부산교정 키다리아저씨치과의 결손치아 교정치료 사례(아래 앞니 하나가 없을 때, 임플란트 하지 않는 치료방법)
- 키다리아저씨치과

- 2025년 3월 6일
- 3분 분량
안녕하세요.
오늘 부산교정 키다리아저씨치과에서 소개해드릴 분은, 아래 앞니 하나가 선천적으로 없어서(결손치) 3개인 경우 치아교정으로 해당 부위를 개선한 치료 사례입니다.
나이 : 16세
총 교정기간 : 1년 7개월(총 19개월)
교정장치 : 자가결찰 세라믹(엠파워 클리어) + 미니스크류
부산교정 키다리아저씨치과에 처음 내원하셨을 때의 얼굴 모습입니다.
옆모습에서의 돌출감이나 무턱/주걱턱 경향은 없이 매우 양호한 상태였고, 옆모습에서는 아래턱이 약간 왼쪽으로 치우친 비대칭이 보였습니다.
전반적으로는 크게 흠 잡을만한 부분이 없는 얼굴 모습이였습니다.
다만, 웃거나 말할 때 드러나는 치열을 보면 코~인중까지 이어지는 얼굴의 중앙선에 대해서 윗니의 중앙이 우측으로 쏠려 있는 것을 볼 수 있었습니다.
교정치료를 하게 되면 분명 이 부분을 보완해야 했습니다.
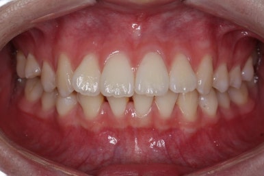
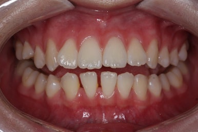
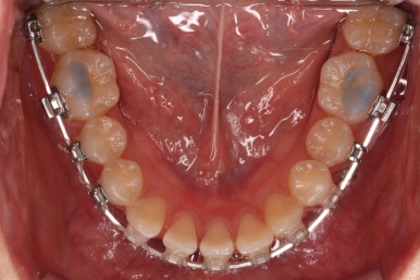
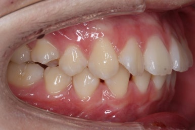
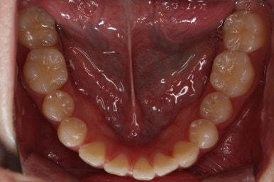
부산교정 키다리아저씨치과에 처음 내원하셨을 때의 입안 모습입니다.
윗니가 삐뚤어져 있고, 아래앞니 사이에는 틈이 듬성듬성 보입니다.
아랫니를 살펴보면 화살표 표시를 해둔 송곳니~송곳니 사이에 치아가 1개 모자랍니다. 원래는 4개의 앞니가 있어야 하는데, 3개 밖에 없었습니다. 이런 결손치아의 경우는 다음과 같은 문제가 생깁니다.
결손치아 부위에 틈이 생깁니다.
결손치아 주위 치아들이 제대로 서있지 못하고 기울어지게 됩니다.
위-아래 짝이 맞지 않아 중앙선이라든지 교합에 문제가 생깁니다.
이번의 경우 앞니가 하나 없는 경우여서 위-아래 앞니가 앞뒤로 간격이 멀어지게 됩니다.
결손치아가 있을 경우 두 가지 치료방법이 있겠습니다.
임플란트 vs 치아교정
치아가 하나 없기 때문에 당연히 처음 생각해 볼 수 있는 치료방법은 임플란트입니다. 당연히 치아 갯수도 맞아지게 되고 여러모로 유리할 수 있지만, 이번 환자분의 경우 임플란트를 하지 않고 교정치료로 하기로 했습니다.
아랫니 사이의 틈은 치아들을 움직여서 모두 없앤다.(아래쪽 어금니를 앞으로 당겨온다.)
윗니 중앙이 오른쪽으로 치우져 있어서 왼쪽 작은 어금니 하나를 추가로 발치하여 위-아래 갯수도 맞추고 중앙선도 맞춘다.
이 경우, 송곳니를 아래 앞니처럼 사용해야 되기때문에 크기가 약간 어색해져 최종적으로 중앙선 맞추는데 약간의 문제가 생길 수 있지만, 추가적으로 임플란트를 안해도 된다는 압도적인 장점이 있기 때문에 교정치료로만 하기로 했습니다.
