부산개방교합 키다리아저씨치과에서 시행한 고난도 교정(개방교합, 오픈바이트, 앞니 임플란트) 치료사례
- 키다리아저씨치과

- 3월 19일
- 3분 분량
"미니스크류를 이용한 투명교정장치에 관한 논문"으로 2023년도 Angle orthodontist(미국의 교정학회지) SCI 저널에 제 1저자로 게재되었습니다.
"2023년 대한치과 교정학회에서 표창장을 수여하였습니다."
"2023년 세계 구순구개열 학회에서 포스터 발표를 하였습니다."
항상 공부하고 노력하는 키다리아저씨치과가 되겠습니다.
안녕하세요.
오늘 부산개방교합 키다리아저씨치과에서 소개해 드릴 환자분은 앞니가 부러져 임플란트를 해야 하는 환자분으로 개방교합(오픈바이트, open bite)과 돌출입을 함께 개선했던 분입니다.
나이 : 27세
총 치료기간 : 3년(총 36개월, 임플란트 완료까지)
사용한 장치 : 자가결찰 메탈(엠파워 메탈, Empower metal) + 미니스크류
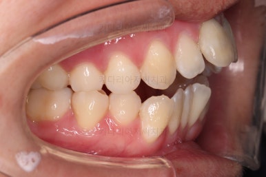
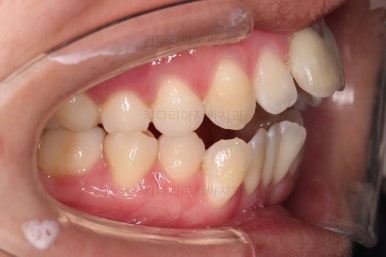
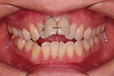
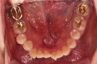
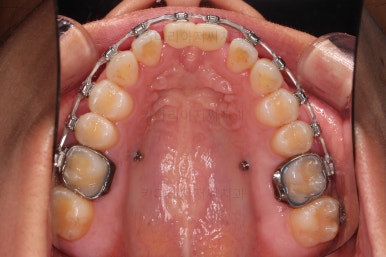
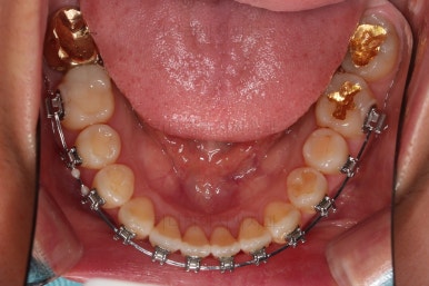
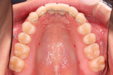
1. 초진
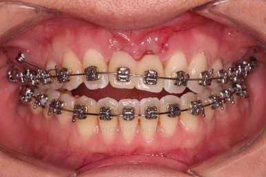
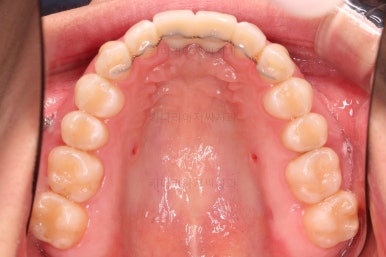
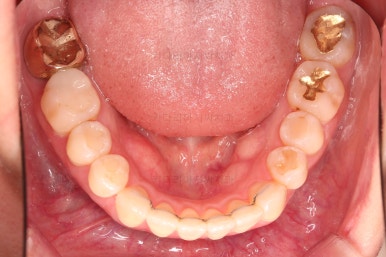
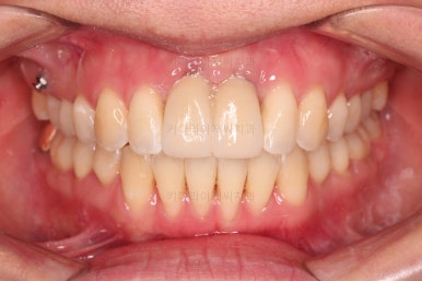
부산개방교합 키다리아저씨치과에 처음 내원 시 입안의 모습입니다.
