부산교정치료 키다리아저씨치과의 과개교합 및 미세돌출 교정 치료사례
- 키다리아저씨치과

- 2025년 10월 29일
- 3분 분량
키다리아저씨치과는 치과교정과 전문의(부산대 외래교수)와 통합치의학과 전문의 원장님이 상주하며 협진하는 치과입니다. 부분교정에서부터 난이도 높은 교정진료는 교정과 원장님이 진료를 하며, 임플란트, 사랑니발치, 충치치료, 틀니 등 일반진료는 통합치의학과 전문의 원장님이 진료합니다.
교정과 일반진료의 협진으로 자기치아를 최대한 아끼고 오래 쓰는 방법을 고심하며 수준 높은 진료를 제공합니다.
안녕하세요.
오늘 소개해 드릴 환자분은 과개교합과 부정교합, 약간의 돌출감으로 내원하셨던 분입니다.
나이 : 25세
총 치료기간 : 1년 10개월(총 22개월)
사용한 장치 : 자가결찰 세라믹 + 미니스크류
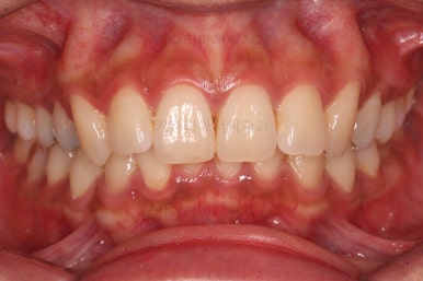
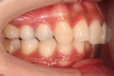
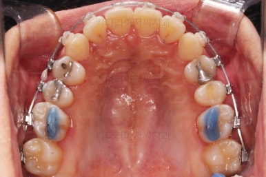
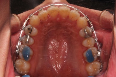
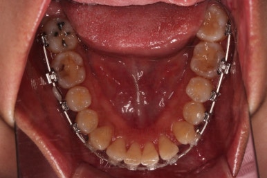
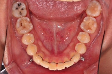
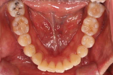
초진 시 입안의 모습입니다.
많이 심하진 않지만 앞니쪽이 삐뚤어 있는 상태였고요.
무엇보다 문제점은 부정교합과 과개교합 부분이었어요.
송곳니부터 뒤쪽의 어금니는 위아래가 서로 지그재그로 맞물려야 하는데 그렇지가 못한 상태였어요.
이번 환자분의 경우는 앵글씨 2급 부정교합으로 분류될 수 있는데요.
근본적으로는 아래턱이 약간 작고 위턱이 약간 앞으로 튀어나와 있어서 생긴 부정교합이에요.
이러한 앵글씨 2급 부정교합에서 함께 나탄라 수 있는 양상이 과개교합의 패턴인데요.
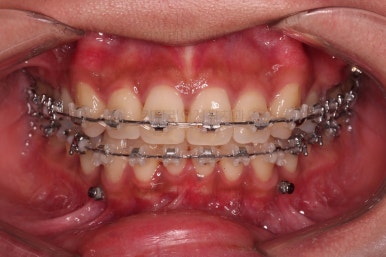
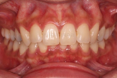
이번 환자분에서도 보이듯이 윗니가 아랫니를 많이 덮어서 아랫니가 거의 보이지 않는 양상의 부정교합입니다.
왜 좋지 못하느냐?
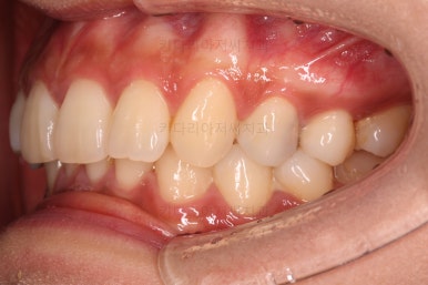
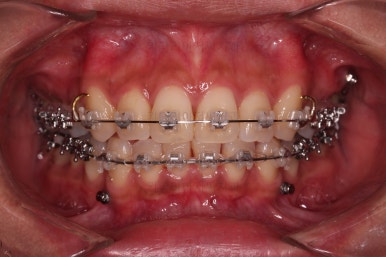
단편적으로는 입을 약간 벌린 우측 상단의 사진을 보시면, 아래 앞니가 굉장히 마모가 많이 되어있는 걸 알 수 있어요.
즉, 부정교합은 치아를 안좋은 방향으로 닳게하고 손상시키며 잇몸도 손상시키고, 저작의 효율도 감소시킵니다.
앵글씨 2급 부정교합 + 과개교합의 양상이 더 심한 경우 옥니까지 나타날 수 있습니다.
초진 시, 얼굴 모습이에요.
앵글씨 2급 부정교합의 영향으로 인중~윗입술 부위가 나와보이지만 심한 편은 아니었고 환자분도 크게 개선의사가 없으셨어요.
그리고 과개교합 환자분의 특징 중의 하나가 아랫입술~턱끝까지 이어지는 곡선이 푹 들어가 있다는 점인데요.
이런 느낌 때문에 입술은 더 튀어나와 보이게 됩니다.
비발치 교정
만약 이번 환자분도 입을 확실하게 넣고 Before-After 변화를 확실하게 주고자 하셨다면 발치교정을 택했을거에요.
하지만 이번 환자분의 개선 의지가 별로 없는 점, 발치교정시의 여러 가지 점들을 우려하셨던 점, 호흡기/턱관절 등 기타 등등의 이유로 부산교정치료 비발치를 하기로 택했어요.
이렇게 비발치 교정은 일방적으로 세우는 것이 아니라 환자분과 충분한 커뮤니케이션을 통해서 결정하게 된답니다.
