부산교정치과 키다리아저씨치과의 임플란트 없이 결손치아를 개선한 치료사례 II
- 키다리아저씨치과

- 2025년 11월 27일
- 3분 분량
안녕하세요.
오늘 부산교정치과 키다리아저씨치과에서 소개해 드릴 환자분은 어금니 하나가 상실, 결손이어서 해당 부위를 임플란트 없이 사랑니까지 앞으로 당겨와서 쓰고자 하신 분입니다.
지난 번에 이어 상실치를 임플란트 없이 마무리를 한 두 번째 포스팅 입니다.
나이 : 23세
총 치료기간 : 1년 7개월(총 19개월)
사용한 장치 : 자가결찰 메탈(엠파워 메탈, Empower metal) + 미니스크류

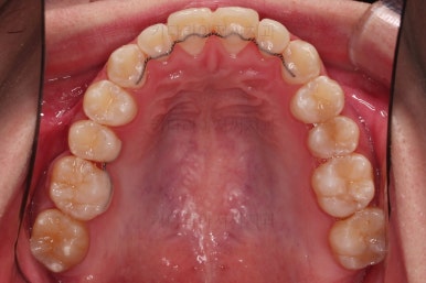
초진 시 X-ray 사진입니다.
위쪽 어금니 하나가 없는 걸 볼 수 있는데요.
다행히 해당 부위는 맨뒤에 사랑니까지 남아있던 상황이었어요. 환자분이 혹시나 하는 마음에 해당 부위 사랑니는 발치를 안하고 아껴두셨던거죠.
해당 부위에 대한 치료계획은 둘 중 하나입니다.
결손 공간을 모을까? 임플란트를 할까?
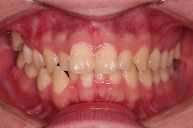
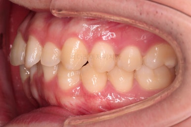
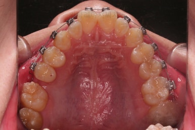
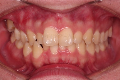
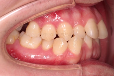
부산교정치과 초진 시 입안의 모습입니다.
앞니가 삐뚤어서 결손치아가 없었더라도 교정치료를 원하셨던 상황이었고요.
오른쪽 어금니 맞물림은 결손치아도 그렇지만 전반적인 앞뒤 차이가 있는 부정교합이 있었어요.
얼굴모습인데요.
전반적인 입매는 나쁘지 않아 굳이 입을 더 넣거나 뺄 필요는 없어보이고요.
웃을 때 정렬되지 못한 치열 때문에 미적으로 좋지 못하네요.
치료계획을 세울 때, 단순히 결손치아만을 고려하는 것이 아니라 얼굴모습, 중앙선, 다른 치열의 삐뚤어진 상태, 교합 등을 고려해서 계획을 세웁니다.
이번 환자분은 부정교합 부분은 발치 없이 치열을 통째로 뒤로 밀어서 개선하기로 했고요.
결손치아 부위는 더 뒤의 어금니와 사랑니까지 앞으로 당겨와서 임플란트 없이 공간을 모아주기로 했어요.