전반적으로 치열이 삐뚤고요.
앞니쪽이 다물어지지 않는 개방교합(오픈바이트, open bite) 을 보였습니다.
어금니 맞물림을 보면 앵글씨 2급 부정교합 양상이어서 위아랫니가 모두 1대1로 부딪히고 있는 상태였습니다.
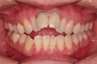
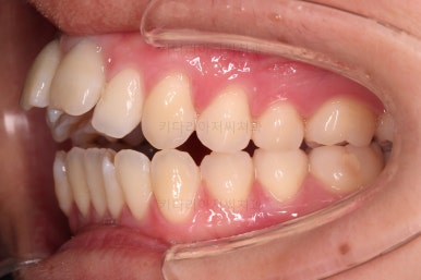
마찬가지로 초진 시 얼굴 모습인데요.
2급 부정교합인 분들의 특징이 앞니가 튀어 나와 있어서 돌출입 양상을 보이는 경우가 많습니다.
개방교합이어서 윗니 앞니가 들려 올라가서 심미적으로 좋지 못한 상황이었고요.
2. 치료계획
이번 환자분은 원래 급하게 교정치료를 하실 생각은 없으셨는데, 교정을 마음 먹으신 이유가 앞니가 부러져서인데요.
위 앞니 2개를 다치는 바람에 둘 다 발치가 필요했던 상황이었습니다.
✅ 발치 후 임플란트 ? vs 교정 후 임플란트?
간단하게 생각하면 치아가 없으면 임플란트를 하면 되는데요.
이번 환자분은 임플란트를 해야 되는 치아의 위치가 매우 안좋았기 때문에 임플란트를 하더라도 현재 모습대로 위쪽에 뻐드러진 채로 삐뚤게 할 수 밖에 없었던거죠.
그래서 치열을 정렬을 하고 임플란트를 하는 것이 가장 좋은 상황이었습니다.
물론 앞니 2개를 발치를 하고, 뒤쪽 치열을 차례차례 앞으로 끌고 와서 앞니처럼 사용하는 것도 대안이지만 현재 작은 앞니의 뿌리 위치, 앞니를 발치하고 난 뒤의 잇몸뼈의 상태에 대한 예상, 치료기간, 어차피 작은 앞니를 끌고와도 보철치료가 필요한 점 등등 임플란트를 하는 편이 합리적이라고 판단했습니다.
✅ 발치 시기는?
뿌리가 부러진 앞니를 바로 발치하지는 않았습니다.
왜냐하면 잇몸뼈는 치아가 없어지는 순간부터 퇴축되기 때문에 교정 기간이 2년 이상 걸릴 경우, 그 동안 많은 잇몸뼈가 퇴축됩니다.
그러면 임플란트 난이도가 매우 올라가고 뼈이식도 많이 필요하죠.
그래서 부산개방교합 치과에서는 발치 시기도 매우 신중히 결정하였습니다.
발치 시점까지는 치아가 흔들려 빠지면 안되기 때문에, 주위 치아들과 적당히 묶어 두기로 했습니다.
✅ 이번 치료의 한계?
앞니의 위치가 매우 높게 있었으므로 약간 아래로 끌고 내려와 잇몸뼈도 아래로 내린 다음에 임플란트를 하면 매우 좋은데요.
아쉽게도 앞니 2개가 모두 뿌리가 부러진 상태였기 때문에 움직일 수가 없어서, 추후에 임플란트도 높게 식립될 수 밖에 없는 상황이었습니다.
이 점 충분히 안내드리고 치료 들어갔습니다.
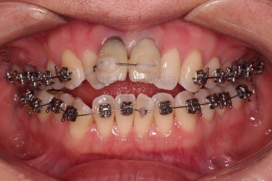
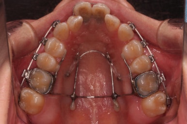
3. 치료과정
개방교합을 닫는 전략은 앞니를 약간 끌어내리고, 어금니를 앞니 위치로 약간 올려서 균형을 맞추는 건데요.
