동래교정치과 키다리아저씨치과에서 시행한 돌출입, 무턱, 삐뚤어진 치아교정 치료사례(+크라운 보철)
- 키다리아저씨치과

- 2월 9일
- 2분 분량

"미니스크류를 이용한 투명교정장치에 관한 논문"으로 2023년도 Angle orthodontist(미국의 교정학회지) SCI 저널에 제 1저자로 게재되었습니다.
항상 공부하고 노력하는 키다리아저씨치과가 되겠습니다.
안녕하세요.
오늘 동래교정치과 키다리아저씨치과에서 소개해 드릴 환자분은 삐뚤어진 앞니와 약간의 돌출, 무턱으로 가지런한 치열을 원하셨던 분입니다.
나이 : 24세
총 치료기간 : 2년 9개월(총 33개월)
사용한 장치 : 자가결찰 세라믹(엠파워 클리어, Empower clear) + 미니스크류
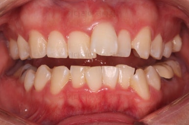
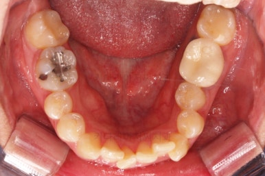
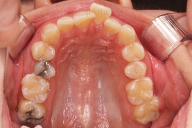
초진 시 입안의 모습입니다.
전반적으로 치열이 삐뚤고, 특정 앞니는 톡 튀어나가 미적으로 좋지 못한 상황이었습니다.
이갈이, 이악물기 습관도 있어서 앞니는 삐뚤어진 채로 치아가 많이 갈려있는 상황이었습니다.
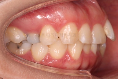
초진 시 얼굴 모습입니다.
웃거나 말할 때 치열이 삐뚤어서 미적으로 별로 좋지 못하고요.
옆모습을 보면 심하진 않지만 약간 돌출입, 턱끝에 힘이 들어가서 약간 둥근 무턱의 모양입니다.
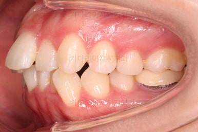
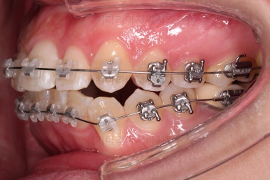
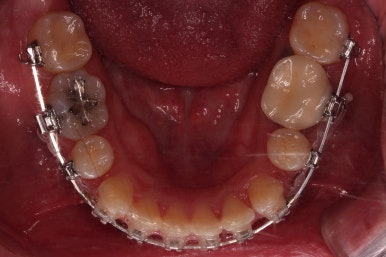
처음 장치를 부착한 사진입니다.
이번에 동래교정치과 선택한 장치는 엠파워 클리어라고 하는 자가결찰 세라믹 장치인데요.
흔히들 클리피씨라고 알고 계신 장치의 종류입니다.
엠파워와 클리피는 제조국만 미국, 일본으로 차이가 나고 큰 틀에서는 같은 장치라고 보시면 됩니다.
동래교정치과 장치 부착 사진인데요.
세라믹이라 비교적 장치가 많이 눈에 띄지 않고요.
입은 장치의 볼륨감으로 약간 튀어나오는 모습입니다.
발치 vs 비발치
입이 많이 나온 편이 아니라 이런 상황에서 비발치로 할지, 발치로 할지 고민이 되는 상황이었는데요.
이런 경우 선택할 수 있는 방법은 초기에 최대한 빠른 시일 내에 가지런하게 해보고, 입매를 재평가하여 논의하여 결정하는 것입니다.
발치를 미리 하면 되돌릴 수 없기 때문에 일단 비발치로 시작하는거죠.
이 시점에서의 얼굴모습인데요.
확실히 삐뚤었던 치아가 가지런해지면서 입이 더 나오는 양상입니다.
이정도에서 비발치로 입을 더 넣을 수 있는지, 없는지 더 넣은 정도가 만족할 만한 수준인지 등을 중간평가 하게 됩니다.
발치교정
발치로 넘어가기로 했지만 중간평가를 자주하여 입이 너무 많이는 들어가지 않도록 하기로 했습니다.
가장 상태가 좋지 않은 치아 위주로 발치 치아를 선택했고요.
밀고 당기기를 조절하기 위해서 미니스크류도 사용합니다.
이 뽑은 공간을 자연스럽게 줄여 나갑니다.
이 시점에 얼굴모습을 평가해 주고요.
옆라인이 매우 좋아졌네요.
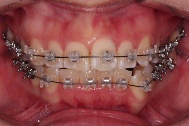
지금부터는 입이 안들어가도록 주의하며 남은 자리를 모으고 교합을 맞춰줍니다.
오히려 이 때 부터가 훨씬 어려운 과정입니다.
미니스크류를 적절히 이용해서 어금니를 앞으로 당겨주기도 하면서 입매를 유지하며 교합을 맞춰줍니다.
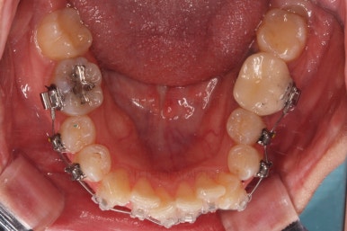
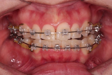
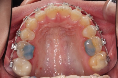
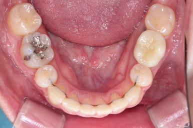
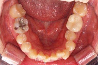
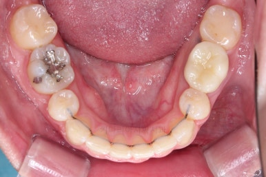
동래교정치과 마무리 사진입니다.
종료 이후에는 어금니의 기존 크라운 보철이 오래되고 탈이나서 재보철을 해주었습니다.
앞니는 비뚠채로 장기간 마모가 되어온 터라 형태가 부적절하긴 한데요.
보철로 마무리하기 보다는 최대한 자연스럽게 시리지 않는 선에서 다듬어 드리고 마무리를 했습니다.
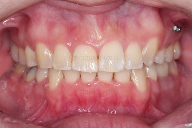
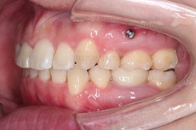
전후 비교해 보겠습니다.
입매는 너무나도 좋아졌네요.
가지런한 느낌도 좋고요.
웃을 때의 입매도 좋아졌네요.
이상 삐뚤한 치아와 돌출, 무턱을 가진 환자분을 개선한 교정치료+보철치료 동래교정치과 사례였습니다.
부산 연산동 교정치과 키다리아저씨치과에 오시는 길은 연제구 연산동 연산역 17번출구 바로 앞 건물 6층입니다.
치과교정과 전문의(부산대 외래교수)가 상주하며 교정치료 합니다.
<위 사진은 환자분의 동의를 구한 후 공개하는 사진자료입니다. 사진은 과장이나 조작이 없는 원본사진입니다. 교정치료로 인한 부작용으로는 치근흡수, 충치, 치아변색, 실활 등이 있을 수 있으며, 치료 전후 사진은 의료법 제 23조, 제 56조에 의거하여 게재합니다. 개인의 상태에 따라 치료결과는 달라질 수 있으므로, 교정전문의와 상의를 요합니다.>



















































































































































댓글