부산교정치료 + 임플란트 동시진행이 가능한 키다리아저씨치과
- 키다리아저씨치과

- 2025년 8월 18일
- 2분 분량
※ 해당 케이스는 키다리아저씨치과의 협진 치과에서 의뢰가 들어온 환자분으로 교정치료는 저희 치과에서 진행을 하고 임플란트와 보철은 협진치과에서 진행되었음을 안내드립니다.
안녕하세요.
오늘 부산교정치료 소개해 드릴 환자분은 어금니 하나가 없어서 임플란트를 고민하셨던 환자분이시며 어금니 부분 교정치료와 임플란트를 병행하여 치료를 받으신 분입니다.
나이 : 52세
총 치료기간 : 임플란트 완료시까지 총 11개월

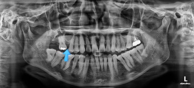
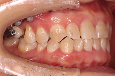
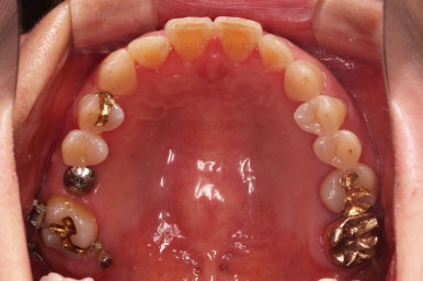
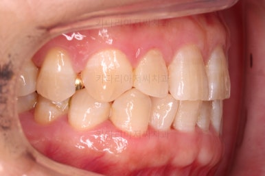
초진 때의 사진입니다.
전반적으로 치열이 삐뚤하고 불균일한 양상이긴 하지만 꼭 이런 부분들까지 교정을 해야 하는 건 아니에요.
치열에 대한 본인의 개선 의사가 있다면 전반적인 교정을 해줄 필요가 있지만 그렇지 않다면 굳이 할 필요가 없는거죠.
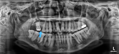
제일 하단의 X-ray에서 문제점이 보이는데요.
해당 부분의 어금니가 1개가 없었어요.
어금니가 없어진지 꽤 시간이 흘렀기 때문에 몇 가지 문제점이 나타나는데요.
치아가 없는 자리에 바로 임플란트가 불가능합니다.
치아를 뽑자마자 임플란트를 했다면 치료는 간단했겠지만 이번의 경우는 시간이 오래 지나서 뒤쪽 어금니가 발치된 자리로 쓰러졌어요.
앞쪽 치열들도 발치된 자리로 조금씩 이동하는 바람에 틈새가 듬성듬성 생겼어요.
경우에 따라서는 맞물리는 치아(이번 환자분 경우 아랫니)가 솟구쳐 오르면서 어금니 교합이 망가져요.
따라서 가장 좋은 건 이를 뽑자마자 임플란트를 하는 것이지만 현재 할 수 있는 방법은 교정치료를 병행해서 임플란트를 하는 방법이 있어요.
이럴 때 치료 옵션은 여러 가지가 있는데요.
1. 뒤쪽 어금니를 끌고 당겨 와서 공간을 없애버린다.
끌고 당겨온 후, 뒤쪽 남는 공간에 임플란트를 한다.
끌고 당겨온 후, 뒤쪽 남는 공간을 그냥 둔다.
2. 뒤쪽 어금니 위치를 원상복귀 시켜서 해당 부분에 임플란트를 한다.
3. 쓰러진 치아를 뽑고 임플란트를 2개 한다.
기타 등등의 방법을 생각해 볼 수 있겠지만 크게 4가지 치료옵션이 있겠네요.
만약 교정-일반진료를 병행하는 치과가 아니라면 아마 3번 옵션 치아를 뽑고 임플란트를 2개한다를 선택했을 확률도 커요.
왜냐하면 현재 상태로는 빈공간에 임플란트를 하자니 자리가 부족하고 뒤쪽에 임플란트를 하자니 치아가 기울어 해당 치아 뿌리를 임플란트가 건드릴 수 있거든요.
다행히 부산교정치료 키다리아저씨치과에서는 교정치료와 임플란트를 병행하기 때문에 보다 수준 높은 치아를 하나라도 더 살리는 방향으로 치료계획을 세울 수 있어요.
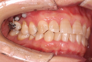
임플란트를 위해 쓰러진 어금니를 원위치 시키는 부분교정을 시행한 뒤, 해당 부분에 임플란트를 하기로 했답니다.
어금니를 뒤로 밀어주기 위해서 미니스크류와 브라켓, 철사를 이용해줘요.
중간중간 장치 디자인이나 미니스크류의 위치를 바꿔주기도 하고요.
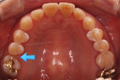
점점 자리가 확보되어가는게 보이시죠?
당연히 임플란트만 하고 끝내는 상황보다는 치료기간이 길어지긴 하지만 어차피 보이지도 않는 부위고 입안의 약간의 이물감만 견딘다면 임플란트를 1개만 해도 되는 매우 좋은 치료라 생각해요.
적절한 공간이 확보되었다고 판단되면 임플란트를 식립합니다.
임플란트가 뼈에 단단히 붙을 몇 개월의 시간동안 부산교정치료를 좀 더 마무리 해주고요.

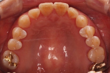
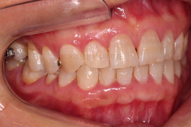
임플란트 머리 부분까지 완성이 되었어요.
교정치료와 임플란트치료를 병행해서 치아 빠진 부위가 다행히 잘 마무리가 되었네요.
부산교정치료 전후사진을 비교해 보겠습니다.
쓰러진 치아도 원위치로 만들어 기능을 회복시켜주었고, 임플란트도 1개로 마무리를 할 수 있었어요.
이렇게 단순히 임플란트를 해야 하는 상황도 간단한 교정치료와 병행한다면 치아도 아끼고 임플란트도 줄이는 매우 좋은 치료가 될 수 있답니다.
임플란트를 앞두신 환자분이라면 간단한 교정치료를 병행하는 것, 최소한 상담이라도 받아보시는 것을 추천드립니다.
키다리아저씨치과에 오시는 길은 연제구 연산동 연산역 17번출구 바로 앞 건물 5, 6층입니다.
치과교정과 전문의(부산대 외래교수)와 통합치의학과 전문의(서울대학교 졸업) 2명이 상주하며 교정치료와 일반치과치료를 협진하여 진료합니다.
<위 사진은 환자분의 동의를 구한 후 공개하는 사진자료입니다. 사진은 과장이나 조작이 없는 원본사진입니다. 교정치료로 인한 부작용으로는 치근흡수, 충치, 치아변색, 실활 등이 있을 수 있으며, 치료 전후 사진은 의료법 제 23조, 제 56조에 의거하여 게재합니다. 개인의 상태에 따라 치료결과는 달라질 수 있으므로, 교정전문의와 상의를 요합니다.>







































댓글