부산교정치료 키다리아저씨치과에서 시행한 주걱턱 비수술 교정 치료사례(feat. 악궁확장장치 MARPE)
- 키다리아저씨치과

- 3월 16일
- 3분 분량
"미니스크류를 이용한 투명교정장치에 관한 논문"으로 2023년도 Angle orthodontist(미국의 교정학회지) SCI 저널에 제 1저자로 게재되었습니다.
"2023년 대한치과 교정학회에서 표창장을 수여하였습니다."
"2023년 세계 구순구개열 학회에서 포스터 발표를 하였습니다."
항상 공부하고 노력하는 키다리아저씨치과가 되겠습니다.
안녕하세요.
오늘 부산교정치료 키다리아저씨치과에서 소개해 드릴 환자분은 39세 성인의 나이로 주걱턱과 앞니 반대교합을 개선하고 싶어하셨던 분입니다.
나이 : 39세
총 치료기간 : 3년 2개월(총 38개월, 2020년 3월 ~ 2023년 5월)
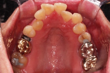
사용한 장치 : 악궁확장장치(MARPE) + 자가결찰 메탈/세라믹(엠파워) + 미니스크류
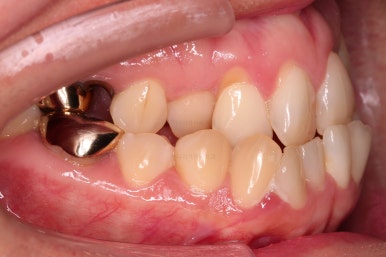
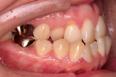
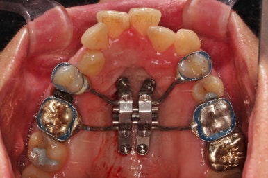
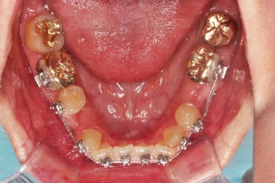
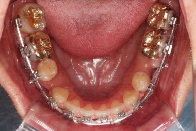
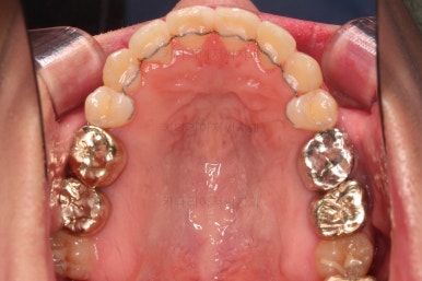
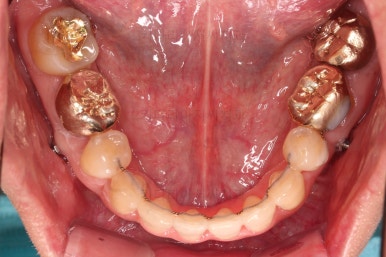
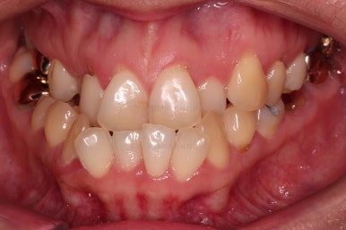
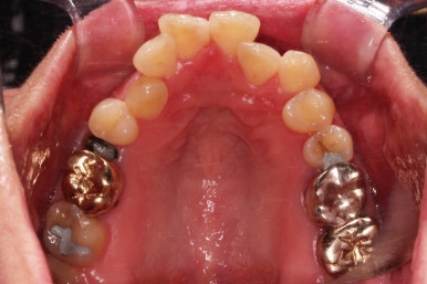
1. 초진
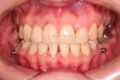
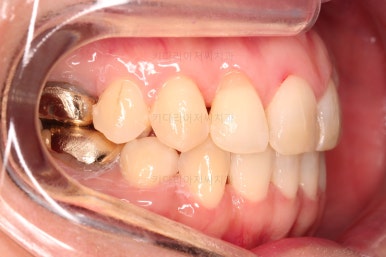
초진 때의 입안의 모습입니다.
치열이 삐뚤고, 충치가 많았었는지 어금니가 금니로 많이 씌워져 있네요.
