부산교정전문의 키다리아저씨치과의 덧니 발치 교정치료
- 키다리아저씨치과

- 2025년 3월 11일
- 2분 분량
안녕하세요.
오늘 부산교정전문의 키다리아저씨치과에서 소개해 드릴 환자분은 덧니를 가지런하게 하고 싶어서 내원하신 분으로 작은 어금니 발치를 통해 덧니를 치료한 교정치료 사례입니다.
나이 : 15세
총 교정기간 : 2년(총 24개월)
사용한 장치 : 메탈장치
부산교정전문의 키다리아저씨치과에 처음 오셨을 때 당시의 얼굴 모습입니다.
웃을 때 송곳니 부위의 덧니가 두드러져 보입니다. 입을 다물었을 때에도 덧니 때문에 부자연스럽게 다물어지고 입술이 볼록한 느낌을 줍니다.
옆모습에서도 돌출감이 심하진 않으나 입술 부위가 볼록한 느낌을 줍니다.
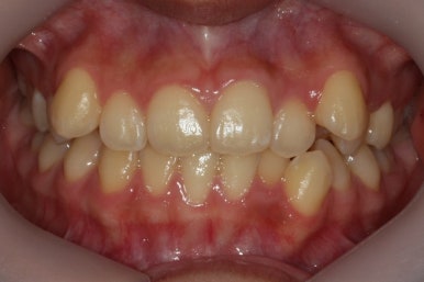
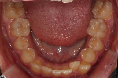
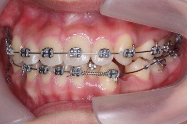
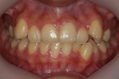
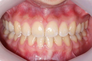
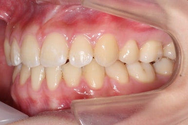
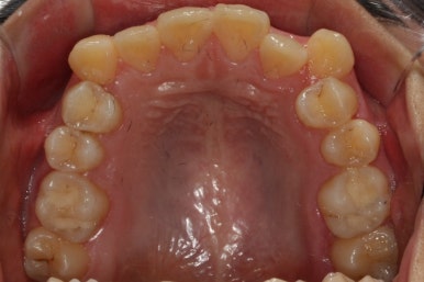
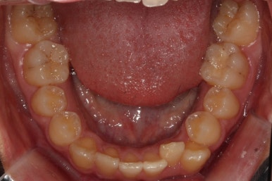
부산교정전문의 키다리아저씨치과에 처음 내원하셨을 때 당시의 입안 모습입니다.
윗니 뿐만 아니라 아랫니 부위에도 덧니가 관찰됩니다. 다른 앞니, 어금니 부위도 약간 삐뚤한 부분이 보입니다.
이 환자분은 발치교정으로 덧니를 개선하기로 하였습니다.
덧니를 뽑는 것이 아니라, 송곳니 뒤쪽의 작은 어금니를 뽑게 됩니다.
송곳니는 크고 튼튼하고 매우 중요한 치아이므로 함부로 뽑으면 안됩니다. 대신 송곳니 뒤쪽의 한 쌍의 작은 어금니 중 하나를 택하여 뽑게 되고, 일반적으로 위아래좌우 총 4개의 치아를 균형있게 뽑게 됩니다.
발치교정을 하는 경우는,
1. 많이 삐뚤삐뚤 할 때
2. 돌출입이 심할 때
3. 돌출 + 삐뚤함이 같이 있을 때
등드으이 경우가 있고, 이번의 경우는 3. 약간의 돌출도 있고 덧니도 있었던 경우라 발치치료를 택했습니다.
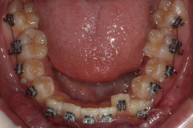
장치를 부착하였습니다.
부산교정전문의 키다리아저씨치과에서 이번에 사용한 장치는 메탈장치이며, 가장 기본적이고 역사가 오래된 장치가 되겠습니다.
발치교정이라고 하더라도 처음부터 바로 이를 뽑을 때도 있고, 몇 달 후에 뽑을 때도 있습니다.
뽑힐 치아라 하더라도 다른 치아를 가지런히하는데 최대한 이용해주고, 교정장치를 붙이고 좀 움직인 상태에서 발치를 하게되면 통증이나 불편감 없이 굉장히 수월하게 발치를 할 수 있기 때문입니다.
우선 위쪽 작은 어금니 부터 발치하였습니다.
송곳니 바로 뒤쪽의 작은 어금니를 뽑은 것을 보실 수 있겠습니다.
이제는 아래쪽 작은 어금니도 뽑았습니다.
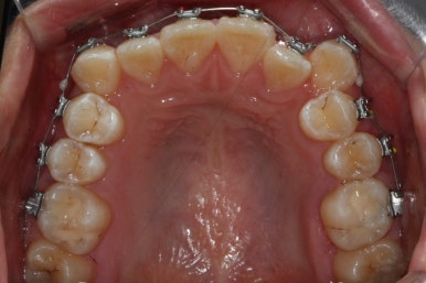
교정치료를 시작한지 3개월 밖에 지나지 않았을 시점인데도 벌써 덧니가 많이 가지런해졌습니다. 치아는 자리만 확보되면 쉽게 가지런해질 수 있습니다.
가지런해지지 않았던 아래 앞니 하나도 금새 가지런해졌습니다.
이제 가지런하게 하는 작업은 거의 종료되었고, 향후의 과정은 남은 이 뽑은 자리를 당겨주어 틈을 없애주면서도 입도 뒤로 좀 넣어주는 것이 되겠습니다.
