부산교정 키다리아저씨치과의 덧니교정 치료사례
- 키다리아저씨치과

- 2025년 9월 24일
- 2분 분량
키다리아저씨치과는 치과교정과 전문의(부산대 외래교수)와 통합치의학과 전문의 원장님이 상주하며 협진하는 치과입니다. 부분교정에서부터 난이도 높은 교정진료는 교정과 원장님이 진료를 하며, 임플란트, 사랑니발치, 충치치료, 틀니 등 일반진료는 통합치의학과 전문의 원장님이 진료합니다.
교정과 일반진료의 협진으로 자기치아를 최대한 아끼고 오래 쓰는 방법을 고심하며 수준 높은 진료를 제공합니다.
안녕하세요.
오늘 소개해 드릴 환자분은 덧니로 교정치료를 하고 싶어하셨던 분입니다.
나이 : 27세
총 치료기간 : 1년 11개월(총 23개월)
사용한 장치 : 자가결찰 메탈(엠파워 메탈, Empower metal) + 미니스크류
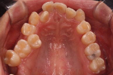
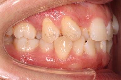
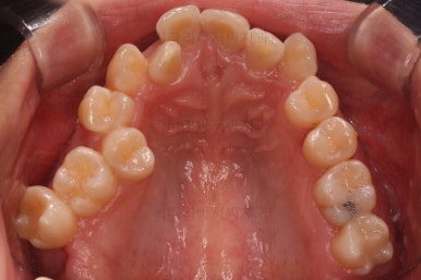
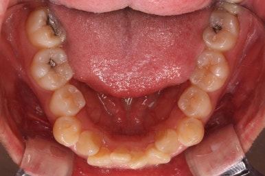
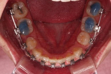
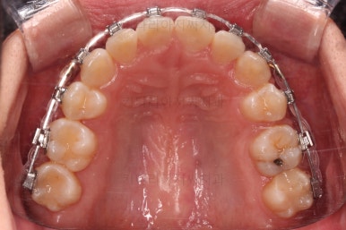
부산교정 키다리아저씨치과의 초진 시 입안의 모습입니다.
보시다시피 앞니쪽도 삐뚤해서 덧니처럼 보이고요.
어금니쪽도 특히 윗니 어금니가 위치가 상당히 불량하여 교합이 거의 되지 않고 있었어요.
치아가 삐뚤고, 교합이 불량하면 왜 문제일까요?
구강위생에 불리하다.
보깅 좋지 못하다.
씹는 기능이나 효율이 떨어진다.
치아가 많이 닳는다.
잇몸이 많이 내려간다.
이번 환자분의 경우에도 20대 환자분이셨지만 비슷한 나이대에 비해서 잇몸 건강이 좋지 못하고, 퇴축이 많이 되있는 상태였는데요.
딱히 양치가 잘 안되서라기 보다는 교합이 불량해서라고 생각되는 경우였습니다.
마찬가지로 초진 시 얼굴 모습이에요.
입을 다물었을 때 약간의 돌출감이 있긴 했지만 그리 심하진 않아서 많은 변화를 줘야 할 정도는 아니였어요.
대신 웃거나 말할 때 치열이 삐뚤어서 밎거으로 좋지 못하고 환하게 웃지 못하시는 상황이었습니다.
발치교정
물론 대다수의 환자분이 발치도 가능하고 비발치로도 가능하다면 당연히 비발치를 선택하시죠.
하지만 이번 환자분의 경우처럼 치아가 삐뚤어진 정도 + 입매를 함께 고려했을 때 발치 아니면 힘든 경우도 상당히 많답니다.
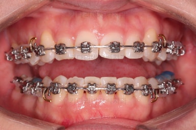
이번 환자분이 선택하신 장치는 엠파워 메탈이라고 하는 자가결찰 메탈 장치에요.
철사를 묶어주는 뚜껑(결찰)이 장치 자체에 달려있는(자가) 브라켓을 말하며, 재질이 금속이여서 메탈장치입니다.
세라믹에 비해 튼튼하고 부피도 작고 위생관리에도 이점이 있으나 눈에 더 잘 띈다는 단점이 있긴 해요.
장치 부착 직후의 모습을 보시고 어떤 느낌인지 판단해 보시면 되겠어요.