윗니 중간은 치아가 썩어 부러져 뿌리만 남은 부분도 있고요.
교합의 측면에서 아랫니가 전반적으로 앞으로 밀려나와 있어서 앞니가 서로 거꾸로 물리는 "반대교합" 상황이었습니다.
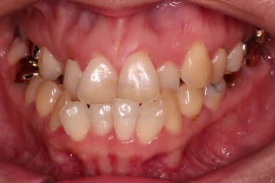
마찬가지로 초진 시 얼굴 모습인데요.
앞모습에서 아래턱과 입술이 오른쪽으로 돌아가 있는 안면비대칭이 보이고요.
웃거나 말할 때 보이는 치열이 삐뚤어 심미적으로 좋지 못하며, 아랫니가 앞으로 나와있어서 아래 앞니가 강조되어 보입니다.
옆라인에서는 약간의 돌출감 및 아랫 입술 부위의 볼록한 주걱턱 양상을 보이는데요.
특히 아랫입술 ~ 턱끝까지 이어지는 자연스러운 S라인이 없엇어 좀 더 주걱턱 느낌을 주고 있습니다.
2. 치료계획
✅ 비수술 교정
주걱턱을 수술로 하느냐, 비수술로 하느냐는 어떻게 결정될까요?
분명한 점은 수술을 하지 않는 이상 아래턱의 크기 자체는 변화가 없습니다.
그러면 턱의 크기는 그대로이면서 치열만 움직여서 교합을 맞추는게 가능한지, 즉 치아가 움직일 수 있는 가능성의 범위 안에 있는지가 가장 중요하고요.
그리고 환자분 스스로의 의지도 중요합니다.
교합은 교정만으로도 맞출 수 있다 하더라도 얼굴모습에 대한 개선의지가 크다면 수술로 가야되는거죠.
즉, 어떠한 방법으로도 도무지 부산교정치료로 못하는 경우는 무조건 수술, 아니면 교정으로도 교합은 맞출 수 있으나 얼굴모습의 드라마틱한 개선을 원하시는 분은 수술을 해야 합니다.
✅ 비수술로도 얼굴모습이 많이 개선되는 사람이 있던데요?
맞습니다.
오늘 소개해 드릴 환자분이 교정만으로도 얼굴모습이 바뀌는 분인데요.
다시 말씀 드리지만, 턱뼈의 크기는 변하지 않습니다.
그렇다면 왜 얼굴모습이 바뀌는 걸까요?
바로 코밑~턱끝까지 이어지는 자연스러운 윤곽을 개선해 주면 훨씬 미적으로 좋아지는데요.
어떤 분들은 "입을 넣으면 턱이 더 튀어 나와보이지 않나요?" 라고 물으시기도 하는데요.
맞으면서도 틀립니다.
입이 들어가며 상대저그로 턱끝이 나와 보이는 건 당연하지 않을까요?
그런데 그 모습이 외모에서 마이너스냐? 아니라는거죠.
즉, 코밑~턱끝까지의 윤곽을 잘 맞춰주면 훨씬 미적으로 좋아지기 때문에 적절한 분석만 선행된다면 크게 염려하실 필요가 없습니다.
3. 치료경과
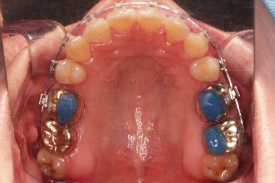
치료의 첫 단계는 MARPE라고 하는 미니스크류를 이용한 악궁확장장치를 시행했습니다.
위턱이 아래턱에 비해 좁아서 어금니쪽에서도 윗니가 아랫니보다 안으로 들어와 있었는데요.
악궁확장을 해서 이 부분도 정상으로 맞춰줘야 합니다.
저희 부산교정치료 키다리아저씨치과에서는 성인=MARPE는 아닙니다.
성인이라고 해도 일반 확장장치로도 가능한 경우가 있으며 이는 저희 치과만의 분석을 통해서 결정하게 됩니다.
이번 환자분은 미니스크류를 이용한 확장이 필요했던 케이스였습니다.
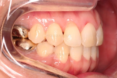
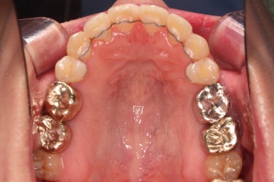
악궁확장이 적절히 끝난 뒤 치아배열을 시작합니다.
