부산교정 심미보철 키다리아저씨치과의 교정 + 앞니 보철 치료사례
- 키다리아저씨치과

- 2025년 12월 23일
- 3분 분량

"미니스크류를 이용한 투명교정장치에 관한 논문"으로 2023년도 Angle orthodontist(미국의 교정학회지) SCI 저널에 제 1저자로 게재되었습니다.
항상 공부하고 노력하는 키다리아저씨치과가 되겠습니다.
안녕하세요.
오늘 부산교정 키다리아저씨치과에서 소개해 드릴 환자분은 덧니, 치아상실(결손), 충치 등 많은 치과적 문제가 복합되어 있었던 분으로 충치치료 + 교정치료 후에 앞니 심미보철까지 진행했던 환자분입니다.
나이 : 24세
총 치료기간 : 2년 4개월(총 28개월, 보철 완료시까지)
사용한 장치 : 자가결찰 세라믹(엠파워 클리어, Empower clear) + 미니스크류
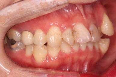
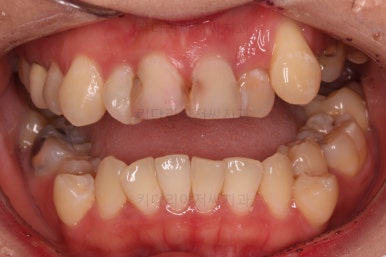
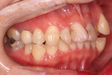
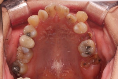
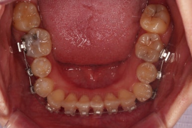
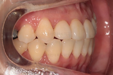
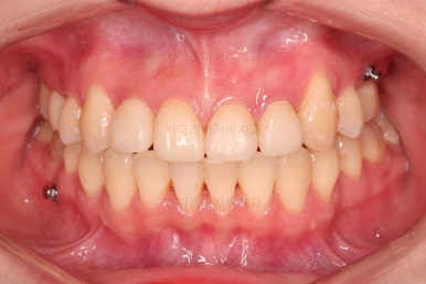
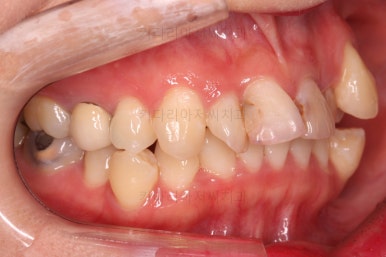
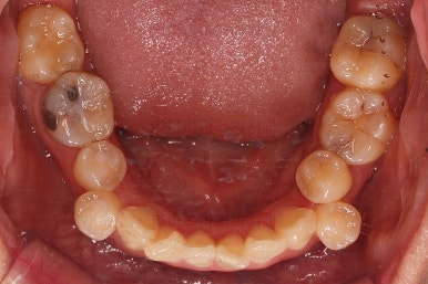
초진 시 입안의 모습입니다.
이미 썩어서 부러진 치아도 몇 개 보이고요.
많이 삐뚤어진 치아쪽은 양치가 힘들어 이미 많이 썩어 있는 상태에 덧니쪽은 잇몸도 많이 내려간 상태였습니다.
말그대로 교정치료 뿐만 아니라 전반적인 치료가 필요한 상황이었습니다.
초진 시 얼굴 모습인데요.
입을 다물었을 때의 옆라인, 편안한 느낌 등 입매에 대한 부분은 양호했고요.
다만, 삐뚤고 썩은 앞니 때문에 웃는 모습이 부자연스러우셨고요.
드러나는 치아/치열의 모습이 심미적이지 못하죠.
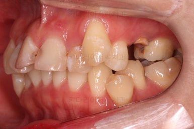
치아가 없으면 꼭 임플란트를 해야 하나요?
이번 환자분은 2개의 치아가 부러져서 상실한 상태였으나 결론부터 말씀 드리면 임플란트를 하지 않고 끝내었는데요.
전반적인 교정계획을 수립하여 오히려 추가적인 발치교정으로 치열을 가지런하게 하고, 입매를 정리한다면 치아가 몇 개 없다고 하더라도 꼭 임플란트를 해야 하는 건 아닙니다.
따라서 결손치아, 빠진치아, 임플란트를 앞둔 치아가 있다면 교정치료를 꼭 고민해 보시고 상담을 받아보세요.
