부산교정 키다리아저씨치과의 비발치 덧니교정 치료사례
- 키다리아저씨치과

- 2025년 10월 23일
- 2분 분량
키다리아저씨치과는 치과교정과 전문의(부산대 외래교수)와 통합치의학과 전문의 원장님이 상주하며 협진하는 치과입니다. 부분교정에서부터 난이도 높은 교정진료는 교정과 원장님이 진료를 하며, 임플란트, 사랑니발치, 충치치료, 틀니 등 일반진료는 통합치의학과 전문의 원장님이 진료합니다.
교정과 일반진료의 협진으로 자기치아를 최대한 아끼고 오래 쓰는 방법을 고심하며 수준 높은 진료를 제공합니다.
안녕하세요.
오늘 부산교정 키다리아저씨치과에 소개해 드릴 환자분은 앞니가 삐뚤고 덧니가 있어서 교정치료를 하고 싶어하셨던 분입니다.
나이 : 27세
총 치료기간 : 1년
사용한 장치 : 자가결찰 금속(엠파워 메탈, Empower metal)
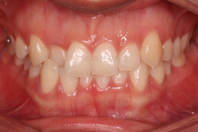
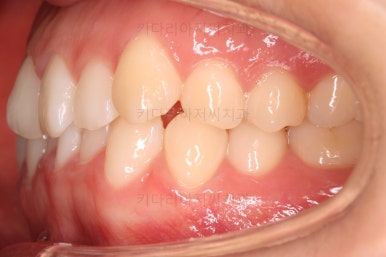
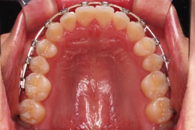
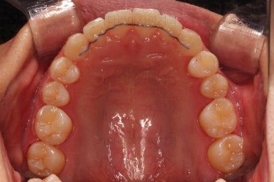
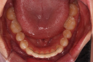
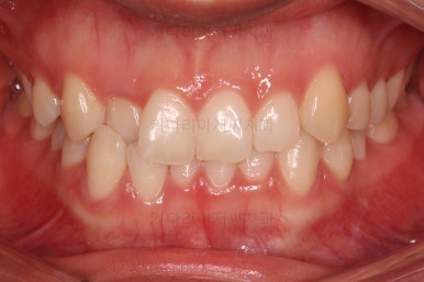
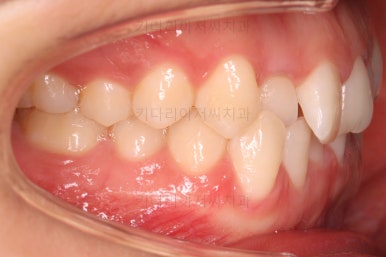
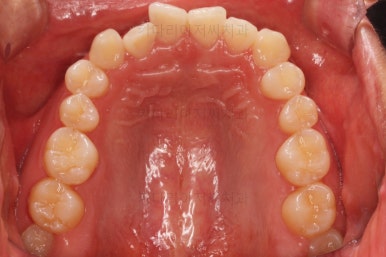
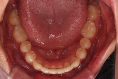
초진 시 입안의 모습이에요.
입을 다물고 있을 때는 자연스러운 다물림이나 옆라인 등 모두 양호해요.
입을 벌리거나 말할 때는 앞니가 삐뚤고 덧니가 있어 미적으로 좋지 못하네요.
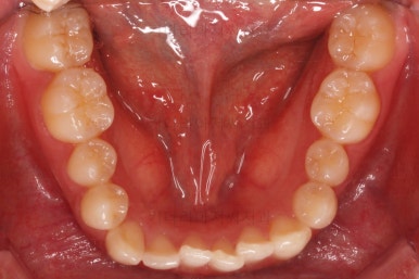
위아랫니가 모두 삐뚤어요.
특히 앞니가 삐뚤고 위아래 앞니가 고르게 덮여있는게 아니라 뒤죽박죽 엉켜있어서 치아의 마모도 굉장히 많이 되어있는 상태였어요.
보통 부산교정 치료를 하면 가지런하게 되서 보기 좋으라고 하는 줄 아시나 보이는 부분 말고 이러한 점들 때문에 추천되기도 해요.
치아의 마모(부정교합일 때 더 많이 생깁니다.)
잇몸 퇴축(부정교합일 때 더 많이 생깁니다.)
관리의 힘듦(양치질이 잘 안되겠죠.)
즉, 가지런한 상태가 보기도 좋지만 여러모로 치아의 수명에도 더 좋아요.
이번 환자분은 치아가 삐뚤어 있는 양 + 돌출감을 고려했을 때 비발치로 가능할 것이라고 판단이 되었어요.
