부산교정치과 키다리아저씨치과의 벌어진 앞니 교정치료
- 키다리아저씨치과

- 2025년 4월 8일
- 3분 분량
안녕하세요.
오늘 부산교정치과 키다리아저씨치과에서 소개해드릴 환자분은 앞니가 벌어져서 교정치료를 원하셨던 분입니다.
나이 : 29세
총 치료기간 : 1년 3개월(총 15개월)
사용한 장치 : 자가결찰 세라믹(데이몬 클리어, Damon clear)
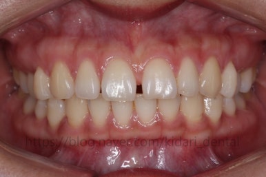
부산교정치과 키다리아저씨치과에 처음 내원하셨을 당시의 얼굴 모습입니다.
입을 다물었을 때는 특별히 문제점을 찾기 힘들었어요. 입술이 어색하게 다물어지는 것도 아니었고, 옆에서 봤을 때 돌출감이 느껴지는 것도 아니었어요.
대신 웃거나 말할 때 드러나는 치열을 보면, 앞니 사이에 틈새가 있어서 보기싫어 하셨어요.
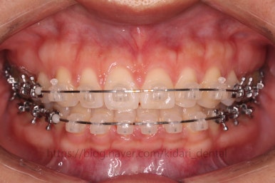
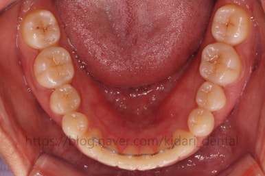
이번에는 처음 내원시의 입안의 모습입니다.
겉에서 봤을 때는 앞니 중간에만 틈이 있는 줄로 보였는데, 입안을 보면 위/아래 앞니사이에 골고루 틈새가 있었어요.
예전부터 특히 우리나라는 앞니 사이에 틈이 있으면 복이 새어나간다고 하는 속설이 있어서 서양보다 틈새를 더 싫어하는 경향이 있습니다.
어쨌거나 환자분은 틈새를 모으는 치료를 하시길 원하셨고, 이럴 경우 치료방법이 크게 두 가지가 있어요.
교정치료
치아 크기를 키우는 방법(보철 혹은 수복치료 / 라미네이트, 올세라믹, 레진치료 등등)
장단점을 간단히 알아보겠습니다.
교정치료
- 장점 : 치아의 손상이 없다. 치아의 비율을 적절히 유지할 수 있다. 보철이 떨어질 우려가 없다. 내 치아를 그대로 지킬 수 있다. 치아 및 잇몸 관리가 용이하다.
- 단점 : 치료기간이 오래 걸린다. 기존 치아의 형태가 불량해도 그대로 갖고 가야 한다.
보철 혹은 수복치료
- 장점 : 단시간에 끝낼 수 있다. 기존 치아 형태가 나쁘다면 개선을 할 수가 있다.
- 단점 : 치아를 일정부분 갈아내야 한다.(심한 경우 신경치료까지 해야 할 수 있다.) 치아가 가로로 넓어져서 넓적한 형태로 보일 수 있다. 떨어질 우려가 있다.(수명이 영구적이지 않다.) 보철 ~잇몸의 경계선이 양치가 힘들고 잇몸이 나빠질 우려가 있다.
여러 가지로 치아교정이 이득이 된다고 판단하시어, 교정치료로 앞니 틈새를 개선하기로 하였습니다.
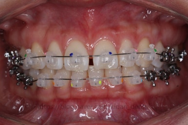
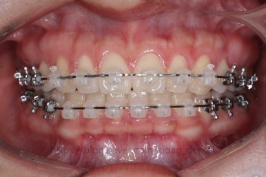
장치를 처음 붙였을 때의 모습입니다.
이번에 선택하신 장치는 데이몬클리어라는 자가결찰 세라믹 장치입니다.
자가결찰 세라믹 장치는 종류도 다양해요. 흔히 많이 알고 계시는 클리피씨도 속합니다.
자가결찰 세라믹 장치 중에서도 이번에 사용된 데이몬 클리어는 금속 부분이 아예 없기 때문에 가장 표시가 안나는 장치입니다. 대신 세라믹 성분이 많다 보니 깨질 우려로 인해 부피가 커진다는 단점이 있지만 그래도 가장 적게 눈에 띄는 장치라고 할 수 있어요.
어느 정도 단계를 더 밟아 철사가 두꺼워지면 본격적으로 틈새를 모으기 시작을 합니다.
