부산교정치과추천 키다리아저씨치과의 결손치아 교정 및 보철치료 치료사례
- 키다리아저씨치과

- 4일 전
- 3분 분량

"미니스크류를 이용한 투명교정장치에 관한 논문"으로 2023년도 Angle orthodontist(미국의 교정학회지) SCI 저널에 제 1저자로 게재되었습니다.
항상 공부하고 노력하는 키다리아저씨치과가 되겠습니다.
안녕하세요.
오늘 부산교정치과추천 키다리아저씨치과에서 소개해 드릴 환자분은 아래 앞니 2개 결손이었던 환자분으로 교정치료와 보철치료를 동반하였던 분입니다.
나이 : 24세
총 치료기간 : 2년 5개월(총 29개월, 보철 완료까지)
사용한 장치 : 자가결찰 세라믹(데이몬 클리어, Damon clear)
초진 시, 얼굴 모습입니다.
입을 다물었을 때는 편안한 느낌, 옆라인 등 나무랄데가 없는데요.
웃거나 말할 때 앞니가 결손이어서 비어 보이는 양상이 아무래도 심미성을 떨어뜨리고 있었습니다.
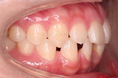
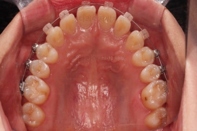
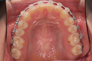
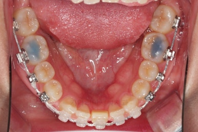
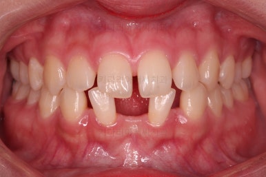
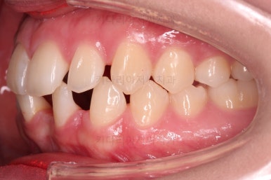
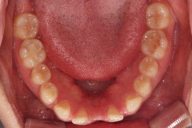
초진 시 입안의 모습입니다.
아래 앞니가 2개 없는 상황이었고요.
치아가 모자란 아래 앞니 부분 뿐만 아니라 윗니도 틈이 군데군데 벌어져 있는 상황이었습니다.
공간폐쇄? 임플란트? 브릿지? 2개? 1개?
치료계획은 매우 다양하게 나와질 수 있는데요.
윗니는 틈새가 있어서 심플하게 모아주면 되고요.
아랫니는 치아 갯수가 모자란 만큼 가짜치아(보철, 임플란트든 브릿지든)를 만들어주기로 했습니다.
경우에 따라서는 위아래 모든 틈을 다 없애버리는 방법도 있고, 심지어 윗니를 추가적으로 발치하여 모든 공간을 없애는 방법도 있지만 이번 환자분의 교합, 치아 크기 및 얼굴 모습 등 전반적인 상황을 고려했을 때 아래 앞니의 보철은 필요한 상황이었습니다.
남은 것은 치아를 1개만 더 만들지, 2개만 더 만들지인데요.
정밀한 검사를 통해서 결론은 1개만 치아를 해넣기로 했습니다.
대신 윗니는 앞니가 4개인데 아래는 3개이므로 중앙이 선과 치아로 만나는 약간은 어색한 모습이 될 수 있다는 점을 충분히 안내드리고 치료를 시작했습니다.
대신 임플란트 혹은 브릿지 보철의 갯수를 1개 줄일 수 있다는 매우 큰 장점이 생긴 치료인거죠.
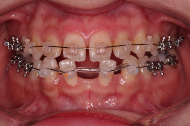
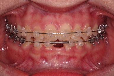
장치를 부착했습니다.
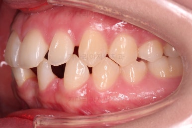
모든 공간을 모으고, 아래 앞니 결손부위 빈공간은 치아 1개 크기만 남기고 모아주기로 했습니다.
이번 환자분이 선택한 장치는 데이몬 클리어라고 하는 현존하는 브라켓 장치 중 가장 심미적인 장치인데요.
메인 바디 부분 뿐만 아니라 철사를 잡아주는 클립도 세라믹으로 되어있어 가장 심미적입니다.
대신 부피는 그만큼 약간 더 커진다는 단점이 있긴 합니다.
장치 부착 직후의 장치 느낌과 입매가 달라지는지 여부 참고해 주시고요.
서서히 틈을 줄여나갑니다.
혀
치아의 위치는 안에서는 혀, 바깥에서는 입술의 힘이 매우 중요한데요.
