동래교정치과 키다리아저씨치과에서 시행한 청소년 덧니, 미세돌출 교정 치료사례
- 키다리아저씨치과

- 2025년 10월 28일
- 2분 분량
키다리아저씨치과는 치과교정과 전문의(부산대 외래교수)와 통합치의학과 전문의 원장님이 상주하며 협진하는 치과입니다. 부분교정에서부터 난이도 높은 교정진료는 교정과 원장님이 진료를 하며, 임플란트, 사랑니발치, 충치치료, 틀니 등 일반진료는 통합치의학과 전문의 원장님이 진료합니다.
교정과 일반진료의 협진으로 자기치아를 최대한 아끼고 오래 쓰는 방법을 고심하며 수준 높은 진료를 제공합니다.
안녕하세요.
오늘 동래교정치과 소개해 드릴 환자분은 덧니와 뻐드러진 치아로 교정치료를 했던 청소년 환자분입니다.
나이 15세
총 치료기간 : 1년 9개월(총 21개월)
사용한 장치 : 자가결찰 세라믹 + 메탈(엠파워 클리어 + 엠파워 메탈)
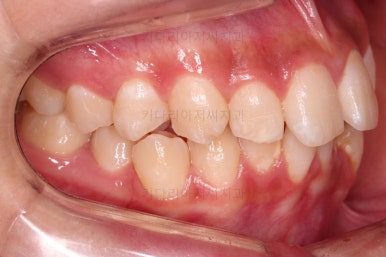
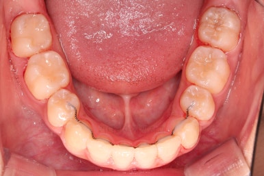
동래교정치과 초진 시의 입 안 모습이에요.
치열이 삐뚤고 덧니가 보이네요.
삐뚤하게 엉켜있는 치열은 왜 개선이 필요할까요?
양치가 힘들다.(장기간 건강한 치아/잇몸을 위해서)
좋지 못한 방향으로 마모가 많이 된다.
보기 좋지 않다.
앞니를 사용하는 기능이 떨어진다.
이번 환자분도 스스로는 보기 싫은 이유가 첫 번째였지만 사진에서도 보시다시피 양치가 잘 안되어 치석도 많고 잇몸도 부어있는 상태였어요.
그리고 앞니들이 마모가 많이 되어 있어서 각각의 치아들이 원래 형태에서 많이 변형된 것을 볼 수 있네요.
동래교정치과 초진 시, 얼굴 모습이에요.
덧니 + 뻗친 앞니때문에 웃을 때 모습이 좋지 못하네요.
입을 다물었을 때 입술선이 기울어 있는 비대칭도 보이고, 웃을 때 치열도 한 쪽이 올라가 있는 기울기가 관찰돼요.
발치 vs 비발치
발치가 필요한 이유는? 앞니가 많이 뻗쳤거나 입이 튀어나왔거나(돌출입), 삐뚤한 정도가 심할 때 발치를 해야해요.
이번 환자분은 애매한 경우였어요.
뻗친 정도가 있으나 발치할 정도는 아니고 입이 약간 튀어나온 느낌은 있으나 발치할 정도는 아니고, 삐뚤한 정도는 있지만 발치할 정도는 아니고.
대신 세 가지 요소가 모두 있기 때문에 발치교정도 고려가 되는 상황이었습니다.
(느낌적으로 말을 적어두었지만 굉장히 정교한 분석과정을 통해서 결론을 내리게 됩니다. ^^)
이럴 경우는 비발치과 발치의 결과물, 장단점, 목표치를 충분히 말씀드리고 의견을 조율하는 과정을 거쳐야 만족도가 커지게 됩니다.
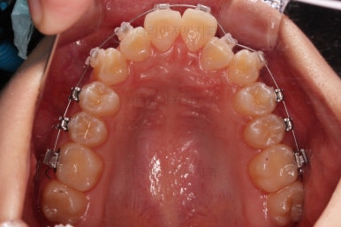
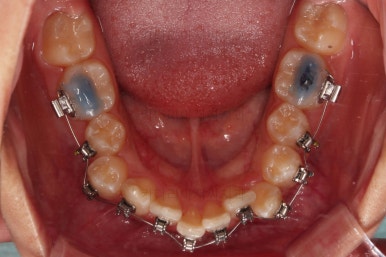
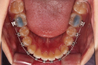
장치를 부착했어요.
윗니는 상대적으로 많이 보이기 때문에 세라믹, 아랫니는 많이 보이지 않기 때문에 메탈로 부착했어요.