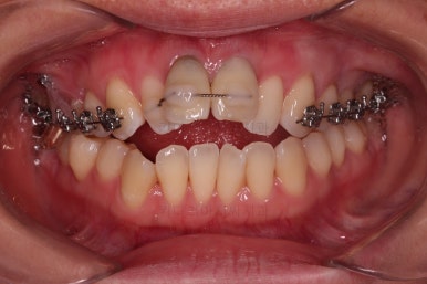
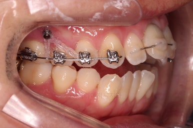
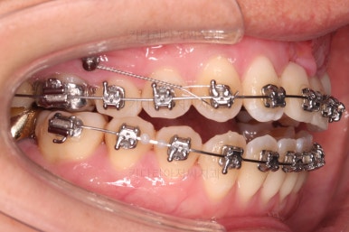
장치 부착은 윗니 어금니부터 했습니다.
미니스크류를 다양하게 활용하여 어금니 높이를 조절합니다.
여전히 앞니는 내버려둔 채로, 윗니는 어금니쪽만 진행하며 아랫니도 장치를 부착했습니다.
난이도가 매우 높은 치료인만큼 미니스크류의 구성과 장치 구성도 매우 복잡했는데요.
윗니 어금니를 뒤로 밀면서 앵글씨 2급 부정교합을 개선해 주고, 높낮이를 조절하면서 개방교합을 개선해 줍니다.
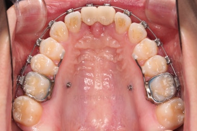
어금니가 어느 정도 배열이 된 후, 앞니를 가지런하게 할 공간이 마련된 시점에는 발치를 하게 됩니ㅏ.
발치 후에 비어 보이면 안되므로 가짜 치아를 매달아 놓게 되는데요.
얼굴 모습을 보면 많이 표시는 나지 않고, 비교적 자연스럽게 오히려 처음보다 나은 모습을 보입니다.
입매도 서서히 들어가고 있고, 돌출 느낌도 많이 개선되고 있네요.
이제는 발치를 했기 때문에 한시가 급합니다.
기간이 길어지면 길어질수록 퇴축하므로 적절한 위치가 잡히면 바로 임플란트를 할 수 있도록 대비를 합니다.
보철 전문의 원장님과 상의하여 가장 적합한 치아 사이즈 및 위치를 정해나가고요.
개방교합도 많이 다물어졌고, 2급 부정교합도 매우 많이 개선되었네요.
임플란트 가능 시점이 점점 다가오는데요.
임플란트를 한 번 하게되면 많은 치아 움직임은 없어야 되기 때문에, 앞니의 높이, 입매, 교합 등등 모든 점에서 평가가 진행됩니다.
얼굴모습에서의 평가도 이루어지고요.
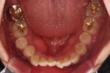
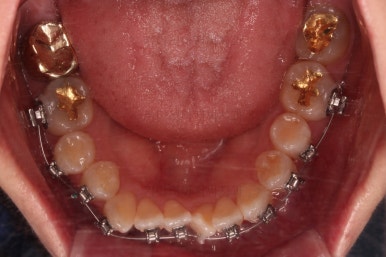
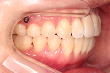
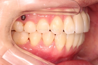
임플란트 뿌리 부분부터 식립이 되었습니다.
처음에는 언급드린대로 앞니 잇몸을 아래로 내리지 못한 점이 아쉽지만 발치 시점을 잘 선택하여 최대한 잇몸뼈를 보존했다는 점에서 만족스러웠습니다.
임플란트 머리 부분이 올라가기까지 기다리는 동안 좀 더 부산개방교합 디테일을 맞추고 마무리를 합니다.