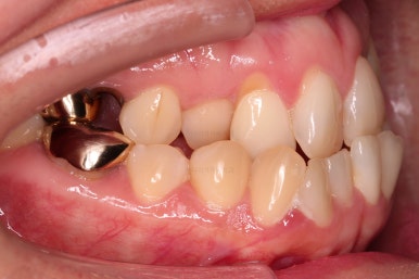
아직 윗니 중간의 뿌리가 뽑히지 않았는데요.
이렇게 부러진 채로 뿌리만 남은 경우, 양옆의 치아가 해당 공간으로 쓰러지면서 뿌리를 제대로 뽑기 힘들게 만듭니다.
교정치료를 병행하지 않는다면, 아마도 뼈를 갈아내고 뼈쪽에서 뽑았을건데요.
교정을 통해서 공간을 충분히 만든 후 쏙 뽑아낼 수 있도록 세팅했습니다.
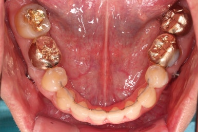
아래 앞니를 뒤로 많이 당기기 위해서 추가저긴 발치를 했고요.
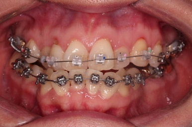
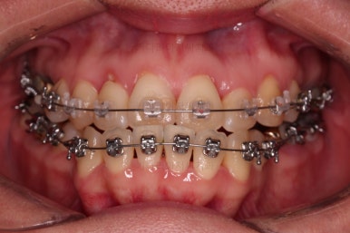
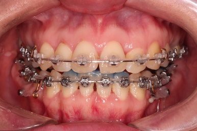
이번 부산교정치료 환자분이 선택한 장치는 엠파워라는 자가결찰 장치인데요.
윗니는 세라믹, 아랫니는 메탈로 섞어서 조합했습니다.
웃을 때 좀 더 많이 보이는 윗니는 세라믹으로 약간의 심미성을 더해줬고요.
아랫니는 부피도 작고 튼튼한 메탈로 했습니다.
비용도 약간 더 저렴해지고요.
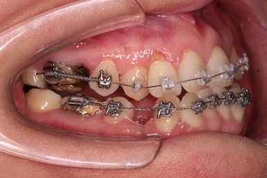
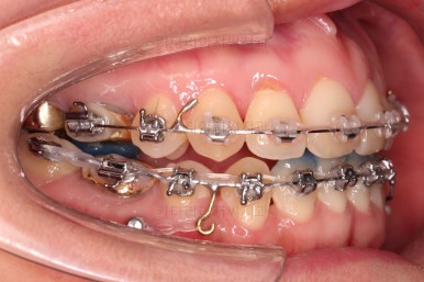
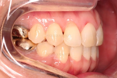
뿌리 남은 부분이 점점 넓어지고 있죠?
좀 더 넓힌 후 주위 치아나 뼈에 손상없이 뿌리만 발치하게 됩니다.
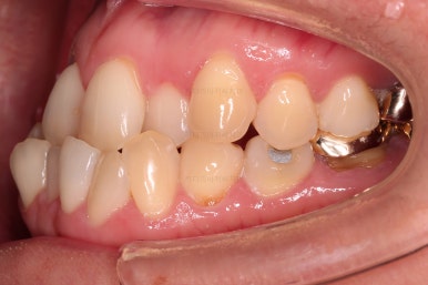
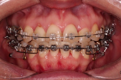
치열도 점점 가지런해지고 있습니다.
이 뽑은 자리가 점점 줄어들고 있고요.
아랫니는 공간이 줄어드는 속도가 느립니다.
아랫니는 앞니만 거의 대부분 당겨와야 되는 테크닉이기도 하고, 아래 앞니의 각도를 매우 신경써야 하는 케이스였기 때문입니다.
자칫하면 주걱턱 교정의 경우 아래 앞니가 뒤로 뉘어버리게 됩니다.
따라서 뿌리까지 뒤로 얼마나 잘 이동시키는지가 주걱턱 교정의 핵심 입니다.
뿌리가 뒤로 잘 안간다면 얼굴모습의 개선 효과가 크지 않습니다.