발치, 비발치 각각이 지향하는 목표는 뚜렸하지만 환자분이 고민을 많이 하셨기 때문에 결정은 보류하기로 했습니다.
동래교정치과 장치를 부착한 직후의 모습입니다.
입은 약간 더 튀어나오는 편이었고 상대적으로 많이 보이는 윗니를 세라믹으로 해서 아랫니는 메탈이라 하더라도 심미적으로 크게 손해는 아니었어요.
교정시작 3개월째입니다.
비발치로 가지런하게만 목표로 한다면 거의 다 끝나가네요. 효율적인 메카닉스와 술식으로 치료과정을 매우 빠르게 진행했어요.
당연히 부작용이 없는 범주 안에서 말이죠.
지금쯤 다시 발치와 비발치에 대해서 말씀을 나눕니다.
각각의 장단점, 목표로 하는 바 등을 말씀 나누고 현재의 입매에서 옆라이니 좀 더 스트레이트하게 떨어지는 라인을 원하셔서 발치교정으로 넘어가기로 결정했습니다.
적절한 위치의 치아를 발치하고요.
이 뽑은 공간을 닫아주며 앞니를 뒤로 넣어줘요.
반복적으로 당겨주며 교합, 중앙선, 기울기, 입매 등을 맞춰 나갑니다.
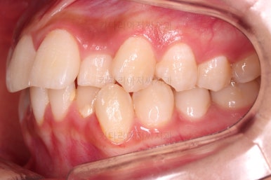
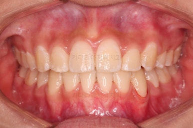
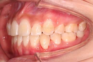
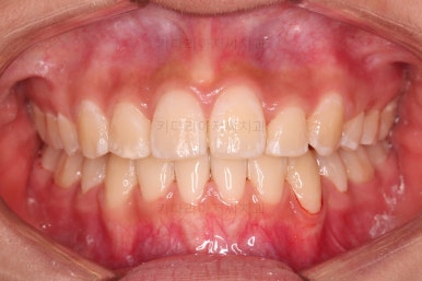
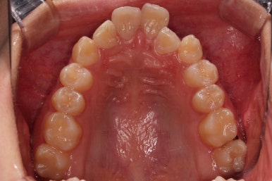
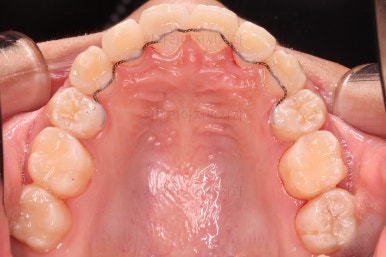
치료 종료시의 모습이에요.
총 21개월 걸렸고요.
발치를 중간에 결정했기 때문에 조금 지체된 면이 없지 않았으나 기간부터 치료 결과까지 만족스러운 치료였습니다.
동래교정치과의 전후 사진을 비교해 볼게요.
치여링 가지런해졌고, 교합과 중앙선 등 입안의 모습이 매우 좋아졌어요.
불규칙하게 마모되어 있던 치아의 개별 형태도 약간씩 다듬어 드렸고요.
입매도 본인이 원하는 정도로 만들었고, 웃는 모습, 뻐드러졌던 각도도 매우 잘 개선이 되었네요.
기울어보이던 치열의 경사도 개선이 되었고요.
전반적으로 만족스러운 치료였습니다.
이상 덧니, 뻐드렁니, 미세돌출 청소년 환자의 발치교정 동래교정치과 치료사례였습니다.
키다리아저씨치과에 오시는 길은 연제구 연산동 연산역 17번출구 바로 앞 건물 5, 6층입니다.
치과교정과 전문의(부산대 외래교수)와 통합치의학과 전문의(서울대학교 졸업) 2명이 상주하며 교정치료와 일반치과치료를 협진하여 진료합니다.
<위 사진은 환자분의 동의를 구한 후 공개하는 사진자료입니다. 사진은 과장이나 조작이 없는 원본사진입니다. 교정치료로 인한 부작용으로는 치근흡수, 충치, 치아변색, 실활 등이 있을 수 있으며, 치료 전후 사진은 의료법 제 23조, 제 56조에 의거하여 게재합니다. 개인의 상태에 따라 치료결과는 달라질 수 있으므로, 교정전문의와 상의를 요합니다.>



































































































































댓글