동래교정치과 키다리아저씨치과의 앞니 결손치아, 개방교합 치료사례(feat. 악궁확장)
- 키다리아저씨치과

- 2025년 8월 12일
- 3분 분량
안녕하세요.
오늘 소개해 드릴 환자분은 아래 앞니가 하나 모자라는 결손치아였고 앞니가 다물어지지 않는 개방교합 환자분이었습니다.
나이 : 17세
총 치료기간 : 2년(총 24개월)
사용한 장치 : 자가결찰 세라믹(엠파워 클리어, Empower clear) + 미니스크류 + 악궁확장장치
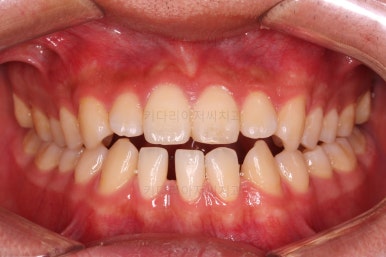
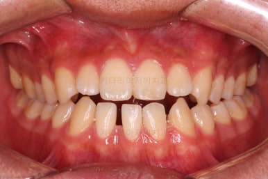
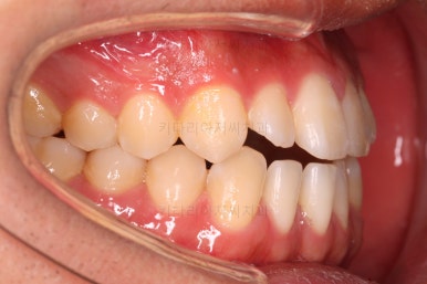
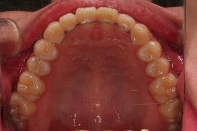
동래교정치과 키다리아저씨치과에 처음 내원하셨을 당시의 입안 모습입니다.
아래 앞니가 1개 모자라서 앞니 사이에 틈이 보이네요.
그리고 윗니와 아랫니가 서로 만나지 않는 "개방교합"도 보이고 있어요.
전반적인 어금니 맞물림도 좋지 못하고요.
윗니의 틀과 아랫니의 틀의 형태가 부조화가 있어서 윗니 어금니가 아래 어금니보다 안으로 들어가 있는 "폭경부조화" 양상도 보이고 있어요.
마찬가지로 초진 시의 얼굴모습인데요.
입을 다물었을 때의 입술 모양, 근육 활성도, 옆라인 모두 좋아요.
대신 입을 벌리면, 개방교합과 결손치아의 원인으로 치아 사이사이 틈이 많이 벌어져 보여 심미적으로 좋지 못하네요.
아래 앞니가 3개일 때의 치료 계획?
크게 3가지 방법이 있어요.
앞니 3개인 채로 틈을 모은다 : 아래 앞니가 1개 모자라더라도 여러 치아들의 합으로 윗니와 아랫니 비율을 생각했을 때 나쁘지 않은 경우 이렇게 해요. 대신 윗니는 짝수, 아랫니는 홀수라서 중앙선은 안맞아보일 수 있어요. 중앙선은 큰 문제는 아니죠?😊
추가로 발치를 적절히 하여 윗니와 아랫니의 갯수를 맞춘다 : 입매가 돌출입일 때 할 수 있는 좋은 방법이고, 뽑게 되는 치아의 사이즈를 적절히 고려해야 교합을 맞출 수 있어요.
한 쪽을 전방 혹은 후방으로 밀고 당겨가며 앞니가 4개인 것처럼 마무리 한다 : 앞니 뒤쪽에 있는 송곳니~어금니까지 위치를 조금씩 이동시켜가며 앞니가 4개로 보이게끔 마무리 하는 방법으로 이를 추가로 뽑지 않아도 되고 중앙선도 어느 정도 맞출 수 있어요. 대신 어디선가 갯수 문제가 있을 수 있어요.
앞니 1개에 추가로 이를 해 넣는다.(임플란트 혹은 보철) : 이번 환자분은 청소년이었고 앞니 임플란트는 일반적으로 난이도가 높아 심미적으로 문제가 발생할 수 있어서 그리 추천되는 상황은 아니었어요.
각각의 경우 키다리아저씨치과에서 시뮬레이션을 해보았습니다.
1번의 경우 시뮬레이션 -> 앞니 갯수 차이로 인해서 윗니 앞니- 아랫니 앞니가 앞뒤로 뜨는 양상이네요.
2번의 경우 시뮬레이션 -> 중앙선도 어느 정도 맞고 교합도 양호해 지지만 현재 입매가 매우 좋으시기 때문에 치료 후 입이 뒤로 들어갈 수 있다는 단점이 있었어요.
3번의 경우 시뮬레이션 -> 중앙도 어느 정도 맞고 앞니 맞물림도 좋고요. 대신 왼쪽 아래 치열에 치아갯수가 하나 모자라니깐 맨 뒤가 약간 비긴 하네요.
환자분과 각 치료 옵션의 장단점을 충분히 논의하고, 3번 옵션으로 결정하기로 했어요.
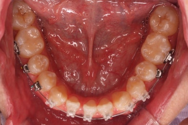
치료의 첫 단계는 악궁확장 이에요.
아랫니에 비해 가로폭이 좁을 때 위턱을 넓히는 장치인데요.
확장을 선행해야 위아래 턱뼈의 폭을 조화롭게 맞출 수 있답니다.
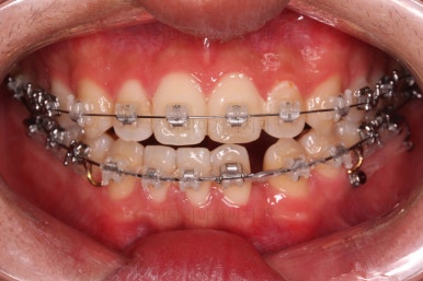
윗니까지 장치를 부착한 직후의 얼굴모습인데요.
