부산교정전문의 키다리아저씨치과에서 시행한 청소년 비발치 교정 치료사례
- 키다리아저씨치과

- 2월 20일
- 2분 분량
"미니스크류를 이용한 투명교정장치에 관한 논문"으로 2023년도 Angle orthodontist(미국의 교정학회지) SCI 저널에 제 1저자로 게재되었습니다.
"2023년 대한치과 교정학회에서 표창장을 수여하였습니다."
"2023년 세계 구순구개열 학회에서 포스터 발표를 하였습니다."
항상 공부하고 노력하는 키다리아저씨치과가 되겠습니다.
안녕하세요.
오늘 부산교정전문의 키다리아저씨치과에서 소개해 드릴 환자분은 앞니가 삐뚤고 약간의 부정교합이 있어서 교정치료를 하고 싶어하셨던 청소년 환자분입니다.
나이 : 14세
총 치료기간 : 1년 5개월(총 17개월)
사용한 장치 : 자가결찰 세라믹(엠파워 클리어, Empower clear)
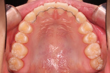
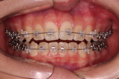
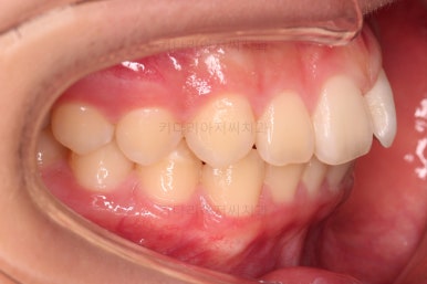
1. 초진
초진 시 입안의 모습입니다.
위아래 앞니가 약간 삐뚤고요.
아랫니에 비해 윗니가 더 튀어나와 있는 약간의 부정교합이 있는 상태였습니다.
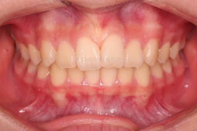
마찬가지로 초진 시 얼굴 모습입니다.
웃을 때 치열이 미적으로 좋지 못하고요.
아랫니에 비해 윗니가 많이 나와있다 보니 아랫니는 그림자져 보이고 윗니가 강조되어 보이죠.
입을 다문 모습에서는 특별한 돌출감이나 불편감은 느껴지지 않습니다.
2. 치료계획
비발치 교정.
이번 환자분은 당연히 비발치 교정입니다.
치열을 가지런하게 한 후에 부정교합 개선 목적으로 스스로 빼고 끼는 고무줄을 추천드렸고요.
단, 고무줄 협조도가 부족할 경우 미니스크류를 할 수 있다는 전제를 달아두었습니다.
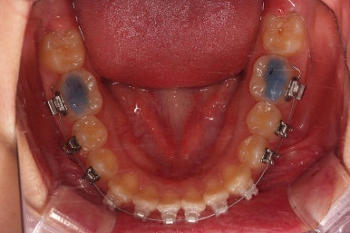
3. 치료경과
장치를 부착한 모습입니다.
이번 환자분이 선택한 장치는 엠파워 클리어라고 하는 자가결찰 세라믹 장치인데요.
철사를 묶는 캡(결찰)이 브라켓에 달려 있어 스스로(자가) 철사를 잡을 수 있는 장치 중에 세라믹 성분으로 된 브라켓이라는 뜻입니다.
대표적으로는 클리피씨가 있고요.
클리피는 일본회사, 엠파워는 미국회사 제품이라고 보시면 되고 거의 차이가 없는 장치라고 보시면 됩니다.
장치 부착 직후의 얼굴 모습입니다.
장치 부피로 인해서 약간 돌출감이 보이는 모습인데요.
장치 때문에 입이 얼마나 나오는지는 사람마다 매우 달라서 정작 붙여봐야 아는 경우가 많습니다.
웃을 때 보이는 브라켓 느낌 참고해 주시고요.
많이 심한 부정교합이 아니라서 비교적 빠른 시일 내에 가지런한 느낌이 만들어졌고요.
장치 때문에 입이 나와보이던 느낌도 많이 개선되고 있습니다.
빼고 끼는 고무줄이 100% 잘은 안되어 치료 종료가 약간 길어진 편이긴 하지만 그래도 꾸역꾸역 잘 진행되어서 디테일만 더 조절하고 부산교정전문의에서 마무리를 하기로 했습니다.
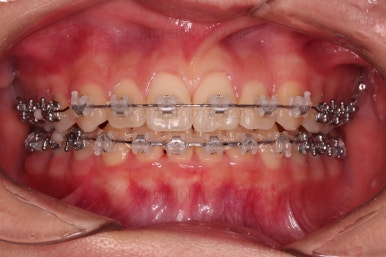
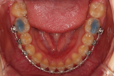
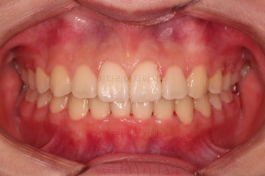
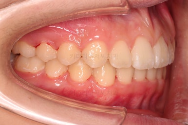
4. 마무리
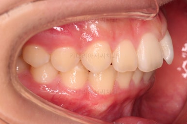
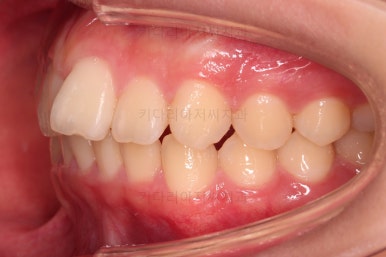
치열 가지런해졌고, 교합도 양호하게 마무리 되었고요.
위아래 앞니도 적절하게 맞물림은 만들었습니다.
부산교정전문의 전후 비교해 보겠습니다.
총 17개월의 기간이 소요되었고요.
입매도 큰 변화 없이 잘 마무리 되었고, 치열의 모습도 상당히 좋아졌습니다.
이상 삐뚤한 앞니와 약간의 부정교합이 있었던 청소년 환자를 부산교정전문의 비발치로 개선한 치료사례였습니다.
부산 연산동 교정치과 키다리아저씨치과에 오시는 길은 연제구 연산동 연산역 17번출구 바로 앞 건물 6층입니다.
치과교정과 전문의(부산대 외래교수)가 상주하며 교정치료 합니다.
<위 사진은 환자분의 동의를 구한 후 공개하는 사진자료입니다. 사진은 과장이나 조작이 없는 원본사진입니다. 교정치료로 인한 부작용으로는 치근흡수, 충치, 치아변색, 실활 등이 있을 수 있으며, 치료 전후 사진은 의료법 제 23조, 제 56조에 의거하여 게재합니다. 개인의 상태에 따라 치료결과는 달라질 수 있으므로, 교정전문의와 상의를 요합니다.>





























































































































댓글