동래치아교정 키다리아저씨치과의 주걱턱, 반대교합, 앞니 사이 틈새 치료사례
- 키다리아저씨치과

- 2025년 11월 10일
- 2분 분량
안녕하세요.
오늘 동래치아교정 키다리아저씨치과에서 소개해 드릴 환자분은 앞니가 거꾸로 물리고(반대교합, 앵글씨 3급 부정교합), 주걱턱의 느낌이 있으며 앞니 사이 틈새가 벌어졌던 환자분입니다.
나이 : 23세
총 치료기간 : 1년 8개월(총 20개월)
사용한 장치 : 자가결찰 세라믹(데이몬 클리어, Damon clear) + 미니스크류
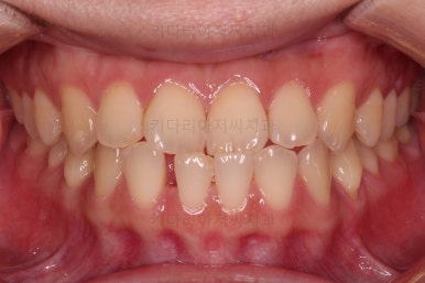
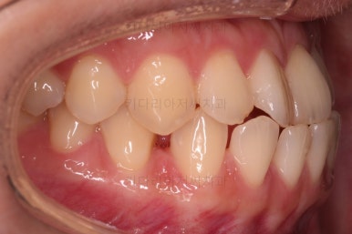
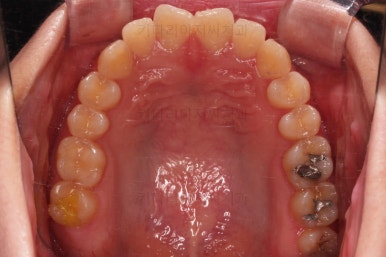
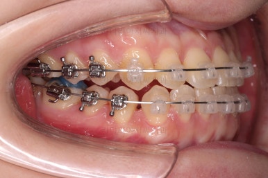
초진 시, 입안의 모습입니다.
눈에 띄는 점은 아랫니가 윗니보다 앞에 나와있는 반대교합 상태였고, 아랫니 사이에는 틈새가 보였어요.
윗니는 삐뚠 상태였고요.
앞니가 이렇게 거꾸로 물리게 되면 기능적으로 좋지 못하고, 미적으로도 좋지 못하죠.
그리고 특히 아래 앞니가 손상이 많이 됩니다.
이 분처럼 잘 깨지기도 하고요. 잇몸도 빨리 손상이 되어 퇴축이 빨리 진행 된답니다.
마찬가지로 초진 시 얼굴 모습이에요.
옆라인에서 아래턱이 지나치게 많이 튀어나온 주걱턱의 느낌은 많이 없지만, 웃거나 말할 때 드러나는 모습이 아랫니가 많이 튀어나와 보여 주걱턱의 느낌을 많이 주는 양상이에요.
웃는 모습에서 혹시 특징적인 모습을 느끼셨나요?
위아랫니 사이의 틈새들로 혀가 비집고 나오려는 양상인데요.
혀가 원인이자 장기적인 유지의 걸림돌 입니다.
치열, 특히 앞니쪽에 틈새가 있으면 그 틈새를 폐쇄하기 위해 혀가 밀려나옵니다. 밀려ㅏ오는 혀의 힘이 틈새를 더 크게 만들어요.
즉, 혀의 힘이 틈새의 원인이 될 수 있죠.
그렇다면 혀는 왜 나오느냐?
아주 다양한 이유가 있을 수 있고 그 원인은 동래치아교정 키다리아저씨치과만의 노하우로 수많은 분석을 통해 가능성 높은 이유를 찾게 됩니다.
교정치료를 끝내고 틈새가 다 없어졌다해도 여전히 예전과 같은 혀 습관이 남아잇다면 또다시 원래대로 틈새가 생길 수 있는데요. 이를 차단하는게 치료의 핵심이자 유지관리의 핵심이에요.
어떻게 하느냐?
영업 비밀입니다😄
키다리아저씨치과만의 2중, 3중 안전장치를 하게 되는데요.
그럼에도 틈이 재발할 수 있는 점을 충분히 고려해야하고, 스스로의 인지와 연습이 중요합니다.
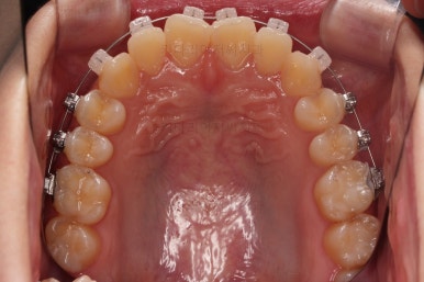
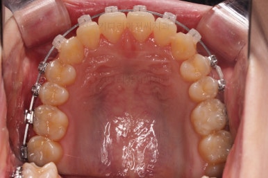
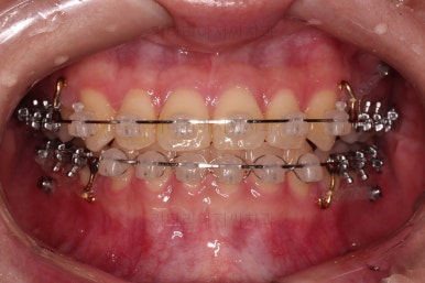
동래치아교정 교정장치를 부착합니다.
