부산교정 키다리아저씨치과의 중학생 돌출입 교정 치료사례
- 키다리아저씨치과

- 22시간 전
- 2분 분량

"미니스크류를 이용한 투명교정장치에 관한 논문"으로 2023년도 Angle orthodontist(미국의 교정학회지) SCI 저널에 제 1저자로 게재되었습니다.
항상 공부하고 노력하는 키다리아저씨치과가 되겠습니다.
안녕하세요.
오늘 부산교정 키다리아저씨치과에서 소개해 드릴 환자분은 뻐드렁니와 돌출, 무턱으로 교정치료를 원하셨떤 중학생 환자분입니다.
나이 : 14세
총 치료기간 : 1년 11개월(총 23개월)
사용한 장치 : 자가결찰 메탈(엠파워 메탈, Empower metal) + 미니스크류
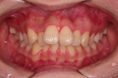
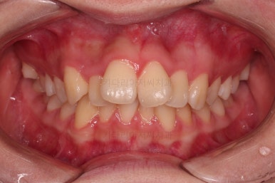
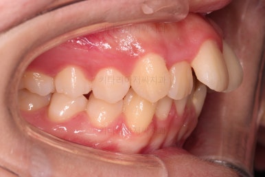
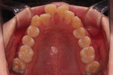
초진 시 입안의 모습입니다.
위아래 앞니가 많이 삐뚤고요.
윗니는 앞니 2개가 토끼이빨처럼 툭 튀어나가 뻐드렁니였습니다.
뿐만 아니라 전반적인 치여링 윗니가 아랫니보다 한참 앞에 있어서 위아래 앞니가 만나지 않는 상태였습니다.
초진 시 얼굴모습인데요.
14세 여자 청소년이었고, 약간의 성장이 남아있음을 확인했기 때문에 성장하면서 얼굴의 패턴이 약간은 달라질 수 있긴 합니다.
다만, 그렇다고 무턱이 주걱턱으로 자라거나 드라마틱하게 공간이 생겨서 치아가 가지런해진다거나, 코/턱끝이 자라면서 돌출입이 정상입이 된다거나 하는 큰 변화는 없죠.
그래서 분명 성인 기준 외에 청소년 기준으로 돌출을 평가할 필요는 있지만 이번 환자분은 여러 가지를 감안해서도 명백한 돌출입이었습니다.
윗입술이 아랫입술에 비해 많이 튀어나와 있었고요.
상대적으로 코/턱도 낮아보이고 턱끝에 힘이 들어가는 패턴이 더 무턱처럼 보이게 만들죠.
발치교정
지금 상태의 교합과 돌출과 삐뚤어진 정도를 비발치로 개선한다? 물론 가능은 할 수 있겠지만 그 가능이라는 것이 애매하게 적당히 개선하는 정도를 의미하는 것이라면 말이죠.
하지만 교정을 끝냈는데 여전히 입이 나와있다면? 입이 불편하게 다물린다면? 오히려 맨 뒤 어금니가 사랑니처럼 잇몸에 뭍혀버린다면? 의미없는 비발치교정 아니겠습니까.
이번 환자분은 명백한 발치교정 케이스이며 대신 2개냐, 4개냐의 갯수 문제로 부산교정 분석을 많이 했던 케이스였습니다.
아랫니도 매우 치열이 삐뚠 상황이었지만 교합/얼굴모습/돌출의 양 등 여러 가지를 고려해서 윗니 2개만 발치하기로 했습니다.
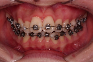
이번 환자분이 선택하신 장치는 엠파워 메탈이라고 하는 자가결찰 메탈장치입니다.
매번 설명드리지만 메탈이냐 세라믹이냐가 구식이냐 신식이냐를 뜻하는 건 아닙니다.
자가결찰이냐 아니냐가 훨씬 중요하며 메탈, 세라믹은 기능은 같으나 보이는 것의 차이가 크다는 정도의 의미로 보시면 되겠습니다.
이번 환자분의 장치는 "자가결찰" 메탈 장치인거죠.
장치 부착 직후의 얼굴모습 확인해 주시고요.
입이 좀 더 나오는 것을 볼 수 있는데 이 부분은 사람마다 차이가 나기 때문에 교정장치로 얼마나 입이 나올지는 직접 부착해 봐야 아는 부분이 큽니다.
윗니 발치 하고요.
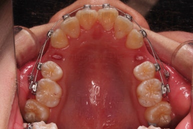
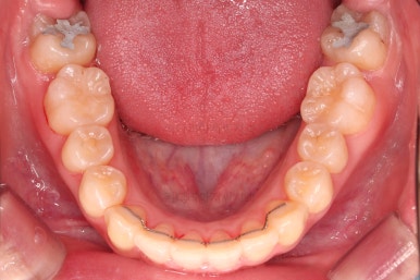
치열은 전반적으로 빠른 속도로 가지런하네요.
밑에 치열도 생각보다 많이 삐뚤었지만 비발치로도 잘 개선이 되었고요.
윗니는 발치공간을 이용해서 아랫니와 만날 때까지 뒤로 당겨줍니다.
당기는 양에 따라 미니스크류를 이용했고요.
얼굴 모습도 확인해 주고요.
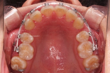
어느새 발치공간도 거의 줄었네요.
이제 디테일을 맞춰줍니다.
특히 윗니만 뽑았을 경우, 치아의 비율상 이 뽑은 자리가 공간이 남는 경우가 많아 보완하기 위해서 디테일한 테크닉을 사용하며 마무리를 해 갑니다.
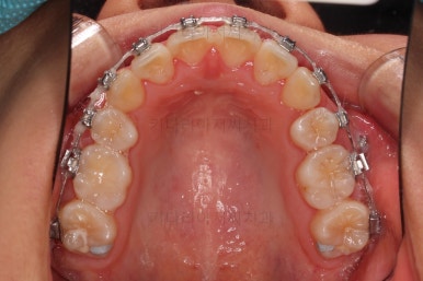
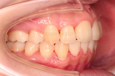
윗니만 뽑았지만 위아래가 지그재그로 껴 들어가는 교합이 매우 안정적이고요.
아랫니는 비발치였지만 많이 뻗치거나 틀어짐 없이 잘 마무리 되었습니다.
뻐드렁니였던 토끼이빨도 잘 개선이 되었고, 위아래 앞니 맞물림도 매우 좋아졌습니다.
부산교정 전후 비교해 볼게요.
입가가 매우 예뻐졌고요.
입을 다물었을 때도 편안하게 다물어지고, 웃는 모습이 환하게 좋아졌네요.
전반적으로 매우 만족스러운 부산교정 치료였습니다.
이상 미니스크류와 최소한의 발치로 뻐드렁니, 돌출, 토끼이빨 및 부정교합을 개선한 청소년 치료사례였습니다.
부산 연산동 교정치과 키다리아저씨치과에 오시는 길은 연제구 연산동 연산역 17번출구 바로 앞 건물 6층입니다.
치과교정과 전문의(부산대 외래교수)가 상주하며 교정치료 합니다.
<위 사진은 환자분의 동의를 구한 후 공개하는 사진자료입니다. 사진은 과장이나 조작이 없는 원본사진입니다. 교정치료로 인한 부작용으로는 치근흡수, 충치, 치아변색, 실활 등이 있을 수 있으며, 치료 전후 사진은 의료법 제 23조, 제 56조에 의거하여 게재합니다. 개인의 상태에 따라 치료결과는 달라질 수 있으므로, 교정전문의와 상의를 요합니다.>



































































































































댓글