동래구치아교정 키다리아저씨치과의 덧니 교정 치료사례
- 키다리아저씨치과

- 1월 15일
- 3분 분량

"미니스크류를 이용한 투명교정장치에 관한 논문"으로 2023년도 Angle orthodontist(미국의 교정학회지) SCI 저널에 제 1저자로 게재되었습니다.
항상 공부하고 노력하는 키다리아저씨치과가 되겠습니다.
안녕하세요.
오늘 동래구치아교정 키다리아저씨치과에서 소개해 드릴 환자분은 덧니를 가지런하게 하고 싶어하셨던 분입니다.
나이 : 20세
총 치료기간 : 1년 10개월(총 22개월)
사용한 장치 : 자가결찰 메탈(엠파워 메탈, Empower metal) + 미니스크류
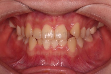
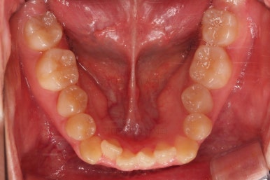
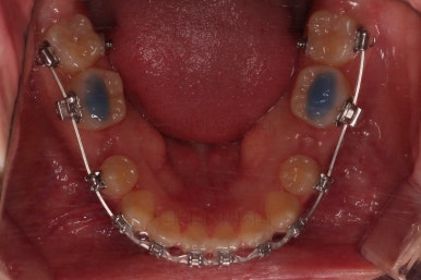
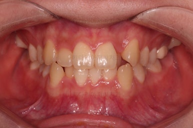
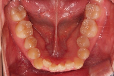
초진 시 입안의 모습입니다.
위아래 송곳니들이 덧니처럼 볼록하고 뾰족하게 나와있네요. 작은 앞니 하나는 안으로 쏙 들어가서 마치 이가 없는 것처럼 어두워 보이고요.
결국 공간부족의 문제라 공간을 얼마나 확보를 잘 해주느냐가 이번 치료의 핵심이 되겠습니다.
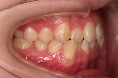
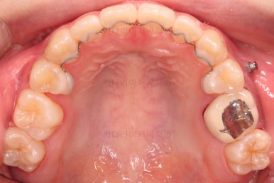
아래쪽 사진을 보시면, 동그라미 쳐진 부분이 맨 뒤 어금니인데요.
뒤쪽도 공간이 부족하여 양 옆으로 굉장히 밀려나와 있어, 어금니의 교합기능이 아예 안되는 상황이었습니다.
마찬가지로 초진 시 얼굴모습인데요.
덧니라서 그런지 자신감 있게 활짝 웃지 못하는 모습이었고요.
입을 다물었을 때의 편안한 모습이나 입매는 굉장히 양호했습니다.
교정치료로 입매가 안바뀌어도 나쁘지 않을 정도로 굉장히 양호했습니다.
발치교정으로 결정. 비발치 가능성은 없었을까?
이번 환자분은 여러 가지 가능성을 놓고 환자분과 상의한 끝에 발치교정으로 결정을 했는데요.
비발치로 원하셨다면 어떻게 했을까요?

