부산교정치과 키다리아저씨치과의 윗니만 교정치료하여 덧니를 개선한 사례
- 키다리아저씨치과

- 2025년 3월 4일
- 3분 분량
안녕하세요.
오늘 부산교정치과 키다리아저씨치과에서 소개해 드릴 환자분은 덧니를 부분교정으로 개선하고 싶어하셨던 분입니다.
나이 : 25세
총 교정기간 : 6개월
교정장치 : 엠파워 클리어(자가결찰 세라믹)
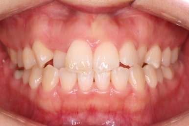
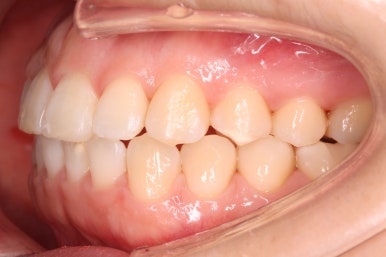
부산교정치과 키다리아저씨치과에 처음 오셨을 때의 모습입니다.
약간의 돌출감이 보이고(특히 아랫 입술), 아래턱이 왼쪽으로 틀어진 비대칭이 보입니다. 비대칭이 있을 경우, 이처럼 아래턱이 틀어진 방향으로 입술도 같이 경사지게 됩니다.
덧니가 있다보니 웃을 때 활짝 웃지 못하고 웃을 때 드러나는 치열이 미적으로 좋지 못합니다.
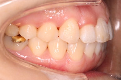
부산교정치과 키다리아저씨치과 처음 오셨을 때의 입안 모습입니다.
윗니 특히 앞니가 삐뚤고, 송곳니는 덧니처럼 보이며 오른쪽 작은 앞니는 아랫니보다 안쪽으로 들어갔습니다. 윗니만 보면 어금니쪽보다 앞쪽으로 오면서 좁아지는 양상입니다.
환자분은 앞니가 삐뚤기 때문에 앞니만 부분교정으로 개선하고 싶어하셨습니다.
Q. 앞니만 부분교정 하고 싶어요.
A. 부분교정으로 개선이 힘들겠습니다.
Q. 부분교정이 왜 안되나요?
A. 부분교정은 보통 송곳니에서 송곳니까지 장치를 부착하게 됩니다. 즉 송곳니가 양쪽 끝에서 지지대 역할을 해주게 됩니다. 다음과 같은 경우 부분교정이 안됩니다.
송곳니가 틀어져 있는 경우
송곳니 ~ 송곳니 사이에 앞니가 가지런해질 자리가 매우 부족할 경우
위 혹은 아래 앞니만 가지런하게 했을 경우 앞니 맞물림에 오히려 문제가 생길 경우
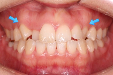
이번 환자분의 송곳니를 보면 부분교정으로 안되겠다는 생각이 드실겁니다.
왼쪽 송곳니는 오히려 아래보다 안쪽으로 들어가 있고, 오른쪽 송곳니는 기울어져 있습니다. 전반적으로 치열의 U자 배열된 형태가 앞니쪽으로 올수록 찌그러진 양상입니다.
부산교정치과 키다리아저씨치과에서는 부분교정이 힘들기 때문에 어금니까지 장치가 들어가는 전체교정을 추천드렸습니다. 윗니를 전체교정할 경우 어금니 치열에도 위치 변화가 생기기 때문에 위/아래 한 쌍으로 전체교정을 해줘야 맞물림을 잘 형성할 수 있습니다.
환자분은 아쉽게도 아랫니는 도저히 하고 싶지 않다고 하셨고, 어금니의 맞물림에 약간의 변화가 있을 수 있다는 전제하에 윗니만 교정하여 치료하기로 했습니다.
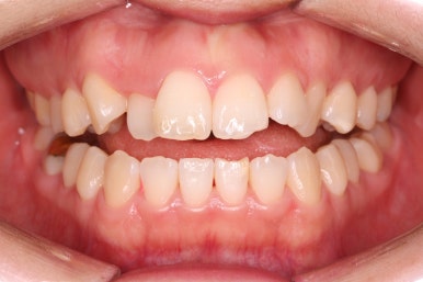
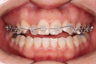
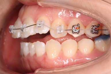
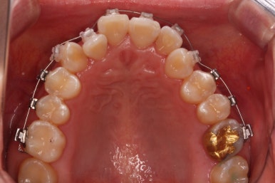
부산교정치과 키다리아저씨치과에서 장치를 윗니에만 부착한 직후의 입안 모습입니다.
송고신와 작은 앞니 등 아랫니보다 안쪽에 들어가 있는 치아가 있었기 때문에 의도적으로 맞물림을 띄워주었습니다.