문제가 하나 생겼는데요.
어릴 때 썩어서 뺀줄 알았던 결손 공간을 CT 영상을 찍어 확인해 보니 아주 작은 뿌리가 남아있고 해당 부위에 염증 때문이었는지 뼈가 거의 남아있지 않은 상태였어요.
우선은 뿌리가 남아있으면 치아 움직임도 방해하고 뼈를 더 상하게 할 수 있어서 발치를 진행했는데요.
굉장히 고난이도의 발치이기 때문에 대학병원에 의뢰해서 해결을 해야 했어요.
인접한 치아의 뿌리보다 더 깊숙히 잇몸을 열고 심지어 주위 치아를 다치게 할 우려까지 있었기 때문이죠.
그리고 또 다른 문제는 뿌리를 뽑고 나면 뼈가 너무 없기 때문에 치아 움직임이 제한될 수 있다는 점인데요. 뒤쪽 치아가 해당 부위로 이동을 해야하는데 뼈가 없으면 이동하지 못하죠.
100% 뿌리까지 잘 안움직일 수 있다는 점을 미리 안내드리고, 그래도 치아가 움직이는 곳에 잇몸뼈는 리모델링이 일정 부분이 이루어지니 기대감을 가지고 부산교정치과 치료를 시작했어요.
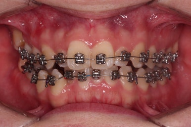
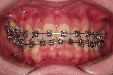
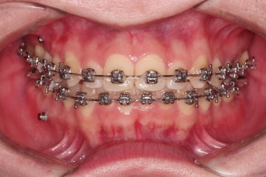
우선 브라켓을 부착했고요.
이번에 환자분이 선택하신 장치는 엠파워 메탈이라고 하는 자가결찰 금속장치인데요.
메탈이라고 다 구형의 장치는 아니고 "자가결찰"인지 여부가 굉장히 중요해요.
"자가결찰"이기만 하면 재로에 따라 자가결찰 세라믹(데이몬, 클리피씨, 엠파워 클리어 등), 자가결찰 메탈 등으로 나뉩니다.
오히려 세라믹이면서 자가결찰이 아닌 장치가 자가결찰 메탈 보다 더 구형의 장치인 셈이죠.
장치 부착 직후의 얼굴모습을 참고해 주시고요.
이번 환자분은 장치를 부착했다고 해서 입매가 거의 변화 없는 축에 속하는 분이고요.
일반적으로 메탈 장치가 세라믹에 비해 부피감이 약간 작은 장점도 있답니다.
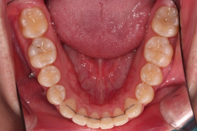
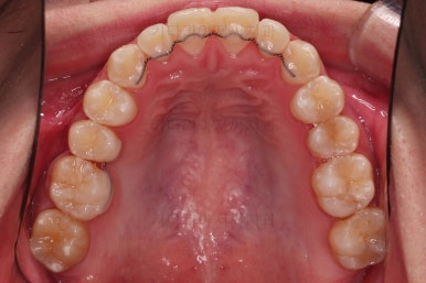
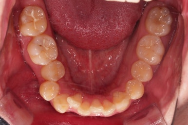
윗니는 가지런하게 하면서 아랫니는 초기 단계부터 뒤로 밀어주게 됩니다.
보통 철사교정을 할 때 100% 가지런해진 뒤 밀고 당기는 경우가 있는데요.
그것보다는 가능한 초기부터 가지런하게 하는 것 + 뒤로 미는 것을 병행하면 치료기간을 효율적으로 단축할 수 있답니다.
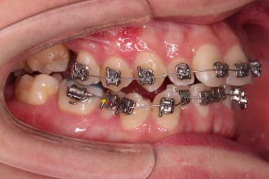
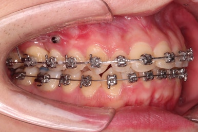
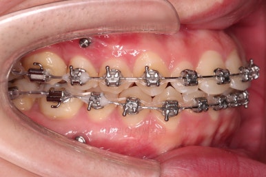
미니스크류가 식립되었고요.
결손치아도 오른쪽, 부정교합도 오른쪽이어서 오른쪽 위아래 각 1개씩 식립이 되었어요.
물론 윗니는 앞으로 당기는 용도, 아랫니는 뒤로 미는 용도였습니다.
중앙선과 교합을 고려해서 좀 더 밀고 당기기를 해주고 마무리를 하게 됩니다.
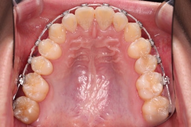
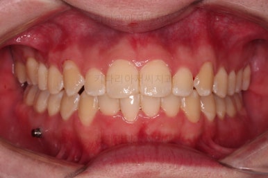
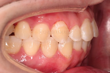
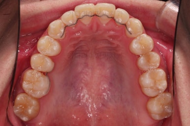
우측의 결손치아보다 뒤쪽에 있는 치아는 크기나 모양이 원래의 큰 어금니보다 작고 다르게 생겨서 100% 이상적인 교합을 얻기는 한계가 있었어요.
하지만 임플란트 없이 충분히 가능할 수 있게끔 해주어서 환자분도 매우 만족하는 치료가 되었어요.

뿌리도 남아있었고 골 결손도 심했던터라 뒤쪽 치아들이 잘 움직일 것을 고지해 드렸었지만 다행히 거의 문제 없이 치아가 잘 움직였고요.
대신 해당 치아는 뼈가 약하다는 걸 환자분도 인지하시고 관리를 잘해야되는 부분입니다.
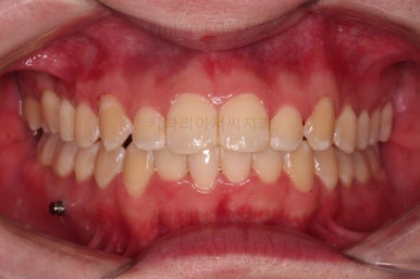
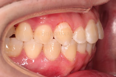
이제 전후 비교를 해볼게요.
1년 7개월 만에 매우 고난이도의 치료를 임플란트 없이 사랑니까지 당겨와서 사용한 만족스러운 치료였습니다.
이상 어금니 결손, 상실치아가 있는 경우 사랑니까지 살려서 앞으로 당겨와서 임플란트 없이 치료를 마루리한 부산교정치과 치료사례였습니다.
키다리아저씨치과에 오시는 길은 연제구 연산동 연산역 17번출구 바로 앞 건물 5, 6층입니다.
치과교정과 전문의(부산대 외래교수)가 상주하며 교정치료 합니다.
<위 사진은 환자분의 동의를 구한 후 공개하는 사진자료입니다. 사진은 과장이나 조작이 없는 원본사진입니다. 교정치료로 인한 부작용으로는 치근흡수, 충치, 치아변색, 실활 등이 있을 수 있으며, 치료 전후 사진은 의료법 제 23조, 제 56조에 의거하여 게재합니다. 개인의 상태에 따라 치료결과는 달라질 수 있으므로, 교정전문의와 상의를 요합니다.>















































































































댓글