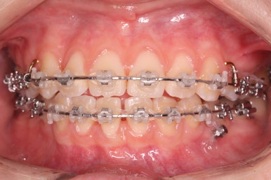
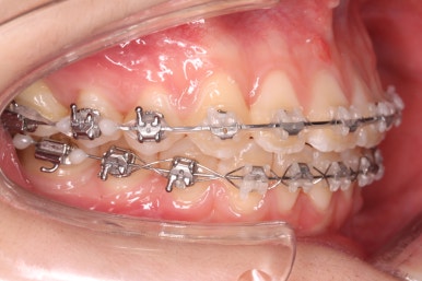
부산교정 키다리아저씨치과에서 장치를 부착하고 교정치료를 시작하였습니다.
이번에 부착한 장치는 엠파워클리어라고 하는 자가결찰 세라믹 장치입니다. 흔히들 클리피씨 장치로 많이 알고 계신 장치가 바로 자가결찰 세라믹 장치인데요.
자가결찰 세라믹 장치 중 또 다른 하나가 엠파워 클리어입니다. 클리피씨는 일본제품, 엠파워 클리어는 미국제품으로 제조회사가 다를 뿐 큰 분류에서는 비슷한 장치라고 보시면 되겠습니다.
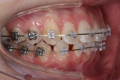
장치 부착한 직 후의 얼굴 모습니다.
세라믹 장치이기 때문에 웃거나 말할 때 미적으로 뛰어납니다.
측면에서 보면 아무래도 장치 부피가 있기 때문에 약간의 돌출감이 생길 수 있습니다.
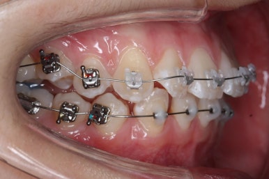
장치 부착 전과 직후의 측면 모습을 비교해 보겠습니다.
(왼쪽) 장치 부착 전 (오른쪽) 장치 부착 후
약간의 돌출감을 주긴 하지만, 수용할만한 범위 내라고 보시면 되겠습니다.
가지런하게 하는 작업을 계속 합니다.
또한 왼쪽 위 작은 어금니 하나를 추가로 발치했습니다. 치아 갯수를 맞출 목적 + 우측으로 쏠린 앞니의 중앙을 개선하기 위함 입니다.
이제 어느 정도 치열이 가지런해졌습니다. 앞으로 해야 될 단계는 앞니 틈을 줄이고, 이 뽑은 자리 틈을 줄이면서 중앙선을 개선하고 아래쪽 어금니를 앞으로 당겨오면서 교합을 맞추며 앞니 갯수를 맞춰줍니다.
부산교정 키다리아저씨치과에서는 이번에 마이크로 임플란트라는 장치를 추가로 사용하였습니다.
잇몸뼈에 교정 치료기간동안 잠깐 사용하는 매우 작은 스크류인데요. 단단히 고정시켜 놓고, 어금니를 당겨오는데 사용합니다.
틈을 줄여주고, 어금니를 당겨오고 중앙선을 맞춰줍니다.
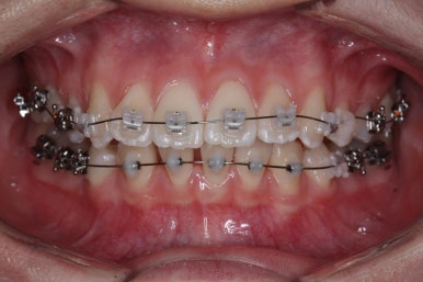
부산교정 키다리아저씨치과에서는 치료 중에 중간평가를 시행합니다.
치료단계가 제대로 오는지 혹은 환자분과의 대화를 통해서 치료방향을 다시 잡을지, 더 요구사항은 없으신지 등을 파악하게 됩니다.
점점 단계가 진행될수록 얼굴의 중앙~윗니의 중앙~아랫니의 중앙이 점점 맞아가고 있음을 알 수 있습니다.
위아래 중앙도 어느 정도 맞아가고 있고, 발치를 한 자리와 결손치아 부위의 틈도 거의 없어져 가고 있습니다.
부산교정 키다리아저씨치과에서는 이번 환자분은 아래 앞니를 3개로 마무리하는 것이 아니라 송곳니를 끌어 당겨와서 앞니처럼 마치 앞니가 4개 있는 것처럼 마무리를 할 계획이어씨 때문에 정면에서 바라보았을 때 앞니 하나가 없는 느낌이 없이 어느 정도 중앙을 맞출 계회이였고, 원할히 진행되고 있음을 알 수 있습니다.
