부산교정치과 키다리아저씨치과에서 진행한 매복치아, 왜소치, 과개교합 교정치료 사례
- 키다리아저씨치과

- 2025년 4월 21일
- 3분 분량
안녕하세요.
오늘 부산교정치과 키다리아저씨치과에서 소개해 드릴 분은 왼쪽 송곳니 하나가 나오지 못하고 있는 매복치, 작은 앞니 하나가 뾰족한 왜소치, 앞니가 깊게 물려있는 과개교합 등 많은 문제점을 갖고 계셨던 분입니다.
나이 : 15세
총 치료기간 : 2년 1개월(총 25개월)
사용한 장치 : 메탈
부산교정치과 키다리아저씨치과에 처음 내원하셨을 당시의 얼굴 모습입니다.
입을 가만히 다물었을 때의 모습은 양호해요. 돌출된 느낌도 양호한 편이고 입도 편안하게 다물어지고요.
대신 웃거나 말할 때 드러나는 치아의 형태가 조금 이상해 보입니다.
왼쪽은 덧니도 있어보이고 치아도 뾰족뾰족 해 보여요.
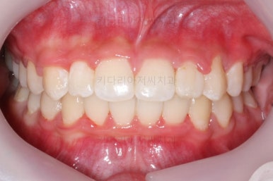
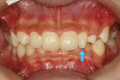
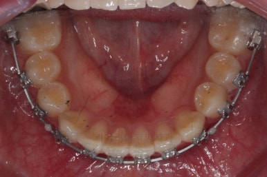
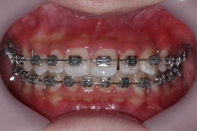
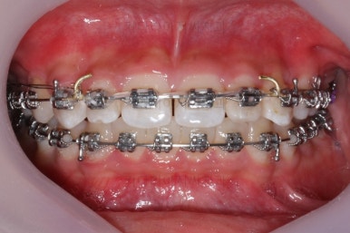
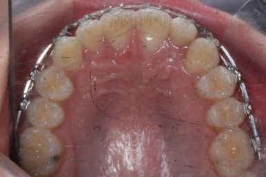
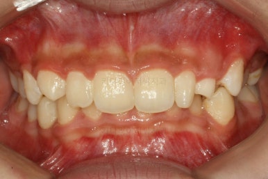
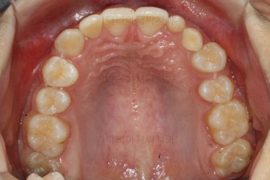
마찬가지로 부산교정치과 키다리아저씨치과에 처음 내원하셨을 당시의 입안 모습입니다.
화살표로 표시된 치아가 작은 앞니 부분인데 크기가 매우 작고 뾰족한 것을 볼 수 있어요. 유치가 아니고 평생 써야 하는 영구치입니다. 이러한 상태를 "왜소치"라고 표현하는데, 치아 크기의 문제로 여러 가지 문제점이 생길 수 있어요.
윗니 치아 사이에 틈이 생길 수 있습니다.(치아 크기가 모자란 만큼 틈이 있는 것이죠.)
아래 앞니가 삐뚤어질 수 있습니다.(비율상 아랫니가 상대적으로 커지기 때문에 삐뚤어지게 됩니다.)
미적으로 좋지 못합니다.
이런 경우 크게 두 가지 방향이 있을 수 있습니다.
하나는 치아 크기를 다시 회복시켜주는 방법 : 라미네이트, 올세라믹 등의 보철치료 혹은 레진으로 떼우는 수복치료.
다른 하나는 적절히 아랫니 사이즈를 미세하게 줄여 위아랫니 치아 비율을 맞춰주는 방법
이번 환자분의 경우는 작은 사이즈를 크게 회복시켜 주기로 했어요.
또 다른 문제는 위아래 앞니가 매우 많이 겹쳐져 있어서 아래 앞니가 거의 보이지 않는다는 점입니다.
미적인 문제 뿐만이 아니라 기능적인 문제도 만들어낼 수 있어서 고쳐주는 것이 좋아요.
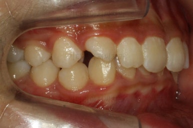
그 다음 문제는 왼쪽 송곳니 부분(붉은색 동그라미)이 유치가 남아있고, 영구치가 매복되어 있는 경우였어요.

