부산교정전문의 키다리아저씨치과의 인비절라인 투명교정 장치를 이용한 덧니 + 돌출입 교정 치료사례
- 키다리아저씨치과

- 2025년 12월 2일
- 2분 분량

안녕하세요.
오늘 부산교정전문의 키다리아저씨치과에서 소개해 드릴 환자분은 덧니와 돌출입으로 교정치료를 원하셨던 분이며 인비절라인(투명교정 장치)으로 치료를 하신 분입니다.
나이 : 23세
총 치료기간 : 1년 8개월(총 20개월)
사용한 장치 : 인비절라인(Invisalign,투명교정 장치)
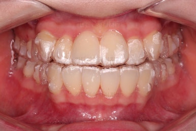
초진 시, 얼굴 모습입니다.
입을 힘들게 다무는 편은 아니었지만 약간의 돌출감이 있었고요.
환자분은 입이 튀어나왔다는 느낌보다 치아가 튀어나오고 뻗쳐있는 느낌을 더 개선하길 원하셨어요.
그리고 덧니가 있고 이가 삐뚤어서 웃을 때 미적으로 좋지 못했어요.
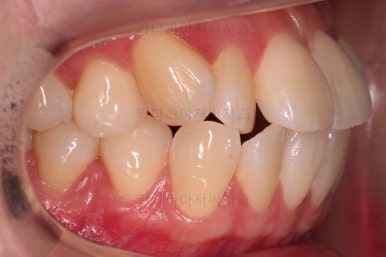
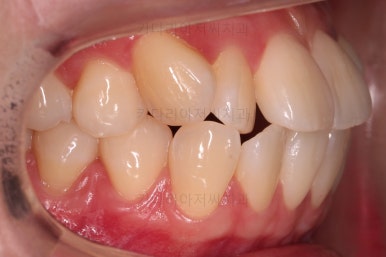
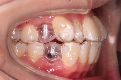
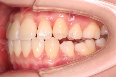
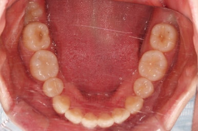
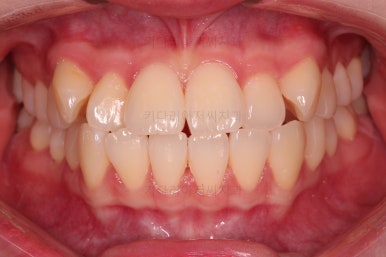
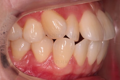
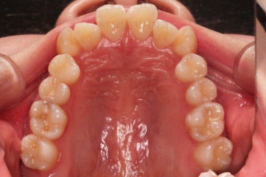
마찬가지로 초진 시 입안의 모습인데요.
전반적으로 약간 삐뚤지만 특히 윗니 앞니가 삐뚤고요.
송곳니는 덧니처럼 튀어나와 보이네요.
그리고 전반적으로 치아가 앞쪽으로 경사되어 있어서 앞니는 뻗친 느낌이 있네요.
가지런하게 하면서 앞니를 뒤로 당겨줘야 여러 가지 문제점들이 개선되기 때문에 발치교정을 했어요.
인비절라인
환자분은 투명교정 장치를 원했기 때문에 인비절라인으로 진행을 하기로 했어요.
인비절라인은 교정과 의사와 미국 인비절라인사와 의사소통을 기반으로 장치를 제작하게 되는데요.
1주 혹은 2주에 1개씩 쓰는 장치가 보통 수십단계로 구성이 되어서 배송되게 됩니다.
처음 -> 치료 종료까지의 모습을 세분화해서 아주 약한 힘이지만 효율적으로 치아 움직임을 계산합니다.
계획과 제작, 배송까지 5주 가량의 기간이 걸리기 때문에 배송 전에 필요한 작업들을 해줍니다.
발치 혹은 미니스크류 등
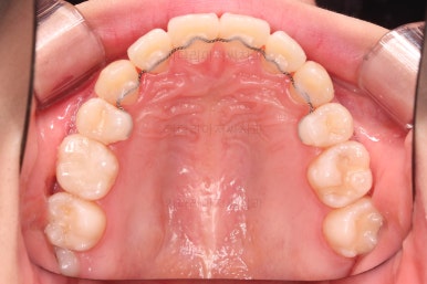
인비절라인을 착용한 모습인데요.
필요한 치아는 발치가 되어 있고요.
눈에는 잘 띄지 않지만 치아 색깔나는 재료로 어태치먼트라고 하는 부착물도 부착되어 있어요. 장치를 잘 잡아주는 손잡이와 같은 역할을 해줍니다.
어금니쪽을 잘 보시면 별표? 혹은 꽃모양 무늬가 그려진게 보이실텐데요.
이 그림이 있는게 인비절라인 정품입니다.
국내외 유사 투명교정 장치가 많이 나오고 있지만 아직은 기술력에서 인비절라인이 가장 앞서 있어서 저희 부산교정전문의 키다리아저씨치과에서는 투명교정은 인비절라인으로 현재 진행하고 있습니다.