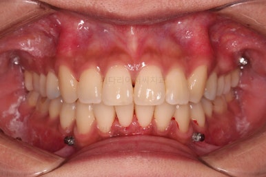
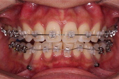
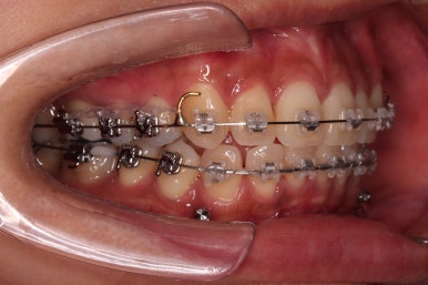
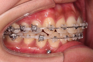
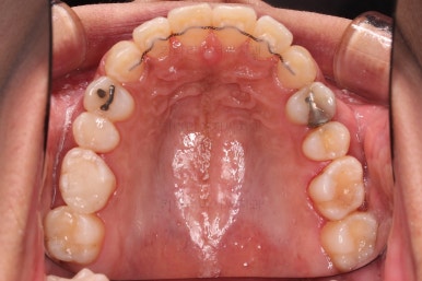
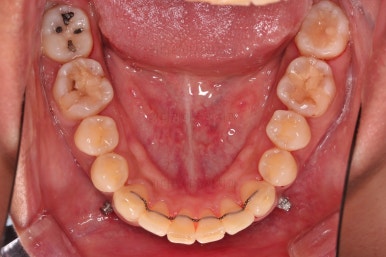
부산교정치료 장치를 부착하고요.
2급 부정교합 및 과개교합을 개선하기 위해서 미니스크류를 다양한 위치에 다양한 갯수로 식립을 해줍ㄴ디ㅏ.
이번에 부착한 장치는 자가결찰 세라믹이라고 하는 장치인데요.
대표적으로는 클리피씨가 있겠습니다.
장치 부착 직후의 얼굴모습인데요.
보이는 느낌이라던지 입술의 변화 등은 참고 부탁드립니다.
효율적인 메카니즘으로 과개교합을 급속도로 개선해 주고요.
2급 부정교합에서는 과개교합을 개선하고 나면 윗니-아랫니가 앞뒤로 붕 떠보이는 경우가 많아서 윗니를 뒤로 밀어주기로 합니다.
자연스럽게 윗니가 뒤로 들어가니 입매도 살짝 뒤로 들어가게 되고요.
교합관계가 맞아질 때까지 윗니는 계속 뒤로 밀어줍니다.
적절한 교합이 맞춰지면 중간평가를 하여 입매에 관해 다시 논의하게 되는데요.
입이 얼마나 들어가고 있는지, 더 넣고 싶으신지, 웃을 때의 치열의 느낌은 어떤지 등을 말씀 나눕니다.
이번 환자분은 애초에 입이 많이 들어가는데 관심이 크게 없으셨고(입매가 양호한 편이시기도 했고요.) 교합의 관점에서 교정치료를 시작하신 분이라 그런 쪽으로 요구사항들이 있으셨어요.
특히 중앙선 부분에서 굉장히 신경을 많이 썼던 환자분입니다.
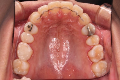
디테일한 치아의 위치, 중앙선 등을 꼮몸히 체크하고 개선합니다.
개선 이 후에는 충분한 안정성을 위해 몇 달간 지켜보는 단계를 거치고 치료를 종료하게 됩니다.
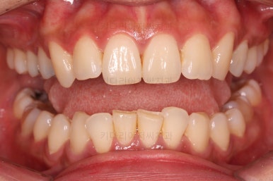
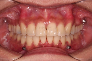
총 22개월만에 과개교합, 2급 부정교합, 정중선 등 많은 부분들을 만족스럽게 개선했습니다.
부산교정치료 전후 사진을 비교해 볼게요.
교합(과개교합, 2급 부정교합)은 매우 좋아졌고, 입도 약간 들어갔어요.
아랫입술 ~ 턱끝까찌 이어지는 푹 들어갔던 라인도 약간 좋아졌고요.
웃을 때 어두워보이던 아랫니 + 그 영향으로 강조되어 보이던 앞니의 느낌도 많이 개선되었어요.
전반적으로 환자분의 니즈를 충족시켰던 만족스러운 치료였습니다.
이상 미니스크류를 이용하여 과개교합, 앵글씨 2급 부정교합 및 미세돌출을 부산교정치료 했던 사례였습니다.
키다리아저씨치과에 오시는 길은 연제구 연산동 연산역 17번출구 바로 앞 건물 5, 6층입니다.
치과교정과 전문의(부산대 외래교수)와 통합치의학과 전문의(서울대학교 졸업) 2명이 상주하며 교정치료와 일반치과치료를 협진하여 진료합니다.
<위 사진은 환자분의 동의를 구한 후 공개하는 사진자료입니다. 사진은 과장이나 조작이 없는 원본사진입니다. 교정치료로 인한 부작용으로는 치근흡수, 충치, 치아변색, 실활 등이 있을 수 있으며, 치료 전후 사진은 의료법 제 23조, 제 56조에 의거하여 게재합니다. 개인의 상태에 따라 치료결과는 달라질 수 있으므로, 교정전문의와 상의를 요합니다.>































































































































댓글