부산교정 키다리아저씨치과의 덧니, 돌출입 교정 치료사례
- 키다리아저씨치과

- 2025년 11월 4일
- 3분 분량
키다리아저씨치과는 치과교정과 전문의(부산대 외래교수)와 통합치의학과 전문의 원장님이 상주하며 협진하는 치과입니다. 부분교정에서부터 난이도 높은 교정진료는 교정과 원장님이 진료를 하며, 임플란트, 사랑니발치, 충치치료, 틀니 등 일반진료는 통합치의학과 전문의 원장님이 진료합니다.
교정과 일반진료의 협진으로 자기치아를 최대한 아끼고 오래 쓰는 방법을 고심하며 수준 높은 진료를 제공합니다.
안녕하세요.
오늘 부산교정 키다리아저씨치과에서 소개해 드릴 환자분은 덧니와 튀어나온 입으로 교정치료를 하고 싶어하셨던 환자분입니다.
나이 : 15세
총 치료기간 : 1년 11개월(총 23개월)
사용한 장치 : 자가결찰 세라믹 + 미니스크류
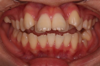
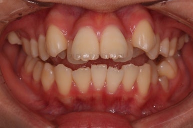
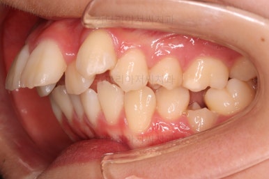
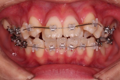
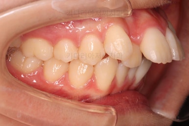
부산교정 키다리아저씨치과에 첫 내원 시 입안의 모습이에요.
치열이 많이 삐뚠데, 특히 앞니가 많이 삐뚤어요.
앞니 2개가 토끼이빨처럼 톡 튀어나와 있고, 옆에 있는 앞니는 들어가서 상대적으로 송곳니가 덧니처럼 튀어나와 보이네요.
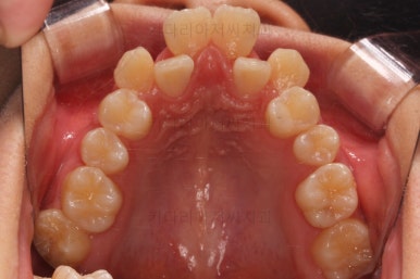
아랫니는 양호해 보이는 듯 하지만 중간에 특정 치아의 자리가 부족해 제대로 올라오지 못하는 걸 볼 수 있어요.
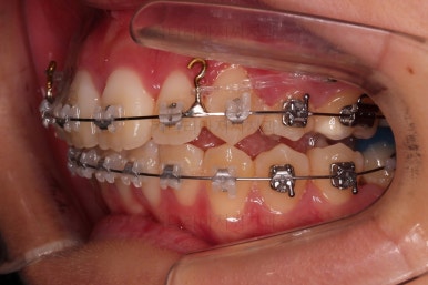
옆에서 봤을 때, 윗니가 아랫니에 비해 상당히 많이 앞으로 나와있는 걸 볼 수 있습니다.
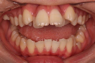
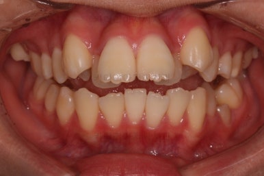
마찬가지로 초진 시 얼굴 모습입니다.
앞니가 튀어나와 있어서 입을 다물었을 때 입이 굉장히 돌출감이 느껴지네요.
웃거나 말할 때 앞니가 강조되어 보이고 삐뚤어서 미적으로 좋지 못해요.
자연스럽게 입술이 다물어 지지가 않아 입술이 어색한 모습이고, 웃는 모습도 자연스럽게 웃어지지 않네요.
발치교정인데 2개 발치? 4개 발치?
이번 환자분은 고민의 여지 없이 발치교정인데요. 윗니만 2개 발치하기로 했어요.
일반적으로는 상하좌우 짝을 맞춰서 4개를 뽑는게 발치교정입니다.
부정교합이 심하면 심할수록, 혹은 윗니와 아랫니의 차이가 크면 클수록 2개를 뽑을 확률이 높아져요.
심하면 심할수록 치아는 적게 뽑는다는게 아이러니죠 ㅎㅎ
장치를 부착했어요.
이번 환자분이 선택하신 장치는 자가결찰 세라믹 장치인데요.
워낙 공간이 부족했던터라 전체 치아에 장치가 다 들어가지 못했어요.
이럴 경우는 공간확보 작업을 먼저 해준 뒤, 장치를 순차적으로 부착하게 됩니다.
장치 부착 직후의 얼굴모습이에요.
나와있던 입이 훨씬 더 나왔고, 입매의 모습도 훨씬 더 부자연스러워졌어요.
발치 치아는 뽑았고요.
아래 앞니는 벌써 많이 가지런해졌네요. 공간이 필요한 부위는 확보작업을 해 나갑니다.
윗니는 상당히 많이 뒤로 당겨줘야 하기 때문에 미니스크류를 이용했어요.
미니스크류가 있기 때문에 이런 고난이도 치료가 최소한의 발치로 가능한거에요.
교정 시작 7개월째 모습이에요.
벌써 이 뽑은 자리는 다물어졌고, 위아랫니도 상당히 가지런해졌네요.
다만, 아래쪽 작은 어금니 하나의 자리 확보작업이 시간이 오래 걸려요.
어쨌든 아랫니는 발치 없이 개선을 해야만 하는 상황이었거든요.
