부산교정치과 키다리아저씨치과에서 시행한 비발치 뻐드렁니, 개방교합, 미세돌출입 치료사례
- 키다리아저씨치과

- 2025년 10월 1일
- 3분 분량
키다리아저씨치과는 치과교정과 전문의(부산대 외래교수)와 통합치의학과 전문의 원장님이 상주하며 협진하는 치과입니다. 부분교정에서부터 난이도 높은 교정진료는 교정과 원장님이 진료를 하며, 임플란트, 사랑니발치, 충치치료, 틀니 등 일반진료는 통합치의학과 전문의 원장님이 진료합니다.
교정과 일반진료의 협진으로 자기치아를 최대한 아끼고 오래 쓰는 방법을 고심하며 수준 높은 진료를 제공합니다.
안녕하세요.
오늘 부산교정치과 키다리아저씨치과에서 소개해 드릴 환자분은 앞니가 뻐드러져서 돌출이 있으셨고 앞니가 다물어지지 않는 개방교합이 있으셨던 분입니다.
나이 : 31세
총 치료기간 : 1년 8개월(총 20개월)
사용한 장치 : 자가결찰 세라믹(엠파워 클리어, Empower clear) + 미니스크류
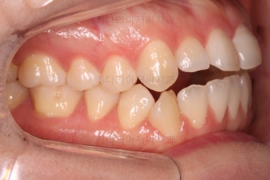
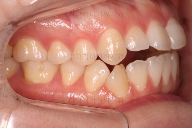
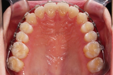
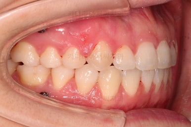
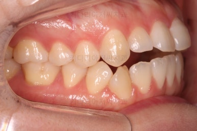
초진 시 입안의 모습입니다.
입을 다물었는데도 앞니가 떠있는 이른바 "개방교합"인 상태였어요.
벌어져 있는 개방교합 부분으로 혀가 자꾸 나오면서 그 정도가 점점 심해지는 악순환의 상황이었어요.
그리고 전반적으로 앞니도 뻗쳐 있어 뻐드렁니 모습이었어요.
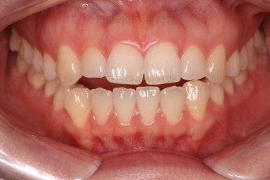
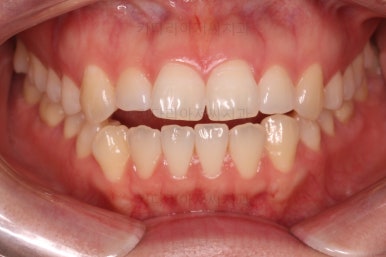
마찬가지로 초진 시 얼굴 모습입니다.
뻐드렁니로 인해서 입술의 돌출감이 느껴지고요.
개방교합으로 인해서 웃거나 말할 때 드러나는 치열의 모습도 심미적으로 좋지 못한 상황이었어요.
발치 vs 비발치
발치교정을 하는 이유는 공간확보인데요. 공간확보는 왜 하느냐? 입이 많이 나왔거나 많이 삐뚤거나 많이 뻐드진 경우에 하게 돼요.
어쨌든 이번 환자분도 입을 넣어야 하는 상황이었기 때문에 당연히 발치교정도 고려를 했는데요.