이번 환자분처럼 애초에 치아 갯수가 모자란 틈이 있는 경우, 그 틈을 메워주기 위해 혀가 앞으로 비집고 나옵니다.
이 힘이 주위 치아들도 밀어내어 연쇄적으로 다른 부위에서도 틈새를 만드는데요.
이번 환자분도 단순히 틈만 모아주는 것이 아니라 장기적인 재발을 막기 위해 혀를 연습을 해주게 됩니다.
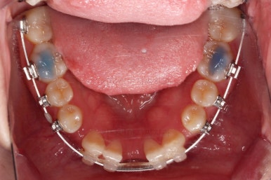
서서히 틈이 닫히고 있죠.
아래 앞니도 1개 사이즈만 남기고 열심히 틈을 모아나갑니다.
이제 보철을 할 수 있는 환경이 가시권 내에 들어옴에 따라 임의로 치아 사이즈를 확인할 수 있는 임시치아/가짜치아를 매달아서 여러 가지를 테스트하게 됩니다.
애초에 양호했던 얼굴모습도 주기적으로 확인해 주고요.
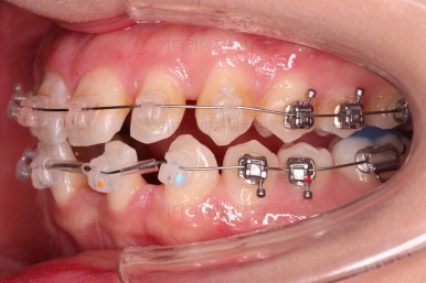
혀가 연습이 잘 안되어 특정 공간이 잘 모아지지 않아 치료기간이 중반 이후 약간 길어진 편인데요.
이럴수록 장기적인 안정성을 위해서 천천히 여러 가지를 확인하며 조심스럽게 공간을 닫아 나갑니다.
이 정도에서 여러 가지 보철에 대한 상담을 나누게 되는데요.
임플란트 vs 브릿지
브릿지는 양옆의 치아를 깎아서 어깨동무 하듯이 가짜치아를 공중에 매다는 방식이고요.
임플란트는 결손 공간에 단독으로 인공치아 뿌리를 식립하고 치아 머리 형태까지 올리는 방식입니다.
처음에는 임플란트를 염두에 두고 진행하였으나, 뼈의 상태 및 폭, 수술 시의 난이도 및 심미성 등 여러 가지를 판단하여 브릿지 치료를 하기로 했습니다.
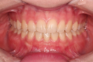
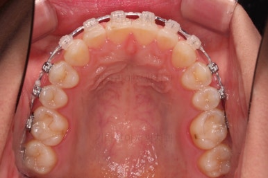
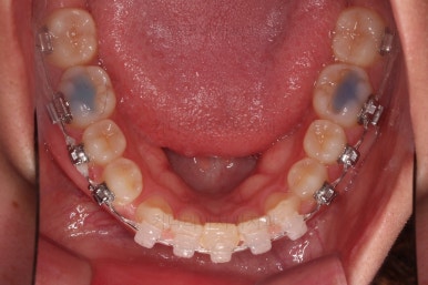
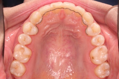
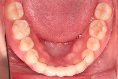
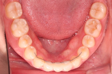
적절한 브릿지 치료까지 마무리를 하고, 틈이 다시 벌어지는지 등 안정성을 충분히 확인한 뒤, 부산교정치과추천 치료를 종료합니다.
앞니가 예쁘게 만들어졌고요.
윗니는 4개, 아랫니는 3개이다 보니 중앙이 선과선으로 만나지 않는 부분이 있지만 어금니 교합부터 앞니 맞물림까지(+보철 갯수를 줄이는 긍정적인 상황까지) 고려한다면 가장 합리적인 치료계획이었다고 생각합니다.
이제 부산교정치과추천 전후 비교해 볼게요.
입매는 거의 변화없이 오히려 약간 더 예뻐진 곡선으로 마무리를 했고요.
특히나 웃을 때 비어 보이던 공간이 교정+보철치료로 예쁘게 마무리 되었스빈다.
이상 아래 앞니가 2개 결손인 상황에서 교정치료와 보철치료를 병행하여 치료를 마무리한 부산교정치과추천 치료사례였습니다.
부산 연산동 교정치과 키다리아저씨치과에 오시는 길은 연제구 연산동 연산역 17번출구 바로 앞 건물 6층입니다.
치과교정과 전문의(부산대 외래교수)가 상주하며 교정치료 합니다.
<위 사진은 환자분의 동의를 구한 후 공개하는 사진자료입니다. 사진은 과장이나 조작이 없는 원본사진입니다. 교정치료로 인한 부작용으로는 치근흡수, 충치, 치아변색, 실활 등이 있을 수 있으며, 치료 전후 사진은 의료법 제 23조, 제 56조에 의거하여 게재합니다. 개인의 상태에 따라 치료결과는 달라질 수 있으므로, 교정전문의와 상의를 요합니다.>







































































































































댓글