화살표를 보시면 송곳니가 나오지 못하고 뼈속에 묻혀 있는 것을 볼 수 있습니다.
이를 "매복치" 혹은 "매복치아" 라고 표현하는데 이넞ㅂ한 치아들의 뿌리를 녹인다거나 아예 다른 방향으로 간다거나 하는 문제가 생길 수 있기 때문에 조기에 발견하고 치료를 해줘야 합니다.
상태를 보면 옆에 있는 안그래도 작은 왜소치의 뿌리를 건드리는 양상으로 있어서 좀 더 정밀한 3차원 CT를 찍어 보기로 했습니다.
이렇게 정확한 위치를 파악해보니 다행히 인접한 치아에 안좋은 영향을 주고 있는 것은 아니었고 어부바처럼 겹쳐있기만 했어요.
그래서 치료의 첫 번째는 유치를 뽑고 시간을 보내보는 것이었습니다. 자연스럽게 나올 가능성이 있다고 판단했기 때문이에요.
만약 자연스럽게 나오지 않는다면 잇몸을 절개해서 장치를 부착한 다음 강제로 당겨 내려줘야 합니다.
부산교정치과 키다리아저씨치과에서 이번 환자분의 치료 포인트를 총 3가지 왜소치, 과개교합, 매복치로 잡았습니다.
우선 유치를 뽑고 시간을 보내보니 자연스럽게 송곳니가 나왔어요. 매우 다행이었어요.
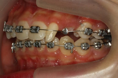
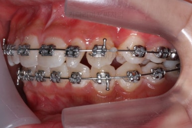
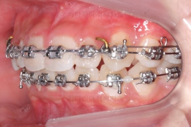
송곳니가 어느 정도 나온 것을 확인한 후, 교정장치를 부착해서 교정치료를 들어갔습니다.
이번에 사용한 장치는 메탈장치였고, 치료 초기에는 매복치를 제대로 꺼내는데 초점을 맞췄어요.
장치를 부착하고 철사를 조절해주면 서서히 나옵니다.
처음 장치를 부착한 이 후 8개월이 흐른 시점이네요. 꽤나 오랫동안 천천히 송곳니를 가지런하게 해줘요.
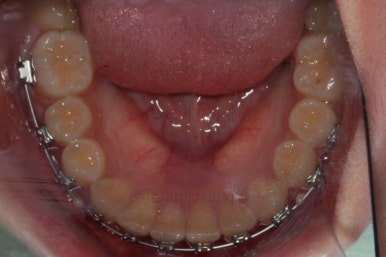
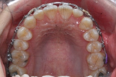
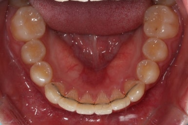
치료 10개월째의 모습입니다.
이정도면 다 끝난 것 같은 느낌이 드시지 않나요? 과개교합도 개선시켰고 매복치아 덧니도 가지런하게 했어요.
근데 문제는 지금부터였어요.
작은 앞니가 왜소치이다 보니 윗니에는 틈이 남아있고 교합도 조금 엉성한 모습이에요.
왜소치의 사이즈가 위아래 교합을 맞춰주는데 방해가 된다고 판단하여 왜소치를 크게 해주기로 결정했습니다.
우선 현재 상태에서는 사이즈를 크게 하지 못하기 때문에 왜소치 좌우로 틈새를 만들어주기로 했습니다.
왜소치 좌우로 틈을 일부러 만든 상태입니다.
그 후에 임시 개념으로 사이즈를 크게 만들어 줬어요.
사이즈를 크게 한 뒤에도 약간의 틈이 남아서 다시 틈을 줄여주는 과정을 진행했어요.
아무래도 치아 크기의 문제가 있다보니 완벽한 교합을 맞추기는 힘들었짐나 가능한 마무리를 더 해보기로 했어요.
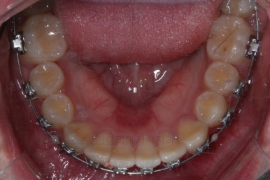
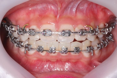
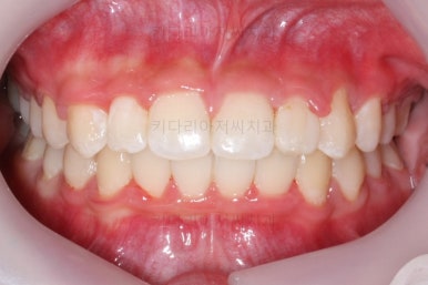
마무리 때의 모습입니다.
임시 개념으로 치아 사이즈를 키운건데 환자분은 만족하시나봐요.
보통 올세라믹, 라미네이트 등 보철치료는 성인이 되어서 해야해서 이래나 저래나 이정도에서 만족하기로 했습니다.
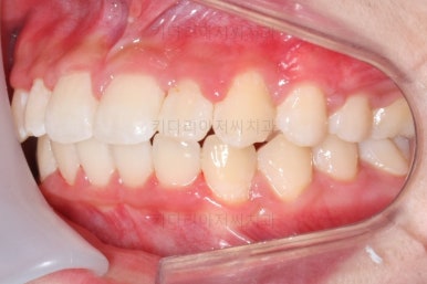
치아는 매우 가지런해졌고 뾰족하던 앞니의 형태도 좋아졌어요.
매복되어 있던 송곳니도 잘 나왔고 과개교합도 물론 개선이 되었습니다.
얼굴모습은 크게 바뀌진 않았어요.
대신 웃거나 말하는 모습에서 드러나는 치열은 매우 예뻐졌어요.
부산교정치과 키다리아저씨치과에서 치료한 이번 치료의 전후사진을 비교해 볼게요.
왼쪽이 치료 전, 오른쪽이 치료 후 모습입니다.
매우 복잡한 문제들을 복합적으로 가지고 있었던 경우였지만 만족할만한 결과를 얻을 수 있었어요.
이상 부산교정치과 키다리아저씨치과에서 치료한 왜소치, 과개교합, 매복치아 교정치료 사례였습니다.
키다리아저씨치과에 오시는 길은 연산역 17번출구 바로 앞 건물 5, 6층입니다.
치과교정과 전문의(부산대 외래교수)와 치과보철과/통합치의학과 전문의(부산대 외래교수) 2명이 상주하며 교정치료와 일반치과치료를 협진하여 진료합니다.
<위 사진은 환자분의 동의를 구한 후 공개하는 사진자료입니다. 사진은 과장이나 조작이 없는 원본사진입니다. 교정치료로 인한 부작용으로는 치근흡수, 충치, 치아변색, 실활 등이 있을 수 있으며, 치료 전후 사진은 의료법 제 23조, 제 56조에 의거하여 게재합니다. 개인의 상태에 따라 치료결과는 달라질 수 있으므로, 교정전문의와 상의를 요합니다.>






























































































































댓글