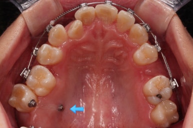
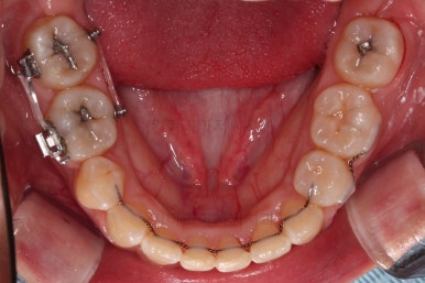
적절한 시기에 발치를 해주고요.
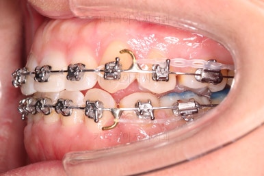
화샆료에 보시다시피 많이 튀어나가 있던 어금니를 미니스크류를 이용해 원위치 시켜주고 있습니다.
가지런한 느낌이 매우 좋아진 상황이고요.
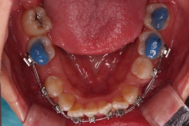
이제 발치한 공간을 적절하게 모아주면서 입매도 살짝 정리해 줍니다.
중간중간 얼굴 모습도 체크해 주고요.
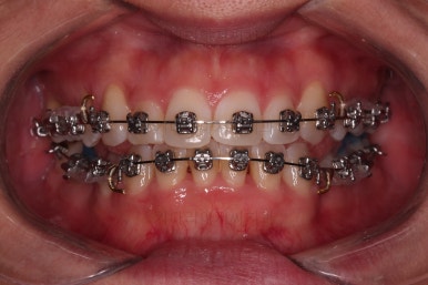
좀 더 디테일한 정리를 해주고 부산교정 마무리를 하기로 했습니다.
교합이 떠 보이고 중앙선이 맞지 않아보이는데, 환자분이 사진을 찍을 때 약간 아래턱을 틀어서 다무신 상태여서 그렇게 보이는 것이랍니다.😅
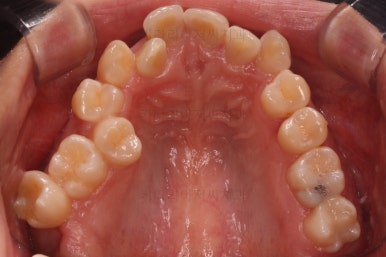
전반적인 치열과 교합이 잘 마무리 됐고요.
웃을 때 굉장히 치열이 예뻐보이고, 입매도 큰 변화 없이 잘 마무리 되었네요.
부산교정 전후사진을 보실게요.
왼쪽이 치료 전, 오른쪽이 치료 후 모습입니다.
치열이 굉장히 가지런해졌고 웃는 모습에서의 가지런한 느낌, 중앙선 등 모든 점에서 좋아졌네요.
옆라인은 원래 크게 나쁘지 않아 거의 유지 혹은 약간 입을 넣으면서 마무리를 할 수 있었어요.
이상 발치교정을 통한 덧니를 치료한 부산교정 치료사례였습니다.
키다리아저씨치과에 오시는 길은 연제구 연산동 연산역 17번출구 바로 앞 건물 5, 6층입니다.
치과교정과 전문의(부산대 외래교수)와 통합치의학과 전문의(서울대학교 졸업) 2명이 상주하며 교정치료와 일반치과치료를 협진하여 진료합니다.
<위 사진은 환자분의 동의를 구한 후 공개하는 사진자료입니다. 사진은 과장이나 조작이 없는 원본사진입니다. 교정치료로 인한 부작용으로는 치근흡수, 충치, 치아변색, 실활 등이 있을 수 있으며, 치료 전후 사진은 의료법 제 23조, 제 56조에 의거하여 게재합니다. 개인의 상태에 따라 치료결과는 달라질 수 있으므로, 교정전문의와 상의를 요합니다.>



































































































































댓글