아까도 말씀 드렸지만 결국 부족한 공간을 마련해야 하는데요.
일반적으로 맨 뒤의치아를 더 뒤로(사랑니 자리로) 밀어서 공간을 확보합니다. 하지만 동래구치아교정 이번 환자분은 오히려 어금니쪽을 앞쪽으로 당겨와야 할 정도로 맨 뒤 어금니가 자리 부족으로 불편하게 자리잡고 있는 상황이었고요. 더 뒤로 밀수 있는 상황은 안되었습니다.
양옆으로 벌리는(폭경확자 등) 치료도 가능하나 그것도 위아래 턱뼈의 조화에 맞게 필요한 경우 해야 하는데, 이번 환자분은 약간의 아치 형태를 조절하는 것 외에는 큰 공간확보의 방법이 되지 못했습니다.
다음으로 치아 사이를 다듬는 치간삭제 방법이 있을 수 있는데 일반적인 발치교정의 약 1/3~1/4 가량의 공간을 만들어낼 수는 있지만 위 두 가지 방법으로 공간확보가 거의 안되는 상황에서 치간삭제만으로 하기에 공간이 부족했습니다.
따라서 앞니를 앞으로 더 내보내는 방법 밖에 안남고 비발치로 억지로 하다보면 어쩔 수 없이 입이 나오게 되는데요.
간혹 옥니라던지 입이 쏙 들어가 있으신 분들은 이 방법도 가능하지만 대부분은 원래 상황보다 입이 나온다고 하면 달가워할 분이 없죠.
그래서 발치교정으로 선택을 했고 발치를 하더라도 최대한 입매 변화가 없을 정도의 치아를 선택해서 했으며 환자분과는 원하는 입매에 대한 상의를 충분히 나누고 들어갔습니다.
그리고 혹시나 입이 더 들어가지 않는 상황이 온다면 입을 더이상 안넣고 어금니를 앞으로 당겨오면서 발치공간을 모으는 방법도 있다는 점을 전제하고 치료에 들어갔습니다.
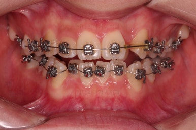
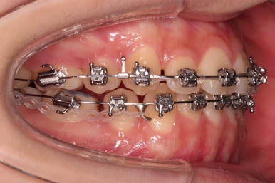
우선은 발치부터 하는 것이 아니라 장치부터 부착을 하였고요.
이번 환자분이 선택한 장치는 엠파워 메탈이라고 하는 자가결찰 메탈 장치입니다.
메탈이라고 모두 구형의 좋지 않은 장치는 아니고요.
자가결찰인지 아닌지 여부가 더 중요한데요.
저희 동래구치아교정 키다리아저씨치과에서 사용하는 모든 장치는 다 자가결찰 장치입니다.
자가결찰 세라믹 장치와도 성능 차이는 없고, 단순히 더 보이냐 적게 보이냐의 차이라고 보시면 되겠습니다.
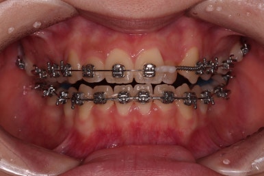
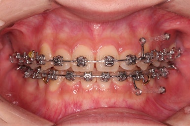
장치 부착 직후의 모습 봐주시고요.
자가결찰 메탈장치는 시각적으로 더 눈에 띄긴 하지만 부피는 세라믹에 비해 작기 때문에 장치 때문에 입이 더 나오는게 적습니다.
적절한 시기에 발치를 하고요.
약간 좌우로 협착이 된 아치 형태를 둥근 U자로 바꿔주면서 삐뚤한 치아를 가지런하게 해줍니다.
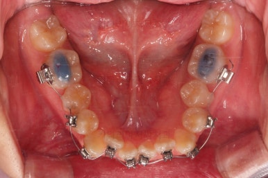
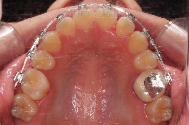
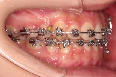
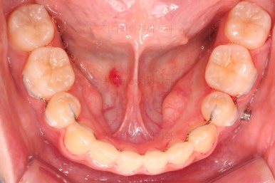
가지런하게 한 직후인데요.
윗니는 이 뽑은 자리가 거의 없어졌습니다.
아랫니는 공간이 약간 남았는데요.
처음에 예상했듯이 단순히 덧니쪽에서만 보이는 공간부족보다는 어금니쪼게서의 공간부족 문제가 매우 컸기 때문에 발치교정을 했어야 한다는 점이 명확해졌습니다.
이 쯤에서 얼굴모습에 대한 중간평가를 합니다.
일단 치열이 가지런해졌고 남은 자리가 얼마 안남았는데 입매는 현재는 변화가 없습니다.
하지만 자연스럽게 틈을 줄이면 입이 약간 들어갈텐데 괜찮은지? 원하는지? 혹은 얼굴모습에서 고치고 싶은 부분은 없는지 등을 동래구치아교정 논의하게 됩니다.
환자분은 입이 약간 들어가길 원하셨고 웃을 때 보이는 치열의 중앙선 느낌을 좀 더 개선하고 싶다고 말해주셨습니다.
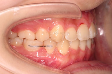
틈은 자연스럽게 모으고 정중선 개선을 위해 미니스크류를 사용하기로 했습니다.
대략 원하시는 부분을 큰 틀에서 다 개선한 뒤, 디테일한 마무리를 좀 더 하고 치료를 끝내게 됩니다.
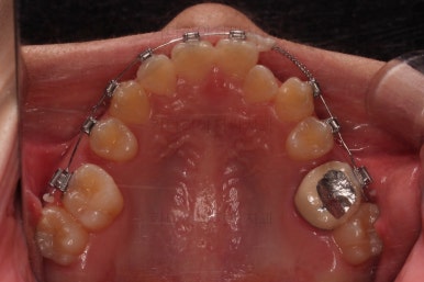
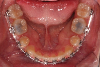
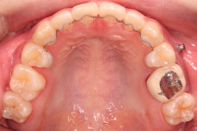
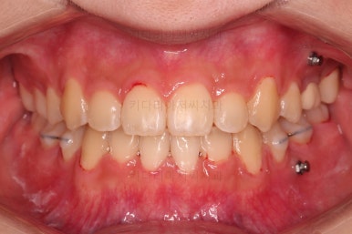
덧니가 가지런하게 예뻐졌고요.
맨 뒤 어금니도 잘 배열이 되었습니다.
아치의 형태가 U자형으로 되었고 교합도 잘 맞춰졌습니다.
위아래 정중선이 100% 맞니는 않긴한데 중요한 부분은 아닙니다.
골격도 거의 대칭에 맞고 위아래 좌우 치아크기 및 모양이 거의 대칭이며, 발치한 치아 크기도 동일할 때 중앙선은 맞아지는데 정중선을 위해 정중선을 맞추기 보다 양쪽 교합을 맞추다 보면 자연스럽게 정중선이 거의 맞아지는 것이라 +-2mm 가량의 오차는 정상범주로 봅니다.
웃는 모습도 그래도 처음보다는 많이 환해졌네요.
앞으로도 더 자신감있게 더 크게 웃을 수 있었으면 합니다.
입매도 원하는 정도로만 살짝 넣었고 발치교정이라고 지나치게 쑥 들어가거나 옥니가 되지 않게 조절을 잘 해드렸습니다.
이상 발치교정과 미니스크류 사용을 통해 덧니를 개선한 동래구치아교정 치료사례였습니다.
부산 연산동 교정치과 키다리아저씨치과에 오시는 길은 연제구 연산동 연산역 17번출구 바로 앞 건물 6층입니다.
치과교정과 전문의(부산대 외래교수)가 상주하며 교정치료 합니다.
<위 사진은 환자분의 동의를 구한 후 공개하는 사진자료입니다. 사진은 과장이나 조작이 없는 원본사진입니다. 교정치료로 인한 부작용으로는 치근흡수, 충치, 치아변색, 실활 등이 있을 수 있으며, 치료 전후 사진은 의료법 제 23조, 제 56조에 의거하여 게재합니다. 개인의 상태에 따라 치료결과는 달라질 수 있으므로, 교정전문의와 상의를 요합니다.>







































































































































댓글