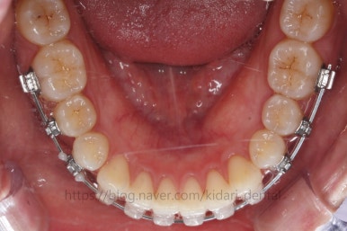
치료시작 4개월 째의 사진인데 벌써 틈이 거의 다 없어져가는 느낌이 드네요.
치료기간이 굉장히 짧게 걸린 분이라 중간과정 사진이 별로 없네요.
치료 6개월 째인데 틈은 다 모였고, 이제부터 디테일한 마무리 과정에 들어가게 됩니다.
교합, 중앙선이라든지 다시 재발이 되지 않는지에 대한 테스트를 충분히 하고 마무리를 해야 합니다.
특히 벌어진 치아는 다시 벌어질 우려가 크기 때문에 치료결과가 안정적인지에 대한 판단을 몇 개월 동안 해 본 뒤, 치료를 종료하는 것이 안전해요.
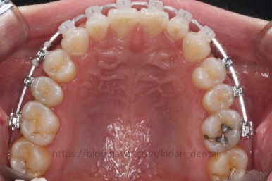
치료 9개월째의 모습입니다.
미세한 교합, 치아의 위치 등등을 마무리를 해줘요. 중앙선은 100% 맞진 않지만 가능한 맞춰줘요.
간혹 중앙선이 완전히 일치 되어야 한다는데 포커스를 맞추는 분들이 계신데, 그게 꼭 좋은 것만은 아닙니다.
중앙선이 일치되려면 턱뼈의 비대칭도 없어야 되고, 왼쪽/오른쪽의 치아 사이즈가 모두 맞을 때의 중앙선이 일치돼요. 근데 그런 사람은 거의 없겠지요.
무리하게 중앙선을 맞추다 보면 왼쪽/오른쪽 교합이 약간 달라지면서 오히려 더 안좋은 경우가 있어요.
중앙선을 맞추기 보다는 내 몸에서 가장 좋은 위치를 만들어 주는게 중요합니다.
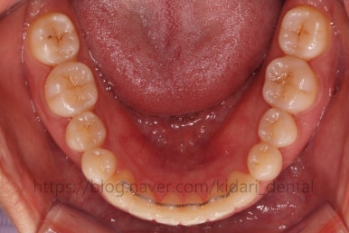
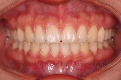
마무리를 더 한 후에 치료를 끝냈어요. 치료 기간은 총 15개월이 걸렸습니다.
치열이 가지런한 것은 당연하고, 교합이나 틈새 등등 모두 잘 맞추고 끝낼 수 있었어요. 교정치료 종료 후에는 위아래 앞니에 유지장치를 부착하고 마무리를 하게 됩니다.
부산교정치과 키다리아저씨치과에서 치료한 이번 사례의 치료 후 얼굴 모습입니다.
입술을 다물었을 때의 모습은 원래도 좋으셨기 때문에 달라짐이 거의 없어요.
대신 말씀하시거나 웃을 때 보이는 치열은 굉장히 좋아졌어요. 환자분도 훨씬 자신감 있게 환하게 웃으실 수 있게 되셨어요.
전후 사진 비교입니다.
좌우로 비교를 해보니 매우 좋아진 것이 바로 느껴지시나요?
변화된 모습이 잘 보이실 거에요.
이상 부산교정치과 키다리아저씨치과에서 시행한 벌어진 앞니의 교정치료 사례였습니다.
키다리아저씨치과에 오시는 길은 연산역 17번출구 바로 앞 건물 5, 6층입니다.
치과교정과 전문의(부산대 외래교수)와 치과보철과/통합치의학과 전문의(부산대 외래교수) 2명이 상주하며 교정치료와 일반치과치료를 협진하여 진료합니다.
<위 사진은 환자분의 동의를 구한 후 공개하는 사진자료입니다. 사진은 과장이나 조작이 없는 원본사진입니다. 교정치료로 인한 부작용으로는 치근흡수, 충치, 치아변색, 실활 등이 있을 수 있으며, 치료 전후 사진은 의료법 제 23조, 제 56조에 의거하여 게재합니다. 개인의 상태에 따라 치료결과는 달라질 수 있으므로, 교정전문의와 상의를 요합니다.>

























































































































댓글