장치 장착 후 얼굴모습 참고해 주세요.
치아만 있을 때랑은 약간의 이질감이 느껴지긴 하지만, 브라켓-철사교정만 하겠습니까 ^^
발치 공간이 서서히 모이며, 치아도 가지런해지고 있고 앞니 뻗침도 점점 잡히고 있어요.
계획 단계를 모두 사용했어요.
발치 공간이 잘 모인 것 같고, 치아도 가지런해진 것 같지만 치아 맞물림이 좋지 못하고 앞니 사이 틈새가 조금씩 있는 상황이었어요.
추가 치료
인비절라인은 최초 제작 이 후 5년 안에는 장치를 무제한 만들어주기 때문에 원하는 부분이 있다면 수정해서 거듭 제작할 수 있습니다.
그래서 보통은 첫 번째 계획 단계에서 완벽히 끝나는 경우는 거의 없다고 보시면 되겠고요.
3번 안밖의 치료를 거치면 최종적으로 치료가 종료된다고 보시면 되겠어요.
굳이 단점이라면 치료계획 사이에 5주 가량의 장치 배송 기간이 필요하므로 약간 지체되는 느낌이 있을 수 있어요.
이번 환자분은 긴밀하지 못한 교합과 느슨한 치아 사이 컨택을 개선하기 위해서 두 번째 치료계획에 들어갔어요.
얼굴 모습 체크해 주고요.
이 뽑은 자리는 업성졌기 때문에 환자분께 추가적으로 입을 더 넣고 싶으신지 여쭤보고 필요하면 미니스크류를 이용하기로 했어요.
하지만 이 정도 입매에서 만족하셨고, 입매를 조절하기 보다는 교합으 안정시키는데 목표를 두기로 했답니다.
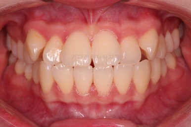
두 번째 치료계획 말미에 약간의 보조적 장치를 활용했었고, 마무리를 하게 되었어요.
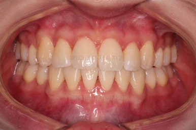
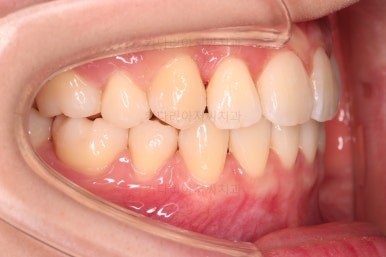
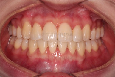
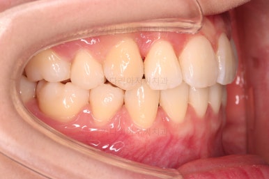
교합이 안정되었고, 치열도 가지런해졌으며 앞니 각도나 덧니 부분도 상당히 좋아졌어요.
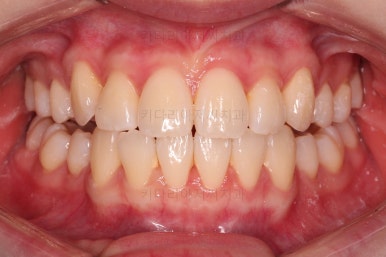
부산교정전문의 전후 사진을 비교해 볼게요.
발치교정치고는 비교적 짧은 기간인 20개월만에 치열, 교합, 뻗친 느낌, 원하는 만큼의 입매 등 많은 점이 잘 개선된 치료였습니다.
이상 덧니, 돌출입을 가진 환자분의 인비절라인 치료사례였습니다.
키다리아저씨치과에 오시는 길은 연제구 연산동 연산역 17번출구 바로 앞 건물 5, 6층입니다.
치과교정과 전문의(부산대 외래교수)가 상주하며 교정치료 합니다.
<위 사진은 환자분의 동의를 구한 후 공개하는 사진자료입니다. 사진은 과장이나 조작이 없는 원본사진입니다. 교정치료로 인한 부작용으로는 치근흡수, 충치, 치아변색, 실활 등이 있을 수 있으며, 치료 전후 사진은 의료법 제 23조, 제 56조에 의거하여 게재합니다. 개인의 상태에 따라 치료결과는 달라질 수 있으므로, 교정전문의와 상의를 요합니다.>























































































































댓글