부산구순구개열교정 키다리아저씨치과에서 시행한 성인 구순구개열 환자의 교정치료와 보철치료 사례
- 키다리아저씨치과

- 4월 8일
- 3분 분량
"미니스크류를 이용한 투명교정장치에 관한 논문"으로 2023년도 Angle orthodontist(미국의 교정학회지) SCI 저널에 제 1저자로 게재되었습니다.
"2023년 대한치과 교정학회에서 표창장을 수여하였습니다."
"2023년 세계 구순구개열 학회에서 포스터 발표를 하였습니다."
항상 공부하고 노력하는 키다리아저씨치과가 되겠습니다.
안녕하세요.
오늘 부산구순구개열교정 키다리아저씨치과에서 소개해 드릴 환자분은 양측성 구순열 및 양측성 구개열 환자분의 치열을 고르게 하고 충치 등 보철치료까지 했던 분입니다.
나이 : 40세
총 치료기간 : 1년 5개월(총 17개월)
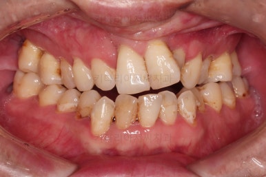
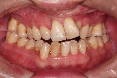
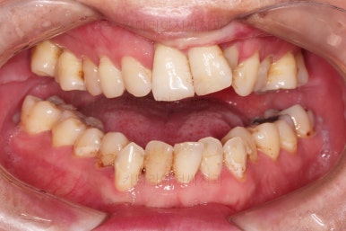
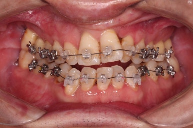
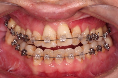
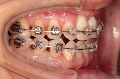
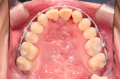
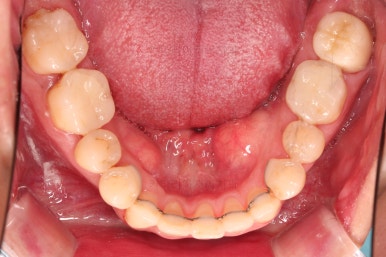
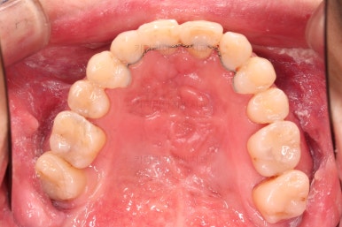
1. 초진 시 입안의 모습
부산구순구개열교정 키다리아저씨치과에 처음 내원하셨을 당시의 입안의 모습입니다.
구순구개열 환자분의 일반적인 입 안의 특징은 다음과 같습니다.
골 결손부위의 치아 결손이 빈번하다.
구개열 봉합술을 어린 나아이에 받기 때문에, 해당 부위의 상흔이 남는다.
상흔의 영향으로(피부 상처도 일반 피부 보다는 상처가 아문 부위가 더 단단하죠.) 입천장의 잇몸이 굉장히 단단하다.
그래서 가로폭의 성장이 잘 되지 못하여 악궁(치아가 배열된 U자 형태)이 협착된 경우가 많다.
공간 부족으로 치열이 매우 삐뚠 경우가 많다.
공간 부족과 악궁 형태 등으로 인해 부정교합이 함께 나타난다.
골 결손부위 근처의 치아는 뼈가 약한 경우가 많아 튼튼하지 못하고 만지면 흔들리는 경우가 많다.
이번 환자분도 이와 같은 일반적인 특징이 그대로 나타나 있었습니다.
양측성 구순구개열이었으므로 작은 앞니(대문니와 송곳니 사이)가 양쪽 다 결손이었고, 또 다른 이유로 아래 앞니도 1개 없는 상태였습니다.
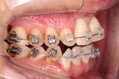
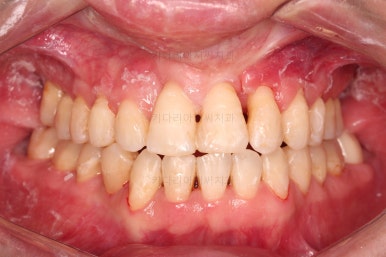
2. 초진 시 얼굴 모습 평가
마찬가지로 초진 시 얼굴 모습입니다.
구순구개열 환자분들의 얼굴에서의 일반적인 특징들이 몇 가지 있는데요.
코~인중~입술까지의 수술 반흔이 남아있다.
입술과 콧구멍, 콧볼 등의 비대칭이 보인다.(편측성 구순구개열의 경우가 코/입술의 비대칭은 더 많음)
인중의 상흔이 너무 단단하여 간혹 위턱이 앞으로 잘 자라나오지 못하여(상대적으로 아래턱만 자라나서) 주걱턱이 되는 경우가 많다.
이번 환자분은 양측성 구순열이었으며, 비교적 수술이 잘 되어 반흔이 많이 눈에 띄지 않고 양측성이라 비대칭도 많지는 않았습니다.