큰 그림은 거의 다 완성되었고, 디테일한 마무리 과정을 거친 후 치료를 종료하게 됩니다.
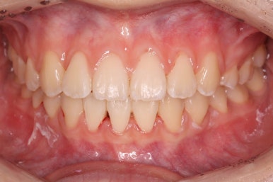
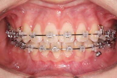
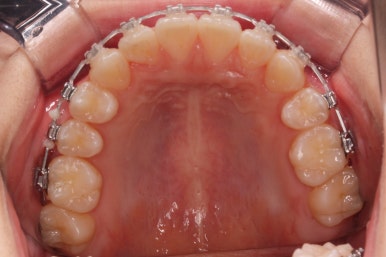
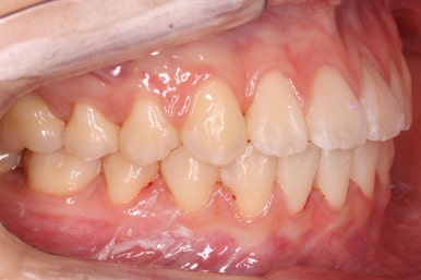
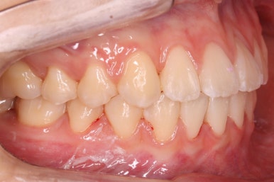
부산교정 키다리아저씨치과에서 결손치아 부분을 임플란트 하지 않고 치아교정을 통해서 개선한 이번 환자분의 치료를 마무리한 사진입니다.
치열은 가지런해졌고, 틈새는 없이 마무리되었습니다. 아랫니가 3개이지만 마치 4개인 것처럼 마무리하였고, 따라서 위~아래 치열의 중앙도 거의 맞게 마무리하였습니다.
(한 쪽은 송곳니를 앞니 대신 사용해야 했어서 크기 문제로 완벽히는 중앙을 맞추기 힘듭니다.)
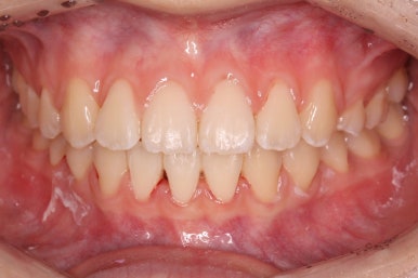
부산교정 키다리아저씨치과에서 결손치아 치료를 마친 후의 얼굴모습입니다.
웃을 때 드러나는 치열의 모습이 매우 좋아졌고, 중앙선도 잘 맞는 것을 볼 수 있습니다. 외모를 해치지 않고 치료가 잘 마무리 되었습니다.
전후사진 비교입니다.
좌측 사진들이 부산교정 키다리아저씨치과에서 치료를 하기 전 모습이고 우측 사진들이 결손치아 교정을 마친 후의 모습입니다.
마찬가지로 좌측이 치료 전, 우측이 치료 후의 모습입니다.
이상 부산교정 키다리아저씨치과에서 결손치아를 교정치료로 개선한 치료사례였습니다.
키다리아저씨치과에 오시는 길은 연산역 17번출구 바로 앞 건물 5, 6층입니다.
치과교정과 전문의(부산대 외래교수)와 치과보철과/통합치의학과 전문의(부산대 외래교수) 2명이 상주하며 교정치료와 일반치과치료를 협진하여 진료합니다.
<위 사진은 환자분의 동의를 구한 후 공개하는 사진자료입니다. 사진은 과장이나 조작이 없는 원본사진입니다. 교정치료로 인한 부작용으로는 치근흡수, 충치, 치아변색, 실활 등이 있을 수 있으며, 치료 전후 사진은 의료법 제 23조, 제 56조에 의거하여 게재합니다. 개인의 상태에 따라 치료결과는 달라질 수 있으므로, 교정전문의와 상의를 요합니다.>















































































































































댓글