 되었습니다.
이제 아랫니는 이 뽑은 자리를 앞뒤로 당겨서 없애주어야 합니다. 보통은 앞니가 뒤로 많이 들어오기 때문에 이번 환자분 처럼 앞니가 거꾸로 물리는 경우 앞니를 제대로 물리게 해줄 수 있습니다.
계속 윗니는 가지런히 해주고 있으며 아랫니는 앞뒤를 뒤로 당기고 있습니다.
거꾸로 물리던 앞니가 서서히 개선되어 가는 것을 볼 수 있습니다.
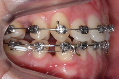
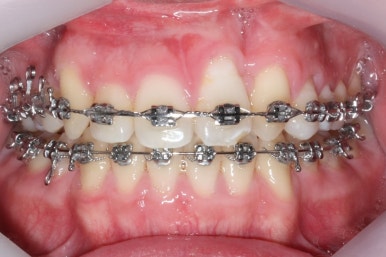
부산구순구개열 키다리아저씨치과에서 교정치료 하신지 1년여만에 드디어 앞니는 거꾸로 넘어왔고, 윗니들도 상당히 많이 가지런해졌습니다.
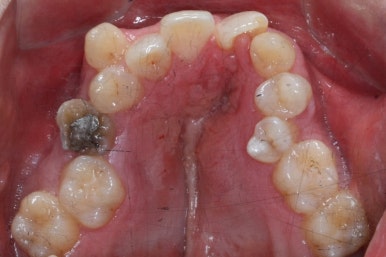
이 뽑은 자리도 상당히 많이 줄어든 것을 볼 수 있고, 이제는 정상적인 포개짐이 만들어졌습니다.
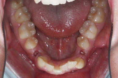
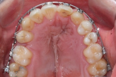
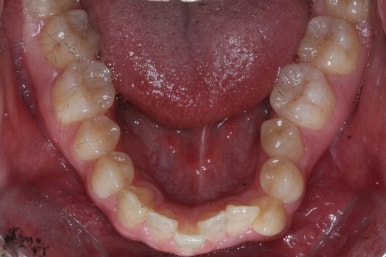
아래 치열은 거의 완료가 되었네요.
이 뽑은 자리도 다 없어졌고요. 대신 윗니는 어금니쪽에 약간의 틈과 기울어진 경사 등등 디테일한 조절을 계속해 나갑니다.
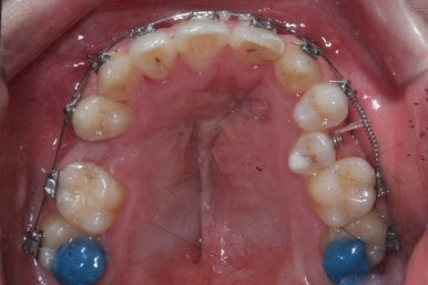
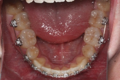
가장 최근의 사진입니다.
아직 치료 종료는 안되었으나 약간의 조절을 더하면 치료를 마무리할 수 있을 것 같습니다.
물론 윗니 한 쪽은 작은 앞니가 없고 한 쪽은 작은 어금니가 없기 때문에 중앙선이 100% 일치하지는 못하겠지만 기능적으로나 미적으로나 매우 개선되었음은 틀림없습니다.
치료 전과 가장 최근의 사진을 비교해 보겠습니다.
좌측이 부산구순구개열 전, 우측이 가장 최근의 사진들입니다.
거꾸로 물리던 앞니가 개선되었습니다.
좁아져 있고 찌그러진 위턱뼈의 형태가 개선되었습니다.
영구치 개수가 모자라는 선천결손이 있었지만 아랫니도 개수를 맞춰줌으로써 치아의 맞물림도 상당히 좋아졌습니다.
이상, 부산구순구개열 치아교정을 시행한 교정치료 사례였습니다.
그래도 예전보다는 금전적 비용도 많이 줄었고, 교정치료를 통해서 많은 부분이 개선될 수 있으므로 고민이나 부담 없이 상담 받아보시기를 추천드립니다.
키다리아저씨치과에 오시는 길은 연산역 17번출구 바로 앞 건물 5, 6층입니다.
치과교정과 전문의(부산대 외래교수)와 치과보철과/통합치의학과 전문의(부산대 외래교수) 2명이 상주하며 교정치료와 일반치과치료를 협진하여 진료합니다.
<위 사진은 환자분의 동의를 구한 후 공개하는 사진자료입니다. 사진은 과장이나 조작이 없는 원본사진입니다. 교정치료로 인한 부작용으로는 치근흡수, 충치, 치아변색, 실활 등이 있을 수 있으며, 치료 전후 사진은 의료법 제 23조, 제 56조에 의거하여 게재합니다. 개인의 상태에 따라 치료결과는 달라질 수 있으므로, 교정전문의와 상의를 요합니다.>





























































































































댓글