굳이 입이 들어가길 원하시거나 혹은 교정 중에 튀어나온다고 느끼신다면 사랑니 자리를 확보해 통째로 뒤로 살짝 밀언허는 방법도 있기 때문에 비발치 교정을 추천드렸어요.
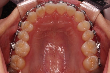
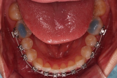
이번에 사용한 장치는 엠파워 메탈이라고 하는 자가결찰 금속 장치에요.
메탈이라고 모두 옛날방식의 장치가 아니랍니다.
"자가결찰"이냐 아니냐가 예전 장치와 요증 장치를 구분 짓는 기준이에요.
자가결찰이 아닌 세라믹이 자가결찰인 메탈보다 구세대 장치라는 거죠.
자가결찰이 여러모로 장점이 많고요.
다만, 재료에 따라 메탈도 있고 세라믹도 있어서 시각적인 차이가 있는거죠.
웃을 때 장치 부착 직후의 옆모습을 보시면 장치 부착에 따른 얼굴 변화 모습을 대략 아실 수 있을거에요.
점점 가지런해지고 있네요.
이 쯤되어서 환자분과 대화를 나눈비다.
"입이 나왔다고 느끼시나요?", "입을 넣기를 원하시나요?" 등 입매에 대한 말씀 + 기타 등등 치열에 대한 디테일적인 부분들에 대해서 대화를 나누고 만족할 만한 목표를 다시 설정하고 마루리를 들어갑니다.
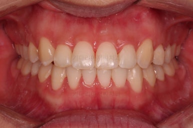
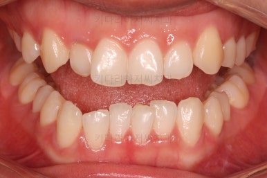
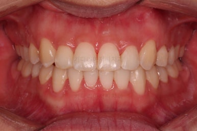
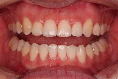
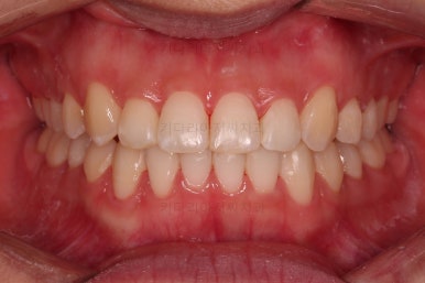
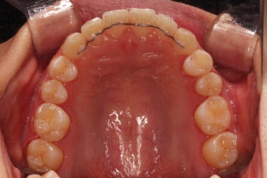
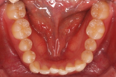
치료가 1년만에 종료가 되었네요.
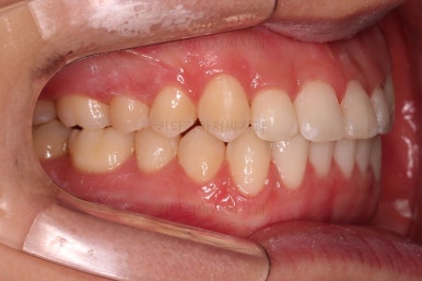
치아가 가지런해졌고, 교합이 잘 맞는 모습이에요.
부산교정 전후사진을 비교해 볼게요.
치열의 모습이 좋아졌고, 웃을 때 보이는 치열이 가지런해서 미소도 훨씬 예뻐졌네요.
옆라인이라던지 입을 다물었을 때의 느낌은 원래도 좋으셨기 때문에 거의 그대로 유지가 되었고요.
1년정도 만의 만족스러운 치료였습니다.
이상 비발치로 덧니와 삐뚤한 앞니를 교정치료한 치료사례였습니다.
키다리아저씨치과에 오시는 길은 연제구 연산동 연산역 17번출구 바로 앞 건물 5, 6층입니다.
치과교정과 전문의(부산대 외래교수)와 통합치의학과 전문의(서울대학교 졸업) 2명이 상주하며 교정치료와 일반치과치료를 협진하여 진료합니다.
<위 사진은 환자분의 동의를 구한 후 공개하는 사진자료입니다. 사진은 과장이나 조작이 없는 원본사진입니다. 교정치료로 인한 부작용으로는 치근흡수, 충치, 치아변색, 실활 등이 있을 수 있으며, 치료 전후 사진은 의료법 제 23조, 제 56조에 의거하여 게재합니다. 개인의 상태에 따라 치료결과는 달라질 수 있으므로, 교정전문의와 상의를 요합니다.>















































































































댓글