또한 아래 턱뼈의 성장이 과도했던 편도 아니라 주걱턱도 아닌 경우였고요.
3. 초진 시 X-ray 분석
기본적인 파노라마 사진으로 치아 갯수, 뿌리 상태 등을 파악하고 CT 영상을 통해 골결손 부위, 비강 및 기도의 형태까지 파악해 줍니다.
특히 결손 부위 파악이 중요한 이유는 다음과 같습니다.
치아 이동 계획에서 결손 부위로는 치아를 움직이지 말아야 하며
해당 부위로의 이동이 생기면 잇몸/뼈의 결손 및 관리가 안될 수 있습니다.
입천장의 결손 부위가 악궁확장 시, 코와 입천장이 뚫려버리는 일도 생길 수 있습니다.
결손 부위의 결손 치아를 추후에 보철로 갯수를 추가할 때, 임플란트는 안되고 뼈의 안정성이 떨어지므로 특별한 주의가 필요합니다.
4. 치료 목표 및 계획
윗니 2개, 아랫니 1개가 결손이었기 때문에 보철로 추가적으로 치아를 해 넣을지의 여부가 매우 중요했는데요
✅ 추가로 치아를 해 넣지 않고, 현재 치아만으로 교합을 맞추기로 했습니다.
결손 부위의 잇몸뼈의 상태가 썩 좋지 못하며, 대문니 2개의 상태도 장기적으로는 좋지 못할 것으로 예상되어 굳이 주위 치아에 힘을 많이 가하면서까지 공간을 확보하고 치아를 해 넣을 필요는 없다고 판단되었고요.
대신, 치아의 갯수가 위아래가 맞지 않아서 생기는 약간의 애매한 교합 부분은 감수하기로 했습니다.
✅ 악궁확장도 하지 않기로 했습니다.
앞서 입안의 모습에서 위턱뼈의 가로폭이 좁다라는 말씀을 드렸는데요.
잇몸의 베이스가 되는 골격 자체가 좁은 경우
어금니쪽은 괜찮은데, 앞쪽으로 올수록 골격이 좁아지는 경우
베이스가 되는 골격은 괜찮으나 치열이 안쪽으로 쏠려 있어서 좁게 평가된 경우
세 경우 각각 사용하는 장치가 모두 다르며, 이번 환자분은 3번에 가까웠습니다.
치아를 해넣을지 말지에 따라서도 1, 2, 3이 구분되게 되는데요.
어쨌든 이번 환자분은 적극적인 악궁확장 장치까지는 필요 없었고, 브라켓-와이어로만 부산구순구개열교정으로 개선해 보기로 했습니다.
5. 치료과정 및 경과
본격적인 부산구순구개열교정 치료 전에 필요한 부위의 충치치료를 진행합니다.
충치치료에서도 구순구개열 환자분들은 특별한 주의가 필요한 경우가 많습니다.
위아래 장치를 부착했습니다.
2019년부터는 구순구개열 환자분들의 교정치료에 건강보험이 적용되어서 비용적인 측면에서 혜택이 생겼는데요. 아쉽게도 아직은 투명교정장치는 적용이 안되고, 브라켓-철사 교정장치만 적용이 되긴 합니다.
구순구개열 뿐만 아니라 쇄골두개골이골증, 두개안면골이골증, 크루존병, 첨두유합지증 등 악안면 기형의 환자분들의 교정치료도 마찬가지의 건강보험 적용을 받으실 수 있습니다.
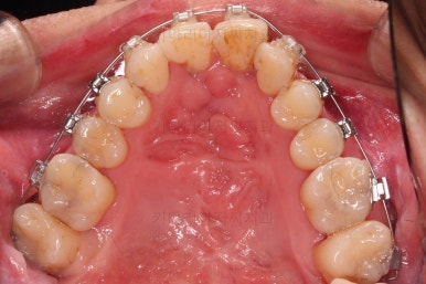
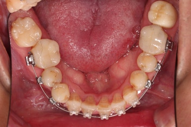
초기 단계의 주안점은 아랫니와 악궁과 어울리는 윗니 악궁의 형태를 만들어 주는 것이고요.
악궁확장장치를 사용하지 않은만큼 철사의 형태를 잘 잡아가면서 악궁 형태를 개선시킵니다.
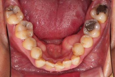
교정 10개월째인데, 악궁형태 많이 좋아졌고, 가지런한 느낌도 많이 좋아졌습니다.
얼굴 모습도 체크하고요.
특히 입술/코의 비대칭을 동반한 경우가 많기 때문에 치열의 중앙선 설정도 잘 해주어야 하는데요.
당연히 치아 이동의 한계는 있겠지만 그 안에서 가장 적절한 위치를 찾아나갑니다.
최종적으로 교합과 현실성 있는 목표를 다시 점검하고요.