우선 가지런하게 해주고요.
이번에 사용한 장치는 데이몬 클리어라고 하는 자가결찰 세라믹 장치인데요.
자가결찰 세라믹 장치 중에는 가장 세라믹 파트가 많은 종류랍니다.
흔히 많이 아시는 클리피씨도 자가결찰 세라믹 장치인데 이보다도 더 세라믹이 많은 장치에요.
장치의 느낌과 장치 부착 직후의 입 돌출 느낌도 참고해 주세요.
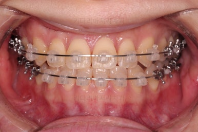
서서히 틈새를 조여나갑니다.
관건은 최대한 빠른 시일 내에 반대로 물려있던 앞니를 원위치 시키는거에요.
얼마나 빠릴 해내느냐에 따라 환자분의 불편감과 추후의 치료 진행이 결정됩니다.
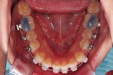
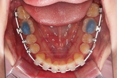
틈새를 더 조여주고, 주걱턱의 패턴을 고쳐주기 위해서 아랫니는 뒤로 더 당겨줍니다.
이 때 활용되는 장치는 미니스크류인데요.
난이도 높은 치료를 효율적으로 가능하게 합니다.
틈새 자체는 교정적인 힘을 주게 되면 어렵지않게 다물어져요.
대신에 혀가 얼마나 잘 연습되느냐에 따라 재발이 될지 안될지를 충분히 테스트 한 뒤, 장치를 제거하게 됩니다.
환자분 스스로의 연습과 특수한 장치를 병행해서 혀를 지속적으로 연습하는데요.
최종적으로 치료를 종료하기 앞서 틈새가 다시 벌어지지 않을지 테스트를 하게 됩니다.
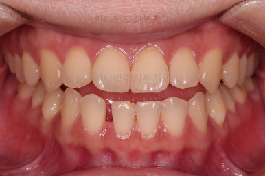
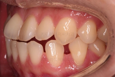
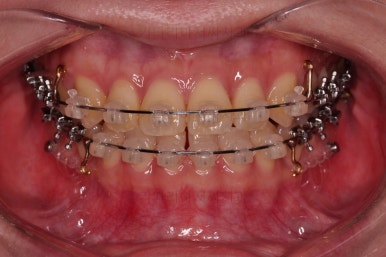
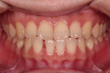
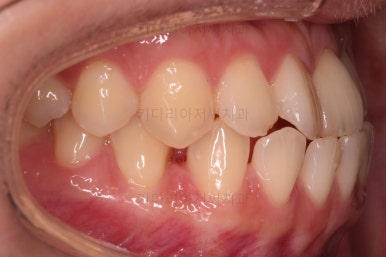
이제 동래치아교정 전후 사진을 비교해 볼게요.
교합이 좋아졌고 반대교합도 개선이 되었고 틈새도 개선되었어요.
아랫니가 뒤로 뒤로 들어가니 얼굴모습도 자연스레 좋아졌는데요.
입을 벌렸을 때 주걱턱의 느낌은 완벽히 개선이 되었고, 입을 다물었을 때 불록하던 아랫입술도 매우 예쁜 라인이 되었어요.
향후에는 또다른 치료인 유지관리가 남았습니다.
동래치아교정 키다리아저씨치과만의 노하우와 스스로의 연습이 병행된다면 안정적인 결과가 유지되리라 생각됩니다.
이상 동래치아교정 주걱턱, 반대교합, 치아 사이 틈새를 치료한 사례였습니다.
키다리아저씨치과에 오시는 길은 연제구 연산동 연산역 17번출구 바로 앞 건물 5, 6층입니다.
치과교정과 전문의(부산대 외래교수)가 상주하며 교정치료 합니다.
<위 사진은 환자분의 동의를 구한 후 공개하는 사진자료입니다. 사진은 과장이나 조작이 없는 원본사진입니다. 교정치료로 인한 부작용으로는 치근흡수, 충치, 치아변색, 실활 등이 있을 수 있으며, 치료 전후 사진은 의료법 제 23조, 제 56조에 의거하여 게재합니다. 개인의 상태에 따라 치료결과는 달라질 수 있으므로, 교정전문의와 상의를 요합니다.>



















































































































댓글