이번에 사용한 장치는 엠파워 클리어라고 하는 세라믹 자가결찰 장치입니다. 세라믹이라 치아색과 가까워 심미적이고 장치에 철사를 잡아주는 뚜껑이 달린 자가결찰 장치이므로 치아배열 속도 등 여러 가지 점에서 이점이 있는 장치입니다.
비슷한 장치로는 클리피씨 장치 등이 있는데 클리피씨는 일본, 엠파워 클리어는 미국 장치라는 점에서 차이가 있으며 큰 틀에서는 거의 같은 장치라고 볼 수 있겠습니다.
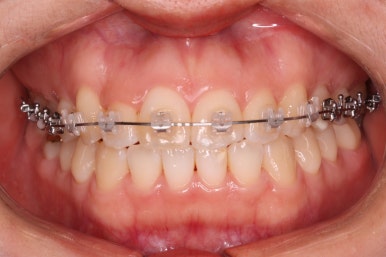
장치를 붙인 직후의 얼굴모습입니다.
아무래도 장치의 부피 때문에 입이 약간 튀어나오는 것을 알 수 있습니다. 입이 얼마나 튀어나오는지는 사람마다 제각각이므로 단정지어 얼마나 튀어나온다고 말씀 드릴 수는 없겠습니다.
웃을 때 보이는 모습은 세라믹 부분이라 거의 눈에 띄지 않습니다.
부산교정치과 키다리아저씨치과에서 장치를 부착한 전/후의 옆모습 비교입니다.
확실히 입술의 부피감이 더 생긴 것을 알 수 있습니다.
얼마 지나지 않아 안쪽에 있었던 송곳니와 앞니는 앞으로 튀어 나왔습니다.
어금니 부위의 위치도 미세하게 변했으나 맞물림에는 큰 문제가 없는 상황입니다.
안쪽에 있다가 밖으로 나온 치아는 뻐드러지면서 나올 수 있으므로 이 부분을 신경 써서 치료해주는 테크닉이 필요합니다. 좀 더 디테일하게 수정하고 마무리 합니다.
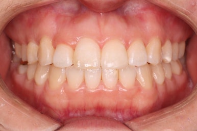
마무리를 하였습니다.
아랫니는 변화 없이 윗니의 덧니부분을 가지런하게 하였습니다. 어금니 부분의 맞물림도 불편감이나 큰 문제 발생 없이 마무리를 할 수 있었습니다.
총 6개월이 걸렸네요.
이번 환자분의 경우 맞물림이 좋지 못하여 깨져나간 앞니가 있어서 마무리한 이 후 치아색깔 나는 재료로 살짝 떼워드렸습니다.
훨씬 보기 좋아졌네요.
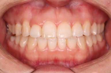
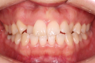
부산교정치과 키다리아저씨치과에서 이번 환자분의 사례 전후 모습을 비교해 보았습니다.
왼쪽 사진들이 치료 전, 오른쪽 사진들이 칠 후 모습입니다.
덧니는 좋아졌고, 삐뚤한 이는 바르게 되었으며 윗니만 교정했음에도 교합에 큰 영향을 주지 않았습니다.
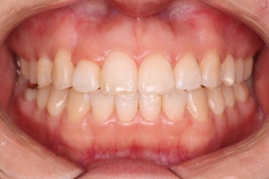
마찬가지로 전후 얼굴 모습입니다.
앞니가 가지런하게 되면서 웃는 모습이 훨씬 밝아졌습니다.
왼쪽 송곳니가 거꾸로 물리면서 아래턱이 약간 더 틀어지는 경향이 있었던 듯 합니다. 윗니만 치료한 이후에도 비대칭이 어느 정도 좋아진 것 같은 느낌을 주게 됩니다.
이상 부산교정치과 키다리아저씨치과에서 윗니만 교정하여 덧니를 개선한 사례였습니다.
키다리아저씨치과에 오시는 길은 연산역 17번출구 바로 앞 건물 5, 6층입니다.
치과교정과 전문의(부산대 외래교수)와 치과보철과/통합치의학과 전문의(부산대 외래교수) 2명이 상주하며 교정치료와 일반치과치료를 협진하여 진료합니다.
<위 사진은 환자분의 동의를 구한 후 공개하는 사진자료입니다. 사진은 과장이나 조작이 없는 원본사진입니다. 교정치료로 인한 부작용으로는 치근흡수, 충치, 치아변색, 실활 등이 있을 수 있으며, 치료 전후 사진은 의료법 제 23조, 제 56조에 의거하여 게재합니다. 개인의 상태에 따라 치료결과는 달라질 수 있으므로, 교정전문의와 상의를 요합니다.>






















































































































댓글