얼굴 모습도 중간중간 체크를 해주고요.
반대교합이 잘 개선된 양상입니다.
발치공간도 거의 다 줄었고요.
이제 끝내도 되냐고요?
한참 남았습니다 ㅎㅎ
말씀 드린대로 아래 앞니의 각도 때문인데요.
아직 여전히 머리 부분만 먼저 뒤로 오면서 아래 앞니가 약간 뒤로 뉘어보이는데요.
이 부분에 대한 조절이 굉장한 테크닉과 주의가 필요합니다.
해당 부분들을 한참 더 조절한 뒤에 마무리 하게 됩니다.
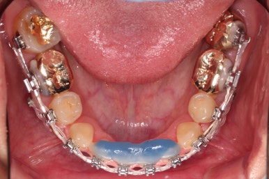
4. 마무리
총 38개월이라는 긴 기간이 걸렸는데요.
처음에 MARPE 한다고 몇 달 소요가 되었고요.
성인이기 때문에 잇몸에 대해 신경을 많이 써야해서 움직임을 빨리 못했던 부분도 있었고, 마무리 때 아래 앞니 각도 개선을 위해 신경썼던 부분도 있습니다.
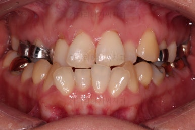
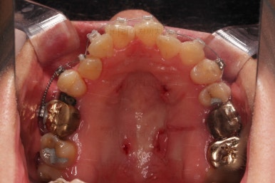
세심하게 부산교정치료 했기 때문에 결과는 상당히 잘 나왔는데요.
치아배열, 중앙선, 앞니관계, 어금니 폭과 교합, 앞니 각도 등 모든 점에서 다 좋아졌습니다.
앞니의 블랙 트라이앵글은 잇몸이 내려가서라기 보다 겹쳐있던 치열이 가지런해지면서 펼쳐졌다고 보는게 맞습니다.
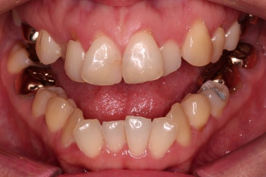
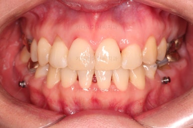
부산교정치료 전후 비교해 볼게요.
전후를 비교해 보면 결과가 명확히 보이죠?
치열도 골라졌고, 비대칭이 있는데 최대한 자연스레 맞추었고요.
아랫니가 들어가고 특히 아래 앞니의 뿌리까지 뒤로 넣어주다 보니 아랫입술 하방의 굴곡이 매우 좋아졌습니다.
이 부분이 개선되면서 주걱턱 느낌이 매우 좋아졌습니다.
다시 말씀 드리지만 턱의 크기는 바뀌지 않습니다.
다만, 입매를 조절함으로써 주걱턱이 매우 개선된 양상으로 보이게 됩니다.
전반저긍로 매우 만족스러운 부산교정치료였습니다.
이상 악궁확장장치 및 미니스크류를 이용하여 비수술로 주걱턱/반대교합을 교정한 치료사례였습니다.
부산 연산동 교정치과 키다리아저씨치과에 오시는 길은 연제구 연산동 연산역 17번출구 바로 앞 건물 6층입니다.
치과교정과 전문의(부산대 외래교수)가 상주하며 교정치료 합니다.
<위 사진은 환자분의 동의를 구한 후 공개하는 사진자료입니다. 사진은 과장이나 조작이 없는 원본사진입니다. 교정치료로 인한 부작용으로는 치근흡수, 충치, 치아변색, 실활 등이 있을 수 있으며, 치료 전후 사진은 의료법 제 23조, 제 56조에 의거하여 게재합니다. 개인의 상태에 따라 치료결과는 달라질 수 있으므로, 교정전문의와 상의를 요합니다.>

















































































































































댓글