환자분이 선택하신 장치는 엠파워 클리어라고 하는 자가결찰 세라믹 장치입니다.
흔히들 많이 아시는 클리피씨 장치와 같은 계열의 장치이며, 클리피씨(일본장치)와는 제조 국가가(엠파워는 미국장치) 다른 차이점 말고는 기본적인 원리는 동일한 장치입니다.
옆모습에서는 장치를 부착해도 옆모습이 거의 변화가 없었던 환자분이셨어요.
약간 입술 부위가 불편해지긴 했지만 입매는 거의 변화가 없었던 경우입니다.
입술이 나오는 저도는 사람마다 매우 차이가 커요.
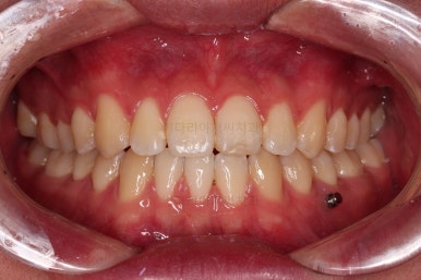
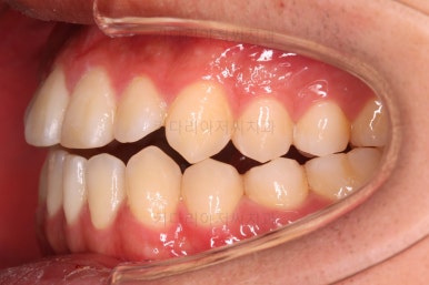
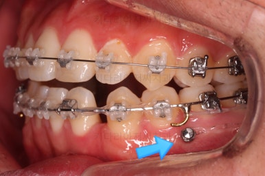
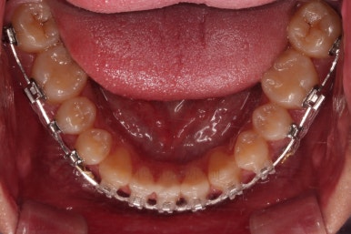
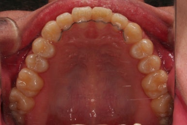
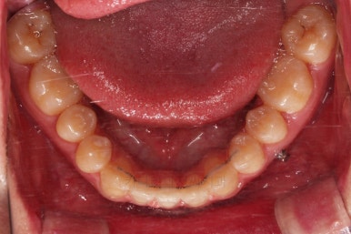
위아래 치열을 각각 가지런하게 해주고요.
환자분이 선택하신 치료 옵션 : 왼쪽 아래치열을 앞으로 당겨 앞니 중앙선과 갯수를 맞춘다. 를 위해서 미니스크류(화살표)를 식립하고 계속 당기기를 해줍니다.
얼마나 잘 당겨와지느냐에 따라 치료 결과와 총 치간이 좌우돼요.
방법적으로는 간단하지만 매우 디테일한 주의가 필요한 치료과정이랍니다.
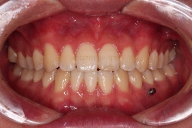
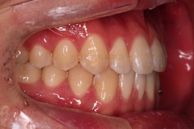
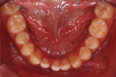
드디어 마무리.
치열을 앞으로 통째로 당겨오는 치료는 굉장히 기간이 오래 걸릴 수 있는데요.
이번 환자분의 경우에는 협조도 좋았고 청소년기였고 해서 총 2년의 기간이 걸렸네요.
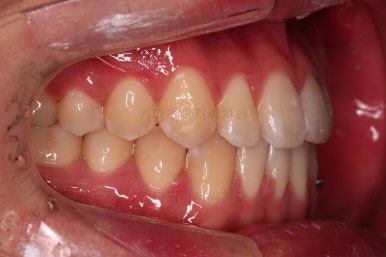
양호한 교하보가 중앙선, 아랫니가 모자란 것이 느껴지지 않을 정도로 좋은 모습으로 마무리 되었네요.
입을 다물었을 때의 얼굴모습은 거의 변화 없이 웃거나 말할 때의 치열의 느낌이 굉장히 좋아졌어요.
전후사진을 비교해 보겠습니다.
개방교합, 치아 사이 틈새, 중앙선 등 치열의 모든 부분이 매우 좋아졌고요.
원래 양호했던 얼굴모습은 그대로 유지할 수 있었어요.
이상 앞니 하나가 결손이어서 틈새와 중앙선이 맞지 않았고 개방교합이 있었던 환자분의 치아교정 치료사례였습니다.
키다리아저씨치과에 오시는 길은 연제구 연산동 연산역 17번출구 바로 앞 건물 5, 6층입니다.
치과교정과 전문의(부산대 외래교수)와 통합치의학과 전문의(서울대학교 졸업) 2명이 상주하며 교정치료와 일반치과치료를 협진하여 진료합니다.
<위 사진은 환자분의 동의를 구한 후 공개하는 사진자료입니다. 사진은 과장이나 조작이 없는 원본사진입니다. 교정치료로 인한 부작용으로는 치근흡수, 충치, 치아변색, 실활 등이 있을 수 있으며, 치료 전후 사진은 의료법 제 23조, 제 56조에 의거하여 게재합니다. 개인의 상태에 따라 치료결과는 달라질 수 있으므로, 교정전문의와 상의를 요합니다.>























































































































댓글