위아래 아주 단단한 철사로 지탱해주면서 (앞니쪽에 고리가 달린 철사) 앞-뒤 치아를 서로 당겨주면서 이 뽑은 자리를 서서히 없애줍니다.
틈새를 모으는 작업을 반복적으로 행해주면 얼핏 봐서는 이뽑은 줄 모르게 치아가 서로 붙어있는 상황이 됩니다.
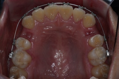
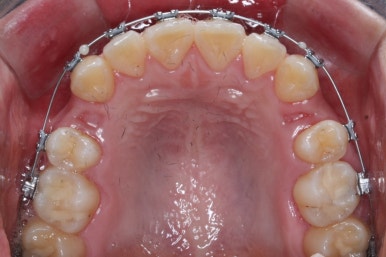
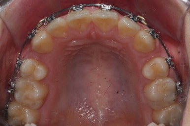
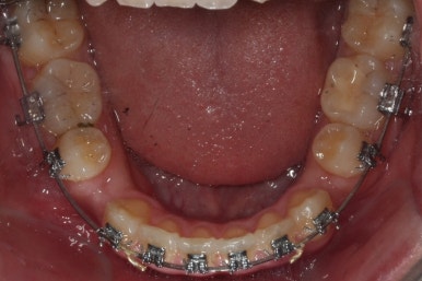
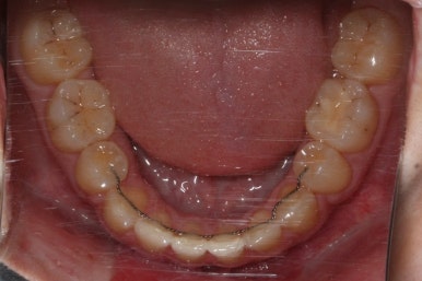
이제 이 뽑은 자리는 충분히 다 닫혔고, 틈새가 다시 벌어지지 않는지를 몇 개월에 걸쳐 확인한 뒤 그동안 디테일한 마무리 과정을 해주게 됩니다.
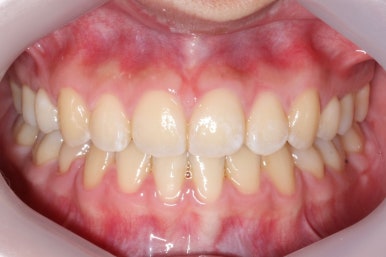
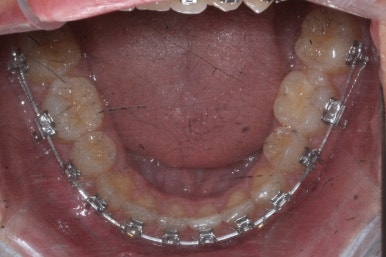
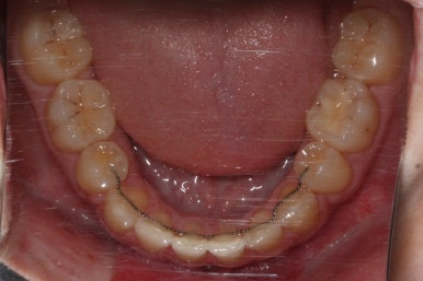
이제 치료가 끝났습니다.
매우 치아가 가지런해졌고, 당연히 덧니는 해소가 되었으며 맞물림도 굉장히 좋아졌습니다.
다른 분드로가의 차이점은 치료 종료 후 유지장치를 할 때 앞니만 하는 것이 아니라 발치한 자리가 다시 벌어지지 말라고 약간 연장해서 유지장치를 부착해 주게 됩니다.
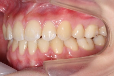
전후과정을 비교해 보겠습니다.
치아가 매우 가지런해졌고, 덧니도 개선이 되었습니다.
맞물림도 굉장히 좋아졌네요.
부산교정전문의 키다리아저씨치과에서 치료한 이번 환자분의 전후 얼굴모습 입니다.
덧니가 개선되면서 웃는 모습이 굉장히 예뻐지고 자신감 있어졌습니다.
입술 다물기도 편해졌고, 앞니가 뒤로 약간 들어갔기 때문에 약간의 돌출감도 개선되었스빈다. 전반적으로 얼굴모습이 굉장히 좋아졌습니다.
이상 부산교정전문의 키다리아저씨치과에서 발치를 통해 덧니와 돌출입을 개선한 치료사례였습니다.
키다리아저씨치과에 오시는 길은 연산역 17번출구 바로 앞 건물 5, 6층입니다.
치과교정과 전문의(부산대 외래교수)와 치과보철과/통합치의학과 전문의(부산대 외래교수) 2명이 상주하며 교정치료와 일반치과치료를 협진하여 진료합니다.
<위 사진은 환자분의 동의를 구한 후 공개하는 사진자료입니다. 사진은 과장이나 조작이 없는 원본사진입니다. 교정치료로 인한 부작용으로는 치근흡수, 충치, 치아변색, 실활 등이 있을 수 있으며, 치료 전후 사진은 의료법 제 23조, 제 56조에 의거하여 게재합니다. 개인의 상태에 따라 치료결과는 달라질 수 있으므로, 교정전문의와 상의를 요합니다.>



























































































































댓글