만약에 임플란트를 한 뒤에 교정치료를 하기로 마음 먹는다면, 다른 엉뚱한 치아를 또 뽑아야 한다거나 움직이지 않는 임플란트로 인해 교정치료가 제약을 많이 받게 됩니다.
교정 치료 전에 충치치료를 꼭 다 해야 하나요?
절반은 맞고 절반은 틀립니다.
교정치료는 보통 1~2년은 기본으로 걸리기 때문에 그 사이에 충치가 더 커질 수 있기 때문에 일반적으로는 충치치료를 미리 하는 것이 맞습니다.
하지만 이번 환자분은 매우 삐뚠 앞니쪽에 충치가 있었기 때문에 급한대로 신경치료만 하고 임시로 떼워놓고 가지런하게 된 뒤에 최종적으로 심미보철을 진행하기로 했습니다.
현재 모습대로 보철을 한다면, 공간부족으로 치아 크기가 예쁘게 안나오고 삐둔 형태대로 모양이 만들어져서 자칫하면 가지런하게 된 뒤에 모양이 매우 못나 보일 수 있기 때문이죠.
충치치료르 한다고 몇 달을 기다리다 보면 교정 후에 해야 하는 충치는 더 늦어지기 때문에 우선 교정장치부터 부착하고 충치치료는 병행해 가면서 하기로 했습니다.
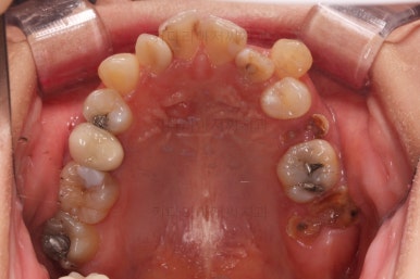
덧니를 개선하기 위해서 추가적으로 작은 어금니를 발치했고요.
이 때 발치하게 된 치아는 가장 약한 치아, 치료가 많이 되어있거나 치료가 필요한 치아 위주로 선택하게 됩니다.
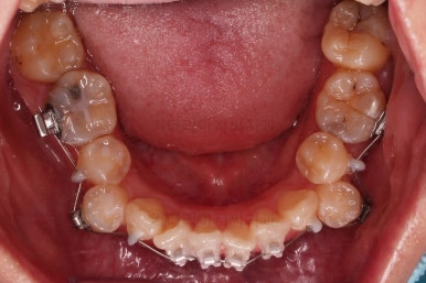
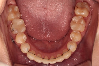
아랫니는 많이 삐뚤긴 했지만 옆라인, 턱의 크기 등 모든 걸 종합적으로 판단해 비발치로 진행하기로 했습니다.
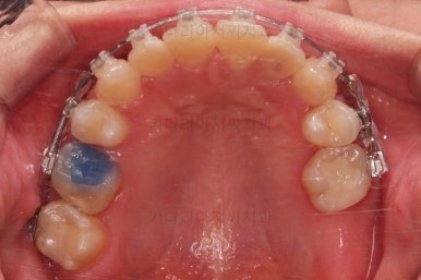
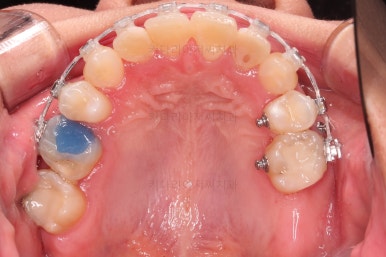
물론 윗니 이미 없었던 치아 부분은 공간을 모아서 임플란트를 하지 않도록 하는게 목표였고요.
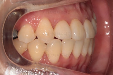
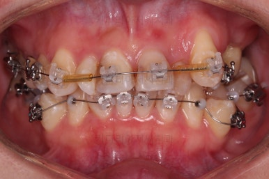
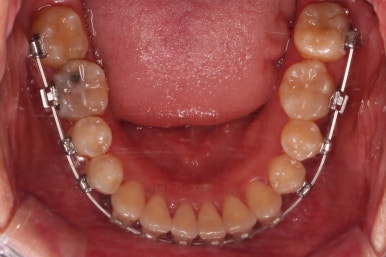
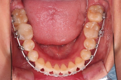
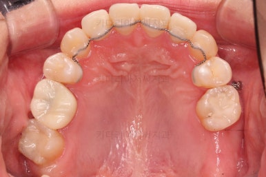
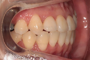
치열은 매우 가지런해졌고요.