환자분의 X-ray 사진입니다.
결론적으로 말씀을 드리자면 비발치교정으로 치료계획을 잡았는데요.
환자분이 비발치를 원한다.
사랑니를 빼 내고도 공간을 어느 정도 마련할 수 있다.
발치(더 많이 들어감) vs 비발치(덜 들어감) 시뮬레이션에서 비발치쪽을 선호하셨다.
기타 등등 혀, 호흡기 등의 상황을 종합적으로 판단
화살표 표시된 사랑니를 뽑아내고 전체 치열을 통째로 뒤로 이동시키로 했답니다.
물론 죽안에 위치한 작은 어금니를 뽑는 것 보다는 덜 들어갈 수 있긴 하지만 충분히 만족도를 만들어낼 수 있을 것이라는 판단이 있었어요.
부산교정치과 키다리아저씨치과는 일반진료가 가능하여 사랑니 발치가 가능합니다.
매우 위험성이 큰 사랑니는 대학병원으로 의뢰를 드리기도 합니다.
이번 환자분이 선택하신 장치는 엠파워 클리어라고 하는 자가결찰 세라믹 장치에요.
흔히들 클리피씨라고 많이 알고 계신 종류의 브라켓인데요. 큰 틀에서 자가결찰 세라믹의 장치의 한 종류이고요. 제조사가 일본이냐(클리피) 미국이냐(엠파워)의 차이가 있습니다.
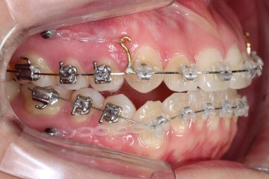
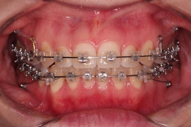
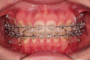
장치를 부착한 모습입니다.
세라믹 장치라 비교적 심미적이고 옆모습은 처음보다는 약간 튀어나온 양상이긴 합니다.
장치 부착 후 튀어나오는 정도는 사람마다 매우 차이가 커요.
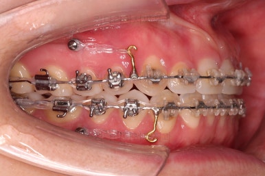
적절한 시기에 사랑니를 발치하고요.
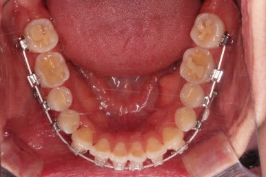
뒤로 당기기 위한 미니스크류도 식립합니다.
가지런하게 하면서 전 치열을 후방이동 해 나갑니다.
계속 당겨줍니다.
언제까지요? 만족하실 때 까지요 ㅎㅎ
얼굴모습에 대한 중간평가를 해줘요.
비발치 교정의 장점
입매를 중간중간 평가해주어 만족하는 시점에서 Stop 할 수 있어요.
최근 입이 너무 들어갔다고 거꾸로 역방향으로 교정해주세요 하고 부산교정치과 찾아오시는 분들이 상당히 많으신데요. 말그대로 역교정, 재교정이죠.
혹은 해당 치과에서 마무리를 하지 않고 치과를 옮겨 마무리를 하고 싶어하시는 분들도 참 많아요.
이에 비해 비발치교정은 원하시는 시점부터 입을 더 안넣을 수 있다는 장점이 있답니다.
총 치료기간이 짧다는 장점도 있는데 이는 발치교정보다 목표치가 낮기 때문인 점이 크긴해요. 어떤 경우는 비발치로 시작하셔놓고 욕심을 내셔서 발치교정한 만큼 입을 넣어주세요 하는 경우도 있는데요.
그러면 오히려 발치교정 보다 훨씬 기간이 많이 걸리기도 한답니다.
어쨌든 이번 환자분은 중간평가 시점보다는 입매를 좀 더 넣고자 하셨기 때문에 치료를 더 진행하기로 했어요.
계속 뒤로 당겨주면서 앞니 각도라던지 교합 등등 디테일한 부분도 맞춰 나갑니다.
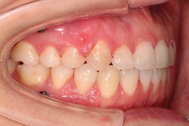
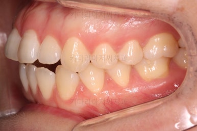
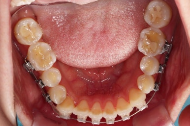
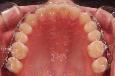
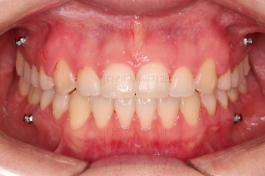
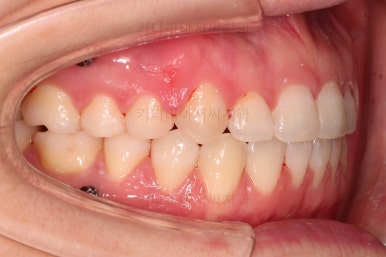
치료 종료시의 모습입니다.
뻐드러진 느낌이 개선되었고 개방교합도 개선되었으며 전반적인 교합도 좋게 마무리를 했어요.
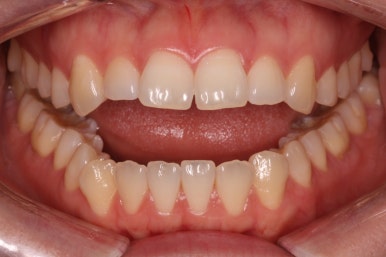
전후사진을 비교해 볼게요.
치열도 개선이 되고 개방교합이 개선되고, 뻐드렁니가 좋아짐에 따라 웃거나 말할 때의 치열의 느낌도 참 좋아졌네요.
치열이 후방이동 되면서 입매도 자연스럽게 개선이 되었어요.
총 20개월 치료기간이 걸렸고 만족스러운 결과였습니다.
이상 사랑니 발치 및 미니스크류를 이용해서 비발치로 뻐드렁니, 개방교합, 미세돌출을 개선한 부산교정치과 치료사례였습니다.
키다리아저씨치과에 오시는 길은 연제구 연산동 연산역 17번출구 바로 앞 건물 5, 6층입니다.
치과교정과 전문의(부산대 외래교수)와 통합치의학과 전문의(서울대학교 졸업) 2명이 상주하며 교정치료와 일반치과치료를 협진하여 진료합니다.
<위 사진은 환자분의 동의를 구한 후 공개하는 사진자료입니다. 사진은 과장이나 조작이 없는 원본사진입니다. 교정치료로 인한 부작용으로는 치근흡수, 충치, 치아변색, 실활 등이 있을 수 있으며, 치료 전후 사진은 의료법 제 23조, 제 56조에 의거하여 게재합니다. 개인의 상태에 따라 치료결과는 달라질 수 있으므로, 교정전문의와 상의를 요합니다.>



































































































































댓글