예후가 불투명했던 대문니 2개를 살려 쓸 수 있는지, 교정 종료 전에 빼고 보철로 해결해야 하는지 최종평가를 하게 됩니다.
뼈가 좋지 못하고, 장기적으로 사용하기에는 한계가 있어 보이지만 유지철사로 단단히 엮어놓고 본인도 조심히 사용하신다면 당장은 발치하지 말고 최대한 오래 써보자고 결론을 냈습니다.
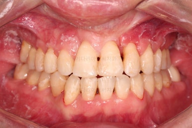
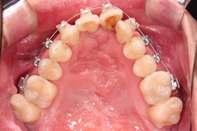
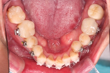
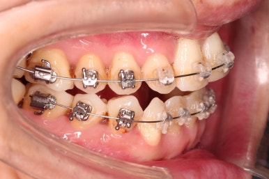
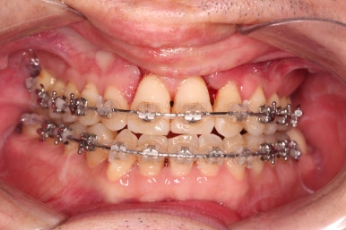
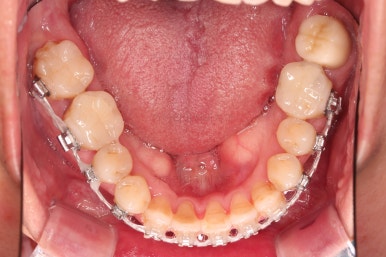
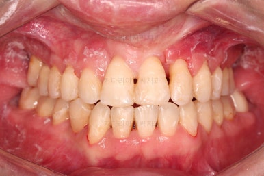
6. 마무리와 치료종료
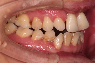
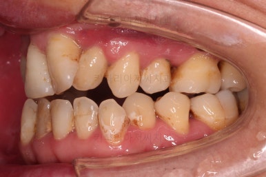
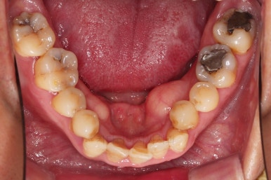
부산구순구개열교정 종료 시의 입안의 모습입니다.
위아랫니 정렬이 잘 되었고, 치아 갯수가 위아래가 다르지만 교합도 나쁘지 않게 마무리가 되었습니다.
대문니 2개가 예후가 안좋긴 하나 양옆 치아들과 유지철사로 부착해 두어 최대한 오래 조심히 써보기로 했습니다.
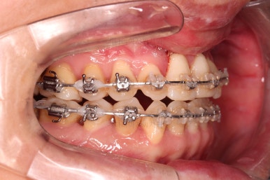
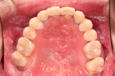
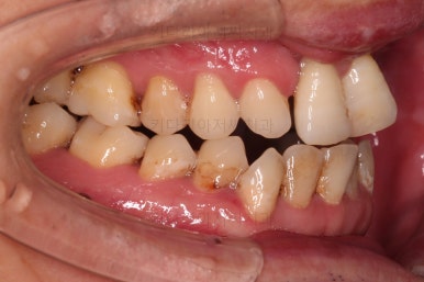
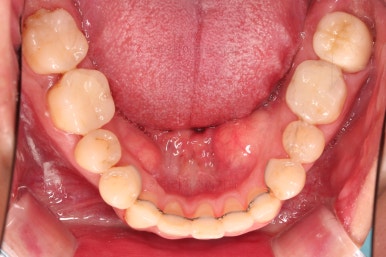
7. 전후 비교사진
치열이 정렬이 잘 되었고요.
웃을 때 보이는 치열의 느낌, 얼굴과의 조화 등 모든 부분이 좋아졌습니다.
이상 양측성 구순구개열 및 다수의 결손치아를 가진 성인 환자분의 치열교정 치료였습니다.
부산 연산동 교정치과 키다리아저씨치과에 오시는 길은 연제구 연산동 연산역 17번출구 바로 앞 건물 6층입니다.
치과교정과 전문의(부산대 외래교수)가 상주하며 교정치료 합니다.
<위 사진은 환자분의 동의를 구한 후 공개하는 사진자료입니다. 사진은 과장이나 조작이 없는 원본사진입니다. 교정치료로 인한 부작용으로는 치근흡수, 충치, 치아변색, 실활 등이 있을 수 있으며, 치료 전후 사진은 의료법 제 23조, 제 56조에 의거하여 게재합니다. 개인의 상태에 따라 치료결과는 달라질 수 있으므로, 교정전문의와 상의를 요합니다.>








































































































































댓글