추후에 발치 공간을 모아나가야 합니다.
윗니 앞니는 급한대로 신경치료 부터 진행했고, 최종 심미보철은 교정 후 미루었습니다.
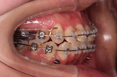
옆모습 중간중간 체크해 주고요.
이번 환자분은 옆라인이 애초에 매우 좋으셨기 때문에 입매를 바꾸지 않아야해서 오히려 더 세심한 치료가 필요한 환자분이셨습니다.
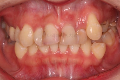
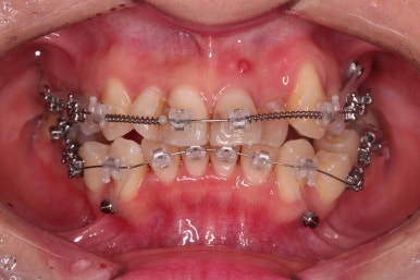
공간을 줄여나가고 순차적으로 충치치료도 마무리 해갑니다.
교합이라던가 부족한 부분을 좀 더 마무리하고요.
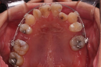
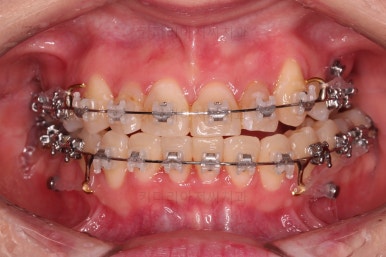
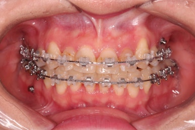
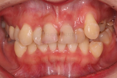
마무리 못한 어금니 치료와 앞니 심미보철을 마무리 합니다.
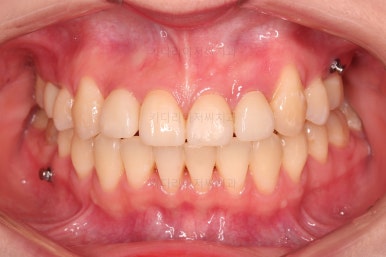
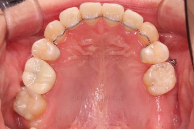
앞니 심미보철까지 마무리 되었습니다.
물론 윗니 맨 뒤쪽 치아 한 군데는 임플란트가 들어가는 것이 가장 좋은데요.
이 부분은 여러 가지 사정들을 생각해서 좀 더 고민해 보시기로 했습니다.
중간 치아가 비어있다면 인접한 치아들이 쓰러진다거나 문제가 생길 수 있는데 맨 뒤 치아가 비어있다면 그것보다는 문제가 심각하진 않습니다.
당연히 임플란트가 들어가는 것이 여러 모로 좋긴 합니다.
부산교정 전후 비교해 볼게요.
양호했던 입매는 거의 그대로 유지했고, 웃을 때 드러나는 치열과 치아의 모습은 너무나도 좋아졌죠.
교정치료에 충치, 심미보철까지 한다고 부산교정 기간이 오래 걸렸지만 긴 기간동안 참 고생 많이 하셨습니다.
아마 이번 기회를 토대로 치아 관리에 더 신경쓰시지 않을까 생각됩니다.
이상 충치, 결손치아, 덧니가 있었던 환자분의 부산교정 + 충치치료 + 심미보철 치료사례였습니다.
부산 연산동 교정치과 키다리아저씨치과에 오시는 길은 연제구 연산동 연산역 17번출구 바로 앞 건물 6층입니다.
치과교정과 전문의(부산대 외래교수)가 상주하며 교정치료 합니다.
<위 사진은 환자분의 동의를 구한 후 공개하는 사진자료입니다. 사진은 과장이나 조작이 없는 원본사진입니다. 교정치료로 인한 부작용으로는 치근흡수, 충치, 치아변색, 실활 등이 있을 수 있으며, 치료 전후 사진은 의료법 제 23조, 제 56조에 의거하여 게재합니다. 개인의 상태에 따라 치료결과는 달라질 수 있으므로, 교정전문의와 상의를 요합니다.>































































































































댓글