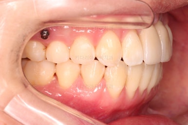
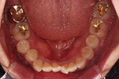
4. 마무리
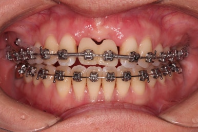
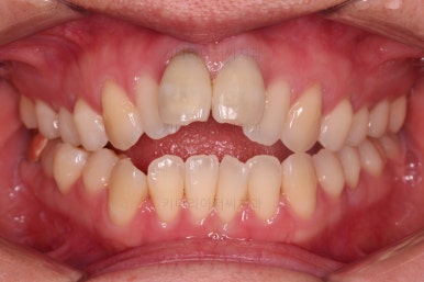
앞니 임플란트의 색깔, 모양 등으로 몇 번의 수정 작업을 거친 뒤, 치료를 종료합니다.
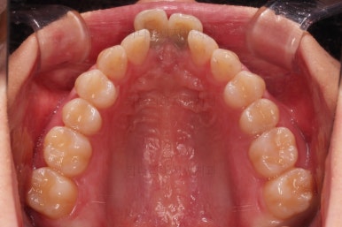
잇몸뼈의 상태에 비해 매우 양호하게 임플란트가 완성되었고요.
개방교합, 2급 부정교합 등 모든 면에서 개선이 잘 되었습니다.
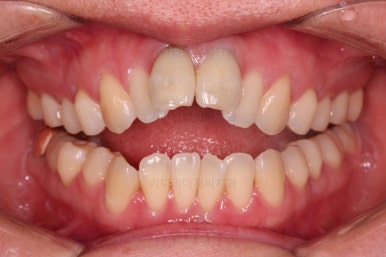
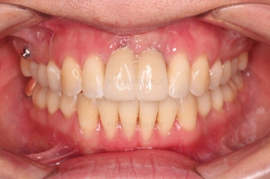
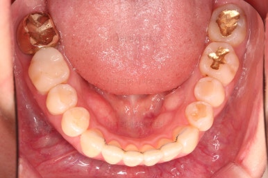
부산개방교합 전후 비교를 해보겠습니다.
웃을 때 잇몸선이 거의 보이지 않아 잇몸의 레벨이 위에 있었던 점이 완벽히 가려졌고요.
얼굴모습의 변화를 보면 거의 완벽하다 싶을 정도의 치료가 된 것이 아닌가 싶습니다.
앞니의 위치, 교합 개선, 웃는 모습 개선, 입매, 돌출감 개선, 옆선 등등 치료가 매우 고난도였던점을 생각한다면 이보다 더 좋은 교정 + 앞니 임플란트가 없다 싶을 정도의 치료였습니다.
임플란트 완료까지 총 3년 걸렸으며 앞니 제외 추가 발치는 없이 부산개방교합 교정하였습니다.
이상 부산개방교합 키다리아저씨치과에서 앞니 발치가 필요했던 환자분의 교정치료 및 앞니 임플란트, 개방교합/오픈바이트/돌출입 등을 개선했던 치료사례였습니다.
부산 연산동 교정치과 키다리아저씨치과에 오시는 길은 연제구 연산동 연산역 17번출구 바로 앞 건물 6층입니다.
치과교정과 전문의(부산대 외래교수)가 상주하며 교정치료 합니다.
<위 사진은 환자분의 동의를 구한 후 공개하는 사진자료입니다. 사진은 과장이나 조작이 없는 원본사진입니다. 교정치료로 인한 부작용으로는 치근흡수, 충치, 치아변색, 실활 등이 있을 수 있으며, 치료 전후 사진은 의료법 제 23조, 제 56조에 의거하여 게재합니다. 개인의 상태에 따라 치료결과는 달라질 수 있으므로, 교정전문의와 상의를 요합니다.>

























































































































































댓글