얼굴모습을 확인해 주고 부산교정 중간과정 점검을 해줍니다.
충분한 대화를 통해 치료 방향을 다시 한 번 짚고 넘어가며 추후의 계획을 필요하다면 수정보완하게 됩니다.
벌써 입매도 상당히 좋아졌고, 웃을 때의 치열의 느낌도 좋아졌네요.
이 때가 치료시작 8개월째니, 상당히 빠른 기간 내에 큰 틀의 문제점은 개선되었어요.
추후에는 교합, 중앙선 등 디테일을 맞추는데 포커스를 맞춰요.
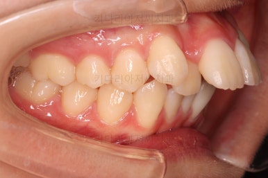
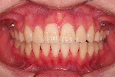
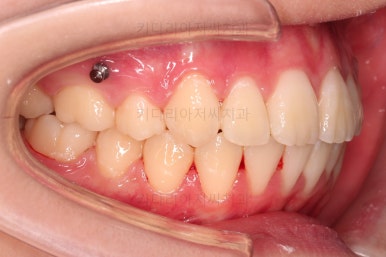
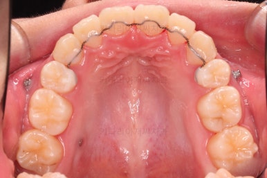
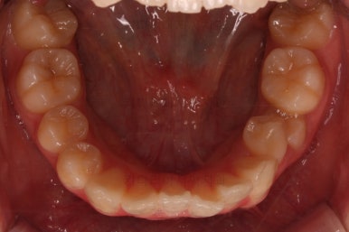
드디어 아랫니도 모두 가지런해졌네요.
교합을 더 맞추고, 중앙선도 더 맞춰주고 마무리를 하기로 했어요.
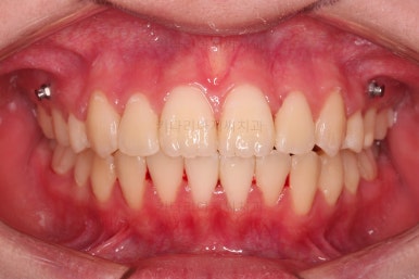
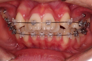
치열 가지런해졌고, 튀어나왔던 앞니도 들어갔고요.
교합도 잘 맞고, 중앙선도 굉장히 좋아졌네요.
간혹 윗니만 2개 뽑으면 갯수 문제로 교합에 문제가 생기지 않냐는 질문을 하시는데요.
위아래는 서로 톱니바퀴처럼 엇갈려 있기 때문에 윗니의 갯수가 1개씩 모자란 건 교합에 문제가 되지 않습니다.
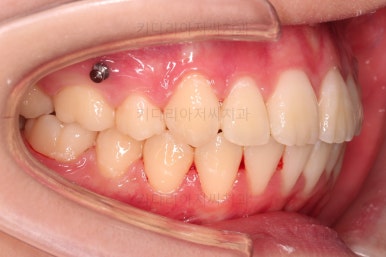
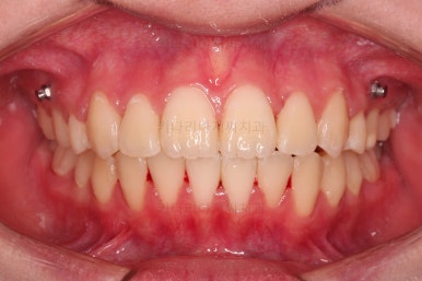
부산교정 전후 비교를 해볼게요.
치열, 교합 뿐만 아니라 얼굴모습도 참 많이 좋아졌네요.
아랫니도 발치하지 않은 판단은 적절했어요.
만약 아랫니도 발치를 했다면 훨신 입이 더 들어가면서 합죽하게 보였을거에요.
지금 정도의 모습이 작은 아래턱에 맞춰 자연스러운 옆라인이에요.
웃는 모습은 여전히 어색한데, 이 때까지 자연스럽게 웃어본 적이 없었기 때문입니다.
연습을 병행하면 훨씬 좋아질 수 있어요.
편안하게 입술을 다물었을 때의 느낌도 많이 예뻐졌네요.
이상 윗니만 2개 발치를 하고 미니스크류를 이용해서 덧니, 토끼치아, 돌출입을 개선한 부산교정 치료사례였습니다.
키다리아저씨치과에 오시는 길은 연제구 연산동 연산역 17번출구 바로 앞 건물 5, 6층입니다.
치과교정과 전문의(부산대 외래교수)와 통합치의학과 전문의(서울대학교 졸업) 2명이 상주하며 교정치료와 일반치과치료를 협진하여 진료합니다.
<위 사진은 환자분의 동의를 구한 후 공개하는 사진자료입니다. 사진은 과장이나 조작이 없는 원본사진입니다. 교정치료로 인한 부작용으로는 치근흡수, 충치, 치아변색, 실활 등이 있을 수 있으며, 치료 전후 사진은 의료법 제 23조, 제 56조에 의거하여 게재합니다. 개인의 상태에 따라 치료결과는 달라질 수 있으므로, 교정전문의와 상의를 요합니다.>



































































































































댓글